Submit manuscript...
MOJ
eISSN: 2381-179X

Clinical & Medical Case Reports

Case Report Volume 8 Issue 4

Giant breast cyst: a rare clinical entity

Bhavinder Kumar Arora

Department of Surgery, Pt BD Sharma University of Health Sciences, India

Correspondence: Bhavinder Kumar Arora, Professor, Department of Surgery, Pt BD Sharma University of Health Sciences PGIMS Rohtak-124001, India

Received: June 30, 2018 | Published: July 30, 2018

Citation: Arora BK. Giant breast cyst: a rare clinical entity. MOJ Clin Med Case Rep. 2018;8(4):157-159. DOI: 10.15406/mojcr.2018.08.00264

Download PDF

Abstract

The fibrocystic disease is a part of ANDI (Aberrations of Normal Development and Involution) in woman. Majority of cyst are microcyst and simple cyst. Macrocyst can develop in this fibrocystic disease breast. Macrocyst are few in number, majority of them are simple cyst. Radiological imaging provides particularly ultrasound provides a good diagnostic technique. The complex cyst containing both liquid and solid area can develop in macrocyst of breast requiring tissue diagnosis with fine needle aspiration. The malignant change can develop in these breast cysts. Rarely a giant cyst can develop in the breast but this giant breast cyst is mostly simple cyst and requires excision of cyst and histopathological examination. We are presenting one case of giant breast cyst because of rarity of occurrence.

Keywords: fibrocystic disease of breast, mammary cyst, giant breast cyst, simple cyst, complex cyst

Introduction

Breast cyst is fluid filled sac which develops in breasts of women. The breast cyst can be single or multiple. These breast cysts may be part of fibro-cystic disease of the breast. These breast cysts may neither grow nor regress in size for years but may resolve spontaneously in a few patients.1 The commonest clinical presentation of a breast cyst is a painless lump, however in some cases patient may have discomfort or pain in the breast. On palpation the breast cyst feels as soft cystic swelling but occasionally feel firm in consistency. Most of small breast cysts cannot be palpated except large sized tense cyst which are firm in consistency and become palpable. The breast cyst commonly present in premenopausal women around 40 years of age. Generally, they disappear after menopause. About 7% of women develop palpable cysts in their breast with an increased risk of developing malignancy.2 These breast cysts start as an overgrowth of breast alveolar gland and can grow from a small size like pea to a large size like ping pong ball.3

The simple cysts of the breast are mostly benign and do not require any tissue diagnosis while complex require further diagnosis by fine needle aspiration cytology or excision biopsy to exclude malignancy.4 The ultrasound of the breast is the first investigation used for identification of breast lump. If ultrasound shows a fluid filled cyst, it is diagnosed as simple or complex cyst. The ultrasound of the breast has accuracy of 95 to 100% for diagnosis of breast cyst.5 A breast cyst diagnosed as simple on ultrasound needs no further investigation, while all cyst diagnosed as complex cyst on ultrasound need further investigation like mammography, fine needle aspiration or excision biopsy.6 Aspiration can be used as both the mode of diagnosis and treatment in simple breast cysts. In case of complex breast cyst aspiration must be used as fine needle aspiration diagnostic tool.7 In all cases of giant breast cyst, the excision biopsy should be used as method of treatment and to rule out breast carcinoma.8 We are presenting a rare case of a giant breast cyst in a perimenopausal woman presenting as nonpainful lump diagnosed as in breast.

Case report

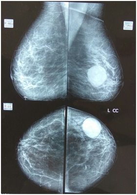
A forty years female presented with history of lump in left breast for last 9months. The lump was painless initially but for last 3months, this patient started having discomfort in the breast. The discomfort was not related to menstrual cycle. On examination there was 10x10cm lump in the left breast having smooth surface and non tender to touch. The consistency was firm and this left breast lump was freely mobile. On clinical examination this left breast lump appeared to be benign solid tumor. The mammography was done in this patient and diagnosis of benign mammary swelling was given (Figure 1). The ultrasound of the breast revealed a large size 10x10cm cystic swelling. This cystic swelling did not contain any solid tissue in it and surrounding tissue was normal. The diagnosis of giant simple mammary cyst was given.

