Submit manuscript...
MOJ
eISSN: 2381-179X

Clinical & Medical Case Reports

Case Report Volume 7 issue 1

Aspergillus fumigates spondylodiscitis in an immunocompetent patient

Suresh S Pillai,1 Sivasankar Reddy,2 Sujith Thampy3

1Consultant Spine surgeon and HOD, Department of Orthopedics, India
2Resident in Orthopedics, Department of Orthopedics, India
3Consultant in Orthopedics, Department of Orthopedics, India

Correspondence: Suresh S Pillai, Consultant Spine surgeon and HOD, Department of Orthopedics, India

Received: June 17, 2017 | Published: July 7, 2017

Citation: Pillai SS, Reddy S, Thampy S. Aspergillus fumigates spondylodiscitis in an immunocompetent patient. MOJ Clin Med Case Rep . 2017;7(1):170-172. DOI: 10.15406/mojcr.2017.07.00188

Download PDF

Abstract

Spondylodiscitis is an inflammatory disease of one or more vertebral bodies and of corresponding intervertebral disc, the fungal etiology is rare, affecting mostly immunocompromised individuals. It is often delayed diagnosis by the indolence of symptoms, presenting itself as serious infection may result in important functional consequences. Here is a 69year old lady presented with complaints of low back pain and bilateral lower limb weakness. History of hypertension and electrolyte imbalance present. Diagnosed as spondylodiscitis L2-L3 with MRI. Patient underwent discectomy and biopsy. Culture grew Aspergillus fumigatus and Aspergillus galactomannan test is positive. No evidence of immunocompromised status was found. Treatment was started with Variconazole.

Introduction

Spondylodiscitis remains rare but its incidence rising, due to an increasingly susceptible population and the availability of more effective diagnostic tool.1 Fungal spondylodiscitis is relatively uncommon, mainly in non immuno compromised status. Diagnosis and treatment are challenging, requiring a multidisciplinary team. An illustrative case report and literature review presented here.

Case report

A 69yrs old lady presented to orthopedic outpatient department on 02/06/2016 with complaints of back pain since 3months duration. History of on and off fever for past 4months, decreased appetite, weight loss, decreased sleep, fatigue.

No history of trauma, bowel or bladder disturbance. She is a known case of hypertension, dyslipidemia and electrolyte imbalance.

Physical examination

pallor present and diffuse tenderness over mid back at D6,D7 region and D10,D12 region, straight leg rising test (SLRT) negative, bilateral ankle reflex exaggerated, Plantar flexor bilateral, No neurovascular deficit.

Investigations

Blood investigations-Total WBC count–13,300, ESR-111mm/1sthr, CRP-58, ALP-215 IU, Albumin-3.8gm%, Globulin-4.2gm% (Table 1).

Blood parameter

04/06/2017

27/08/2019

01/10/2017

Counts

13,300

16,700

20,600

ESR

111

122

116

CRP

58

113

72

Table 1 Blood investigation

MRI showed evidence of spondylodiscitis with paraspinal and epidural inflammation at L2-L3 levels and altered signal changes at D5, D6,D7,D9,D10 & D11 - suggestive of spondylitis (Figure 1).

Figure 1 MRI on 04/06/2016.

A CT guided biopsy was attempted from the radiology department. But sample was in adequate for a diagnosis from the pathology department. So she advised open biopsy. Relatives refused it. Then she missed follow up and was on ayurvedic treatment for 2months without any relief. She presented to the outpatient department again on 27/08/2016, with complaints of weakness of both lower limbs more on the right side, Bowel habits – constipated, Bladder function normal. On examination she had diffuse tenderness in mid thoracic to upper lumbar region, SLRT negative.

Right side

Left side

Hip flexor (L1 L2)

Grade 2 Grade 4

Knee extensor (L3)

Grade 2 Grade 4

Ankle dorsi flexors (L4)

Grade 3 Grade5

EHL (L5)

Grade 3 Grade5

Ankle plantar flexion (S1)

Grade 5 Grade5

Retroviral markers-Negative, ECHO shows-no vegetations, Urine culture grew- Pseudomonasaurogenosa.

MRI Lumbo sacral Spine showed altered signal intensity involving L2-L3 vertebral endplates and intervertebral disc with enhancing pre and paraspinal soft tissue component. Extension noted into the posterior elements of L3 vertebral body with posterior epidural component. No significant canal stenosis noted at this level.

MRI Dorsal spine shows -Contiguous altered vertebral body signal intensity also imaged at D4 to D12 levels with enhancing pre and paraspinal soft tissue component. Epidural component noted at this level with e/o cord compression and cord signal changes, Disease shows progression when compared to MRI on 4/6/16 (Figure 2). Stain, AFB Stain, TB-PCR, Culture and sensitivity (bacterial, fungal, anaerobic culture).

Figure 2 MRI was 27/08/2017.

Discectomy and biopsy L2-L3 was done on 30/08/2016, send for gram

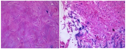
Investigations–Gram stain–Negative, AFB Stain–Negative, TB-PCR–Negative Histopathology-Showed fibrocartilagenous tissue with collections of neutrophils and lymphocytes., Numerous branching slender septate hyphae are seen (Figure 3).

