Submit manuscript...
MOJ
eISSN: 2381-179X

Clinical & Medical Case Reports

Case Report Volume 2 Issue 2

Gastrointestinal metastases from breast cancer, a diagnostic dilemma

Judith S Kaur,2 Jeffrey M Wiisanen1

1Internal Medicine, Mayo Clinic, USA
2Medical Oncology, Mayo Clinic, USA

Correspondence: Judith S Kaur, Mayo Clinic, 200 First Street SW, Rochester, MN 55905, United States, Tel 507-266-0029, Fax 507-284-1803

Received: March 09, 2015 | Published: March 30, 2015

Citation: Wiisanen JM, Kaur JS. Gastrointestinal metastases from breast cancer, a diagnostic dilemma. MOJ Clin Med Case Rep. 2015;2(2):27-30. DOI: 10.15406/mojcr.2015.02.00014

Download PDF

Abstract

Background: Those diagnosed with breast cancer are surviving longer due to advances in treatment. Metastatic spread to any site may not occur for years after treatments and will most likely be diagnosed by General Practitioners. Breast cancer rarely metastasizes to the gastrointestinal tract. Due to this, scarce literature is available; mostly case-reports or small case-series. Our aim is to review two recent cases and to highlight our institution’s data. General Practitioners need to remember the potential gastrointestinal metastatic spread of breast cancer.

Methods: Two recent cases of breast cancer metastatic to the gastrointestinal tract are presented. Medical charts of 1169 women with metastatic breast cancer were reviewed from the Mayo Clinic, Rochester, MN. Site of metastases included the peritoneum and the gastrointestinal tract. Basic demographic information, tumor characteristics, timing of primary diagnosis and relapse, and gastrointestinal symptoms were recorded. Descriptive statistics were calculated.

Results: Of 1169patients seen, there were 32 cases of breast cancer metastasizing to the gastrointestinal tract and peritoneum. Breast cancer histology included 47% lobular, 31% ductal, 13% mixed, and 9% unknown. The most common site of metastases was peritoneum at 46%, followed by stomach (17%), colon (15%), and small bowel (15%). Receptor status was ER+ in 91%, PR+ in 62.5%, and HER2- in 90%. The most common presentation was nausea/vomiting, followed by stool changes, distension without nausea/vomiting or obstruction, and other symptoms which included weight loss, anemia, Ascites, early satiety, and dysphasia. Approximately one-third had an obstruction. Four patients were asymptomatic and their metastases were found incidentally or on routine scanning. Average time from original breast cancer diagnosis to gastrointestinal metastases was 6.7years. Conclusion: Although breast cancer will

infrequently spread to the gastrointestinal tract, it should be remembered when patients with a history of breast malignancy have gastrointestinal complaints. General Practitioners who are following breast cancer patients after treatment should keep metastases in mind when considering the differential diagnosis.

Keywords: breast cancer, metastases, gastrointestinal, progesterone

Introduction

Every year, approximately 225,000 women are diagnosed with breast cancer and another 40,000 die from the disease in the US. About 75% of all metastases will occur within the first 5years after diagnosis of early-stage disease. This has been found to be especially true for hormone receptor-negative disease. Unfortunately, metastases can occur beyond that time, sometimes up to 30years later, which is more common in hormone-positive disease.1,2

Breast cancer will typically metastasize to lymph nodes, bone, lungs, liver, and brain. Most commonly, metastatic spread of any cancer type to the gastrointestinal tract is considered an uncommon phenomenon. One study of approximately 2500cases, found only 21patients (<1%) with metastasis to the gastrointestinal tract.3 Of secondary tumors to the gastrointestinal tract, breast is second only to melanoma.4 In one study that looked specifically at the colon and rectum, the leading source of metastases was breast, with melanoma second.5 In an autopsy study performed on 707 cases of metastatic breast cancer, the stomach was involved in 10% of cases, small intestine in 9%, and large intestine in 8%, with the peritoneum involved in 25% of cases. Overall, the gastrointestinal tract was involved in 16% of cases6 A non-autopsy study done in 2005 at The Mayo Clinic showed that of 12,000 diagnosed with metastatic disease secondary to breast cancer, 73 (0.6%) were found in either the GI tract or peritoneum: esophagus (8%), stomach (28%), small intestine (19%), and colon and rectum (45%).7

