Submit manuscript...
MOJ
eISSN: 2381-179X

Clinical & Medical Case Reports

Case Report Volume 5 Issue 2

Cardiogenic shock secondary to thyroid goiter case report

Luis Angel Medina Andrade,1 Linda Patricia Ramirez Trinidad,2 Maldonado Aparicio,2 Jose Daen Jonathan Cabanas Gomez,3 Stephanie Serrano Collazos,3 Nestor Apaez Araujo,4 Daniel Flores Rodríguez,5 Adrian Fernandez Vega Torres,6 Arsenio Torres Delgado,7 Luis Fernando Perez Corona7

1General Surgery Department, General Zone Hospital #30, M
2Universidad Nacional Aut
3General Surgery Department, Ecatepec Las Americas General Hospital, M
4General Surgery Department, Ecatepec General Hospital, M
5General Surgery Department, High Specialty Regional Hospital ISSSTE, M
6General Surgery Department, National Medical Center XXI Century, M
7General Surgery Department, Tulancingo General Hospital, M

Correspondence: Luis Angel Medina Andrade, General Surgery Department, General Regional Hospital #30, IMSS, México, Tel +52 9981114201

Received: October 14, 2016 | Published: November 25, 2016

Citation: Andrade LAM, Trinidad LPR, Aparicio JM, et al. Cardiogenic shock secondary to thyroid goiter case report. MOJ Clin Med Case Rep. 2016;5(2):196-197. DOI: 10.15406/mojcr.2016.05.00126

Download PDF

Abstract

Background: Thyroid goiter can appear in some developing countries, related with iodo deficiencies. The main complications associated with goiter is airway obstruction, but cardiogenic shocks have not been reported previously.

Case: We report the case of a 59year-old woman who comes to general surgery consultation for an anterior cervical mass associated with weakness, fatigue, and relative incapacity to complete her activities. At physical exam a thyroid goiter was suspected and ultrasound confirms this. Symptomatology was attributed to thyroid function disturbance and hormonal levels of TSH, T3 and T4 were confirmed as normal. Preoperative evaluation by Internal Medicine service was requested. One week later patient come to this evaluation with increased symptomatology, pallor, bradycardia, tachypnea, and parents refers a syncope too. At physical exam she was diaphoretic, with Glasgow of 12 points, pallor, cardiac frequency of 40 beats per minute and arterial pressure of 80/40mmHg, yugular ingurgitation, dyspnea, tachypnea of 27 breaths per minute, diminished peripheral pulses and distal cyanosis. CT scan refers a compressive mass dependent of left thyroid hemisphere without occlusion of airway and we appreciate a compression of left carotid artery. Patient does not improve with medical management and a cardiogenic shock secondary to carotid sinus stimulation was suspected, reason why an emergency thyroidectomy was scheduled. Hemi-thyroidectomy was completed without complications and after 24hours’ patient was recovered and asymptomatic, confirming our suspects.

Conclusion: This case is a very rare presentation of multinodular thyroid goiter, without previous similar reports, but with high relevance to consider it in a similar scenario because the delate in urgent surgical management could worsen outcomes.

Keywords: thyroid goiter, cardiogenic shock, cervical compression, goiter complications

Introduction

Euthyroid multinodular goiters use to course asymptomatic, only with a cervical mass that use to be handled conservatively without haste. Thyroid nodules and cysts are extremely common and usually benign in 95% of cases, reason why they are underestimated if no symptoms are presented. The main risk with this pathology is the respiratory distress secondary to airway obstruction.1,2 The present is an unusual case that has not been previously described in literature, with cardiogenic shock secondary to bradycardia by continuous carotid sinus stimulation that precipitated an urgent thyroidectomy.

