Submit manuscript...
MOJ
eISSN: 2381-179X

Clinical & Medical Case Reports

Case Report Volume 12 Issue 1

Anterior crossbite correction using a removable orthodontic appliance: a case report

Panchali Batra,1 Ishita Agarwal,2 Sakshi Katyal3

1Department Of Orthodontics, Faculty of Dentistry, India
2Faculty of Dentistry, India
3Department of Orthodontics, Faculty of Dentistry, India

Correspondence: Panchali Batra, Professor, Department of Orthodontics, Faculty of Dentistry, Jamia Millia Islamia, New Delhi, India

Received: February 17, 2022 | Published: March 1, 2022

Citation: Batra P, Agarwal I, Katyal S. Anterior crossbite correction using a removable orthodontic appliance: a case report. MOJ Clin Med Case Rep. 2022;12(1):1-3. DOI: 10.15406/mojcr.2022.12.00406

Download PDF

Abstract

Commercialisation has had profound effect on how dental services are provided. Many of the appliances and treatment modalities are market driven at exorbitant prices leaving the lower socioeconomic status people stigmatized. This paper is an attempt to revisit the simple removable appliance, providing limited corrective orthodontics in cases of mild to moderate malocclusion, which can be a justified as an alternative to complex appliances. This paper presents a case of a young girl with single anterior tooth crossbite, which was corrected by a removable appliance. An expansion appliance incorporating z-spring and posterior bite plane was used to correct the malocclusion. These appliances can be easily fabricated, are cost effective and are very helpful in treating the masses in areas with minimum support like villages.

Keywords: removable appliance, anterior crossbite, hawleys appliance, frontal smile aesthetic

Introduction

The position of upper anterior teeth, also known as the social six, is extremely important for a confident smile and frontal aesthetic.1 Many malocclusions can spoil the frontal aesthetics and amongst one of them is anterior crossbite. An anterior crossbite is an abnormal labiolingual association of one or more maxillary incisors.2

The aetiology of anterior crossbite depends on a variety of factors which includes imbalance between the dental, functional and skeletal components of an individual.3 Dental anterior crossbite can be seen in a single tooth or involving multiple anterior teeth. Major etiological factors include over-retained or delayed exfoliation of deciduous tooth, presence of supernumerary teeth, crowding, and trauma at an early age.4,5

Anterior interferences can lead to mandibular restriction or deviation leading to functional anterior crossbite or Pseudo Class III malocclusion.3 Skeletal anterior crossbite can result from one of the following skeletal abnormalities retrognathic maxilla, prognathic mandible or a combination of two. For appropriate clinical treatment, differential diagnosis of skeletal versus dental anterior crossbite must be done.6

There are multiple modalities for treating anterior crossbite depending upon factors like cause of crossbite, space availability in the arch, patient’s age etc. In the early stages of anterior crossbite, tongue blade and Catlan’s appliance can be used. Crossbite of dental origin can be corrected by simple removable appliances incorporating some springs or screws to correct the axial inclination of the involved teeth. Crossbites of skeletal origin require use of extra-oral devices like a face mask, chin cup, or surgical intervention at an adult age.7 The correction of crossbites should be advised as soon as they are seen. In developing nations many such malocclusions might not get the appropriate treatment either due to lack of awareness, poor access, and high associated cost of the treatment or in appropriate referral by the primary dentist. By the time they are referred to an orthodontist, malocclusions like crossbite had already caused enamel wear, loss of attachment, mobility of teeth or deviation of normal jaw growth and asymmetry.8 Therefore the purpose of this article is to educate general dental practitioner about the use of simple removable appliances to correct minor malocclusion at its inception. This article documents a case where a removable appliance addressed the patient’s chief complaint and corrected the single tooth anterior crossbite.

Case report

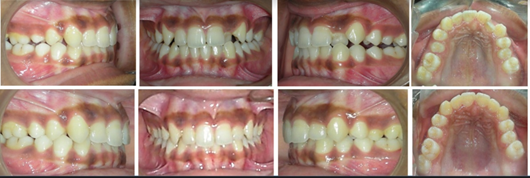
A 13 year old female patient presented with a chief complaint of lingually placed front teeth and its unaesthetic appearance. A detailed case history was taken, the patient had no significant medical and dental history. Informed consent was taken from parent to publish facial photographs. On Extra-oral examination, patient had pleasing orthognathic profile with potentially competent lips (Figure 1). On intra-oral examination, patient was found in late mixed dentition with erupting second pre-molars. She had Class III molar and canine relation on left and Class I molar and canine relation on right side of jaw. The patient’s left maxillary permanent lateral incisor (Tooth 22) was in crossbite with left mandibular permanent canine (Tooth 33). Maxillary dental midline shift to left by 3mm was evident. Patient had poor posterior intercuspation with posterior crossbite tendency due to narrow maxillary arch (Figure 2).

Figure 1 Pre-treatment extra-oral frontal and profile view of patient depicting orthognathic profile.

Figure 2 Pre-treatment & Post-treatment intra-oral pictures of patient.

Treatment objectives

  1. To correct the crossbite by labial movement of maxillary permanent lateral incisor.
  2. To improve posterior occlusal intercuspation
  3. To improve the patient’s dental and facial aesthetics.

Treatment alternatives

The treatment options for the correction of crossbite are

  1. Comprehensive Fixed appliance therapy
  2. Removable appliance; expansion plate incorporating Z-spring and posterior bite plane
  3. Catlan’s appliance and Tongue blade therapy.

