Case Report Volume 5 Issue 1
Department of Surgery, All India Institute of Medical Sciences, India
Correspondence: Prakash K Sasmal, Associate Professor, Department of Surgery, AIIMS, Bhubaneswar, Odisha, India, Tel 9861143399
Received: November 01, 2016 | Published: November 9, 2016
Citation: Sasmal PK, Rath S, Meher S, et al. Phytobezoar ( Mangifera Indica Seeds ) induced acute intestinal obstruction. MOJ Clin Med Case Rep. 2016;5(1):179-181. DOI: 10.15406/mojcr.2016.05.00122
Bezoars are partially digested conglomerates of fibres and foreign materials found in the gastro intestinal tract. Although they are common in lower vertebrates but there incidence in human being is rare. Bezoars in human beings can present with varied clinical signs and symptoms like colicky abdominal pain or intestinal obstruction or they may be silent and asymptomatic. In this case study we report a case of acute intestinal obstruction in a 35 years old female caused phytobezoar. The patient was diagnosed to have bezoar intra-operatively only in the terminal small bowel and stomach. On exploration she had obstruction at the level of terminal ileum and underwent enterotomy of terminal ileum and gastrostomy for removal of two pieces of phytobezoars comprising of semi digested mango seeds (Mangifera Indica). A detailed history of dietary habit was taken in the post-operative period. It revealed that she was very fond of eating mango and was regularly eating mango seeds along with the fruit which might be the cause of the phytobezoar. Phytobezoars are commonly found in the stomach and small intestine. The most common presentation of a bezoar is with intestinal obstruction. They can easily be managed by endoscopic procedures or surgical exploration at times.
Keywords: bezoar, intestinal obstruction, phytobezoar, mango seed, mangifera indica
Bezoars are conglomeration of indigested fibers and foreign material usually found in the gastrointestinal tracts of ruminant vertebrates. Baudamant in 1779 reported the incidence of human phyto-bezoar, while Swan gave the diagnosis of phyto-bezoar after doing post mortem in a man in 1854. Stelzer in1896 gave the first pre-operative diagnosis of phyto-bezoar.1 Bezoars can be of different types and are classified according to their composition. Phyto-bezoars contain vegetable matters, while Iniobezoars, Carpobezoars, Diospyrobezoars, Trichobezoars, Pharmacobezoars and Lactobezoars are composed of seeds, fruits, persimmon fibers, hairs, medications and milk products respectively. There are reports of lactobezoar formation following prolonged percutaneous gastrostomy feeding and even after early post-operative enteral feeding. Bezoars are very common in the gastro-intestinal tract but they rarely cause obstruction. Commonest site of trichobezoar formation is stomach and the reason is not fully understood but may be due to entrapment of the fibres in the gastric rugal folds.2 Bezoars do rarely cause intestinal obstruction and mostly small intestine. Studies have found approximately 2% to 3% of all small bowel obstructions are caused by phytobezoars.3,4 Another study by Dervisoglou et al.,5found bezoars in 2.39 % as the cause of the obstruction in 369 cases of ileal obstruction.
Phytobezoars are commonly seen in subjects who take a diet rich in fibre.6 It is suggested that acidity of stomach polymerises monomeric tannin when present in high concentration into a sticky coagulum which may initiate the development of the phytobezoar.7 Major factors involved in formation of phytobezoar may be due to gastric stasis and delayed emptying.8 Rarely bezoar formation occurs in an intact gastrointestinal tract, gastric surgery for acid peptic disorder and vagotomy are frequently associated with bezoar formation.9 Bezoar formation are also associated with diabetes, hypothyroidism, pernicious anemia, Noonan syndrome and guillain-barre syndrome.1,10 Clinical manifestations varies as to the site of obstruction between remaining completely asymptomatic to acute abdominal syndrome.11,12 Radiologic imaging is useful in making the diagnosis11,13,14 however most of them are diagnosed at the time of surgery.4 The goal of treatment is to relieve the patient from intestinal obstruction and prevent its recurrence4,11,15 Psychiatric counselling may be sought if required. We report a case of acute intestinal obstruction due to phytobezoar in small bowel with concomitant gastric bezoar caused by mangiferaindica (mango) seeds.
