Submit manuscript...
MOJ
eISSN: 2381-179X

Clinical & Medical Case Reports

Case Report Volume 4 Issue 2

Lower gastrointestinal bleeding caused by stromal tumor of the jejunum - report of two cases

Marta Magnuszewska, Karolina Horbacka, Piotr Krokowicz

Department of General and Colorectal Surgery, University of Medical Sciences, Poland

Correspondence: Karolina Horbacka, Department of General and Colorectal Surgery, University of Medical Sciences, Szwajcarska 3, 61-285, Poznań, Poland, Tel +48 618739414

Received: October 24, 2015 | Published: March 29, 2016

Citation: Magnuszewska M, Horbacka K, Krokowicz . ILower gastrointestinal bleeding caused by stromal tumor of the jejunum - report of two cases. MOJ Clin Med Case Rep. 2016;4(2):45-46. DOI: 10.15406/mojcr.2016.04.00083

Download PDF

Abstract

We present clinical manifestations of a lower gastrointestinal bleeding caused by stromal tumor, discussing two cases of patients hospitalized and operated on at the Department of General and Colorectal Surgery, University of Medical Sciences in Poznań. In one case the female patient was admitted to the emergency department with signs of massive GI haemorrhage and consequently since within 2hours she started to deteriorate with obvious signs of hypovolemic shock, the decision was made to perform exploratory laparotomy. The other patient’s vital signs were clinically stable on admission that enabled diagnostics imaging. In both patients a part of jejunum with tumor was resected and side-to-side anastomosis was successfully performed, resulting in relatively fast recovery and hospital discharge on the 7th postoperative day. Although gastrointestinal stromal tumor is a rare type of cancer it may be the cause of massive, life threatening GI haemorrhage and has to be considered in a differential diagnosis.

Keywords: gastrointestinal stromal tumor, gastrointestinal haemorrhage, imatinib, molecularly targeted therapy

Abbreviations

GIST, gastrointestinal stromal tumor; GI, gastrointestinal

Introduction

GI haemorrhage is one of the most common causes of emergency admission to surgical departments. Using emergency colonoscopy and gastroscopy the origin of bleeding can be ruled out in the majority of cases. Small bowel haemorrhage is a slightly different clinical entity which always has to be considered in differential diagnosis of GI bleeding, since it may result in a rapid deterioration and development of hypovolemic shock and it is the most difficult part of alimentary tract to be evaluated. Gastrointestinal stromal tumors (GIST) have been described as a distinctive tumor type in 1998 thanks to the recent breakthroughs in immunohistochemistry. They constitute about 1% of GI tract neoplasms and are believed to originate from interstitial cells of Cajal with pacemaker activity responsible for perystaltis. They usually grow within the muscle layer of alimentary tract wall outwards and consequently seldom cause mechanical obstruction comparing to colorectal cancer. They are diagnosed by the expression of proto-oncogene protein receptor c-kit-CD 117 antigen in 95% of the cases and in 60-70% - the expression of CD34 antigen is detected

by Immunohistochemistry.1 The initial diagnosis of GIST influences surgical treatment (lymphadenectomy is not required after radical resection) and adjuvant strategy since GIST are refractory to standard chemotherapy and radiation but respond well to molecularly targeted therapies such as imatinib mesylate - inhibitor of protein tyrosine kinase. Undoubtfully radical resection is the only curative treatment but adjuvant molecularly targeted therapy is known to diminish the risk of local reccurence and is the only effective management of metastatic and reccurent disease in cases of limited possibilities of oncological resection.2

