Submit manuscript...
MOJ
eISSN: 2381-179X

Clinical & Medical Case Reports

Case Report Volume 5 Issue 2

Bilobed sialolipoma of parotid gland a rare entity

Bhavinder K Arora

Department of Surgery, Pt B D Sharma PGIMS, India

Correspondence: Bhavinder K Arora, Department of Surgery, Pt BD Sharma PGIMS, Haryana, India, Tel 919466290707

Received: October 15, 2016 | Published: November 11, 2016

Citation: Arora BK. Bilobed sialolipoma of parotid gland a rare entity. MOJ Clin Med Case Rep. 2016;5(2):190-192. DOI: 10.15406/mojcr.2016.05.00124

Download PDF

Abstract

Lipoma is a common benign mesenchymal tumour arising from adipose tissue. Adipose tissue is present in parotid gland so lipoma can occur in this gland. It is a rare tumour with an incidence of 0.6% to 4.4% of all parotid tumours. History of trauma is the most common initiating factor narrated by patients. Huge and bilobed lipoma of parotid gland is extremely rare. A rare case report of bilobed sialolipoma of parotid gland in 52years female is presented. Magnetic resonance imaging and fine needle aspiration provided the accurate preoperative diagnosis. The surgical management for this bilobed sialolipoma was done by enucleation with no complication of facial nerve. There was no recurrence in follow up.

Keywords: lipoma, parotid gland, sialolipoma, excision, enucleation, parotidectomy

Introduction

Lipoma is the most common benign tumour which occurs anywhere in the body where adipose tissue is present which is asymptomatic, slow growing and painless. The lipoma consists of mature adipose tissue and occurs commonly in region of back, shoulder and nape of neck. Adipose tissue also exists in the parotid gland, but lipoma of the parotid gland is rare entity. The incidence of this entity has been reported to be about 1% ranging from 0.6% to 4.4%.1 The exact aetiology of parotid lipoma is not known. The occurrence of parotid lipoma has been most commonly correlated to the trauma in this region but exact pathophysiological mechanism is not described.2 Lipoma is benign tumour arising from mesenchymal tissue mainly adipose tissue. Other mesenchymal tissue can combine with it to form angiolipoma, leiomylipoma, angiomyolipoma, fibrolipoma, neurolipoma, osteolipoma and chondrolipoma.3 Ultrasonography, computed tomography (CT), magnetic resonance imaging (MRI) and fine needle aspiration cytology (FNA) are of definite help in making preoperative diagnosis of parotid lipoma.4 Once a definite diagnosis of parotid lipoma is available, this can be kept under wait and watch until the patient demands its surgical removal because of cosmetic reason. The operation can be planned avoiding the injury to facial nerve and its branches.5 We report a case of sialolipoma in the left parotid of a 52year old female woman because of relative rarity who was treated with limited excision.

Case report

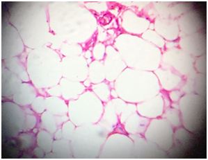
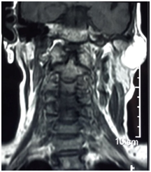
A 52years female presented with painless lump on the left side of face for last 9years. The onset of this swelling was insidious and there was no history of previous trauma. Clinical examination revealed a well defined swelling firm in consistency (Figure 1). At one place near the zygomatic arch the consistency felt to be hard. There was no cervical lymphadenopathy. The most probable clinical diagnosis was mixed parotid tumour or lipoma. Ultrasound examination revealed a hypoechoic, well circumscribed and lobular swelling in the superficial lobe of left parotid gland. Magnetic resonance scan revealed a low density mass in the left parotid gland (Figure 2) (Figure 3). FNA Fine needle aspiration cytology confirmed diagnosis of lipoma. A preauricular incision was made and parotid capsule was incised. The thinned out superficial lobe of parotid was separated giving exposure to lipoma. The branches of facial nerves were set aside. There was a well encapsulated bilobed lipoma in the parotid gland (Figure 4). The larger lobe was of size 9x6x3cm in the superficial lobe while in confluence the small lobe was 2x2cm size and present in the deep lobe. This bilobed yellowish mass was fully exposed and then enucleated. The raised superficial lobe of parotid gland was repositioned and wound closed over a mini negative suction drain. Postoperative recovery as well as follow up has been uneventful. The facial nerve functions were intact. There was no recurrence after nine months of follow up. Histopathology report of this specimen was consisting of mature adipose cells containing clear distended vacuolar cytoplasm and flattened small peripheral nuclei (Figure 5). The mass was well encapsulated lipoma.