Histological studies have found that lobular carcinoma metastasized to the same metastatic sites as ductal carcinoma; however lobular carcinoma frequently metastasized to unusual sites like the gastrointestinal tract, peritoneum, and adnexa.8–12 In one of the earliest papers on the subject, all of the metastases to the stomach were infiltrating lobular cancer, and other papers had between 75-97% lobular histotype.13–16 In Borst and Ingold3 study, which looked at patterns of metastases between lobular and ductal carcinoma, invasive lobular carcinoma only accounted for 14% of the cases, but significantly metastasized to the gastrointestinal tract compared to invasive ductal carcinoma (4.5% vs. 0.2%), with small bowel being the most common location. Different metastatic patterns were also shown in Jain et al. where in filtrating lobular carcinoma more commonly went to the peritoneum, as well as bone marrow.17

Gastrointestinal metastases of breast cancer are rather uncommon occurrences, and are therefore not well-described in the literature, existing mostly in the form of case reports and series. Additionally, metastases can occur beyond the time a patient has regular follow-up with an Oncologist. The purpose of this study is to bring to the attention of a General Practitioner the current thoughts and statistics on the gastrointestinal metastases of breast cancer and highlight data from patients who sought care at The Mayo Clinic from 2000-2013.

Materials and methods

Approval was granted by the Mayo Clinic Institutional Review Board and clinical records of primary breast cancer metastasizing to the gastrointestinal tract were reviewed retrospectively. Each of the patients was evaluated by a physician in the Medical Oncology department at the Mayo Clinic, Rochester from 2000 until February 2013. Most pathology reports from referrals were reviewed by Mayo, however some pathology reports were not able to be viewed due to either timing from original diagnosis or lack of original records. Those diagnoses were based on physician chart documentation. Charts were identified from Mayo’s Tumor Registry of patients who were either diagnosed with gastrointestinal metastases from primary breast cancer or referred to Mayo from an outside hospital for further treatment recommendations of gastrointestinal metastases. Demographic information included dates of primary diagnosis and relapses; sites of relapse, including initial, gastrointestinal, and all; presenting gastrointestinal symptom; and date of death. The site of metastases included the peritoneum and the gastrointestinal tract from the esophagus to anus. The only exclusion criterion was male gender.

The following two cases are illustrative of the diagnostic challenges

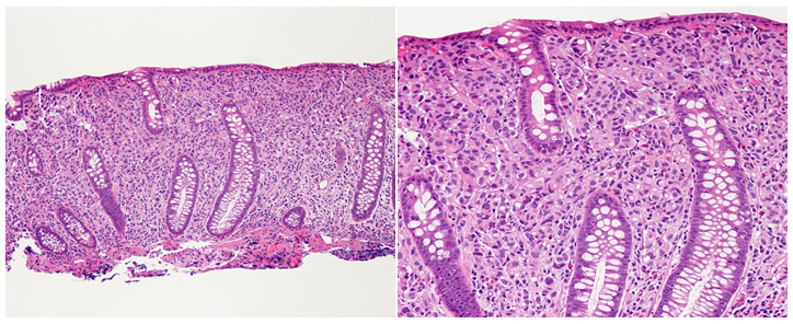
  1. 1–74year-old female with a history of breast cancer at the age of 32 treated with mastectomy and radiation, pathology unknown. At age 64, the patient developed Contralateral DCIS, ER/PR+, treated with mastectomy and Anastrozole. At age 70, metastatic spread to lymph nodes, ER/PR+ and HER2- was found. Fulvestrant and Denosumab were initiated after complete staging also found bone metastases. Two years later, she was found to be anemic and colonoscopy revealed small polypoid lesions (she had prior history of adenomatous polyps) with breast cancer visible in colonic crypts, ER+/PR-/HER2- (Figure 1). CEA was elevated at 220 (normal value <5). A CA 27.29 breast cancer associated marker was normal at 18 (normal up to 28). She was treated with Exemestane and Denosumab, but unfortunately succumbed to disease ten months after the diagnosis of gastrointestinal metastases.
  2. 2–The second case involved a patient who was diagnosed with ER/PR+ breast cancer at the age of 51. She was treated with lumpectomy and Adriamycin/Cyclophosphamide chemotherapy followed by radiation and adjuvant Tamoxifen. A few years later, atthe age of 55 during a diverticular surgery, she had a focal area of adenocarcinoma removed from her ovary. Pathology reports never conclusively distinguished it as ovarian or breast primary. Tumor markers remained negative over many years as did CT scans. She was followed with surveillance without any systemic therapy. At the age of 68, she developed persistent nausea and vomiting with a gradual 50-pound weight loss. CT abdomen showed a malignant process causing obstruction. She underwent a right colon resection with hemicolectomy. Tumor pathology was consistent with breast tissue and was ER+ and PR/HER2-. Letrozole was then prescribed adjuvant. The patient is alive and well three years out from diagnosis of gastrointestinal metastases.

