Submit manuscript...
MOJ
eISSN: 2381-179X

Clinical & Medical Case Reports

Case Report Volume 8 Issue 6

Indirect posterior adhesive restoration: criteria to success

Yosra Gassara, Imen Kalghoum, Nouha Hassine, Sarra Nasri, Dalenda Hadyaoui, Belhassen Harzallah

Correspondence: Yosra Gassara, Faculty of Dental Medicine, Avicenna Avenue, University of Monastir, Tunisia

Received: July 31, 2017 | Published: November 16, 2018

Citation: Gassara Y, Kalghoum I, Hassine N. Indirect posterior adhesive restoration: criteria to success. MOJ Clin Med Case Rep. 2018;8(6):220-224. DOI: 10.15406/mojcr.2018.08.00282

Download PDF

Abstract

Background: Ceramic Inlay/Onlay is an alternative approach for the restoration of vital posterior teeth with a large cavity while respecting the aesthetic, biological and mechanical imperatives. This approach has been widely used, and various materials and techniques have been reported. However, the success of this type of restoration depends on several factors.

Case Presentation: A patient presented with esthetic and functional demand. His chief complaint was to replace the overflowing amalgam restoration on the first right mandibular molar. A ceramic onlay was performed using the IPS e.max CAD system and bonded with a resin bonding agent.

Conclusions: To succeed in a restoration with ceramic inlay/onlay, it is necessary to know their indications, to respect the guidelines of preparation, to choose the adequate material and to respect the protocol of bonding.

Keywords: inlays, lithium-disilicate ceramic, dentin-bonding agents, tooth preparation

Introduction

Ceramic Inlays/Onlays are currently admitted as a common treatment modality used in contemporary dentistry to restore large areas of decay and to replace old restorations. Besides, with the availability of newer high-strength materials such as lithium disilicate and processing technologies like CAD/CAM, dental professionals are now able to produce highly esthetic restorations that blend seamlessly with the natural dentition while withstanding posterior occlusal forces. This has resulted in innovative methods of providing minimally invasive dentistry.1

Adhesive bonding systems are introduced in dental practice not only to improve the retention but also to achieve better esthetic results and maintain high ceramic strength. According to recent studies, bonded all-ceramic restorations show a higher fracture resistance than conventionally cemented restorations. This arises from the fact that resin cement used in bonded restorations is elastic and it tends to deform under stress conducting to a higher resistance to fracture. As a consequence when selecting the bonding system, the elastic modulus of the material is of interest.2

However, the strict observance of their indications, the choice of materials, the form of preparation adapted to the material, and the mastery of the adhesive techniques determine their success rate and durability.3 This article presents the detailed clinical protocol of this therapy and the factors influencing its success.

Case report

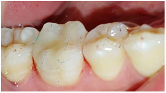
A 25years old male patient with unremarkable medical history, presented to the department of fixed prosthodontics with esthetic and functional demand. His chief complaint was to replace the defective amalgam restoration on the first right mandibular molar (Figure 1). A comprehensive clinical examination revealed good hygiene, a defective amalgam restoration on the first right mandibular molar, which caused a papilla inflammation between the 46 and the 47.

Figure 1 Defective amalgam restoration on the first right.

The vitality test revealed a positive response of the 46. The radiological examination showed a large-scale amalgam restoration at a distance from the pulp (Figure 2). After clinical examination, the appropriate treatment option was a ceramic onlay restoring the 46 using the IPS e.max CAD system.

Figure 2 Periapical radio on the 46: a large-scale amalgam.

After elimination of the amalgam the molar was prepared respecting the preparation guidelines for ceramic inlays/onlays.4

    1. The angles between the floor and the axial walls had to be rounded.
    2. The divergence of the internal walls should not be too limited (≥10°).
    3. The cavo-superficial boundaries shall be sharp, without bevel.
    4. Occlusal areas should not be located at the tooth restoration interface.
    5. The width of the main isthmus should be ≥
    6. The proximal box had to have a mesio-distal width of at least 1mm.
    7. The thickness of the restoration had to be of the order of 2mm at the level of the occlusal groove.
    8. The width of the residual walls had to be at least 2mm at the cervical level and 1 mm at the occlusal level.
    9. The thickness of the restorative materials (composite or ceramic) should be at least 1.5 to 2mm at the level of the covered cusps.
    10. A rounded shoulder is recommended at the level of the covered cusps.

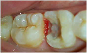
On the buccal surface of the restoration, the margins were located 0.5mm sub-gingivally for esthetic reasons and supra-gingivally on the lingual side. All sharp edges were rounded and smoothed (Figure 3). After a double gingival cord retraction, a simultaneous double mixed impression was made using light and heavy silicon A (Figure 4).

Figures 3 Tooth preparation.

Figure 4 A simultaneous double mixed master impression.