Figure 1 Clinical photograph of left parotid tumour.

Figure 2 MRI showing Bilobed Sialolipoma.

Figure 3 MRI showing Left Parotid Lipoma.

Figure 4 Operative photograph of sialolipoma of parotid gland.

Figure 5 Microphotograph showing mature adipose tissue.

Discussion

Lipoma being a universal tumour so can occur everywhere in the body. It is a benign tumour of adipose tissue. As parotid gland contains adipose tissue lipoma can occur in it. Parotid lipomas are well encapsulated and slow growing as lipomas in other parts of body do. These lipomas are asymptomatic and painless. In our case the left parotid swelling was present for last 9 years not worrying the patient due to lack of symptoms. The incidence of sialolipoma is reported to be 1% ranging from 0.6% to 4.4% of all parotid tumours in most of series in literature. Parotid sialolipoma is ten times more common in males than females. It is very rare in females and the most common age of presentation is five to sixth decade.6 This patient of bilobed sialolipoma of parotid gland reported is a female in her fifties. Hereditary, obesity, diabetes, endocrine disorders, radiation, corticosteroid therapy and trauma are various causes assigned to initiate lipoma. None of these causes were present in this patient. Trauma in the parotid area has been attributed as the most common cause of sialolipoma in the parotid gland in the literature. Most of the patients correlate trauma on history with the beginning of parotid swelling. The hypothesis about subcutaneous lipoma is that trauma leads to haematoma formation followed by seroma formation. Subsequently there is lymphatic effusion, fat necrosis and lipoma formation.7 No initiating cause was present in this patient.

The sialolipoma of the parotid gland has been reported in both superficial and deep lobes. The occurrence of bilobed lipoma in the parotid gland involving both superficial and deep lobes is extremely rare and difficult to differentiate clinically from other parotid tumours particularly Warthim’s tumour. Only a very few cases of giant bilobed sialolipoma of parotid gland have been reported. Radiological imaging modalities are quite accurate in providing the preoperative diagnosis. Ultrasound examination, computed tomography (CT) and magnetic resonance imaging (MRI) can prove to be diagnostic for parotid lipoma. The lipomas have the typical characteristics of homogenous masses with few septations on CT scan. MRI can accurately diagnose lipoma by comparison of signal intensity on T1 and T2 weighted images. There is marginal black rim around lipoma which differentiates it from surrounding adipose tissue. MRI is the best imaging technique for diagnosis and localization of sialolipoma.8 In this case report, preoperative diagnosis of bilobed sialolipoma could be made on ultrasonography and MRI. Fine needle aspiration (FNA) is also diagnostic for parotid tumours but its accuracy rate is 50% for sialolipoma. The tissue diagnosis of sialolipoma of parotid was given accurately on FNA.9

Sialolipoma of parotid gland being a benign tumour and accurately diagnosed on imaging modalities, most of patients are worried about parotid swelling and probability of malignant change. Besides the fear of malignant change in the parotid swelling, cosmetic worry is indication of surgery.10 Fakhry et al.,11 in a 10years retrospective study analyzed the record of 614 parotidectomies done for parotid tumours. There were only 12 lipomas accounting to 2% of all parotid tumours. The parotid lipomas present as soft, asymptomatic, slow growing mass although 30% had an indurated mass on palpation. Preoperative diagnosis was made in all cases using imaging technique. MRI makes an accurate diagnosis and is corner stone of management. The decision of surgery was made due to increasing size of swelling producing functional or aesthetic discomfort. Partial parotidectomy was done in these cases. Postoperative complication of facial palsy or recurrence was seen in any of the patients. Majority of these swellings about 92% were reported as classical lipoma on histological examination. Surgical decision in parotid lipoma could be delayed due to preoperative diagnosis. The findings in this case report presented here are similar to this study.11