Figure 1 Pathology slides from case #1, showing intact crypts with complete replacement of the lamina propria by tumor.

Results

Within the Mayo Clinic Tumor Registry, over 1,150 patients had the diagnosis of breast cancer with metastases from 2000 to early 2013. In all, 32 patients had spread to the either the peritoneum or the gastrointestinal tract itself. Histology at original diagnosis included 15 lobular, 10 ductal, 4 mixed, and 3 unknown.

Table 1 shows a breakdown of each site of metastases by histologic type. In all, there were 41 gastrointestinal sites of relapse in the 32 patients. Eight patients had multiple sites of gastrointestinal metastases: 7 had two sites of metastases and 1 had three sites. The most common site of metastases was the peritoneum (19), followed by stomach (7), colon (6) and small bowel (6). Lobular breast cancer was the most common known histological type in the 32 patients. Of the 41 sites of metastases, 36 had known histology: 66% (24/36) were either lobular or mixed, while 44% (16/36) were either ductal or mixed.

 

Lobular (20)

Ductal (12)

Mixed (4)

Unknown (5)

Peritoneum (19)

10

7

1

1

Esophagus (1)

1

0

0

0

Stomach (7)

4

1

2

0

Small Bowel (1)

0

0

0

1

Duodenum (2)

0

2

0

0

Jejunum (1)

1

0

0

0

Ileum (2)

1

0

1

0

Colon (6)

2

1

0

3

Rectum (2)

1

1

0

0

Table 1 Site of metastases and histological type.

Table 2 shows the receptor status of the 32patients. The estrogen hormone receptor was known to be positive in 91% of patients. Progesterone receptor positivity was a little less common at 63% of patients. HER2 receptor status was only known in 21patients, but was negative in 90% of patients.

 

+

-

Unknown

Estrogen

29

1

2

Progesterone

20

9

3

Her2

2

19

11

Table 2 Breast cancer receptor status of patients with GI metastases

The average age at the diagnosis of breast cancer was 56.6years. Twenty-four of 32patients had the gastrointestinal tract as the first site of metastatic spread. Nineteen patients had sites of spread to other parts of the body in addition to just the gastrointestinal tract. Nine patients were diagnosed with primary breast cancer after presenting with gastrointestinal metastases. The time from original breast cancer diagnosis to gastrointestinal metastases was 6.7years. Only 13patients had a known date of death, which led to an average survival of 2.2years from gastrointestinal metastases in those patients.

Table 3 shows presenting symptoms of patients with gastrointestinal breast cancer metastases. The most common presentation was nausea/vomiting at 56% (18/32). Of those 18patients, 61% had chart documentation of an obstruction: 8 bowel and 3 gastric. Next, 28% had changes in stool, including different caliber, color or frequency. Distension without nausea/vomiting or obstruction was seen in 25%. Other symptoms included weight loss, anemia, ascites, early satiety, and dysphasia. Four patients had no symptoms and their metastases were found incidentally or on routine scanning.