Then working cast was performed , and scanned, the onlay was designed referring to the corresponding shade matching , milled by CAD/CAM (Figure 5), and checked Intraorally.5

    1. Proximal contact: tight surface contact may prevent insertion of the prosthesis or complicate the passage of the floss when removing excess of bonding material. Nevertheless, absence of contact can cause food impaction, which can cause periodontal diseases.
    2. Marginal adaptation
    3. Esthetics

Figure 5 ceramic inlay/onlay by the system E max CAD.

When bonding a ceramic inlay, proper isolation is imperative. Use of a rubber dam is highly recommended.2

The preparation is cleaned, rinsed, and dried. The internal surface of the restoration is then etched with hydrofluoric acid during 20second, after which it is again rinsed and dried (Figure 6). A silane coupling agent is applied and allowed to air dry (Figures 7-9). Recommendations for the time of silane application vary from 30seconds to 2minutes. The chemistry of each system is variable; therefore, following the manufacturer’s directions and not mixing products is advisable6

Figure 6 The internal surface of the restoration.

Figure 7 A silane coupling agent is applied and allowed to air dry.

Figures 8, 9 Resin bonding agent is then applied to the inlay or the preparation.

The use of Teflon tape inter proximally is a convenient way to protect adjacent teeth. Alternatively, a soft-metal matrix can be used. The tooth surface is prepared as recommended by the manufacturer, with the proper etch, prime, and bond (Figure 10 & Figure 11). Resin bonding agent is then applied to the inlay or the preparation. The inlay is seated and excess bonding material is removed. The restoration should be supported while the resin is cured (Figure 12 & Figure 13).

Figures 10,11 Bonding of ceramic onlay.

Figures 12 Intraoral checking of occlusion.

Figure 13 Intraoral checking of occlusion.

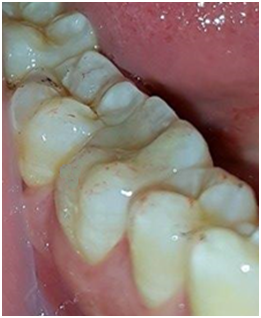
Gross excess resin can be removed after a spot cure, prior to completely curing the resin. Light curing is then done in accordance with the resin manufacturer’s recommendations. Any residual flash can be removed with a scalpel or suitable curette, but care must be taken not to cause inadvertent deficiencies at the tooth restoration interface.2,7 after which the occlusion is evaluated and adjusted as necessary. Any adjusted surfaces can be polished with a suitable polishing system, such as diamond polishing paste or rubber points (Figure 14 & Figure 15).7

Figure 14 Periapical view after bonding.

Figure 15 Aesthetic and biological integration of the final restoration.

Discussion

According to Hickel R and Manhart J, the rate of annual failure ofa ceramic inlay-onlay varies from 0 to 7.5% for "Traditional" ceramics, and from 0 to 4,4% for Ceramics (CAD / CAM).8

 The systematic review of Hélène Fron Chabouis et al., 9 have reported some type of failure

Fracture/Chipping 4%

Endodontic complications 3%

Secondary caries 1%

Debonding 1%

To avoid these complications it is necessary to know the indications of this type of restoration, to choose the ideal material and finally to respect the steps of preparation and the bonding protocol.

The study of Hickel R and Manhart J8 shows that the annual failure rate of ceramic Inlay/Onlay (4.4%) is lower than that of direct restorations by amalgam (7%).

Amalgam restorations are characterized by their unnatural appearance which remains a disadvantage. environmental concerns about mercury and amalgam discharge have resulted in increased externally imposed controls that focus on potential pollution.7

Further, it can be used when excellent isolation is problematic, in contrast to the demands of adhesive bonding.

However, achieving proximal contact in an amalgam restoration is straightforward because the material is condensable.

That’s why ceramic inlays-onlays find their interest especially in the following cases.10

    • A cavity of medium or large extent, stage 3 or 4 of the classification SISTA (Mount and Hume 1998)
    • Vital tooth; According to S. Morimoto et al, the chance of failure was 80% less in vital teeth compared with endodontically treated teeth, implying that tooth vitality is a significant factor for restoration survival.4
    • Loss of a cusp / Loss of marginal ridges and contact point
    • Posterior sector where the access is difficult / Limitation of mouth opening

However , in some clinical cases , for example , the presence of parafunction seems to greatly reduce the life span of ceramic inlays / onlays, so we should be careful in the indications in bruxomanic patients and advising the wearing of night protective splint.

