Submit manuscript...
MOJ
eISSN: 2381-179X

Clinical & Medical Case Reports

Case Report Volume 3 Issue 2

Central cemento-ossifying fibroma: a case report

Basudev Mahato,2 Samir Mandal,1 Jay Gopal Ray,2 Keya Chaudhuri1

1Department of Molecular Genetics Division, CSIR-Indian Institute of Chemical Biology, India
2Department of Oral Pathology & Microbiology, Dr.R. Ahmed Dental College & Hospital, India

Correspondence: Keya Chaudhuri, Emeritus Scientist, Department of Molecular Genetics Division, CSIR-Indian Institute of Chemical Biology, Raja S.C Mullick Road, Kolkata 700032, India, Tel 91-33-2473-0350, Fax 91-33-2473-5197

Received: October 22, 2015 | Published: November 16, 2015

Citation: Mahato B, Mandal S, Ray JG, et al. Central cemento-ossifying fibroma: a case report. MOJ Clin Med Case Rep. 2015;3(2):214-216. DOI: 10.15406/mojcr.2015.03.00061

Download PDF

Abstract

Central cemento-ossifying fibroma is a fibro-osseous lesion causing slow expansion of the involved bone and is usually manifested after attaining significant growth. Here we present a case of 18year old female having slow growing painless swelling on left side of mandible over 2-year period. There was no history of trauma. The radiographic examination revealed radiolucency with scattered radio opacity. The histological features consisted of hyper cellular stroma with calcified matrix.

Keywords: cemento-ossifying fibroma, panoromic x-ray, fibro-osseous lesions, calcified matrix, lesions, curettage, cementum, fibrous tissue, COF, juvenile, triggering, psammomatoid, paranasal sinuses, orbits

Abbreviations

COF, cemento-ossifying fibroma; WHO, world health organization

Introduction

Fibro-osseous lesions are characterized mainly by replacement of normal bony architecture with fibrous collagenous connective tissue that contains varying amounts of mineralized substances, which may be bony or cementum like in appearance. The lesion, termed as cemento-ossifying fibroma, has been regarded as an osteogenic neoplasm. The fibrous dysplasia in which the normal bone structure is replaced by collagenous tissue is normally regarded as non-neoplastic. The cemento-ossifying fibromas (COF), in some cases has been demarcated into ossifying and cementifying fibromas, based on the tissue content of encapsulated neoplasms appearing as bone and/or cementum.1 COF is most commonly diagnosed in the third and fourth decades of age and possesses a clear-cut female predilection (Female: Male ratio being 4:1).1–6 The tumor appears as intrabony slow growing asymptomatic mass causing expansion of cortical plates, displacement of root and facial deformity. Radiologically, COF appears radiolucent with varying degree of radio opacity depending upon the degree of calcification. Histopathological picture reveals fibro-collagenous connective tissue with proliferating plump fibroblast cell and osteoid/cementoid mass. The management comprises of surgical resection involving enucleation via bone bed curettage. Due to significant overlap of clinical, radiological and histopathological criteria, sub-classification of fibro-osseous lesions are difficult which often leads to the confusion in diagnosis and therefore management. The present article reports one COF case involving the left mandible and with its clinical, radiological and histological findings.

Case report

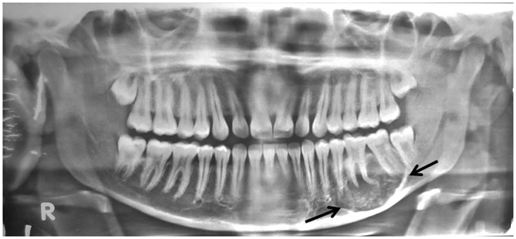
An 18year old female patient reported to the department of Oral Pathology, Dr. R Ahmed Dental College & Hospital, Kolkata with a complaint of swelling since 2years on the lower left jaw (Figure 1). The swelling was slow growing and painless. It was visible on the left side of the mandible and extended from left lower canine to left lower 2nd molar tooth (Figure 2). It was found as bony hard in consistency and non tender on palpation. Intra-oral examination revealed a dome shaped swelling measured approximately 4cmx3cm present on buccal vestibule of left mandible without any ulceration on overlying mucosa. The teeth involved were mobile and tender to pressure and percussion. Panoromic X ray revealed a distinct radio-lucency of approximately 5cmx3cm in size while scattered radio opacity was observed throughout the lesion (Figure 3). From this, the lesion could be provisionally diagnosed as fibro-osseous lesion/ameloblastoma. A biopsy was performed with local anesthesia and microscopic examination revealed fibro cellular stroma with multiple round oval hematoxyphilic calcified matrix similar to cementum/osteoid like material. There were no atypia or mitotic figures (Figure 4). These observations were consistent with cement ossifying fibroma. The management consisted of conservative surgical excision by curettage enucleation under local anesthesia raising mucoperiosteal flap. Post operative follow up was advised and after 6 month follow up the patient not reported any discomfort and panoromic X ray confirmed good bone regeneration in the operative zone.

Figure 1 Patient showing prominent swelling on left side of face over the left mandibular region.

Figure 2 Clinical appearance of patient at intra oral examination.

Figure 3 Panoromic X ray of Jaws showing well-defined radiolucent lesion with patchy mineralization (arrows)

Figure 4 Figure 4A showing photomicrograph of the histopathological examination (H & E staining) of the lesion presenting highly cellular fields with calcified areas and Figure 4B is the magnified version.

