Submit manuscript...
MOJ
eISSN: 2381-179X

Clinical & Medical Case Reports

Case Report Volume 9 Issue 3

Atypical case of Mayer–Rokitansky–Kuster–Hauser syndrome and amyloidosis: is there a link or association?

Mervat Essam Behiry, Marwa S Eissa, Noran A Elkordy, Eman H Saad, Asmaa Ezzat

Cairo University, Internal Medicine, Egyp

Correspondence: Mervat Essam Behiry, Cairo University, Internal Medicine, Egypt, Tel 01124205071

Received: April 29, 2019 | Published: May 16, 2019

Citation: Behiry ME, Eissa MS, Elkordy NA, et al. Atypical case of Mayer–Rokitansky–Kuster–Hauser syndrome and amyloidosis: is there a link or association? MOJ Clin Med Case Rep. 2019;9(3):48-49. DOI: 10.15406/mojcr.2019.09.00301

Download PDF

Abstract

Report on a female patient presented to us with renal failure, skeletal anomalies and congenital aplasia of the uterus and the upper part (2/3) of the vagina while she had normal development of secondary sexual characteristics Androgenin sensitivity syndrome, and congenital adrenal hyperplasia (CAH)were excluded, a case of Mayer-Rokitansky-Küster-Hauser (MRKH)syndrome was suspected.

Keywords: MRKH syndrome, mullerianagensis, amylodosis , WNT4 gene mutations

Introduction

The Mayer–Rokitansky–Kuster–Hauser syndrome (MRKH syndrome), simply called Rokitansky syndrome or vaginal aplasia of the uterus, is a congenital condition that is characterized by the absence of the uterus and vagina, but ovaries are present and the external genitalia are normal. MRKH may be isolated (Type I), but it is more frequently associated with other defects (MRKH Type II).1

Renal problems such as absence or ectopia of the kidneys is not uncommon which may lead to urinary incontinence, recurrent urinary tract infections or even renal failure,2 however Amyloidosis was incriminated in our case We present this atypical case of Mayer–Rokitansky–Kuster–Hauser syndrome complicated with renal failure due to amyloid kidney to raise an inquiry is there a link between this syndrome and amyloidosis or such an association.

Case report

A 22-year-old female patient was married and nulliparous for 6years. She is a case of primary amenorrhea presented to us with vomiting of 1-month duration and she has normal developmental milestones, negative past history, regarding family history negative consanguinity and no similar condition in her family. On systematic physical review, the patient was fully conscious, pale, blood pressure was 160/100 with no postural hypotension. Height= 165cm, weight=59KGs, BMI 21.67kg/m2 (Span:172cm. upper segment was 76cm & lower segment was89cm). The patient has marfanoid features (positive wrist sign, high arched palate, Span>hight, lower segment> Upper segment, Cubitusvalgus, aortic regurgitation Prominent carotid pulsations Corrigan’s sign, Pistol shot were present).Cardiac examination showed muffled S1,soft Pan systolic murmur on the apex radiating to axilla, with accentuated pulmonary component of S2, harsh ejection systolic murmur. Chest and abdominal examination were completely free patient has Tanner stage (4) for breast Examination, normal External genatalia. Fundus examination revealed hypertensive retinopathy. CBC showed microcytic hypochromic anemia (Hb8.7) with elevated kidney functions creatinine was 10mg/dl, urea 260mg/dl for which she received session of hemodialysis. Urine analysis Was normal, Her abdominopelvic ultrasonography revealed Both ovaries were not visible, Uterus was not visible., Both kidneys were visualized with normal sized and site kidneys with Grade 3 Parenchyma Hormonal Profile was unremarkable Normal Levels of FSH, LH, TSH, ACTH, and DAHEA. And testosterone,17hydroxy progesterone that congenital adrenal hyperplasia. was excluded. Normal protein electrophoresis. Karyotyping was 46XX (female) to rule out androgen insensitivity syndrome.

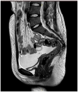
ECG showed signs of LVH. Echocardiography affirmed concentric left ventricular hypertrophy with moderate mitral regurgitation, aortic regurgitation and mild tricuspid regurgitation with pulmonary hypertension.MRI abdomen and pelvis was done and revealed absent uterus blind ended vaginal pouch 3cm.Ovaries could be visualized showing mature follicular activity with normal urinary bladder, urethra, rectum and anal canal, but bilateral average sized grade III pathological kidneys (Figure 1). To investigate the cause of renal failure, renal biopsy was done and revealed advanced extensive renal amyloidosis.

Figure 1 MRI abdomen and pelvis was done and revealed absent uterus blind ended vaginal pouch 3cm.Ovaries could be visualized showing mature follicular activity with normal urinary bladder, urethra, rectum and anal canal.

