Submit manuscript...
MOJ
eISSN: 2381-179X

Clinical & Medical Case Reports

Case Report Volume 8 Issue 4

Acute on chronic liver failure due to primary hepatic sarcomatoid carcinoma triggered by neoplastic portal thrombosis

Chetan Ramesh Kalal

Global Institute of Liver Diseases, HPB surgery and Transplantation, India

Correspondence: Chetan kalal, Global Institute of Liver Diseases, HPB surgery and Transplantation, India

Received: May 10, 2018 | Published: July 10, 2018

Citation: Kalal CR. Acute on chronic liver failure due to primary hepatic sarcomatoid carcinoma triggered by neoplastic portal thrombosis. MOJ Clin Med Case Rep. 2018;8(4):149-150. DOI: 10.15406/mojcr.2018.08.00262

Download PDF

Introduction

Acute on chronic liver failure (ACLF) is associated with high short-term mortality. ACLF as a presentation of primary hepatic sarcomatoid carcinoma (PHSC) has never been reported before.

Case Report

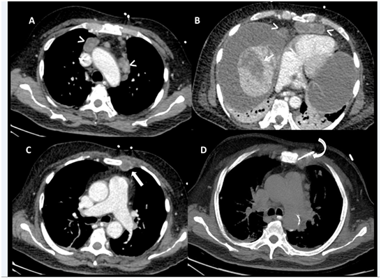
A sixty five-year-old male, diagnosed as a case of non-alcoholic steato-hepatitis related compensated chronic liver disease since one year, presented to us with complaints of progressive non cholestatic jaundice without prodrome for a period of 20 days. This was followed by painless abdominal distension and decreased urine output. The patient subsequently developed altered sensorium in a period of two days associated with excessive drowsiness along with high grade fever. He was teetotaller with history of type II diabetes since 12 years and had no other co-morbidities .There was no history of blood transfusions, alternative medicine intake. He was intubated outside and shifted to us on ventilator and inotropic support. Labs results showed haemoglobin 9.6 g/dL, white blood cell 27880/mm3 ,platelet 98000/mm3, BUN 93 mg/dL ,serum creatinine 4.01mg/dL ,severe metabolic acidosis with arterial lactate of 4.5 mmol/L. Liver function tests showed AST 40 U/L, ALT 32 U/L, alkaline phosphatase 129 U/L, GGT 45 U/L and bilirubin of 1.18 mg/dl. PT INR was 4.5 with very low fibrinogen. Acute viral markers (hepatitis A & E) and hepatitis B and C serology were negative, malaria antigen and leptospira IgM were nonreactive. Autoimmune markers were negative. Ultrasonography(USG) showed features of liver cirrhosis with portal hypertension. It also showed ill-marginated ill-defined subtle hypoechoic lesion in superior segment of right lobe with hypoechoic thrombus in right hepatic vein protruding into the inferior vena cava (Patients had been regularly following and his USG 3 months ago did not show any SOL). Ascitic fluid white cell count (842 cells/dL) with 72% neutrophils suggested spontaneous bacterial peritonitis. The α-fetoprotein level was 82 ng/mL. CA 19-9 and CEA were normal. Continuous renorenal replacement was initiated along with aggressive medical management for metabolic acidosis and hemodynamic instability. Contrast CT scan confirmed liver cirrhosis, gross ascites and splenomegaly (Figure 1) it also revealed a hypo-dense, ill-marginated, non-enhancing, sub-capsular mass in segment VII and VIII with non-enhancing, occlusive skip thrombi in the right hepatic vein protruding into IVC, occlusive thrombus of the right and main portal veins protruding into the left portal vein and retro-pancreatic splenic vein. Multiple enlarged necrotic pre-vascular, anterior peridiaphragmatic and pericardial lymph-nodes were also seen (Figure 2). In view of coagulopathy ,hemodynamic instability and cirrhosis it was decided to do the internal mammary lymph node after TEG based correction of coagulopathy . It showed (Figure 3) cells with biphasic neoplasm with epithelioid and spindle cells, marked nuclear pleomorphism with giant and bizarre nuclei and a high Ki-67 index. IHC showed strong coexpression of PanCK and Vimentin and was negative for LCA, CK7, CK20, TTF1, Hep Par-1, Glypican 3, p40. These features were suggestive metastatic PHSC. Meanwhile patient’s condition rapidly worsened over period of 5 days with development of multi organ failure. He eventually succumbed on the seventh day of hospital stay.

Figure 1 Contrast CT scan confirmed liver cirrhosis, gross ascites and splenomegaly.

Figure 2 Multiple enlarged necrotic pre-vascular, anterior peridiaphragmatic and pericardial lymph-nodes.

Figure 3 cells with biphasic neoplasm with epithelioid and spindle cells, marked nuclear pleomorphism with giant and bizarre nuclei and a high Ki-67 index.

Discussion

PHSC is a very rare tumor, reported in head and neck, lungs, skin, breasts, urinary tract and small intestines but rarely in liver,1 with clinical incidence of less than 1.8% and autopsy incidence of 3.9%.2 Transformation of HCC into a sarcomatoid component is reported after ethanol injections, trans-arterial chemoembolization (TACE) and radio-frequency ablation (RFA).3 Clinically, PHSC is very aggressive compared to HCC including the risk of extra-hepatic metastasis, most common sites being lungs (57%), lymph nodes (57%) and peritoneal (29%).2 Radiological features of HCC and PHSC are similar making it impossible to differentiate it without a biopsy. Only a representative biopsy from the sarcomatoid component of lesion, which can be difficult to target, can confirm the diagnosis.3,4 Since the tumor is often associated with enlarged lymph nodes, a biopsy from one of the superficial lymph nodes may be safe; as was performed in our case. However, lymph node positivity at a distant site represents advanced stage of the disease with poor prognosis, but is nevertheless valuable in establishing the diagnosis and planning treatment.

We describe a rare case ACLF due to PHSC precipitated by malignant portal vein thrombosis, in whom the diagnosis was established with metastatic lymph node biopsy and IHC. We believe that this strategy is safer and obviates the risk associated with biopsy of the highly vascular liver tumor, especially in a cirrhotic patient. PHSC is an aggressive tumor with high recurrence and mortality risk compared to HCC and therefore important to consider in the differential diagnosis.

Acknowledgements

None.

Conflict of interest

Author declares that there is no conflict of interests.

References

Creative Commons Attribution License

©2018 Kalal. This is an open access article distributed under the terms of the, which permits unrestricted use, distribution, and build upon your work non-commercially.