Submit manuscript...
MOJ
eISSN: 2381-179X

Clinical & Medical Case Reports

Case Report Volume 8 Issue 6

Hepatosplenic candidiasis during cancer chemotherapy

Joe James,1 Muhammed Niyas VK,2 Abdul Majeed3

1Department of Neurology, Government Medical College Kozhikode, India
2Department of Infectious Diseases, All India Institute of Medical Sciences, India
3Department of Internal Medicine, Government Medical College Kozhikode, India

Correspondence: Joe James, Department of Neurology, Government Medical College Kozhikode, India

Received: January 01, 1971 | Published: November 27, 2018

Citation: James J, Muhammed NVK, Abdul M. Hepatosplenic candidiasis during cancer chemotherapy. MOJ Clin Med Case Rep. 2018;8(6):236 DOI: 10.15406/mojcr.2018.08.00286

Download PDF

Introduction

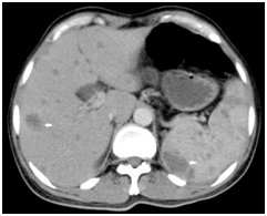
A 42-year old male with B-cell acute lymphoblastic leukemia on cytotoxic chemotherapy presented with high grade fever and fatigue. He had received daunorubicin, L-Asparaginase, vincristine and prednisolone as part of chemotherapy maintenance protocol 2-months back. In his last review 2-weeks back he had pancytopenia with an absolute neutrophil count of 200/mm3, but was asymptomatic. On examination he was febrile with a temperature of 1030F and was hemodynamically stable. Physical examination revealed severe pallor and mild hepatomegaly. Investigations showed a hemoglobin of 6.6g/dL, WBC count of 1600/mm3 with 44% polymorphs and 46% lymphocytes, neutrophil count of 700/mm3 and platelet count of 7000/mm3. His alkaline phosphatase was remarkably high with 345IU/L, while rest of the liver function tests were normal. Blood cultures were sterile. An ultrasound of the abdomen was normal. He was started on piperacillin-tazobactam and amikacin, but had little response. A computed tomography (CT) of the abdomen was done and showed numerous non-enhancing lesions in the liver and spleen with few of them showing conglomeration and subcapsular extension (Figure 1). A biopsy from the lesions was deferred due to thrombocytopenia. The clinical and radiological features were suggestive of hepatosplenic candidiasis. He was started on IV Amphotericin-B 50mg IV once daily and supported with blood transfusions. His fever subsided, alkaline phosphatase values returned to normal level and cytopenias resolved. He was later discharged on oral fluconazole.

Figure 1 Computed Tomography in Hepatosplenic Candidiasis. Axial contrast enhanced CT showing numerous non-enhancing hypodense lesions in the liver and spleen typical of hepatosplenic candidiasis (arrows).

Hepatosplenic candidiasis is due to disseminated infection by candida. It occurs in patients receiving cytotoxic chemotherapy, who have just recovered from a neutropenia.1 Candida are normal commensals of the gastrointestinal tract. Neutropenia together with break in mucosal integrity during chemotherapy facilitates candida to enter the bloodstream from the gastrointestinal tract to reach the portal system, liver and spleen. High spiking temperature in a patient who just recovered from neutropenia with elevation in alkaline phosphatase should alert the clinician to the possibility of hepatosplenic candidiasis. As the neutrophil counts recover, a strong inflammatory response occurs around the fungi causing immune reconstitution inflammatory syndrome.2 CT or magnetic resonance imaging reveals classical fungal microabscesses, together with the clinical background is sufficient to make the diagnosis. Biopsy is the gold standard to establish the diagnosis, but is often not possible due to thrombocytopenia as in our patient. Prolonged treatment with antifungal agents is often necessary for complete cure.3

Acknowledgements

None.

Conflict of interest

The author declares there is no conflicts of interest.

Creative Commons Attribution License

©2018 James, et al. This is an open access article distributed under the terms of the, which permits unrestricted use, distribution, and build upon your work non-commercially.