 

# of Patients

N/V

7 (not including obstruction)

Abdominal Pain

7 (not including obstruction)

Stool Change

9

Weight Loss

6

Distension

8

Dysphasia

1

Ascites

3

Early Satiety

2

Anemia

2

Obstruction

11 (8 bowel, 3 gastric)

Asymptomatic

4

Table 3 Presenting symptoms of patients with GI metastases

Discussion

Approximately 25% of all metastases from breast cancer occur beyond the first 5years of the diagnosis of early-stage disease.1 Even though it is infrequent, it is important for physicians, especially primary care providers who follow oncology patients after treatment is rendered, to keep in mind that gastrointestinal complaints can occur years later and be the first signs of metastatic spread in patients with a history of breast cancer.18–21 This is especially true for patients with lobular carcinoma due to its increased frequency of gastrointestinal metastases compared to ductal-type.3,22 Although the chances of having a primary colon cancer or other gastrointestinal process are higher, the possibility of recurrent, metastatic breast cancer still exists.

A recent paper also analyzed the sites of gastrointestinal breast cancer metastases.23 They reviewed the existing literature, but only had 5 cases from their institution. In their review of literature, the most common site of gastrointestinal metastases of breast cancer was the stomach (60%), followed by esophagus (12%), colon (11%), and small intestine (8%). Symptoms arising from stricture/obstruction were most common. Our single institution review is one of the few papers to include the peritoneum as a site of metastases. It is important since it is the mucosal surface of the gastrointestinal tract. It is interesting to note that the most common site of gastrointestinal metastases in this series was the peritoneum with 59% (19/32) of patients. The stomach (17%), colon (15%), and small bowel (15%) followed.

This study reaffirms the fact that despite lobular carcinoma being less common than ductal; it more frequently metastasizes to the GI tract.11,12,20,24 Interestingly, 5-15% of patients have metastases when they are diagnosed with breast cancer.25 In our series, 9(28%) primary breast cancers were also diagnosed because of gastrointestinal metastases. This study is also unique because it recorded receptor status. A vast majority were estrogen receptor positive, as expected in lobular carcinoma. Approximately two-thirds were progesterone positive and most with known Her2 receptors were negative.

The time from original breast cancer diagnosis to GI metastases was 6.7years in this series. Other studies ranged from 4.4 to 9.5years.11,20,24,26 Because breast cancer patients follow with an oncologist only sporadically after diagnosis and first treatment, it is important for these patients to follow with a general practitioner, such as an Internist or Family Physician. These are the physicians who will most likely see the patient if vague gastrointestinal symptoms occur months to years after their diagnosis and treatment. Tumor markers such as CEA and CA27.29 may be informative for symptomatic patients with a distant history of breast cancer. However, they are not totally reliable.27 CT and PET/CT scans can be very difficult to diagnose small volume disease and are likely only to be diagnostic for patients with obstruction. Our second case emphasizes that routine surveillance with scans in an asymptomatic patient are unwarranted. For all primary care providers, it is important to remember that patients with a history of breast cancer, vague gastrointestinal symptoms, most commonly nausea/vomiting, can be the sentinel clue to gastrointestinal metastases.

Acknowledgements

We would like to thank Jeremy Vold (Mayo Clinic Rochester Tumor Registry), Larry Prokop (Mayo Clinic Rochester Library), and Rob Vierkant (statistician) for their help in this review and analysis. Vicki Shea, research secretary, helped with formatting this report.

Conflict of interest

The author declares no conflict of interest.

