Submit manuscript...
MOJ
eISSN: 2381-179X

Clinical & Medical Case Reports

Case Report Volume 11 Issue 4

Diagnostic challenges in gastric adenocarcinoma: a case report

Trudy Hong, Dion Koh, Andrew Gray

Department of General Surgery, Monash Health, Australia

Correspondence: Trudy Hong, Department of General Surgery, Monash Medical Centre, Australia, Tel 0468627523

Received: June 25, 2021 | Published: July 8, 2021

Citation: Hong T, Koh D, Gray A. Diagnostic challenges in gastric adenocarcinoma: a case report. MOJ Clin Med Case Rep. 2021;11(4):96-98. DOI: 10.15406/mojcr.2021.11.00390

Download PDF

Abstract

Occam’s razor dictates that the simplest diagnosis is usually the correct one. In ascites of unknown origin, the top differentials must include cirrhosis, malignancy and cardiac failure. Investigations such as ascitic fluid cytology and computed tomography can help identify the underlying pathology, however, these investigations do not have perfect specificity and sensitivity. Thus, “normal” investigations cannot be used to completely dismiss important differentials. In a middle-aged patient with no evidence of cirrhosis or cardiac failure, Occam’s razor suggests that a surgeon thoroughly consider and definitively exclude an occult malignancy prior to removing it from the list of differentials.

Keywords gastric cancer, malignant ascites, cytology, peritoneal carcinomatosis, diagnostic dilemma

Introduction

Non-specific hospital presentations such as abdominal pain and ascites can present the surgeon with a diagnostic dilemma. In these situations, investigations are essential however no test has 100% sensitivity and specificity. We present the case of a middle-aged woman found to have malignant ascites secondary to diffuse gastric adenocarcinoma and discuss the diagnostic challenges faced.

Case presentation

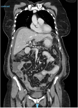
A previously well 66-year-old lady presented to a metropolitan tertiary hospital with a 3-month history of lower abdominal pain that had worsened in the preceding week. On examination, she was tachycardic with a heart rate of 126 beats/minute and had a distended, tender abdomen but was non-peritonitic. Her history was significant for ischaemic heart disease for which she underwent percutaneous coronary intervention with stent insertion a year prior, as well as a previous cholecystectomy. Investigations revealed elevated inflammatory markers with a white cell count of 13.7x109/L and CRP of 185mg/L. An abdominal computed tomography (CT) scan interestingly demonstrated a moderate amount of free peritoneal fluid and associated stranding without a clear source (Figure 1). Ascites of unknown aetiology was diagnosed on the CT, and given her tender abdomen and raised inflammatory markers, she was admitted under the Acute Surgical Unit for further investigation.

Figure 1 Coronal slice of CT abdomen/pelvis on initial presentation to hospital with evidence of ascites and peritoneal stranding.

In hospital the patient was extensively investigated for a unifying diagnosis to account for her presentation. Cardiac, hepatic, and renal failure as causes for ascites were ruled out through normal biochemistry (including brain natriuretic peptide level), and imaging including an abdominal ultrasound confirming a normal liver contour and no secondary signs of chronic liver disease or portal hypertension. Of initial interest, the tumour marker cancer antigen 125 was elevated at 476units/mL (normal range <35), however a pelvic ultrasound was normal, with gynaecology opinion outlining that an ovarian malignancy as the underlying cause for presentation was unlikely. For completeness, a sexually transmitted infection screen was inconsistent with pelvic inflammatory disease. Given no diagnosis had been made, two separate paracentesis procedures to capture fluid for analysis were performed. The serum-ascites albumin gradient on both was <1.1g/L suggesting an exudative pathology such as infection or malignancy. Despite this, multiple fluid cultures, including assessment for tuberculosis, and both cytological assessments were normal. A repeat CT, now including the chest, again demonstrated only ascites with no evidence of infection, lymphadenopathy or malignancy in either the abdominal or thoracic cavities (Figure 2).

Figure 2 Coronal slice of repeat CT chest/abdomen/pelvis with ongoing ascites and peritoneal stranding, however no other signs of infection or malignancy.

