Submit manuscript...
MOJ
eISSN: 2381-179X

Clinical & Medical Case Reports

Case Report Volume 13 Issue 3

A case report of Kocuria Rosea a potentially lethal opportunist: we only diagnose what we know

Gloria Caterine Perez Mingan,1 Luis Martinez,2 Jairo Gonzalez,3 Rolando Toro,4 Carlos Javier Perdomo5

1Internal Medicine Resident, Universidad de Cartagena, Colombia
2General Practitioner, Universidad Tecnologica de Pereira, Colombia
3Rotating Neurology Intern, Universidad Tecnologica de Pereira, Colombia
4Critical Medicine Resident, Universidad Tecnologica de Pereira, Colombia
5Neurologist, Hospital Universitario San Jorge, Colombia

Correspondence: Gloria Caterine Perez Mingan, Internal Medicine Resident, Universidad de Cartagena, Colombia, Tel 3132526310

Received: July 13, 2023 | Published: July 21, 2023

Citation: Mingan GCP. A case report of Kocuria Rosea a potentially lethal opportunist: we only diagnose what we know. About a case. MOJ Clin Med Case Rep. 2023;13(3):55-56. DOI: 10.15406/mojcr.2023.13.00437

Download PDF

Introduction

The genus Kocuria defines gram-positive bacteria belonging to the family Micrococcaceae and includes 18 species that are mostly strict aerobes. Kocuria spp. are part of the microbiota of the skin and oropharynx and are widely distributed in nature; however, five of these bacteria behave as opportunistic pathogens, highlighting K. rosea, K. kristinae, K. rhizophila, K. varians and K. marina. In the literature there are few reports of infections associated with these microorganisms, however, it is well recognized that they can cause cholecystitis, urinary tract infection, bacteremia, endocarditis, meningitis and brain abscess, which usually develop in immunocompromised individuals.1,2 We present the case of an adult patient with bacteremia, meningitis and endocarditis with positive isolation for Kocuria rosea.

Case description

74-year-old woman with a history of coronary heart disease, hypertension, osteoporosis, bipolar affective disorder and rheumatoid arthritis under immunosuppressive treatment. She initially consulted for acute confusional symptoms of multifactorial origin due to hydroelectrolyte disorder and urinary tract infection with two series of positive blood cultures for Kocuria rosea; the result was interpreted as contamination, so antibiotic therapy was not directed to this germ; during hospitalization she presented adequate clinical evolution and was subsequently discharged from the hospital.

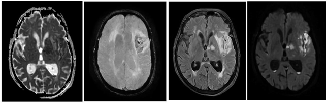
One month after hospital discharge, the patient consulted again due to functional deterioration associated with fever, jaundice, mutism, asthenia, hyporexia and insomnia; Physical examination revealed nuchal rigidity and positive Brudzinski's sign, with lumbar puncture reporting xanthochromic cerebrospinal fluid, with marked pleocytosis at the expense of neutrophils, hyperproteinorrachia and hypoglycorrhachia with glycorrhachia/glycemia index 0.19 (Table 1) and negative meningitis/encephalitis panel. With the diagnosis of meningitis, broad-spectrum antibiotic treatment was started and the patient was transferred to the intensive care unit. A simple cranial tomography was performed, which showed extensive hypodensity in the region of the left middle cerebral artery with vasogenic edema, confirming by contrasted cerebral resonance imaging that it was a vasculitic process associated with neuroinfection (Figure 1).

Figure 1 Brain MRI: axial section at gangliobasal level: (A) Flair, frontoparietal and left-sided internal capsule hyperintensity; (B) SWAN, small areas of hypodensity in relation to hemorrhagic foci in the lesion; (C) ADC, predominant restriction in left internal capsule due to ischemic compromise; (D) DWI hyperintensity in the same region described in the previous image indicating acute lesion.

She underwent evaluation by the infectious diseases department considering neuroinfection by Kocuria rosea associated with a history of bacteremia by this microorganism, so antibiotic management was adjusted with ceftriaxone at a dose of 2 grams intravenous every 12 hours until six weeks. However, due to the torpid clinical evolution with significant neurological deterioration and the need for mechanical ventilation, a new lumbar puncture was performed, which showed a decrease of more than 90% of leukocytes and reduction of proteinorrachia (Table 1), which did not explain the clinical deterioration of the patient.

LCR

Initial

Control

Appearance

cloudy

Of course

Leukocytes

5121 mm3

53 mm3

Neutrophils

90%

30%

Lymphocytes

10%

70%

Erythrocytes

80 mm3

3 mm3

Glucorraquia

20 mg/dL

20 mg/Dl

Glycorrhachia/glycemia index

0,19

0,29

Proteinorraquia

1179 mg/dL

103 mg/dL

Gram

Negative

Negative

KOH

Negative

 

Film array

Negative

Negative

Cultivation

Negative

Negative

Table 1 Initial and control CSF report

During hospitalization, clinical signs suggestive of infective endocarditis (Janeway lesions) were documented and an echocardiogram was performed, which found vegetations in the anterior mitral leaflet and right coronary leaflet (Figure 2), confirming the suspected diagnosis. Despite pharmacological management, the patient progressed to septic shock with no response to the measures implemented in the intensive care unit and died 48 hours later.

Figure 2 Vegetation in the anterior mitral leaflet.