 The various surgical procedures described in literature for parotid lipoma are superficial parotidectomy, partial excision of parotid gland, surgical excision, extracapsular dissection and near total parotidectomy.12 Kim et al.,13 reported a case of deep lobe lipoma of parotid gland treated by enucleation only in a 75years old female. Preoperative diagnosis was made by imaging. However they suggested that lipoma long standing lipoma in deeper tissue can develop malignant change and convert to liposarcoma so frozen section biopsy should be done. Lumpectomy followed frozen section biopsy was performed to exclude malignant change. It was reported as lipoma, a benign adipose tissue tumour, so total parotidectomy was not needed thus avoiding facial nerve injury.13 As always, surgical excision should respect the facial nerve and branches. The facial nerve and its branches should be dissected as necessary for lipoma dissection and excision. Most of studies suggest superficial parotidectomy with meticulous dissection of the facial nerve and its branches for deep lobe parotid lipoma. An experienced surgeon can avoid complication of facial palsy.14

Conclusion

The clinical diagnosis of a soft parotid swelling in an elderly person is Warthim’s tumour, but diagnosis of lipoma should always be considered. MRI can provide clinical diagnosis of lipoma. FNA can also verify the diagnosis. Enucleation can avoid complication of facial nerve damage in a bilobed lipoma of parotid gland.

Acknowledgements

None.

Conflict of interest

The author declares no conflict of interest.

References

  1. Dellaportas D, Mantzos DS, Theodosopoulos T, et al. Parotid gland lipoma:an unusual entity. Chirurgia (Bucur). 2016;111(1):64–66.
  2. Rehal SS, Alibhai M, Perera E. Lipoma of the parotid gland after trauma: a case report and review. Br J Oral Maxillfac Surg. 2016;S0266– S4356(16):30147–30144.
  3. Kose R, Lynen I. Lipoma of the superficial lobe of parotid gland:a case report and review of literature. Eur J Plast Surg. 2010;33(4):215–218.
  4. Kanzara T, Virk JS, Al–Okati, Owa T. An unusual parotid mass. BMJ Case Rep. 2015;doi:10.1136/bcr–2014–207205.
  5. Baykul T, aydin MA, Findik Y, et al. Huge lipoma of the right parotid gland: case report and review of 42 cases. Ear Nose Throat J. 2016;95(1):E8–E13.
  6. Pandey D, Vats M, Akhtar A, et al. Sialolipoma of the parotid gland:a rare entity. BMJ Case Rep. 2015;doi:10.1136/bcr–2014–209264.
  7. Dispenza F, De Stefano A, Romano G, et al. Post–traumatic lipoma of the parotid gland: case report. Acta Otorhinolaryngoloica Italica. 2008;28(2):87–88.
  8. Mohammadi G, Notash R. A rare case of bilobe parotid lipoma: Involving both superficial and deep lobe of parotid. Egyptian J Ear, Nose. Throat and Allied Sciences. 2014;15(1):69–71.
  9. Chahwala Q, Siddaraju N, Singh N, et al. Fine needle aspiration cytology of oncytic lipoadenoma of parotid gland: report of a rare case. Acta Cytol. 209;53(4):437–439.
  10. Wu CW, Chi HP, Chiang FU, et al. Giant lipoma arising from deep lobe of the parotid gland. World Journal of Surgical Oncology. 2006;4:28.
  11. Fakhry N, Michel J, Varoquaux A, et al. Is surgical excision of lipomas arising from the parotid gland systemically required? Eur Arch Otorhinolaryngol. 2012;269(7):1839–44.
  12. Mesolella M, Ricciardiello F, Oliva F, et al. Parotid lipoma: a case report. Case reports in clinical medicine. 2014;3(7):437–442.  
  13. Kim DS, Kwon H, You G, et al. Surgical treatment of a giant lipoma in the parotid gland. J Craniofac Surg. 2009;20(5):1601–1602.
  14. Ryu JW, Lee MC, Myong NH, et al. Lipoma of the Parotid gland. Journal of Korean Medical Science. 1996;11(6):522–525.
Creative Commons Attribution License

©2016 Arora. This is an open access article distributed under the terms of the, which permits unrestricted use, distribution, and build upon your work non-commercially.