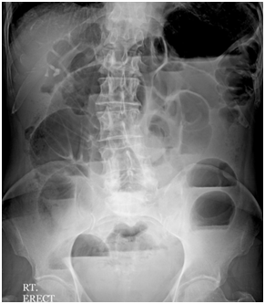
A 35year old female presented with features of acute intestinal obstruction with colicky abdominal pain, distension and bilious vomiting for last two days. She was having history of recurrent episodes of bilious vomiting and loss of appetite for past 3 months. She was also experiencing repeated episodes of colicky abdominal pain which used to be relieved after taking anti-spasmodic medications. She had no prior history of abdominal surgery. Clinical examination revealed dehydration, anicteric, afebrile, blood pressure of 110/60 mmHg, abdominal distention, hyper-peristaltic bowel sounds, abdominal hypertympanism, and tenderness in the hypogastrium, characterizing intestinal occlusion. The biochemical parameters were within normal limits. Abdominal radiograph in erect position revealed multiple air-fluid levels in step ladder pattern without any free gas (Figure 1). The patient was resuscitated for correction of fluid deficit and dyselectrolemia. As the patient was in acute intestinal obstruction for the last two days, so the patient was planned for emergency laparotomy without doing the contrast studies.
Exploratory laparotomy revealed obstruction in the terminal ileum (intraluminal) around 10centimetres proximal to the ileo-caecal junction. Beyond this site the intestinal loops were normal in calibre. On thorough examination of the guta concomitant gastric intraluminal mass was also palpable. Longitudinal enterotomy was performed at a site proximal to the obstruction and an ovoid shaped phytobezoar of size of 6x4cm was removed (Figure 2). Longitudinal gastrotomy was done at the level of gastric body and a similar looking phytobezoar as removed from the stomach (Figure 3). The enterotomy and gastrostomy site were closed primarily with interrupted sutures. Both the phytobezoars were smooth, ovoid and firm in consistency. The patient recovered well in the post operative period without any complication. A subsequent enquiry of the patient’s nutritional habits was done which revealed ingestion of mango seeds (MangiferaIndica) multiple times along with the fruit. After appropriate psychological counselling, the patient was discharged on seventh post-operative day uneventfully.
Bezoar is a type of a foreign body in the gastrointestinal tract consisting of animal or vegetable material.16 The overall incidence is about 0.4%.17 The most common type of bezoars, are the phytobezoars, comprising of indigestible cellulose, tannin and lignin from ingested vegetables and fruits. The increasingly popular Paleolithic or “Paleo” diet where consumption of vegetables, fruit, roots, seeds, and nuts are consumed more; there is increased incidence of bezoar formation. In some Asian countries, phytobezoars are formed after ingestion of persimmons and pineapples and are called diospyrobezoars, which are more difficult to treat because of their hard consistency.18,19 After having reviewed all relevant literature, it appears that diospyrobezoars are less likely to be completely dissolved by Coca-Cola, as an initial treatment, compared with other phytobezoars.
The pathogenesis of bezoar formation is believed to be the result of gastric dysmotility and decreased gastric secretions, which is very common after any gastric surgery20,21 Diospyrobezoars, formed after persimmon ingestion, are a distinct type of phytobezoars characterized by their hard consistency. There are limited reports published on mango seeds induced acute intestinal obstruction in human beings as it is difficult to ingest it.22 In our case the patient was very fond of eating mangoes including seeds and was having a sound mental status.
Phytobezoars are more likely to get impacted at the terminal ileum region, being the narrowest part of the small intestine with relatively weak peristalsis.23 These cases are often not diagnosed by preoperative clinical examinations or investigations before surgery due to the absence of specific signs.1,23 However abdominal computerized tomography allows confirmation of obstruction and often diagnoses the obstruction site, and eventual identification of the cause.1,23 Phytobezoars can be managed by a number of surgical, endoscopic, and pharmacologic treatments as proposed by various authors.24,25 Exploratory laparotomy has been the gold standard treatment for acute intestinal obstruction when surgical intervention is necessary, although laparotomy itself is an independent risk factor for bowel obstruction.26–28 Laparoscopy can also be useful in diagnosis and treatment of intestinal phytobezoar.22,23 Coca-Cola combined with endoscopic techniques has been used effectively to treat gastric phytobezoar and avoid surgery.29
Ovarian cysts more than 10cms are considered as Large Ovarian cysts. Two main variants are Serous and Mucinous. Most of them are benign .cysts can be removed via laparoscopic or via exploratomy laparotomy can be done depending on size and nature of cyst .cysts of small sizes can be removed via laparoscopic method and for large sizes of cysts exploratory laparotomy is done. Hence laparotomy and total excision of cysts in these situations is the treatment of choice.
Surgery is recommended for simple cysts larger than 5cm and complex cysts of any size. Simple cysts of smaller than 5cm with a normal CA-125 level may be followed with serial ultrasounds. Benign cysts have an excellent prognosis, prognosis of malignant tumors varies with the type of tumor involved and time of detection. In any event, bilateral oopherectomy is rarely indicated in young female unless one is certain that the malignancy is present.
None.
The author declares no conflict of interest.
©2016 Sasmal, et al. This is an open access article distributed under the terms of the, which permits unrestricted use, distribution, and build upon your work non-commercially.