At this stage, given multiple inconclusive investigations, the decision was made to proceed to a diagnostic laparoscopy; this revealed extensive lesions on the peritoneal surface suspicious for peritoneal carcinomatosis (Figure 3). Excisional biopsies were suggestive of metastatic adenocarcinoma of gastrointestinal origin. Gastroscopy was then performed which demonstrated friable and nodular gastric mucosa, the biopsies of which confirmed diffuse gastric adenocarcinoma (Figure 4). Given her extensive peritoneal disease, the patient was referred to medical oncology for palliative chemotherapy.

Figure 3 (a & b) Laparoscopic images with diffuse white patches on the peritoneal surface suspicious for peritoneal carcinomatosis.

Figure 4 Gastroscopy demonstrating an area of congested, friable and nodular gastric mucosa at the greater curvature.

Discussion

This case explores the diagnostic challenges encountered with gastric adenocarcinoma in regard to the clinical presentation and investigative work-up. The first challenge in the diagnosis of gastric adenocarcinoma stems from the fact that patients typically present late; if symptoms are present at the time of diagnosis, this is often suggestive of advanced and incurable disease.1 Furthermore, symptoms such as abdominal pain or ascites can be vague or attributed to other disease processes. Secondly, no investigation is perfect with 100% sensitivity and specificity, so initial investigations may be misleading as in this case with multiple imaging and paracentesis giving no clear indication of the ultimate diagnosis.

Malignant ascites is a late manifestation of gastric adenocarcinoma that develops in approximately 10% of patients.1,2 However, ascites or the abnormal accumulation of fluid in the peritoneal cavity, has multiple causes – most commonly liver cirrhosis (80%),malignancy (10%) and cardiac failure (3%),3 while rarer causes include nephrotic syndrome, pancreatitis, tuberculosis and peritoneal infections. As it would be, all of these differentials, apart from malignancy, were effectively ruled-out with the myriad of investigations the presented patient underwent.

Abdominal paracentesis and ascitic fluid analysis is often useful in determining the cause of ascites. If malignancy is suspected, all ascitic fluid samples should be examined by a qualified cytopathologist. Cytology has a sensitivity of 58 - 75% for detection of malignancy, with increased yield seen in repeat sampling and for patients with peritoneal carcinomatosis – both relevant to the presented case.4 Of note, in patients with malignant ascites without peritoneal carcinomatosis, approximately one-third of patients, cytology is usually negative.4 CT imaging is also a useful investigation that is widely available and commonly used in the staging of gastric cancer; occasionally it can even detect a previously unsuspected malignancy. However poor soft-tissue resolution means that microscopic nodal and distant metastases are often missed, meaning CT alone cannot be relied upon to confirm this diagnosis.5 A meta-analysis examining the sensitivity of CT in the staging of gastric adenocarcinoma revealed a 67% and 59% accuracy for nodal spread and metastasis respectively.5 Therefore, these investigations cannot be used to completely rule out the diagnosis of malignancy especially where there is no likely alternate diagnosis; this largely explains why diagnostic laparoscopy is crucial in the routine staging of potentially resectable gastric cancer.6

In this patient, multiple cytological assessments and CT imaging gave no suggestion of malignancy, a “reassuring” factor that could have placed oncological causes either lower on the list of differentials or removed them from consideration completely. However, the sensitivity of these investigations is not 100%, a point realised by the treating team, and thus persistence in the form of the laparoscopy confirmed a diagnosis that would have potentially been missed.

Although ascites is a common hospital presentation, the diagnostic difficulties in this case demonstrates that no investigation is perfect. This patient presented a diagnostic dilemma, however, as Occam’s razor dictates the simplest diagnosis is usually the correct one. Therefore, in a middle-aged woman with no history of cirrhosis or cardiac failure presenting de novo with ascites, a clandestine malignancy requires thorough consideration and definitive exclusion prior to removing it from the list of differentials.

Conflicts of interest

The author declares no conflict of interest.

Acknowledgments

None.

Funding

None.

References

Creative Commons Attribution License

©2021 Hong, et al. This is an open access article distributed under the terms of the, which permits unrestricted use, distribution, and build upon your work non-commercially.