Submit manuscript...
MOJ
eISSN: 2381-179X

Clinical & Medical Case Reports

Case Report Volume 9 Issue 4

Abdominal pain, diabetes mellitus and an absent piece of pancreas

Vidhyachandra Gandhi,1 Pratik Gautam,2 Nitin Pai,3 Sujai Hegde4

1 Consultant, GI & HPB Surgery, India
2Resident, General Surgery, India
3Consultant, Medical Gastroenterology, India
4Consultant, Surgical oncology, India

Correspondence: Vidhyachandra Gandhi, Department of GI & HPB Surgery, Ruby Hall Clinic, India

Received: August 06, 2019 | Published: August 13, 2019

Citation: Gandhi V, Gautam P, Pai N, et al. Abdominal pain, diabetes mellitus and an absent piece of pancreas. MOJ Clin Med Case Rep. 2019;9(4):96-98 DOI: 10.15406/mojcr.2019.09.00313

Download PDF

Abstract

Pancreatic ductal anomalies secondary to developmental failure of ventral or dorsal pancreatic buds have been reported. Dorsal pancreatic agenesis is an uncommon congenital pancreatic ductal anomaly leading to recurrent acute pancreatitis. We report a middle aged diabetic gentleman, with recurrent acute pancreatitis, due to an absent piece of pancreas. The diagnosis of dorsal pancreatic agenesis was made on magnetic resonance imaging during the aetiological work up.

Keywords: pancreas, ductal anomalies, recurrent pancreatitis, congenital anomalies, HPB surgery, pancreatic agenesis

Abbreviations

U/L, units per litre; IgG4, immunoglobulin G4; MRCP, magnetic resonance cholangiopancreatography; CT, computed tomography

Introduction

Agenesis of dorsal pancreas is an uncommon congenital anomaly due to defective development. Since its description in 1911, till date approximately 100 cases have been reported in literature.1 We share our experience with a gentleman who had abdominal pain, diabetes and was found to have an absent piece of pancreas on imaging.

Case details

A 55 years non-alcoholic gentleman was admitted through emergency medical services with sudden severe upper abdominal pain in the epigastrium with radiation to back. The pain in the upper abdomen was associated with recurrent bouts of bilious vomiting. He denied history for any other gastrointestinal symptoms. He is a known diabetic since last 3 years requiring insulin and oral hypoglycaemic agents. He has had similar episode of pain six months ago which was managed conservatively elsewhere. He was clinically stable with tenderness in the epigastrium.

All his laboratory parameters were normal except for raised amylase (650U/L) and lipase (1200U/L). Ultrasound abdomen revealed a bulky oedematous pancreas with minimal free fluid. There were no gall stones and common bile duct was normal. A working diagnosis of mild acute pancreatitis was made as there was no evidence of organ failure. He was managed in the intensive care unit for 48hrs with IV fluids, enteral nutrition and later shifted into ward. His lipid profile, serum calcium, serum parathyroid hormone levels and serum IgG4 levels were normal. He was advised magnetic resonance cholangiopancreatography (MRCP) for etiological work-up which he denied, only to report again after three months with similar symptoms.

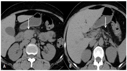
Computed tomography (CT) scan of abdomen showed oedematous pancreatic head (Figure 1A), with absence of pancreatic body and tail (Figure 1B). MRCP was done which showed pancreatic duct only in the head region with its non visualisation in the body and tail (Figure 2). These features were suggestive of dorsal pancreatic agenesis.

Figure 1 CT scan abdomen image showing oedematous pancreatic head (Figure 1A), with absence of pancreatic body and tail (Figure1B).

Figure 2 MRCP image showing short ventral duct in the pancreatic head region (short arrow) and absence of duct in the body/tail region (long arrow).

Treatment

The patient was placed on dietary modifications.

Outcome and follow-up

His sugars are in control with insulin and oral hypoglycaemic agents.

Discussion

Congenital ductal anomalies of pancreas are being reported more frequently due to better availability of imaging modalities. Although complete and ventral pancreatic agenesis are very rare and incompatible with life,2 few cases of dorsal pancreatic agenesis have been reported.

During embryogenesis the pancreas develops from ventral and dorsal buds on opposite side of foregut. Ventral bud is responsible for pancreatic head/uncinate development, while dorsal bud makes the body and tail. The head and uncinate process drains through the duct of Wirsung, while the body/tail through the duct of Santorini. Failure of development or regression of the dorsal bud is responsible for dorsal pancreatic agenesis.3

Approximately fifty percent of these patients are asymptomatic or diagnosed incidentally. In symptomatic patients the commonest presentation is recurrent abdominal pain secondary to recurrent acute pancreatitis. There are several reasons claimed for the occurrence of recurrent acute pancreatitis. Dysfunction of Sphincter of Oddi, hypertrophy of ventral pancreas and raised pancreatic intraductal pressure are believed to be responsible for acute pancreatitis.4 Diabetes occurs due to lack of islet cells which are dominant in body and tail of pancreas. Pancreatic exocrine insufficiency has also been reported in patients with dorsal pancreatic agenesis.5

The reported anomalies with agenesis of dorsal pancreas are heterotaxy, polysplenia syndrome, ectopic spleen, malrotation of gut, coarctation of the aorta, tetralogy of Fallot, atrioventricular valvular abnormalities, and total anomalous pulmonary venous connection.6 Pancreatic cancer,7 neuroendocrine tumour,8 serous cystadenoma9 and solid pseudopapillary tumour10 have been reported in patients with dorsal ductal agenesis.