Discussion

Menzel in 1872 first described COF as a variant of ossifying fibroma or a benign fibro-osseous neoplasm.6 According to the World Health Organization (WHO), the Cemento ossifying fibroma is a osteogenic neoplasm comprising of fibrous tissue having varying quantities of mineralized material.7 WHO classification of odontogenic tumors in 2005 included juvenile ossifying fibroma and segregated into juvenile psammomatoid ossifying fibroma and juvenile trabecular ossifying fibroma. As the name indicates, juvenile ossifying fibroma is seen in younger age range.8 The site involvement pertaining to the disease is paranasal sinuses, orbits, and/or fronto-ethmoidal complex.9 Further, cemento-ossifying fibroma was classified by WHO as a fibro-osseous neoplasm of the mesenchymal blast cells derived non-odontogenic tumors of the periodontal ligament, with a potential of forming fibrous tissue/cement and bone/combination of both.10 Earlier COF was considered benign and a tumour of odontogenic origin. Many researchers classified this type of lesion as (a) cementifying, when smooth round calcification was present in histopathological section or (b) ossifying fibroma, when bony trabeculae with curvilinear pattern and spheroidal calcifications were encountered. In 1992 the WHO grouped ossifying fibroma and cemento ossifying fibroma under the common denomination of COF as they represent histological variants of a same type of lesion. On the other hand, controversy exists, as there are reports of tumors with analogous histology in bone which is not located in the maxillary or mandibular regions and lack periodontal ligament. Examples are cementiform fibrous dysplasia of the ethmoid bone, frontal bone or even long bones of the body.11

Today cemento-ossifying fibroma is widely accepted because both osseous and cemental tissues are seen commonly in a single lesion. The women are affected mostly when they reach their third and fourth decades of life, although in the present case the woman was 18years of age. The histopathology of juvenile ossifying fibroma often show psammomatoid pattern present as concentric lamellate and spherical ossicles in varying contour and characteristically have basophilic centers with peripheral eosinophilic osteoid rims.9 These features were not prominent in the present case. In general, the morphologic attributes distinguishing psammomatoid ossicles of juvenile ossifying fibroma from cemento-ossifying fibroma are: (1) characteristic emerging of basophilic turnaround cement lines, (2) an eosinophilic fibrillar peripheral rim, and (3) presence of matrix devoid of cells and without associated bone forming cells.9 The lesions are asymptomatic in most cases but may lead to facial asymmetry, root displacement and/or expansion of the cortical plates of jaws over time. Although the precise cause of the disease is unknown, literature mostly points to a history of trauma in the area of the lesion.12 In this case, upon repeated interrogation, we did not find any history of trauma on the affected jaw. Thus here in this case trauma may not be the possible triggering factor to develop the disease process. The treatment modality reported is all directed towards the removal of the mass or excision. Surgical enucleation and curettage is also a treatment of choice because of delimitation of the tumor.13

Acknowledgements

None.

Conflict of interest

The author declares no conflict of interest.

References

  1. Sanchis JM, Peñarrocha M, Balaguer JM, et al. Fibroma cemento–osificante mandibular: Presentación de dos casos y revisión de la literatura. Med Oral. 2007;9(1):69–73.
  2. Pérez–García S, Berini–Aytés L, Gay–Escoda C. Fibroma osificante maxilar: Presentación de un caso y revisión de la literatura. Med Oral. 2004;9:333–339.
  3. Eversole LR, Leider AS, Nelson K. Ossifying fibroma: a clinicopathologic study of sixty–four cases. Oral Surg Oral med Oral Pathol. 1985;60(5):505–511.
  4. Martín–Granizo R, Sánchez Cuellar LA, et al. Cemento–ossifying fibroma of the upper gingivae. Otolaryngol Head Neck Surg. 2000;122(5):775.
  5. Galdeano–Arenas M, Crespo–Pinilla JI, Álvarez–Otero R, et al. Fibroma cemento–osificante gingival mandibular presentación de un caso. Med Oral. 2004;9(2):176–179.
  6. Cakir B, Karadayi N. Ossifying fibroma in the sasopharynx:A case report. Clin Imaging. 1991;15(4):290–292.
  7. Kramer IR, Pindborg JJ, Shear M. The World Health Oraganization histological typing of odontogenic tumours; introducing the second edition. Eur J Cancer B Oral Oncol. 1993;29B(3):169–171.
  8. Barnes L, Eveson JW, Reichart P, et al. World health organization classification of tumours. Pathology and genetics of head and neck tumours. Lyon. 2005;2:283–328.
  9. Sarode SC, Sarode GS, Waknis P, et al. Juvenile psammomatoid ossifying fibroma: A review. Oral Oncology. 2011;47(12):1110–1116.
  10. Liu Y, Wang H, You M, et al. Ossifying fibromas of the jaw bone: 20cases. DentomaxillofacRadiol. 2010;39(1):57–63.
  11. Goh EK, Cho KS, Lee IW, et al. A case of isolated ossifying fibroma of the mastoid cavity of the temporal bones. Am J Otolaryngol. 2006;27(5):358–361.
  12. Brademann G, Werner JA, Janig U, et al. Cemento–ossifying fibroma of the petromastoid region: case report and review of the literature. J Laryngol Otol. 1997;111(2):152–155.
  13. Rangil JS, Silvestre FJ, Bernal JR. Cemento–ossifying fibroma of the mandible: Presentation of a case and review of the literature. J Clin Exp Dent. 2011;3(1):66–69.
Creative Commons Attribution License

©2015 Mahato, et al. This is an open access article distributed under the terms of the, which permits unrestricted use, distribution, and build upon your work non-commercially.