Submit manuscript...
MOJ
eISSN: 2381-179X

Clinical & Medical Case Reports

Case Report Volume 12 Issue 1

Abdominal distension and constipation as the first manifest of the annular pancreas: a case report from Syria

Leen Jamel Doya,1 Maria Naamah,1 Razan Omran,1 Omar Aljanati,1 Ammar Omran,2 Ali Ibrahim3

1Department of Pediatrics, Department of Pediatrics, Tishreen university hospital, Syria
2Assistant professor of Pediatric Surgery, Department of Pediatric surgery, Tishreen University Hospital, Faculty of Medicine, Syria
3Department of Pediatrics, Professor of Gastroenterology and Hepatology, Tishreen university hospital, Syria

Correspondence: Leen Jamel Doya, MD, Department of Pediatrics, Tishreen university hospital, Lattakia, Syria, Tel 96399285698

Received: March 12, 2022 | Published: May 9, 2022

Citation: Doya LJ, Naamah M, Omran R, et al. Abdominal distension and constipation as the first manifest of the annular pancreas: a case report from Syria. MOJ Clin Med Case Rep. 2022;12(1):5-6. DOI: 10.15406/mojcr.2022.12.00407

Download PDF

Abstract

Abdominal distention and constipation in children can be challenging as clinical problems. The number of possible diagnoses is very large and may be related to rare surgical causes. It can be rarely caused by an annular pancreas. Early recognition is essential for preventing delays in management and potential complications. Here we report a case of an incomplete annular pancreas presenting as abdominal distention and constipation in a 1.5-year-old Syrian boy. The diagnosis was made through an abdominal computed tomography scan (CT).

Keywords: abdominal distention, constipation, incomplete annular pancreas

Introduction

Abdominal distension (AD) is an increase in the circumference of a child’s abdomen that may be physiologic or pathologic.1 Pathologic AD may be associated with functional or mechanical intestinal obstruction for many causes.  Early diagnosis of pathologic AD is essential to reducing morbidity and mortality.2 The annular pancreas (AP) is a rare congenital anomaly reported by Tiedman in 1818 and named AP by Ecker in 1862.3 It is caused by the failure of normal migration of the ventral pancreatic bud, so pancreatic tissue encircling the duodenum.4 The incidence of AP is unclear; autopsy and surgical series estimated the incidence to be seen in 1-3 of every 20,000 with only 737 cases have been reported in the English literature.5 AP has a wide range of clinical manifestations depending on the degree of obstruction or duodenal stenosis. The typical presence of AP in infants is a non-bilious vomiting, abdominal distention, and feeding intolerance that can mimic a wide range of diseases.4

Case report

A 9-month-old girl was presented to our department with severe bilious intermittent vomiting with constipation and abdominal distension. She was born at full term with a birth weight of 3.5 kg. Since birth, she had mild regurgitation vomiting after breastfeeding. At 9 months of age after starting solid feeding, the vomiting became bilious, more severe, and occurred 1h to 2h after feeding. She appeared hungry immediately after vomiting. She had decreased weight gain. Abdominal distension and constipation began from 6 months.  The family started seeking medical advice. Investigations were performed that excluded hypothyroidism, Hirschsprung disease, and celiac disease. The patient had been offered a gluten-free diet and anti-reflux treatments without improvement.

On physical examination, her body weight was 8.5 kg (-3 SD), the length was 79 cm (M), she was pallor and vitally stable. The abdomen was distended but soft, with no masses or organomegaly.  The patient underwent multiple investigations: complete blood count (CBC),  blood gas test, renal and liver function, electrolytes (K, Ca, Na, P, Fe), vitamin D, glucose, thyroid-stimulating hormone (TSH), anti-gliadin antibodies IgA, IgG (AGA IgA, IgG), anti-tissue transglutaminase antibodies IgA (anti-TTG IgA) were normal. Urinalysis, culture, and sensitivity were within normal limits.

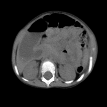
Abdominal ultrasound was normal with no hypertrophic in the pylorus. Barium enema was normal that exclude Hirschsprung disease. Abdominal X-ray showed expansion in the stomach with malposition of gases (Figure 1). Esophagogastroduodenoscopy (EGD) was performed that showed severe duodenal expansion at segment 2 followed by severe narrowing and inability to cross. An abdominal computed tomography scan (CT) showed the annular pancreas surrounding segment 2 of the duodenum (Figure 2). The patient did not have associated anomalies of the annular pancreas (Echocardiography, ECG, and abdominal ultrasound did not show any anomaly). The patient underwent surgery, an incomplete annular pancreas with duodenal stenosis in the second portion of the duodenum was observed. Duodenojejunostomy was performed (Figure 3a, 3b). The postoperative course was uncomplicated, and oral feeding was tolerated from the fourth day. The patient was discharged from the hospital on the 8th day after the operation. On follow-up, the patient was asymptomatic with normalweightgain.

Figure 1 Abdominal X-ray showed expansion in the stomach with malposition of gases.

Figure 2 An abdominal CT showed the annular pancreas surrounding segment 2 of the duodenum.

Figure 3 The surgery showed an incomplete annular pancreas with duodenal stenosis in the second portion of the duodenum and duodenojejunostomy was done.

Discussion

In the literature review, AD and constipation as the first manifestation of AP are extremely rare.  Partial AP causes incomplete narrowing in the duodenum that milk can generally pass through without difficulty. However, it may subsequently cause worsening symptoms after the start of the solid foods.6 Our patient suffered from abdominal destination and constipation at the age of 6 months as a result of the delay in the passage of milk through the narrowed area. After starting solid food at the age of 9 months, vomiting became bilious, more severe, and occurred 1h to 2h after feeding.

AP is often associated with other congenital abnormalities such as congenital heart disease, Down syndrome, malrotation of the midgut, imperforate anus, and esophageal atresia.7 The diagnosis of AP was usually made with an upper GI series or an abdominal computed tomography scanning (CT) that showed a thin band of pancreatic tissue in partial AP. The surgery remains the gold standard of AP diagnosis.8 In our case, abdominal X-ray, EGD, abdominal CT helped to diagnosis that was confirmed by surgery.

The treatment of AP is surgical to relieve the duodenal obstruction. Various procedures have been bypassing the obstructed duodenum by duodenoduodenostomy, either side-to-side or diamond-shaped, to avoid major ductal structures.9 Early postoperative complications include anastomotic leak with intra-abdominal sepsis. While long term complications recurrent abdominal pain, diarrhea, and gallstone formation.5 Our case was unique in that it reviewed a rare presentation of AP in children. Early investigations play an essential role in establishing AP from the other diagnosis which helps to treat and prevent complications.

Ethics approval and consent to participate

This case report did not require review by the Ethics Committee Tishreen university hospital, Lattakia, Syria.

Consent for publication

Written informed consent was obtained from the patient’s parents for publication of this Case report and any accompanying images. A copy of the written consent is available for review by the Editor.

Availability of data and material

All data generated or analyzed during this study are included in this published article.

Authors' contributions

All authors have read and approved the manuscript.

Funding

No funding was obtained for this study.

Acknowledgments

We wish to thank the medical officer, doctors in the Pediatric and Pediatric surgery departments, and laboratory assistants in Tishreen Hospital laboratory.

Competing interests

All of the authors declare that they have no competing interests.

References

Creative Commons Attribution License

©2022 Doya, et al. This is an open access article distributed under the terms of the, which permits unrestricted use, distribution, and build upon your work non-commercially.