Second option was opted as the malocclusion was localised to a single tooth which could be readily corrected with Z-spring. First treatment option was not preferred as malocclusion was not complex, also comprehensive fixed orthodontic treatment adds to the financial constraints on the patient. Correction of Midline deviation was not considered as shift of up to 3mm is not comprehended by a layperson. The palatally displaced lateral incisor was fully erupted therefore option of Catlan’s appliance or tongue blade therapy was also not suitable.

The malocclusion was simple to correct with the removable appliance and in government hospital where patient load is greater such treatment options with less chair time are favoured.

Appliance design

An impression was made using alginate and two casts were prepared, a working model and a study model. The Hawley’s appliance incorporating z-spring, posterior biteplate, and midline expansion screw was fabricated. Adam’s clasp and labial bow were the retentive components of the appliance made from 21-gauge round stainless steel wire. The active components of the appliance three pin jack screw was given to gain space for alignment of lateral incisor and Z-spring to actively push the lateral incisor in the arch once the space is gained. These were stabilized using a self-cure acrylic resin (Figure 3). A posterior bite plane was incorporated for disocclusion of anterior teeth to eliminate any interference from mandibular incisors while correcting anterior crossbite.

Figure 3 Appliance design; an expansion device incorporating Z-spring with posterior bite plate and labial bow.

Treatment progress

The patient was instructed to wear the appliance for full day and remove it at the time of tooth brushing. The expansion screw was activated by one quarter turn two times a week. This was continued for 3 months for maxillary arch expansion. After gaining space from expansion, Z-spring was then activated every month till positive overjet acheived. Single tooth anterior crossbite correction was assessed periodically. The whole treatment process lasted for around 8 months after which lateral incisor got well aligned in the arch (Figure 2).

Discussion

This case was treated in a government hospital where majority of patients are from a background who cannot afford expensive treatment modalities, especially orthodontic treatment. Occlusal interferences should be corrected as and when seen to avoid functional shift.9 Based on a Randomised control trial for treatment of anterior crossbite, simple appliances like palatal plate are equally effective as complex appliances like facemask.10 The lab work in manufacturing the appliance is less complex and can be outsourced. For such patients early and easy alternative treatment option is removable appliance which can be managed by general dental practitioners even in remote and inaccessible areas.

Malocclusion involving single tooth does not require a comprehensive fixed orthodontic treatment and can be easily corrected with the removable appliances. The correction of anterior crossbite to a positive overjet is self-retentive obviating the need for retention plan.

The disadvantages of removable therapy that needs to be addressed is patient compliance for regular wear and maintenance of appliance.11 It was instructed that appliance to be stored in air tight containing water and to be cleaned with less abrasive liquid soap and soft bristle brush. The duration of wear should be entire day while sleeping and having meals also. Oral hygiene instructions were reinforced at follow-up visits.

Case appropriate decision can be made in selecting type of appliance based on malocclusion type, severity, urgency of need, logistic and patient related factors. Through this case report the general dentist is made more aware about the basic orthodontic treatment options. For country as India with huge population and 60% residing in villages such public awareness and accessible healthcare can help in improving the quality of life and wellbeing.

This helped in restoring the frontal smile aesthetics and confidence of the patient along with promotion of access of crowded teeth to tooth brush cleaning.

Conclusion

Awareness about malocclusion that needs immediate attention should be identifiable by all health care workers to prevent the complex treatment in future. Through this case we want to emphasize the use of simple removable appliances which are becoming obsolete for correction of crossbite. This method can be a good treatment modality for majority of people who cannot afford expensive fixed orthodontic treatment and which a general practitioner can also deliver. Patient satisfaction which is of prime importance for an orthodontist, was achieved through this case.

Acknowledgments

None.

Conflicts of interest

The author state that there is no conflict of interest.

Funding

None.

References

  1. Batra P, Miglani R, Saalim M. Novel Approach to Intrude Incisor by Removable Orthodontic Appliance. 2015.
  2. Kotadiya J. Anterior Cross Bite Correction with Three Different Approaches: A Series of Three Cases. Journal of Medical Science And clinical Research. 2019;7(1).
  3. Brizuela M, Palla A, N DK. Posterior Crossbite. 2021.
  4. Olsen CB. Anterior crossbite correction in uncooperative or disabled children. Case reports. Aust Dent J. 1996;41(5):304–309.
  5. Major PW, Glover K. Treatment of anterior cross-bites in the early mixed dentition. J Can Dent Assoc. 1992;58(7):574–575, 578–579.
  6. Park JH, Kim TW. Anterior crossbite correction with a series of clear removable appliances: a case report. J Esthet Restor Dent. 2009;21(3):149–159.
  7. Sockalingam SNMP, Khan KAM, Kuppusamy E. Interceptive Correction of Anterior Crossbite Using Short-Span Wire-Fixed Orthodontic Appliance: A Report of Three Cases. Case Reports in Dentistry. 2018.
  8. Jirgensone I, Liepa A, Abeltins A. Anterior crossbite correction in primary and mixed dentition with removable inclined plane (Bruckl appliance). Stomatologija. 2008;10(4):140–144.
  9. Wiedel AP. Fixed or removable appliance for early orthodontic treatment of functional anterior crossbite. Swed Dent J Suppl. 2015;(238):10–72.
  10. Showkatbakhsh R, Toumarian L, Jamilian A, et al. The effects of face mask and tongue plate on maxillary deficiency in growing patients: a randomized clinical trial. J Orthod. 2013;40(2):130–136.
  11. Littlewood SJ, Tait AG, Mandall NA, et al. The role of removable appliances in contemporary orthodontics. Br Dent J. 2001;191(6):304–306, 309–310.
Creative Commons Attribution License

©2022 Batra, et al. This is an open access article distributed under the terms of the, which permits unrestricted use, distribution, and build upon your work non-commercially.