Case report

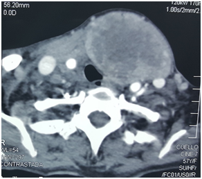
We report the case of a 59-year-old woman who comes to general surgery consultation for a cervical tumor. Woman does not report pathological background. She began one year ago developing an anterior cervical mass with progressive growing, it was painless, without airway obstructions symptoms or difficulty to food ingestion, and for this reason she has not searched medical attention. For the previous 10days she refers weakness, fatigue, and relative incapacity to complete her daily activities. At physical exam she was a female for about 1.60m, 50kg, with an evident anterior cervical tumor of about 12cm of diameter, the tumor was mobile, painless, without airway obstruction or changes in voice tone at parents’ reference, with cardiac frequency of 50 beats per minute, arterial pressure of 100/60mmHg, without other relevant signs. Symptomatology was attributed to thyroid function disturbance and hormonal levels of TSH, T3 and T4 were requested, and a pre-operative evaluation with internal medicine service programmed. One week later this patient come to internal medicine evaluation with increased symptomatology including pallor, bradycardia, tachypnea, and parents refers syncope too. At physical exam she was diaphoretic, with Glasgow of 12 points, pallor, cardiac frequency of 40 beats per minute and arterial pressure of 80/40mmHg, yugular ingurgitation, dyspnea, tachypnea of 27 breaths per minute, diminished peripheral pulses and distal cyanosis. Cardiogenic shock was diagnosed after hormonal levels were confirmed as normal, and patient receive medical treatment with dopamine without significant improvement, requiring advanced airway support 4hours later by Glasgow of 8 points and cardiogenic shock. CT scan reports a compressive, well defined, non-enhancing tumor of 13x7cm, without self-vascularity, dependent of left thyroid hemisphere without occlusion of airway, but compression of left carotid artery (Figure 1). Patient does not improve with medical management and a cardiogenic shock secondary to carotid sinus stimulation was suspected, reason why an emergency thyroidectomy was performed. Left hemi-thyroidectomy was completed with dissection from carotid artery without complications, obtaining a 14x8cm left thyroid lobe (Figure 2) (Figure 3). Patient vital signs improve during the next 12hours allowing extubation and progressive suspension of dopamine infusion. After 24hours’ patient was recovered and asymptomatic from cardiac shock symptoms, confirming our presumptive diagnosis. Histopathology exam reports a multinodular thyroid goiter without malignant cells. After six months follow up patients is asymptomatic.

Figure 1 Cervical CT scan with a 13x7cm well defined non-enhancing tumor, dependent of left thyroid lobe, compressing carotid artery and yugular vein.

Figure 2 Left thyroid lobe after dissection and ligation of inferior thyroid arteries and middle thyroid vein.

Figure 3 Left thyroid lobe with diameter of 14x8cm after excision.

Discussion

Euthyroid multinodular goiters are usually slow-growing lesions, remaining relatively asymptomatic, with patients searching for attention by aesthetic reasons or until respiratory distress and acute airway obstruction is developed, with this last being each time less common, but stills happening in some low income populations.1,3 Initial treatment used to be medical, and surgery is reserved for refractory cases, with urgent thyroidectomy only in cases of acute airway obstruction and recommended to be performed by an endocrine surgeon that can handle giant goiter complications, with nerve monitoring systems to minimize these damages.3 The progression through the giant goiter should be considered and treated as soon as possible. The timing surgical intervention allow us to avoid morbidity and mortality associated, and for this reason it would be desirable to complete attention during the first stages of disease.2 Cardiogenic shock characterizes for symptoms like pale skin, tachycardia or bradycardia depending on the origin, tachypnea, hypotension and loss of consciousness. All the symptoms are secondary to reduced cardiac output and peripheral vascular resistances modification. The most common cause is acute myocardial infarction but other causes include sinoatrial bradycardia from vagal stimulation, increased intra-cranial pressure, vasodepressor syncope, complete A-V block, esophageal diverticulum and carotid sinus stimulation.4,5

In this case we report a challenging diagnosis in a woman with giant goiter and some symptoms mimicking hypothyroidism, but after thyroid hormones test report normal values and with the fast clinical deterioration, another sources of this symptoms were analyzed and cardiac shock suspected as the source of symptoms, with carotid sinus compression as the most logic origin. Immediate improvement of clinical course after urgent thyroidectomy confirms our suspect and fortunately the patients have not any complication and could be discharged uneventfully.

Conclusion

This case is a very rare presentation of thyroid goiter producing cardiogenic shock secondary to carotid sinus compression, without previous similar reports, but with high relevance to consider it in a similar scenario for the associated morbidity and mortality if urgent surgical management is delayed.

Acknowledgements

None.

Conflict of interest

The author declares no conflict of interest.

References

Creative Commons Attribution License

©2016 Andrade, et al. This is an open access article distributed under the terms of the, which permits unrestricted use, distribution, and build upon your work non-commercially.