Case presentation

Case report 1

A 40-year old woman (M.B., history number: KG-43875/14) was admitted to the Department of General and Colorectal Surgery, University of Medical Sciences in Poznań on August 26,2014 because of massive lower GI bleeding. On physical examination patient was pale with signs of severe hypovolemia, BP 105/50, HR 115-120/min, abdomen was soft, painless, without rebound tenderness, without distension, peristals is audible, fresh blood was detected on rectal examination. Laboratory tests: hemoglobin-4,4mmol/l, hematocrite 21%, red blood cell count -2,4x106/µl, white blood cell count - 13,6x103/µl, electrolytes, blood urea, nitrogen, creatinine, glucose, amylase, bilirubin, aminotransferase within the recommended range. Coagulation parameters within normal limits. After admission intensive initial fluid resuscitation was started, blood and fresh frozen plasma transfusions were given and emergency endoscopy was performed. Gastro copy ruled out duodenal haemorrhage. Colonoscopy revealed fresh blood in the entire colon and the active outflow of blood from terminal ileum but the bleeding site was not identified. Since the patient started to deteriorate with obvious signs of hypovolemic shock despite blood trasfusions and fluid resuscitation, the decision for urgent operation was made, suspecting small bowel haemorrhage. The abdominal cavity was opened via ventral midline incision. There were no signs of inflammatory fluid or blood in the peritoneal cavity. A thorough exploration of small intestine revealed the tumor of the jejunum about 70cm from the ligament of Treitz causing massive bleeding to the lumen of the bowels (Figure 1). Radical resection of the tumor and adjacent jejunum with mesentery was performed followed by side -to-side anastomosis using the linear cutterstapler. Postoperative period was uneventful and the patient was eventually discharged home in a good condition on the 7th day after the operation. Postoperative initial histopathology examination showed fusocellular tumor 17x25x20mm with 3mitoses/50 HPF. Additional immunohistochemistry examination confirmed the diagnosis of GIST with characteristic immunophenotype: CD 117+, DOG1+, CD34+, SMA-, S100-, CKAE1/3-, Ki 67<2%.

Figure 1 Intraoperative image at laparotomy demonstrating rectal injury gastrointestinal stromal tumor of the jejunum.

Case report 2

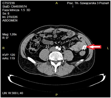
A 54-year old man (W.K., history number: KG-25974/12) was admitted to the Department of General and Colorectal Surgery, University of Medical Sciences in Poznań on November 19, 2012 with the signs of lower GI bleeding. During physical examination abdomen was soft, without tenderness or distention, dark blood on rectal examination was observed. The patient was afebrile with stable vital signs. Laboratory tests: hemoglobin - 5,6 mmol/l, red blood cell count - 2,8x106/µl, white blood cell count - 6,9x103/µl, hematocrite 25%, electrolytes, blood urea, nitrogen, creatinine, glucose, amylase, bilirubin, aminotransferases within a normal range. Coagulation parameters within normal limits. Gastroscopy and colonoscopy did not reveal the origin of bleeding. On ultrasound a solid tumor 33x19x21mm in hypogastrium 4cm below the umbilicus was detected. Since patient’s vital signs were clinically stable CT scan was performed showing exophytic enhancing tumor 24x21x35mm originating from small intestine and localized in the left midgastrium (Figure 2). With the suspicion of carcinoid the patient was qualified for laparotomy. Resection of the tumor and adjacent jejunum with mesentery was performed with side-to-side anastomosis using the linear cutterstapler. Postoperative period was uneventful and the patient was eventually discharged home in a good condition on the 7thday after the operation. Postoperative initial histopathology examination showed fusocellular tumor 25x20x23mm with 1mitose/50 HPF.

Figure 2 CT-enhanced scan - tumor localised in the left midgastrium originating from small intestine enhancing in arterial phase.

Additional immunohistochemistry examination confirmed the diagnosis of GIST with characteristic immunophenotype: CD117+, DOG1+, SMA+, CKAE 1/3-, CD34, Ki 67 <5%.

Discussion

We presented two patients operated because of lower GI bleeding caused by gastrointestinal stromal tumor of the jejunum. In the case of the female patient the decision for urgent laparotomy was made because of visible signs of hypovolemic shock. The young age of a mentioned patient and localization of GIST are not typical for a clinical picture of stromal tumors. The median age of patients diagnosed with GIST is 60-69years and the onset of symptoms is influenced by the size of the tumor. Most of them are localized in the stomach (50-70%), which is associated with better prognosis, small intestinie (20-30%), esophagus, colon and retroperitoneal space are unfrequent.3 The treatment strategy differs from GI cancer management. There is no need for extensive lymphadenectomy since lympnodes are involved in less than 3% of patients.4 In case of reccurent disease and where the surgical options are limited because of the advanced stage, molecularly targeted therapy can be applied with a high respond rate. The course of the disease may be asymptomatic for a long time therefore the diagnosis is made in an advanced stage, which unables the only curative treatment - radical resection. The proliferation of blood vessels and infiltration on mesentery may result in massive GI bleeding and emergency operation is the only possible treatment. GIST should be considered in differential diagnosis of GI haemorrhage especially in the abscence of the origin of sanguination on endoscopy. CT enhanced scan or MRI are useful imaging tools provided patient’s vital signs are stable.

Acknowledgements

None.

Conflict of interest

The author declares no conflict of interest.

References

Creative Commons Attribution License

©2016 Magnuszewska, et al. This is an open access article distributed under the terms of the, which permits unrestricted use, distribution, and build upon your work non-commercially.