Figure 1 Mammogram showing Giant Breast Cyst.

For tissue diagnosis of this swelling fine needle aspiration was done which confirmed the diagnosis of simple breast cyst as no malignant cells were seen (Figure 2). After routine hematological and biochemical investigations were done, the preanesthetic checkup was done. The patient was graded as ASA I and fit for anesthesia. The patient was operated under general anesthesia. A radial incision was used for excision of this giant breast cyst. The cyst was excised in to (Figure 3). The wound was closed in layers over mini-suction drain and dressed. The wound healed well and skin clips were removed on 9th postoperative day. The excised specimen was sent for histopathological which confirmed it to be simple mammary cyst with no evidence of malignancy (Figure 4).

Figure 2 Breast cyst being excised through a radial incision.

Figure 3 Excised Breast Cyst.

Figure 4 Microphotograph depicting simple mammary cyst.

Discussion

The benign breast diseases consisting of wide variety of diseases are quite common in women. The breast cysts are common in women in their forties but they can occur in any age group. The menstrual cyclic changes in hormones can affect the breast cysts as these cysts become congested and painful during premenstrual phase. Multiple cystic disease of the breast is a common breast disease in females. The breast of less than 3 mm in diameter is benign with almost no risk of malignant change.9

The breast cysts are commonly divided into microcyst and macrocyst. The microcysts are commonly present in both the breasts. Microcysts are tiny and cannot be palpated but can be seen with microscope. As the fluid further collects it forms larger cysts called macrocysts which can be palpated easily. Such macrocyst can acquire a size of 2-5cm. These microcyst are not clinically palpable but can be easily detected in sonomammography. The microcysts are considered as part of normal involution process.10 Ultrasound of the breast can reveal that lump is fluid filled called simple cyst or both fluid and solid components called complex cyst, such complex cyst must be subjected to biopsy.11 The MR imaging findings were studied in circumscribed cystic breast lumps both benign and malignant. Intracysticpappilomas were having single mural nodule with a washout enhancement pattern while intracystic papillary carcinoma show multiple mural nodules or solid mass obliterating the cystic space with a washout enhancement pattern.12

Dixon et al described two types of breast cysts into type I and type II based on type epithelium lining and electrolyte composition. Type I breast cysts contain electrolyte concentration similar to intracellular fluid and are lined by apocrine epithelium. Type II breast cysts contain electrolyte concentration equal to plasma concentration and are lined by flattened epithelium. The women having type I cysts tend to develop multiple cysts while women with type II breast cysts tend to develop fewer number of cysts but large in size. These women with type II breast cysts are likely to develop giant sized breast cyst.13

Even the larger sized cyst rarely has a malignant change in it, but in this macrocystic disease of breast the risk of malignancy is 3 to 4times.14 Mezi et al.,15 assessed the Cathepsin-D levels in serum and in breast cyst fluid in patients with gross cystic disease of breast. They interpreted that raised level of Cathepsin-D in breast cyst fluid has no predictive value for cytological type or possible cyst relapse.

Kihara et al reported a rare case of giant breast cyst with diameter of 15 cm containing an intracystic papilloma. The small breast cyst due to intracystic papilloma are frequent but giant breast cyst due to intracystic papilloma are very uncommon. Imaging of breast suggested possibility of malignancy. Aspiration of fluid from the cyst did not reveal any malignant cells, neither repeated aspiration resulted in cure of breast cyst. The excision of cyst was done and histopathological examination revealed two benign intracysticpapillomas. They recommended that excision of the cyst should be done as treatment and confirmation of diagnosis by histopathological examination as preoperative diagnosis by imaging and cytology are not reliable to differentiate between intracystic papilloma and intracystic papillary carcinoma.16 In patients of breast cyst, when radiological and fine needle aspiration cytology findings are mismatched, an excision biopsy is recommended.17 Giant breast which are diagnosed as simple cyst on ultrasound, mammography and fine aspiration cytology must be excised and subjected to histopathological examination to rule out malignancy.

