Submit manuscript...
MOJ
eISSN: 2381-179X

Clinical & Medical Case Reports

Case Report Volume 5 Issue 2

A rare case of gaint cell tumour of phalanx of great toe

Vijaya Kumar Sadha Nandham

Gokulam ortho hospital, India

Correspondence: Vijaya Kumar Sadha nandham, Professor of orthopaedic surgery, Gokulam ortho hospital, India

Received: September 14, 2016 | Published: November 25, 2016

Citation: Nandham VKS. A rare case of gaint cell tumour of phalanx of great toe. MOJ Clin Med Case Rep. 2016;5(2):202-203. DOI: 10.15406/mojcr.2016.05.00128

Download PDF

Abstract

Giant cell tumors are benign tumors. They mostly occur after skeletal maturity. The long bones are commonly involved. Tumors involving the phalangeal bone of foot are very uncommon. The author reports a case of giant cell tumour involving the distal phalanx of great toe. A 30year old male has presented with swelling of great toe of right foot. X-ray showed an osteolytic lesion in distal phalanx of great toe. We did a En-block resection of phalanx. Histopathology showed Giant cell tumor. There was no recurrence of tumor on follow up. Giant cell tumor in such a location is usually aggressive and needs regular follow-up to detect local recurrence.

Keywords: giant cell tumor, foot, interphalangeal joint, tumor, lesion, cortex, engorged veins, musculo skeletal system

Introduction

Giant cell tumor of bone is a rare benign bone tumour accounting for approximately 4% of all primary neoplasm. It typically involves the long bones in young adults. Tumor involving the phalanges of foot is very rare. Only a few cases have been reported.1,2 In this location it occurs more often in young female population and it appears to present a more aggressive behavior than in other location. We present a case of giant cell tumor of distal phalanx of great toe.

Case report

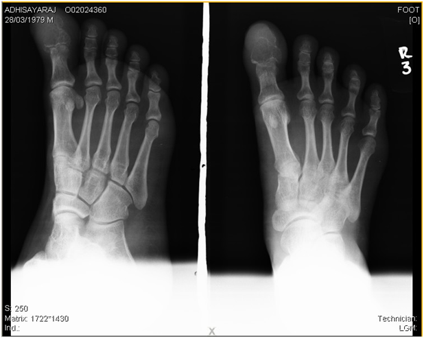
A 30year old male had presented to us with pain and swelling of right big toe of one year duration. The swelling was gradually increasing in size. The swelling was associated with pain. There was no other swelling anywhere else in the body. No constitutional symptoms. On examination there was diffuse swelling of the great toe. Skin was stretched and shiny. There were no engorged veins. The swelling was variable in consistency. The movement of interphalangeal joint was restricted. The x-ray showed an osteolytic lesion involving the distal phalanx. The cortex was eroded and lesion was extending into the soft tissue. The routine blood investigations were normal. Serum alkaline phosphatase level was normal. We had a differential diagnosis of giant cell tumor and bone cyst. We had done excision of the distal phalanx. Since the lesion was extending into the soft tissue we had planned for a radical excision. The biopsy showed giant cell tumor of the distal phalanx. Regular follow up of the patient showed no recurrence of the tumor.

Discussion

Giant cell tumors usually occur in third and fourth decade of life, the most common area involved is around knee joint (70%). Distal radius is the second most common location. The foot is a rare site, accounting for less than 1% of all tumors of musculo skeletal system. In foot approximately 50% of giant cell tumors are seen in the talus. Literature showed only three other case reports of giant cell tumor of phalangeal bone of foot.1–3 Giant cell tumors of bones in foot are known to occur in a younger age group more often in females and they tend to have more aggressive behavior both clinical and radiological than in other location.4,5 They usually present with pain and swelling of the foot. Symptoms are rapidly progressive and the diagnosis is delayed as symptoms may usually the attributed to non specific foot pathology.

In long tubular bones, radiological differential diagnosis includes chondroblastoma, aneurysmal bone cyst, and non ossifying fibroma.6–8 When giant cell tumor occur in long bone X-ray shows a lytic lesion centered in epiphysis but involving the metaphysis and extending at least in part to adjacent articular cortex. No periosteal reaction is appreciated unless a fracture is present. The primary foot lesions consisted mostly of purely lytic defects of bone with some degree of trabeculation which is usually minimal. Some were purely lytic and no lesion was sclerotic. The tumors are aggressive. Most of them were expansile. The cortex showed areas of destruction in most cases. Like long bones no periosteal reaction were observed in the giant cell tumor of the foot.7 It is important to differentiate Histologically these tumors from other giant cell containing lesions of foot such as giant cell reparative granuloma, aneurysmal bone cyst and chondroblastoma. The histological features of giant cell tumor are the giant cell component having a uniform distribution in a mono nuclear round oval stromal cell background. Microscopic appearance of our specimen showed classic finding of giant cell tumour. The histopathological finding seen were a tumor composed to numerous uniformly distributed osteoclastic type giant cells and intervening cellular stoma showing mononuclear spindle cells.

The standard treatment of this tumor has traditionally been intra lesional excision, aggressive curettage with or without bone grafting. The recurrence rates are high after this procedure. The recurrence of tumor has been reduced, by using chemical or physical means of inducing necrosis of any remaining neoplastic tissue. The other surgical option is en-bloc resection of involved bone segment. We choose the last option for this patient because of aggressive features of the lesion. Giant cell tumour involving the phalanx in foot is very rare. These are aggressively growing tumors. Giant cell tumor in such a location need regular follow to detect local recurrence (Figure 1).

Figure 1 cell tumour of phalanx of great toe.

Acknowledgements

None.

Conflict of interest

The author declares no conflict of interest.

References

Creative Commons Attribution License

©2016 Nandham. This is an open access article distributed under the terms of the, which permits unrestricted use, distribution, and build upon your work non-commercially.