Submit manuscript...
MOJ
eISSN: 2381-179X

Clinical & Medical Case Reports

Case Report Volume 8 Issue 5

Bilateral pleurisy revealing mediterranean spotted fever

Salem Bouomrani, Belgacem N, Regaieg N, Ben Hamed M, Trabelsi S, Lassoued N, Beji M

Department of Internal Medicine, Military Hospital of Gabes, Tunisia

Correspondence: Salem Bouomrani, Department of Internal medicine, Military Hospital of Gabes, Tunisia

Received: January 01, 1971 | Published: September 20, 2018

Citation: Bouomrani S, Belgacem N, Regaieg N, et al. Bilateral pleurisy revealing mediterranean spotted fever. MOJ Clin Med Case Rep. 2018;8(5):189-191. DOI: 10.15406/mojcr.2018.08.00274

Download PDF

Abstract

Introduction: Mediterranean spotted Fever (MSF) is a tick-borne disease caused by Rickettsia conorii which is particularly endemic in the Mediterranean countries. Pulmonary presentations of this infection remain exceptional. We report here the observation of a bilateral pleurisy revealing this disease.

Case report: A 59-year-old patient, with no notable pathological history, was hospitalized because of acute febrile dyspnea with bilateral pleural effusion on the chest x-ray. Biology showed a marked inflammatory syndrome with leukocytosis. Thoracic CT confirmed bilateral pleural effusion of low-abundance with no parenchymal lung lesions or associated mediastinal lymphadenopathy. Pleural puncture brought a clear fluid made of simple exudate with negative direct examination and culture. Investigations for tuberculosis were negative. The patient was treated with intravenous Cefotaxime but without any improvement. On the third day of hospitalization there was a generalized skin rash specific to rickettsiosis. Serology was positive for Rickettsia conorii, confirming the diagnosis of MSF. The patient was switched to oral doxycycline and the outcome was favorable with rapid apyrexia, total disappearance of the rash, and a normal chest X-ray on the fifteenth day of treatment.

Conclusion: The pleurisy remains an exceptional and unusual clinical manifestation during the MSF and only five sporadic cases have been previously reported. Our observation is, to the best of our knowledge, the sixth reporting this complication. It is characterized, in addition, by its bilateral and revealing character.

Keywords: pleurisy, pleural effusion, rickettsioses, rickettsia conorii, mediterranean spotted fever

Introduction

Rickettsial diseases are transmitted to humans by ticks, and are currently considered emerging and re-emerging infections.1 Their diagnosis remains difficult because of the highly polymorphic and nonspecific clinical presentations thus presenting a real challenge for clinicians.1,2 Mediterranean Spotted Fever (MSF) is a rickettsios is caused by the genus Rickettsia conorii and is particularly common in the Mediterranean (North Africa and South Europe), South Africa and Central Asia.2 Pulmonary presentations of rickettsioses remain exceptional, especially during MSF.2,3 We report here the observation of a bilateral pleurisy revealing the infection.

Case report

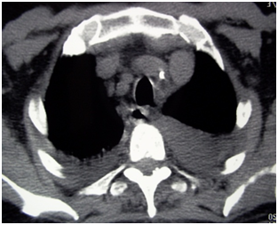
A 59-year-old Tunisian patient, with no notable pathological history, was hospitalized in our department for the management of acute febrile dyspnea with a low-grade bilateral pleural effusion and a bilateral bronchial syndrome on the chest x-ray. The examination noted a fever at 40°C and snoring rales at both lung fields with no other abnormalities. Biology showed a marked inflammatory syndrome with a C–reactive protein level of 93.4mg/l and an erythrocyte sedimentation rate at 90mmH1. The blood count showed leukocytosis at 12500/mm3 with a predominance of neutrophils (75%). Intravenous antibiotic therapy with Cefotaxime 3g/day was prescribed but without any improvement. Explorations for active tuberculosis were negative (tuberculin intradermal reaction, search for Koch bacillus in sputum, gastric fluid and urine, and Quantiferon test). Thoracic CT confirmed a bilateral pleural effusion of low-to moderate abundance with no parenchymal lung lesions or associated mediastinal lymphadenopathy (Figure 1).
The right pleural puncture brought a clear fluid and the biochemical analysis concluded to a simple exudate poor in inflammatory cells. Direct examination and culture were negative, as was the search for tuberculosis and neoplastic cells.

On the third day of hospitalization there was a pinkish, papular, non–itching and generalized skin rash which was not sparing the palms and the plants (Figure 2).