Conclusion

The fibrocystic disease of the breastis a common disease of breast in perimenopausal women as part of aberrations of normal development and involution (ANDI). Multiple small sized cysts called microcysts are common which are simple cysts and never turn to be malignant. The large sized cysts called macrocysts are a few in number and majority are simple cysts. Occasionally a macrocyst can develop a solid component and rarely turn to be a malignant. Giant breast cysts are single and achieve a large size. The fluid filled giant breast cyst remains simple while if solid component develops, malignant change is likely. Therefore, all giant breast cysts should be excised and must be subjected to histopathological examination to rule out malignancy.

Acknowledgements

None.

Conflict of interest

The author declares there is no conflict of interest.

References

  1. Chowdhury V, Gupta AK, Khandelwal N. Chapter In: Diagnostic Radiology: Musculoskeletal and Breast Imaging. JP Medical Ltd. 2012;484.
  2. Dixon JM, Mc Donald C, Elton RA, et al. Risk of breast cancer in women with palpable breast cysts: a prospective study. Lancet. 1999;353(9166):1742–1745.
  3. England MD, Bundy C, Sarr MG. Giant Cyst of the breast. Surgery.1989;106(3):578.
  4. Daly CP, Bailey JE, Klein KA, et al. Complicated breast cysts on sonography: is aspiration necessary to exclude malignancy? Acad Radiol. 2008;15(5):610–617.
  5. Abbes I, Mrad K, Sassi S. A mammary cyst. Ann Pathol. 2005;25(5):405–406.
  6. England MD, Bundy C, Sarr MG. Giant cyst of the breast. Surgery. 1989;106(3):578.
  7. Dixon JM, Miller WR, Scott WN, et al. The morphological basis of human breast cyst population. Br J Surg. 1983;70:604–06.
  8. Haagensen CD. Diseases of the breast. 2nd edition. WB Saunders, Philadelphia, 1971.
  9. Schneider C, Fehr MK, Kubik-Huch RA, et al. Giant breast cyst: a rare but distinct entity. Acta Obstet Gynecol Scand. 2001;80(10):970–971.
  10. Hughes LE, Mansel RE, Webster DJT. Aberrations of normal development and involution (ANDI): a new perspective on pathogenesis and nomenclature of benign breast disorders. Lancet. 1987;2(8571):1316–1319.
  11. Dixon JM, Scott WN, Miller WR. Natural history of cystic disease: importance of cyst type. Br J Surg. 1985;72(3):190–192.
  12. Uematsu T, Kasami M. MR imaging findings of benign and malignant circumscribed breast masses: part 2. Cystic circumscribed masses. Jpn Radiol. 2009;27(10):405–409.
  13. Dixon JM, Lumsden AB, Miller WR. The relationship of the cyst type to risk factors for breast cancer and subsequent development of breast cancer. Eur J Cancer Clin Oncol. 1985;21(9):1047–1050.
  14. Mizia-Stec K, Zych F, Widala E. Biochemical and endocrinological analysis of breast cyst fluid. Ginekol Pol. 1997;68(9):432–439.
  15. Mezi S, Reale MG, Aloise G, et al. Levels of Cathepsin D in breast cyst fluid. G Chir. 1997;18(6-7):368–372.
  16. Kihara M, Miyauchi A. Intracystic papilloma of the breast forming a giant cyst. Beast Cancer. 2010;17(1):68–70.
  17. Rungruang B, Kelley JL. Benign breast disease: epidemiology, evaluation and management. Clin Obstet Gynecol. 2011;54(1):110–124.
Creative Commons Attribution License

©2018 Arora. This is an open access article distributed under the terms of the, which permits unrestricted use, distribution, and build upon your work non-commercially.