Submit manuscript...
MOJ
eISSN: 2381-179X

Clinical & Medical Case Reports

Case Report Volume 8 Issue 6

Considerable osteogenic effect around dental implants based on guided bone regeneration technique in plateau low-oxygen regions

Haizhong Zhang,1 Bo Qiao,1 Fengze Wang,2 Rui Zhao,1 Tingting Jia,1 Fanhao Meng,1 Liang Zhu,1 Jixian Xin3

1Oral and Maxillofacial Surgery Department, The Chinese PLA General Hospital, China
2Department of stomatology, The 316th Hospital of Chinese People’s Liberation Army, China
3Department of stomatology, The 22th Hospital of Chinese People’s Liberation Army, China

Correspondence: Haizhong Zhang, Oral and Maxillofacial Surgery Department, The Chinese PLA General Hospital, No. 28 Fuxing Road, Haidian District, Beijing, China

Received: January 01, 1971 | Published: November 23, 2018

Citation: Qiao B, Wang F, Zhao R, et al. Considerable osteogenic effect around dental implants based on guided bone regeneration technique in plateau low- oxygen regions. MOJ Clin Med Case Rep. 2018;8(6):233-234. DOI: 10.15406/mojcr.2018.08.00285

Download PDF

Abstract

Purposes: To describe osteogenic effect of two patients with resorption of the alveolar ridgetreated via guided bone regeneration (GBR) technique in plateau low-oxygen regions up to 3000meters.

Methods: We restored the bones defect by placing the bone scraps and bone substitutes (Bio-Oss®) on the bone surface surgically. And then, we covered the resorbable collagen membrane above. Moreover, we applied the Double-layer membrane technique to ensure the longer barrier function.

Results: No symptoms of infection around the implants were found in both cases. The two patients achieved good ossification and implanted dentures.

Conclusion: We achieved considerable osteogenic effect around dental implants via GBR technique in the plateau low-oxygen regions up to 3000meters.

Keywords: plateau, low-oxygen, guided bone regeneration, ossification, dental implant

Introduction

The number and quality of bone grafts around the implants are the main factors for the stability of the implants.1 Severe vertical alveolar bone loss often occurs due to severe chronic periodontitis resulting to tooth extraction. In some cases, the height of the missing teeth’ bone height is lower than the adjacent alveolar bone. Furthermore, vertical bone augmentation is necessary to recover normal ridge height.2,3 Currently, GBR has been used to promote bone to grow rapidly in the gap between the implants and bone. Few documents were reported regarding to GBR technique in the plateau areas due to environmental, economic and medical situation. However, with the development of plateau medicine, the influence of environmental factors, especially hypoxic environment on bone metabolism, have been paid more and more attention. This preliminary observation targeting osteogenic effect of GBR in plateau low-oxygen regions is bound to lay the foundation for further research.

Case report

Case 1

A 48-year-old male patient settled in the plateau area, with a chief complaint of implant denture restoration. The maxillary right lateral incisor of the patient was removed due to periodontitis. (Health status: smoking for 21 years, fasting blood glucose: 7.2mmol/L). Surgical approach: we made a midline incision on the edentulous alveolar crest, adding a vertical loose incision. Moreover, the full thick mucoperiosteum flap was developed. We placed an Osstem implant (3.3*10mm) after flap opened. The buccal bone defect was surgically treated by placing bone scraps and bone substitutes (Bio-Oss®) and covered with a resorbable collagen membrane (Bio-Gide®). Double-layer membrane technique was used to ensure longer barrier function (Bosshard and Schenk, 2010). CBCT showed preoperative and postoperative results (Figure 1a) (Figure 1b). Clinical photographs of preoperative and of 6 months after the operation (Figure 1c) (Figure 1d).

Figure 1 (a) CBCT of preoperation. (b) CBCT of postoperation. (c) Clinical photograph of preoperation. (d) Clinical photograph of 6 months after the operation.

Case 2

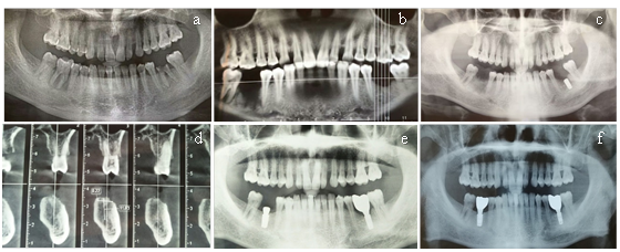
General population: A 56-year-old male patient settled in the plateau area complained pain of his mandibular first molar (Health status: none smoking, fasting blood glucose: 7.8mmol/L).The two mandibular first molars were removed due to vertical root fracture and residual root (Figure 2a). Four months later, the alveolar fossa of 36-tooth was well healed. However, the 46-tooth’s alveolar fossa was healed poorly (Figure 2b).

Surgical plan: The site of left mandibular first molar was implanted with Megagen implant (4.5*10mm). Moreover, the site of right mandibular first molar was placed bone scraps and bone substitutes (Bio-Oss®) and been covered with a resorbable collagen membrane (Bio-Gide®) above. Double-layer membrane technique was applied. Panoramic radiograph showed expected result after operation (Figure 2c). After six months, the result showed that the alveolar fossa of right mandibular first molar had a good osteogenic effect (Figure 2d). The left mandibular first molar’s abutment was repaired with an all-ceramic crown and the site of right mandibular first molar was implanted with Megagen implant (4.5*08mm) (Figure 2e). After three months, the right mandibular first molar’s abutment was repaired with an all-ceramic crown. The patient was reviewed every three months in the first year, and every six months thereafter (Figure 2f).

Figure 2(a) Panoramic radiograph before extraction. (b) Four months later after extraction. (c) Panoramic radiograph after GBR. (d) Six months later after GBR. (e) Panoramic radiograph showed a considerable osteogenic effect around dental implant. (f) Stableosteogenic effect after two years.

Discussion

There are several relevant factors influencing the success of dental implants. Among these factors, bone quality and quantity around the implant site play a key role. GBR has been used to promote bone to grow rapidly in the gap between the implants and bone.4 In the hypoxic environment, the blood supply around the bone graft area is reduced. The tissue hypoxia is aggravated and the osteoblast differentiation is insufficient. Compared with the plain area, the bone mass of the elderly patients in the highland area is seriously lost, resulting in an increased risk of osteoporosis. However, plateau regions have a drier climate and the incidence of infection is lower, which is a favorable factor for bone grafting. These factors increased the uncertainty of osteogenic effect. Notably, the study regarding to dental implant-bone osseointegration in high altitude hypoxic environment up to 3000meters has not been reported before. Impressively, no symptoms of infection around the implant were found in both cases and all achieved good ossification and implanted dentures. In the future, long-term follow-up and a large-scale randomized clinical investigation will be performed to evaluate the feasibility of GBR technique in plateau low-oxygen regions.

Conclusion

We achieved considerable osteogenic effect around dental implants based on GBR technique in plateau low-oxygen regions up to 3000meters.

Acknowledgements

The authors wish to thank the 22th Hospital of the Chinese People's Liberation Army for great support during patient treatment.

Conflict of interest

The author declares that there is no conflicts of interest.

References

Creative Commons Attribution License

©2018 Qiao, et al. This is an open access article distributed under the terms of the, which permits unrestricted use, distribution, and build upon your work non-commercially.