Submit manuscript...
MOJ
eISSN: 2381-179X

Clinical & Medical Case Reports

Case Report Volume 14 Issue 1

Rat bite fever, a neglected and underdiagnosed entity: case report

Gloria Caterine Pérez Mingan,1 Loraine Quintana Pajaro,1 Héctor Romero Rivera,1 Rita Magola Sierra Merlano2

1Internal medicine, Universidad de Cartagena, Colombia
2Rheumatology Specialist, Universidad de Cartagena, Colombia

Correspondence: Gloria Caterine Perez Mingan, Internal Medicine Resident, Universidad de Cartagena, Colombia, Tel 3132526310

Received: January 31, 2024 | Published: February 12, 2024

Citation: Mingan GCP, Pajaro LQ, Rivera HR, et al. Rat bite fever, a neglected and underdiagnosed entity: case report. MOJ Clin Med Case Rep. 2024;14(1):12-14. DOI: 10.15406/mojcr.2024.14.00451

Download PDF

Abstract

Rat bite fever is a poorly recognised entity, characterised by a series of clinical manifestations in which fever and polyatrial involvement predominate. The unspecificity of the symptoms together with the difficulty in isolating the causative germ causes delays in diagnosis, so active questioning in search of previous contact with rats or rodents is the fundamental basis for early diagnosis and timely treatment of this entity. Delayed treatment can result in mortality in up to 10% of patients.

Keywords: fever, rash, rat

Introduction

Rat bite fever is a rare zoonotic infectious disease that was first described in the United States in 1839, with two outbreaks reported in the same country in the early 1990S.1–3 Since then, this infection has been reported only a few times throughout the world. However, the true incidence rate is unknown because it is not a notifiable disease.4,5 RBF is caused mainly by infection with Streptobacillus moniliformis, the predominant cause of RBF in the Americas, or Spirillum minus, which is more prevalent in Asia.3 S moniliformis is a fastidious, facultatively anaerobic, filamentous gram-negative bacteria that colonizes the oral and nasopharyngeal tracts of rats, mice, squirrels, gerbils, and other rodents.2,5 In the last decade four novel species have been described, which have been named Streptobacillus canis, Streptobacillus notomytis, Streptobacillus felis, and Streptobacillus ratti, with few cases reported to be caused by these species, especially with S. notomytis.6 The following is a description of the disease and a clinical case of a patient diagnosed with rat bite fever.

Case description

A 32-year-old male patient, a native of Venezuela, resident and from Cartagena de Indias (Colombia), who consults due to a clinical picture of 5 days of evolution given by unquantified fever peaks at home associated with pulsatile holocranial headache of 7/10 in the numerical scale of pain, 48 hours later presents palmoplantar rash and 24 hours after the appearance of skin lesions, presents with asymmetric polyarthritis sum in ankles, knees (predominantly right), wrists, proximal interphalangeal joints of the third and fourth fingers of both hands, elbow left and left shoulder. In interrogation, patient bitten by a rat (provoked) in the first phalanx of the fourth finger of the left hand, 24 hours prior to the onset of clinical symptoms.The patient denies recent national or international trips, denies risky sexual behavior, denies gastrointestinal or genitourinary infections in the last 6 months, denies drug use, does not provide a vaccination card. As the only history, he manifests active smoking since he was 14 years old (IPA of 1.4 packs-year) and arterial hypertension in his father.

Vital signs on admission to the emergency department: Blood pressure: 132/50 mmHg in the right arm, 141/62 mmHg in the left arm, Heart rate: 99 beats/min, Respiratory rate: 16, Sao2: 98% Temperature: 37 degrees. No jaundice, no cervical lymphadenopathy, presence of papular lesions in the mouth (upper lip). In cardiopulmonary examination, with enhancement of the second sound, without pulmonary aggregates. Painless abdomen, no peritoneal irritation, no inguinal lymphadenopathy. In the lower limbs, with discreet bilateral bimalleolar edema, with evidence of pustular and petechial lesions in the palm and soles of the feet. Joint examination with finding of edema and pain on palpation in the left shoulder, left elbow. Pain on flexion and extension movements of the wrist joints. Pain and edema in the proximal interphalangeal joints of the third and fourth fingers of the right and left hand. Edema and pain on palpation of the right knee. No alterations in neurological examination.