The resumption of interrogation found the notion of a recent stay in a rural area of ​​the north of the country at a family member’s who was himself hospitalized a year ago for eruptive fever. The serology of rickettsiosis was requested and the patient was switched to oral doxycycline at a dose of 200mg/day. The evolution was rapidly favorable with apyrexia on the fourth day and total disappearance of the rash on the eighth day. The chest X–ray was normal on the fifteenth day of treatment. Serology was positive for Rickettsia conorii, confirming the diagnosis of MSF.

Figure 1 Axial CT-scan of the thorax: bilatreal pleural effusion.

Figure 2 characteristic rash of the Mediterranean spotted fever at the level of the thigh.

Discussion

Mediterranean Spotted Fever is usually a mild disease, but in about 6 to 10% of cases severe complications can occur.2,4–6 These severe complications signify the systemic nature of this infection and can be of many types: meningoencephalitis, myelitis,4 endocarditis, intralveolar haemorrhage, acute renal failure,7 disseminated intravascular coagulation, myocarditis, gastrointestinal bleeding, hepatitis, severe anemia and carbohydrate metabolism disorder.6,8 These severe forms are particularly noted in diabetic subjects, pregnant women, the elderly and those with glucose 6 dehydrogenase deficiency, chronic alcoholism, underlying chronic heart disease or end-stage chronic kidney disease.6,7 These severe forms were noted in 12.7% of cases in the large Italian MSF series of Bellissima P et al.8 Fatal forms can also be observed and the fatality rate of this infection is estimated at about 2.5%.6,7,9–11

Although respiratory involvement can be reported in almost 30% of rickettsioses in general, particularly Rocky Mountain Spotted Fever (RMSF, Rickettsia rickettsii infection), it is very rare in MSF (Rickettsia conorii infection).2,12 Respiratory manifestations of these infections are nonspecific and may be cough, hemoptysis, interstitial pulmonary infiltrate, pleural effusion,13–15 and more rarely, more severe presentations of intra–alveolar haemorrhage7 or acute respiratory distress syndrome.13,16

The pleurisy remains an exceptional and unusual clinical manifestation during the MSF2,3 contrary to the RMSF where the pleural effusion can be clinically symptomatic in 17% of the infected subjects and objectified by the systematic radiography in 10 to 36% among them,13–15 in fact, only five cases of pleurisy have been found during MSF in the world literature in the form of sporadic observations3,11,17–19 whereas no case of pleural effusion has been reported in the Colomba C et al.20 series of 415 children with MSF. Our observation is, to the best of our knowledge, the sixth reporting this complication. It is characterized, in addition, by its bilateral and revealing character.

Pleural effusion during Rickettsial diseases may be uni–or bilateral,18 isolated or associated with other serositis such as pericarditis17,21,22 and ascites,11 as it may be associated with other parenchymal lung lesions.17

This pleurisy is classically serofibrinous,17,22,23 but may exceptionally be haemorrhagic and mislead to malignant etiologies.19

The pleurisy of rickettsiosis is most often benign and can rapidly be treated with adapted antibiotics, but can sometimes be integrated into a severe clinical presentation of multi­organ involvement18 with a possible fatal outcome.11

The anatomic substratum explaining systemic visceral involvement during rickettsioses, including pleural involvement, is a diffuse vasculitis that can be directly infectious and/or dysimmune secondary to infection.4 This vasculitis was proven histologically in rickettsial skin lesions4 and in various tissues during autopsies of the fatal forms.8

The hypothesis of immunological vasculitis induced by the infection is comforted by the demonstration of several immune disorders during rickettsioses with visceral involvement such as IgG hypergammaglobulinemia, anti-nuclear antibodies and circulating immune complexes.4

Moreover, the identification of the bacterium itself (Rickettsia Conorii) by immunohistochemical study at the endothelial cells of the brain and kidneys of a subject with severe form of MSF and multiple organ failure, sign the direct involvement of the germ in the genesis of systemic vasculitis.11

Conclusion

As rare as it is, this infectious etiology of pleurisies deserves to be known, especially considering the re-emerging nature of rickettsiosis in several countries of the world including ours. It is thus necessary to evoke this etiology in front of any febrile pleural effusion, even isolated, especially in the endemic regions.

Acknowledgements

None

Conflict of interest

The author declares that they have no conflict of interests.