Figure 3 L2-L3 disectomy specimen shows Aspergillus fumigatus. Serum Galactomannan testis - 4.7>0.5 is positive.

Treatment

Initially ATT was started empirically along with pseudomonas sensitive antibiotics according to culture report after discussion with pathologist and microbiologist ATT Stopped and Antifungal Voriconazole 200mg started twice daily. She was responding to treatment. Her pain decreased, wound healed and no improvement in the neurology was noticed (Figure 4).

Figure 4 MRI on 01/10/2017.

Outcome and follow-up

She came for follow up at 6 weeks in the outpatient department symptomatically better and responding to treatment. ESR and CRP reduced marginally. Repeat blood culture showed no growth. MRI shows Multifocal involvement of lumbar and thoracic and intervertebral discs with evidence of canal stenosis and cord compression at thoracic level, no significant change compared to previous study, posterior paraspinal soft tissue with abscess formation on right side from D11-L3 level- a new development. The case was further discussed with microbiologist and infectious disease specialist at our hospital. They advised to continue the same treatment as she was symptomatically improving. But 1 month later the relatives informed us that the patient expired at home.

Discussion

The term spondylodiscitis means primary infection of intervertebral disc by a pathogen, with secondary infection of neighbouring vertebral bodies2 spondylodiscitis is a rare disease accounting for 2-7% of all cases of pyogenic osteomyelitis with incidence varying from 1 per 10000/year to 1per 250000/year, men affected 3times more than women.3

Any age group can be affected, although spondylodiscitis is most frequent in fifth to seventh decade of life,2 however incidence increasing due to longer life expectancy with chronic debilitating disease, immunosuppressive therapy, increasing use of indwelling devices and spinal surgery.3 Haematogenous spread of pathogenic micro organism into the vertebral bodies is most common source of infection in adults, it affects preferentially the lumbar spine followed by thoracic and cervical (58%,30%,11%), possibly reflecting the relative proportion of blood flow.1 contagious infection is less common and is difficult to distinguish from direct inoculation,4 direct inoculation may occur during lumbar puncture, spinal anaesthesia, discography, chemonucleolysis, after spine surgery.4

Most important infecting organism in pyogenic osteomyelitis is staphylococcus aureus, accounting for more than 50% cases in most series from developed countries with a growing relevance of MRSA strains.5 However reported pathogens are large, less common but important pathogen include, enteric gram negative bacteria 39%, streptococci 19%, skeletal tuberculosis in 5% HIV negative patients and 60% in HIV positive patients.2 Brucellosis most common zoonosis in endemic areas, can account for 21-48% of spinal infections, representing the predominant cause in some series from Mediterranean basis and middle east.

Fungal infection of spine is relatively uncommon 0.5-1.6% usually. Vertebral aspergillos is can be classified in to 3 major categories, depending on the mode of acquisition. Direct inoculation related to trauma, spinal surgery, or epidural injection, contiguous spread from pleuro pulmonary disease which generally affects thoracic spine.6 Haematogenous infection arising from pulmonary focus occur mainly in immuno supressed patients and is caused almost exclusively by Aspergillusfumigatus. Hematogenously acquired A. flavus and Aspergillusterreus, vertebral osteomyelitis has been associated with illicit intravenous drug use. Reported cases of vertebral aspergillosis in immunocompetent hosts were used almost exclusively by A. fumigatus. Most were acquired hematogenously. Although one–quarter occurred following a spinal procedure. Inappropriate settings vertebral osteomyelitis secondary to aspergillos is need to be considered in immunocompetent patient with chronic back pain.

Back pain is the most common presenting symptom. Most patient developed discitis and osteomyelitis at 1 or multiple vertebral levels or epidural abscess,7 Early diagnosis of aspergillus spondylitis remain a challenge and require high degree of suspicion. Aspergillus spondylitis is confused with tuberculous spondylitis. Biopsy performed was definitive of diagnosis .Recently discovered biomarkers like aspergillus galactomannan, serum beta D-glucan can be used to confirm the diagnosis .Length of antifungal therapy for vertebral aspergillosis has not been established. IDSA guidelines suggest a minimum of 6-8weeks of antifungal therapy (Amphotericin B or Variconazole) in non -immunocompromised with aspergillus osteomyelitis,8 superiority of variconazole over amphotericin B for primary therapy of invasive aspergillosis has been demonstrated. Both itraconazole and variconazole are less toxic than amphotericin B. Most authors favour surgical treatment if there is advanced disease or neurological impairment,9 patients who received combined medical and surgical therapy had favourable outcome.10

Learning points

  1. Fungal spondylodiscitis is a rare entity, especially in an immuno competent patient
  2. Serious threat to the patient’s life due to diagnostic delay
  3. It remains a diagnostic and therapeutic challenge, which may result in important functional consequences.
  4. Patient’s consent is essential for evaluation.

Acknowledgements

None.

Conflict of interest

The author declares no conflict of interest.

References

Creative Commons Attribution License

©2017 Pillai, et al. This is an open access article distributed under the terms of the, which permits unrestricted use, distribution, and build upon your work non-commercially.