References

  1. Cecil RL, Goldman L, Schafer AI. Goldman's Cecil Medicine. Philadelphia, USA: Elsevier/Saunders; 2012.
  2. Niederhuber JE, Armitage JO, Doroshow JH, et al. Abeloff’s Clinical Oncology. 5th ed. Philadelphia, USA: Elsevier/Saunders; 2014.
  3. Borst MJ, Ingold JA. Metastatic patterns of invasive lobular versus invasive ductal carcinoma of the breast. Surgery. 1993;114(4):637–641.
  4. Washington K, McDonagh D. Secondary tumors of the gastrointestinal tract: Surgical pathologic findings and comparison with autopsy survey. Mod Pathol. 1995;8(4):427–433.
  5. Mourra N, Jouret–Mourin A, Lazure T, et al. Metastatic tumors to the colon and rectum: a multi–institutional study. Arch Pathol Lab Med. 2012;136(11):1397–1401.
  6. Cifuentes N, Pickren JW. Metastases from carcinoma of mammary gland:an autopsy study. J Surg Oncol. 1979;11(3):193–205.
  7. McLemore EC, Pockaj BA, Reynolds C, et al. Breast cancer:presentation and intervention in women with gastrointestinalmetastasis and carcinomatosis. Ann Surg Oncol. 2005;12(11):886–894.
  8. Winston CB, Hadar O, Teitcher JB, et al. Metastatic lobular carcinoma of the breast: patterns of spread in the chest, abdomen, and pelvis on CT. AJR Am J Roentgenol. 2000;175(3):795–800.
  9. Taal BG, Peterse H, Boot H. Clinical presentation, endoscopic features, and treatment of gastricmetastases from breast carcinoma. Cancer. 2000;89(11):2214–2221.
  10.  Dixon AR, Ellis IO, Elston CW, et al. A comparison of the clinical metastatic patterns of invasive lobular and ductal carcinomas of the breast. Br J Cancer. 1991;63(4):634–635.
  11. Taal BG, den HartogJager FC, Steinmetz R, et al. The spectrum of gastrointestinal metastases of breast carcinoma:II. The colon and rectum. Gastrointest Endosc. 1992;38(2):136–141.
  12. Taal BG, den HartogJager FC, Steinmetz R, et al. The spectrum of gastrointestinal metastases of breast carcinoma: I. Stomach. Gastrointest Endosc. 1992;38(2):130–135.
  13. Cormier WJ, Gaffey TA, Welch JM, et al. Linitis plastica caused by metastatic lobular carcinoma of the breast. Mayo Clin Proc. 1980;55(12):747–753.
  14. Pectasides D, Psyrri A, Pliarchopoulou K, et al. Gastric metastases originating from breast cancer: report of 8 cases and review of the literature. Anticancer Res. 2009;29(11):4759–4763.
  15. Zelek L, Cottu PH, Mignot L, et al. Gastric metastases from breast cancer:a retrospective series of 12 patients. Am J Clin Oncol. 2001;24(4):363–365.
  16. Almubarak MM, Laé M, Cacheux W, et al. Gastric metastasis of breast cancer: a single centre retrospective study. Dig Liver Dis. 2011;43(10):823–827.
  17. Jain S, Fisher C, Smith P, et al. Patterns of metastatic breast cancer in relation to histological type. Eur J Cancer. 1993;29A(15):2155–2157.
  18. Tremblay F, Jamison B, Meterissian S. Breast cancer masquerading as a primary gastric carcinoma. J Gastrointest Surg. 2002;6(4):614–616.
  19. Bamias A, Baltayiannis G, Kamina S, et al. Rectal metastases from lobular carcinoma of the breast: report of a case and literature review. Ann Oncol. 2001;12(5):715–718.
  20. Schwarz RE, Klimstra DS, Turnbull AD. Metastatic breast cancer masquerading as gastrointestinal primary. Am J Gastroenterol. 1998;93(1):111–114.
  21. Uygun K, Kocak Z, Altaner S, et al. Colonic metastasis from carcinoma of the breast that mimics a primary intestinal cancer. Yonsei Med J. 2006;47(4):578–582.
  22. Mistrangelo M, Cassoni P, Mistrangelo M, et al. Obstructive colon metastases from lobula rbreast cancer: report of a case and review of the literature. Tumori. 2011;97(6):800–804.
  23. Ambroggi M, Stroppa EM, Mordenti P, et al. Metastatic breast cancer to the gastrointestinal tract: report of five cases and review of the literature. Int J Breast Cancer. 2012;2012:439023.
  24. Nazareno J, Taves D, Preiksaitis HG. Metastatic breast cancer to the gastrointestinal tract: a case series and review of the literature. World J Gastroenterol. 2006;12(38):6219–6224.
  25. Carter CL, Allen C, Henson DE. Relation of tumor size, lymph node status, and survival in 24,740 breast cancer cases. Cancer. 1989;63(1):181–187.
  26. Nikolić I, Ivković–Kapicl T, Kukić B, et al. Uncommon metastatic site from breast cancer. Vojnosanit Pregl. 2012;69(9):806–808.
  27. Duffy MJ. Serum tumor markers in breast cancer:are they of clinical value? Clin Chem. 2006;52(3):345–351.
Creative Commons Attribution License

©2015 Wiisanen, et al. This is an open access article distributed under the terms of the, which permits unrestricted use, distribution, and build upon your work non-commercially.