References

  1. Parola P, Paddock CD, Socolovschi C, et al. Update on tick–borne rickettsioses around the world: a geographic approach. Clin Microbiol Rev. 2013;26(4):657–702.
  2. Kummerfeldt CE, Huggins JT, Sahn SA. Unusual bacterial infections and the pleura. Open Respir Med J. 2012;6:75–81.
  3. Alexiou–Daniel S, Tea A, Ilonidis G. A case of pleurisy associated with antibodies to Rickettsia conorii. Clin Microbiol Infect. 2003;9(5):437–440.
  4. Ezpeleta D, Muñoz–Blanco JL, Tabernero C, et al. Neurological complications of Mediterranean boutonneuse fever. Presentation of a case of acute encephalomeningomyelitis and review of the literature. Neurologia. 1999;14(1):38–42.
  5. Rovery C, Brouqui P, Raoult D. Questions on Mediterranean spotted fever a century after its discovery. Emerg Infect Dis. 2008;14(9):1360–1367.
  6. Cascio A, Iaria C. Epidemiology and clinical features of Mediterranean spotted fever in Italy. Parassitologia. 2006;48(1–2):131–133.
  7. Dissanayake NL, Madegedara D. An unusual case of fatal pulmonary hemorrhage in pregnancy. Lung India. 2011;28(3):205–208.
  8. Bellissima P, Bonfante S, La Spina G, et al. Complications of mediterranean spotted fever. Infez Med. 2001;9(3):158–162.
  9. Papa A, Dalla V, Petala A, et al. Fatal Mediterranean spotted fever in Greece. Clin Microbiol Infect. 2010;16(6):589–592.
  10. Raoult D, Weiller PJ, Chagnon A, et al. Mediterranean spotted fever: clinical, laboratory and epidemiological features of 199 cases. Am J Trop Med Hyg. 1986;35(4):845–850.
  11. Weinberger M, Keysary A, Sandbank J, et al. Fatal Rickettsia conorii subsp. israelensis infection, Israel. Emerg Infect Dis. 2008;14(5):821–824.
  12. Helmick CG, Bernard KW, D'Angelo LJ. Rocky Mountain spotted fever: clinical, laboratory, and epidemiological features of 262 cases. J Infect Dis. 1984;150(4):480–488.
  13. Faul JL, Doyle RL, Kao PN, et al. Tick–borne pulmonary disease: update on diagnosis and management. Chest. 1999;116(1):222–230.
  14. Donohue JF. Lower respiratory tract involvement in Rocky Mountain spotted fever. Arch Intern Med. 1980;140(2):223–227.
  15. Martin W 3rd, Choplin RH, Shertzer ME. The chest radiograph in Rocky Mountain spotted fever. AJR Am J Roentgenol. 1982;139(5):889–893.
  16. Dželalija B, Punda–Polić V, Medić A, et al. A case of Mediterranean spotted fever associated with severe respiratory distress syndrome. Microbes Infect. 2015;17(11–12):870–873.
  17. Pieéron R, Coppin M, Develoux M, et al. Richettsialpericarditis and pleurisy. Sem Hop. 1976;52(10):621–625.
  18. Mansueto P, Seidita A, Bongiovì A, et al . Multiple organ failure as onset of mediterranean spotted fever: a review based on a case. Italian Journal of Medicine. 2016;10(3):195–201.
  19. Bartone L. Rare case of boutonneuse fever with hemorrhagic pleurisy and phlebitis observed in Cyrenaica. Acta Med Ital Mal Infett Parassit. 1950;5(8):266–270.
  20. Colomba C, Saporito L, Polara VF, et al. Mediterranean spotted fever: clinical and laboratory characteristics of 415 Sicilian children. BMC Infect Dis. 2006;6:60.
  21. Morichau–Beauchant G, Brisou J, Dussouil P, et al. Pulmonary rickettsiosis and autochthonous pleuropericardialrickettsiosis. J Fr Med ChirThorac. 1967;21(2):157–165.
  22. Piéron R, Lesobre B, Mafart Y, et al. Pulmonary, pleural and pericardial manifestations of rickettsiosis. Poumon Coeur. 1976;32(4):161–167.
  23. Delloue M, Le Bras M. A case of sero–fibrinous pleurisy of rickettsial etiology. Med Trop (Mars). 1970;30(4):542–546.
Creative Commons Attribution License

©2018 Bouomrani, et al. This is an open access article distributed under the terms of the, which permits unrestricted use, distribution, and build upon your work non-commercially.