Discussion

Mayer-Rokitansky-Kuster-Hauser (MRKH) syndrome refers to the congenital aplasia or severe hypoplasia of the structures that derive from the mullerian ducts, including the upper vagina, uterus, and fallopian tubes. It is estimated to occur in one in 4,000 to 5,000 births.3 MRKH may be isolated (Type I), but it is more frequently associated with renal, vertebral, and to a lesser extent, auditory and cardiac defects (MRKH Type II or (MURCS) Mullerian duct aplasia.4

The extent of the vaginal aplasia varies in both types, ranging from a virtually absent vagina to a short vagina measuring. The karyotyping is 46,XX. The ovaries are present, and ovulation usually occurs.5 Once the diagnosis of MRKH is suspected, imaging studies have a central role in detecting the degree and extension of gynecologic and extra-gynecologic abnormalities MRI alone is the modality of choice for further evaluation of all uterine anomalies, and this includes MRKH.6 Treatment consists of almost exclusively of surgery, such as uterine and vaginal reconstruction, and occasionally uterine transplant.5

Herein, our lady had normal well-developed secondary sexual characteristics with normal feminine Karyotyping, she had skeletal deformities of marfanoid features, absent uterus and vagina, but normal positioned urethra and kidneys. Attempting to exclude other endocrinopathies that affect both reproductive systems, hormonal profile was normal. Based on the aforementioned findings and well-functioning ovaries, MRKH syndrome was made to be the case. Yet the etiology of renal failure could not be explained, so renal biopsy was urging and surprisingly it revealed advanced tubular and glomerular amyloidosis.

The cause of MRKH is unknown. Several genes have been tested to investigate a possible genetic cause, but no single factor has been identified as responsible for this condition7,8 WNT4gene signalling pathway has been described to have a role in female sex organ differentiation9 and mutations in the WNT4 gene could result in abnormalities of Müllerian ducts with or without renal affection.10 Misfolded transduced protein is retained in the endoplasmic reticulum of the cells and cannot be secreted, forming with other protein fibrils different aggregates that deposit in tissues causing hazardous pathologies.10 Cross seeding of such amyloid β-protein analogue is implicated in pathogenesis of systemic amyloidosis.10,11

Interestingly, on reviewing the literature this is an introductory case of Mullerian agenesis and amyloidosis- complicated renal failure. This case raise a question whether it is such atypical phenotype of MRKH syndrome or a separate clinical entity should be recognized for further evaluation.

Conclusion

Being a rare disease, the phenotypes of MRKH could not be clearly delineated, and could be overlapped with other disease or associations. Hence, we report a case featured MRKH II syndrome exceptionally associated with amyloidosis.

Acknowledgments

None.

Conflicts of interest

The author declares that there is no conflict of interest.

References

  1. Yalavarthi S, Jadhav VA, Kumar SS, et al. Mayer–Rokitansky–Kuster–Hauser syndrome : Syndrome of Mullerian agenesis. A report of two cases. 2017;10(2):207–210.
  2. Torres–de la Roche LA, Devassy R, Gopalakrishnan S, et al. Plastic neo–vaginal construction in Mayer–Rokitansky–Küster–Hauser syndrome: an expert opinion paper on the decision–making treatment process. GMS Interdiscip Plast Reconstr Surg DGPW. 2016;5.
  3. Edmonds DK, Rose GL, Lipton MG, et al. Mayer–Rokitansky–Küster–Hauser syndrome: a review of 245 consecutive cases managed by a multidisciplinary approach with vaginal dilators. Fertil Steril. 2012;97(3):686–690.
  4. Londra L, Chuong FS, Kolp L. Mayer–Rokitansky–Kuster–Hauser syndrome: A review. Int J Womens Health. 2015;7:865–870.
  5. Morcel K, Camborieux L, Guerrier D. Mayer–Rokitansky–Küster–Hauser (MRKH) syndrome. Orphanet J Rare Dis. 2007;2(1):1–9.
  6. Piciu D, Piciu A, Irimie A. Thyroid carcinoma and primary amenorrhea due to Mayer–Rokitansky–Küster–Hauser syndrome: a case report. J Med Case Rep. 2012;6(1):377.
  7. Gorgojo JJ, Almodóvar F, López E, Donnay S: Gonadal agenesis 46, XX associated with the atypical form of Rokitansky syndrome. Fertil Steril. 2002;77(1):185–187.
  8. Sultan C, Biason–Lauber A, Philibert P: Mayer–Rokitansky–Küster–Hauser syndrome: recent clinical and genetic findings. Gynecol Endocrinol. 2009;25(1):8–11.
  9. Biason–Lauber A, Konrad D, Navratil F, et al. A WNT4 mutation associated with Mullerian–duct regression and virilization in a 46,XX woman. N Engl J Med. 2004;351(8):792–798.
  10. Biason–Lauber A, De Filippo G, Konrad D, et al. WNT4 deficiency a clinical phenotype distinct from the classic Mayer–Rokitansky–Kuster–Hauser syndrome: A Case Report. Hum Reprod. 2007;11(1):224–229.
  11. Lundmark K, Westermark T, Olsen A, et al. Protein fibrils in nature can enhance amyloid protein A amyloidosis in mice: cross–seeding as a disease mechanism. Proc Natl Acad Sci. 2005;102(17):6098–6102.
Creative Commons Attribution License

©2019 Behiry, et al. This is an open access article distributed under the terms of the, which permits unrestricted use, distribution, and build upon your work non-commercially.