This condition needs to be differentiated from pancreatic divisum, pancreatic lipomatosis and pseudoagenesis. Chronic pancreatitis can lead to complete atrophy of body and tail (pseudoagenesis) mimicking dorsal agenesis.11 Individuals with chronic pancreatitis often are chronic alcoholics/smokers with antecedent history of recurrent abdominal pain with typical findings on imaging. Although our patient had recurrent acute pancreatitis he denied history for alcohol or smoking and also CT failed show any features of chronic pancreatitis. Distal pancreatic lipomatosis is characterised by significant amount of fat in the body/tail region which appears hypodense on the CT scan mimicking dorsal agenesis. Absence of dependant stomach and small bowel sign would help to differentiate this condition from dorsal agenesis.12

MRCP and CT scan are useful tools in diagnosing agenesis of dorsal pancreas. Ultrasound has limitations due to its operator dependence and overlying bowel gas. CT scan shows absence of pancreatic body and tail. The pancreatic space is occupied by the stomach or small bowel termed as dependant stomach or small bowel sign.12 MRCP is a non invasive accurate diagnostic test revealing absence of ductal system in the body/tail region. A complete absence of dorsal pancreatic duct with presence of short ventral pancreatic duct is essential for diagnosis of dorsal duct agenesis, as was seen in our patient. In our patient CT scan and MRCP helped to clinch the diagnosis. EUS is also described as a modality to diagnose dorsal agenesis,13 but is expensive, invasive and operator dependant.

Treatment of this condition is managing the episodes of pain with medications. The pancreatitis is usually mild in nature and there are no reports of these patients requiring necrosectomy for remnant pancreas. Our patient did require repeated admissions with symptoms being controlled with medications. Dietary modifications with low fat diet have decreased his episodes of pain.

Acknowledgments

None.

Funding

None.

Conflicts of interest

There is no conflict of interest.

References

  1. Liang K, Ou X, Huang X, et al. Agenesis of the dorsal pancreas: a rare cause of insulin–dependent diabetes without abdominal pain: Case report. Medicine (Baltimore). 2018;97(9):e0046.
  2. Voldsgaard P, Kryger–Baggesen N, Lisse I. Agenesis of pancreas. Acta Paediatr. 1994;83(7):791–793
  3. Fukuoka K, Ajiki T, Yamamoto M, et al. Complete agenesis of the dorsal pancreas. J Hepatobiliary Pancreat Surg. 1999;6(1):94–97.
  4. Rakesh K, Choung OW, Reddy DN. Agenesis of the dorsal pancreas (ADP) and Pancreatitis – is there an association? Indian J Gastroenterol. 2006;25(1):35–36
  5. Doxey BW, Jackson WD, Adler DG. A unique presentation: Dorsal agenesis of the pancreas manifesting as pancreatic exocrine insufficiency in the absence of diabetes mellitus in an 8–year–old boy. Dig Dis Sci. 2008;53(7):2005–2006.
  6. Schnedl WJ, Piswanger–Soelkner C, Wallner SJ, et al. Agenesis of the dorsal pancreas and associated diseases. Dig Dis Sci. 2009;54:481–487.
  7. Rodrigues P, Oliveira RC, Oliveira CM, et al. Neuroendocrine tumour in pancreatic dorsal agenesis: a rare association. BMJ Case Rep. 2017; 23:2017.
  8. Dumitraşcu T, Scarlat A, Diaconescu A, et al. Dorsal pancreas agenesis and ductal adenocarcinoma: surgical implications of an extremely rare association. Chirurgia (Bucur). 2012;107(3):389–392
  9. Ulusan S, Bal N, Kizilkilic O, et al. Case report: solid–pseudopapillary tumour of the pancreas associated with dorsal agenesis. Br J Radiol. 2005;78(929):441–443.
  10. Inadome N, Yamaguchi K, Shimizu S, et al. Serous cystadenoma of the pancreas with hypoplasia of the dorsal pancreas: report of a case. Nihon Shokakibyo Gakkai Zasshi. 1998;95(5):455–459.
  11. Suda K, Matsumoto Y, Fujii H, et al. Clinicopathologic differentiation of atrophy of the pancreatic body and tail aplasia. Int J Pancreatol. 1998;24(3):227–235.
  12.  Karcaaltincaba M. CT differentiation of distal pancreas fat replacement and distal pancreas agenesis. Surg Radiol Anat. 2006;28(6):637–641.
  13. Sempere L, Aparicio JR, Martinez J, et al. Role of endoscopic ultrasound in the diagnosis of agenesis of the dorsal pancreas. JOP. 2006;7(4):411–416.
Creative Commons Attribution License

©2019 Gandhi, et al. This is an open access article distributed under the terms of the, which permits unrestricted use, distribution, and build upon your work non-commercially.