The study of Lucine Dahan showed the rate of annual failure of composite inlay/onlays varies from 0 to 10% versus 0 to 5,6% for ceramics Inlay/Onlays.10

According to the study of Yildiz et al.,11 reinforced glass ceramics have been used successfully in all-ceramic restorations for more than 15years. IPS e.max CAD unite the latestin CAD/CAM processing technologies with a high-performance lithium disilicate glass-ceramic material, providing a precise and affordable solution for all-ceramic inlay/onlay. The flexural strength of lithium disilicate glass-ceramic(360to400MPa)is satisfactory for clinical use.11

Many studies have shown that, depending on the type of preparation chosen, the stress generated within the material differ. In order to reduce this stress, preparations for ceramic Inlay/Onlay must adhere to a number of principles and rules.3,4

Ceramic thickness can influence the clinical longevity of all-ceramic restorations. For that, an occlusal tooth reduction of 1.5 to 2.0mm provides adequate bulk to maintain the strength of ceramic inlays/onlays with a width of the residual walls of 2mm at the cervical level and 1mm at the occlusal level to avoid the dental fracture.

Tooth preparation for indirect bonded restorations can generate significant dentin exposures. It is recommended to seal these freshly cut dentin surfaces with a dentin bonding agent (DBA) immediately following tooth preparation, before taking impression.12

American Dental Association (ADA) states that the thickness of luting cement used to bond a crown should not exceed 40µm when using different types of luting agents. Although marginal openings in this range are seldom achieved, a 40µm thickness of the bonding cement is widely acknowledged as the clinical goal.13 Therefore, the quality of marginal seal and the thickness of the bonding agent could directly influence the longevity of indirect ceramic restorations. To function effectively, the restoration needs mechanical support provided by the tooth substance, which becomes more crucial in the posterior teeth.

Conclusion

Ceramic inlays, by contrast, allow the practitioner to achieve an excellent shade match with surrounding natural tooth structure. Provided that the appropriate shade is selected and the restoration is fabricated with proper translucency, ceramic inlays can be almost indistinguishable from the tooth being restored. They have improved physical properties in comparison to direct posterior composite resin restorations, and when preparation margins are situated in enamel, ceramic inlays offer the potential of reduced microleakage by comparison to either amalgam .

So to succeed in a ceramic inlay/onlay it is necessary

    • To know their indications
    • To respect the principles of preparation
    • To choose the adequate material
    • to respect the protocol of bonding

Acknowledgements

None.

Conflict of interest

The author declares that there is no conflict of interest.

References

  1. Mc Laren EA, Figueira J, Goldstein RE. Vonlays: a conservative esthetic alternative to full-coverage crowns. Compend Contin Educ Dent. 2015;36(4):282:286–289.
  2. Nissaf Daouahi, Dalenda Hadyaoui. Mounir Cherif Bonding of all Ceramic Restorations. Dentistry. 2015;5:338.
  3. Jan Hajtó, Costin Marinescu, Oliver Ahlers Inlays-et-onlays-en-ceramique-criteres-de-succes Réalités Cliniques. 2013;25:4.
  4. Ed’Incau, R Zunzarren. Évolution des formes de préparation pour inlays/onlays postérieurs à la mandibule Réalités Cliniques déc. 2014;25:4.
  5. Cheron and A. Atlan, Assemblage des restaurations indirectes Réalités Cliniques. 2014;25(4):337–344.
  6. Tevfik Yavuz and Oguz Eraslan. The effect of silane applied to glass ceramics on surface structure and bonding strength at different temperatures. J Adv Prosthodont. 2016;8(2):75–84.
  7. Christa D Hopp, Martin FL. Considerations for ceramic inlays in posterior teeth: a review. Clin Cosmet Investig Dent. 2013;5: 21–32.
  8. Hickel R, Manhart J. Longevity of restorations in posterior teeth and reasons for failure. J Adhes Dent. 2001;3(1):45–64.
  9. Hélène Fron Chabouis, Violaine Smail Faugeron, Jean-Pierre Attal. Clinical efficacy of composite versus ceramic inlays and onlays: A systematic review Dental materials. 2013;29(12):1209–1218.
  10. Lucile Dahan, Frédéric Raux. Pourquoi et quand faire un inlay-onlay ? L’INFORMATION DENTAIRE. 2010.
  11. Coskun Yildiz Burcin Akoglu Vanlıo˘glu, Buket Evren, Altay Uludamar, & Yasemin Kulak-Ozkan Fracture Resistance of Manually and CAD/CAM Manufactured Ceramic Onlays. Journal of Prosthodontics. 2013;22(2013):537–542.
  12. Pascal Magne, Woong Seup So, Domenico Cascione Immediate dentin sealing supports delayed restoration placement. The Journal of Prosthetic Dentistry. 2007;98(3):166–174.
  13. Recep Uzgur, Ertu˘grul Ercan, Zeynep Uzgur, et al. Cement Thickness of Inlay Restorations Made of Lithium Disilicate, Polymer-Infiltrated Ceramic and Nano-Ceramic CAD/CAM Materials Evaluated Using 3D X-Ray Micro-Computed Tomography. Journal of Prosthodont. 2018;27(5):456–460.
Creative Commons Attribution License

©2018 Gassara, et al. This is an open access article distributed under the terms of the, which permits unrestricted use, distribution, and build upon your work non-commercially.