Discussion

Kokuria rosea is a gram positive, obligate aerobic, catalase positive, coagulase negative and nitrate reductase negative bacterium; it belongs to the family Micrococcaceae of class Actinobacteria and its main habitat is the skin, oropharynx, soil and water. This bacterium is usually of low virulence and is considered a harmless commensal; however, it has been described as an opportunistic germ, responsible for different infections both in pediatric population and in adults in a state of immunosuppression. Meningitis, brain abscess, endocarditis, cholecystitis, necrotizing fasciitis and septic arthritis are common and potentially lethal presentations of Kokuria rosea.3-5

To date, the real prevalence of this bacterium as a cause of infections is unknown, since it is frequently confused with coagulase-negative Staphylococcus and when it is identified in cultures it is erroneously interpreted as a potential source of contamination. There are limited reports of cases of infections generated by bacteria of the Kokuria genus; however, infections by K. kristinae are more frequent than by Kokuria rosea and it should be noted that those affected usually have active neoplasia, chronic renal disease, metabolic disorders, pharmacological immunosuppression or advanced age.2,6-9

The access route for the development of most of the infections described in the literature is usually hematogenous, being this the key route to cause endocarditis and infections of the central nervous system. It is necessary to mention that in 2014 a strain of K. rosea called BS1 was identified that has been shown to be able to generate an exopolysaccharide known as Kocuran which is associated with immunosuppression, inhibition of cell proliferation and inhibition of complement-mediated hemolysis; which would explain the multisystemic involvement and the severity of the infection if it is not identified and treated in a timely manner.10

In relation to microbiological identification, it is worth mentioning that Kocuria species generally grow on media such as sheep blood agar with pink, red, yellow or cream colored colonies and in microscopy are identified as Gram-positive cocci in pairs, tetrads or clusters; however, since these culture characteristics resemble those generated by coagulase-negative Staphylococcus, sequencing of the 16S rRNA gene is recommended as routine for the recognition of Kocuria rosea as a source of infection.5,11

No specific pharmacological treatment has been described for infections caused by this germ, but K. rosea is known to be sensitive to drugs such as doxycycline, ceftriaxone, cefuroxime, amikacin and amoxicillin clavulanate; with resistance to drugs such as ampicillin, erythromycin, furazolidone and nitrofurantoin. The duration of drug therapy fluctuates according to the type and severity of infection and should be individualized.11,12

Unfortunately, our patient had a torpid evolution due to systemic involvement with organ dysfunction secondary to this infection. Severe meningitis with extensive cerebral infarcts associated with vasculopathy was diagnosed, and infective endocarditis and bacteremia were also identified. Finally, he died in the context of septic shock due to K. Rosea.

Conclusion

Kokuria rosea behaves as an opportunistic germ capable of forming biofilms and causing multisystemic involvement; therefore, it is necessary to change the concept that it is a harmless commensal and recognize it as a potentially lethal opportunistic bacterium.

Acknowledgments

None.

Conflicts of interest

Authors declare that there is no conflict of interest.

References

  1. Hassan RM, Bassiouny DM, Matar Y. Bacteremia Caused by Kocuria kristinae from Egypt: Are There More? A Case Report  and Review of the Literature. Case Rep Infect Dis. 2016;2016:6318064.
  2. Purty S, Saranathan R, Prashanth K, et al. The expanding spectrum of human infections caused by Kocuria species: a case  report and literature review. Emerg Microbes Infect. 2013;2(10):e71.
  3. Altuntas F, Yildiz O, Eser B, et al. Catheter-related bacteremia due to Kocuria rosea in a patient undergoing  peripheral blood stem cell transplantation. BMC Infect Dis. 2004;4(1):62.
  4. Dotis J, Printza N, Papachristou F. Peritonitis due to uncommon gram-positive pathogens in children undergoing  peritoneal dialysis. Hippokratia. 2012;16(3):267–268.
  5. Savini V, Catavitello C, Masciarelli G, et al. Drug sensitivity and clinical impact of members of the genus Kocuria. J Med Microbiol. 2010;59(Pt 12):1395–1402.
  6. Citro R, Prota C, Greco L, et al. Kocuria kristinae endocarditis related to diabetic foot infection. J Med Microbiol. 2013;62(Pt 6):932–934.
  7. Enç Y, Cinar B, Konuralp C, et al. Peripheral mycotic aneurysms in infective endocarditis. J Heart Valve Dis. 2005;14(3):310–316.
  8. Srinivasa KH, Agrawal N, Agarwal A, et al. Dancing vegetations: Kocuria rosea endocarditis. BMJ Case Rep. 2013;2013:1–2.
  9. Moreira JS, Riccetto AGL, da Silva MTN, et al. Endocarditis by Kocuria rosea in an immunocompetent child. Brazilian J Infect Dis. 2015;19(1):82–84.
  10. Kumar CG, Sujitha P. Kocuran, an exopolysaccharide isolated from Kocuria rosea strain BS-1 and evaluation of its in vitro immunosuppression activities. Enzyme Microb Technol. 2014;55:113–120.
  11. Gunaseelan P, Suresh G, Raghavan V, et al. Native valve endocarditis caused by Kocuria rosea complicated by peripheral  mycotic aneurysm in an elderly host. J Postgrad Med. 2017;63(2):135–137.
  12. Takarada H, Sekine M, Kosugi H, et al. Complete genome sequence of the soil actinomycete Kocuria rhizophila. J Bacteriol. 2008;190(12):4139–4146.
Creative Commons Attribution License

©2023 Mingan, et al. This is an open access article distributed under the terms of the, which permits unrestricted use, distribution, and build upon your work non-commercially.