Fever associated with palmoplantar exanthema plus summative asymmetric polyarthritis is considered as the first possibility secondary to infectious aetiology. Paraclinical tests on admission with leukocytosis, transient lymphopenia, no anemia or thrombocytopenia, preserved renal function, no electrolyte disturbance, normal hepatobiliary profile, except for hypoalbuminemia, however, total protein within normal parameters (See Section 1). C3 and c4 within normal limits, HIV1 and 2 negative, negative serology for leptospirosis, dengue, syphilis, herpes simplex, toxoplasmosis and rubella. ANAs, ANCA, rheumatoid factor and anticitrullinated peptide were negative. Negative blood cultures after 5 days of incubation, negative culture in the bite area and biopsy of the lesion with non-specific skin findings, without evidence of microorganisms, granulomas or malignancy. Images were performed, including a TT echocardiogram, which ruled out the presence of vegetations (See Section 2). Broad-spectrum coverage was indicated with ceftriaxone 1 gram IV every 24 hours and prednisolone 40 mg PO for 5 days, with a marked reduction in skin lesions and polyarthritis. Additionally, initiation of antihypertensive therapy given de novo arterial hypertension. He was discharged with oral doxycycline and prednisolone with a de-escalation protocol.

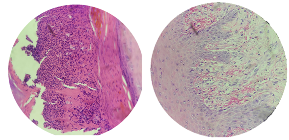
Sections 1 and 2 show skin with representation down to the subcutaneous cellular tissue. At the level of the epidermis, mature keratinized squamous epithelium is visualized, the stratum corneum shows the presence of a crust, with abundant cellular debris, as well as orthokeratosis parakeratosis. The basal layer shows marked spongiosis, with reactive epithelial changes, plus lymphocyte exocytosis. The superficial dermis shows a moderate chronic inflammatory infiltrate, lymphoplasmacytic, superficial perivascular location, with marked extravasation. Microorganisms are not observed.

Discussion

Rat-bite fever is a rare infection that can be transmitted to humans through bites or scratches from an infected rat, although it can also be transmitted by ingestion of food or water contaminated by colonized rodents, causing a syndrome known as "Haverhill fever".3 However, it is not spread from one person to another.1 These infections are increasing, especially in children, because of the popularity of rodents as pets. Pet vendors and buyers are also at an increased risk.2,5 Interestingly, approximately 30% of patients diagnosed with RBF do not report having been bitten or scratched by rodents.7 The patient in this case recalled a rat bite 24 hours before symptoms onset and a closer examination revealed the bite wound on the fifth finger of his left hand.

The pathogenesis of RBF has not been elucidated. In some cases, biopsy of skin lesions revealed leukocytoclastic vasculitis. Autopsy findings of some patients revealed hepatosplenomegaly, degenerative alterations in liver and kidneys, erythrophagocytosis and lymph node sinus hyperplasia.2

The presentation of RBF is non-specific and the manifestations include a variety of symptoms such as a fever (92%), nausea and vomiting (40%), headache (34%), skin rash (61%), migratory polyarthralgias (66%) and myalgias (29%), which occur after a 2- to 10- day incubation period.1,2,4 The skin rash is usually maculopapular, petechial, or purpuric which commonly localizes on the extensor surfaces of extremities, as well as on the palms and soles.3,5 Patients may also develop a non-suppurative arthritis that mimics rheumatoid arthritis but with the knee and ankle being the most commonly affected joints.4 Moreover, it has been suggested that septic arthritis that may accompany RBF is unique and may be considered a separate entity.2 In this case, the patient presented with all those symptoms, including the typical migratory polyarthritis and the purpuric rash on his extremities involving the palms and soles.

In some reports, about 1 in 10 rat bites may cause Streptobacillary RBF, and approximately 7%-13% of untreated cases are fatal because of the potential complications such as endocarditis, which is the primary cause of death, meningitis, pneumonia, hepatitis, focal abscess, and multiorgan failure. Therefore, early diagnosis and appropriate treatment are essential for Streptobacillary RBF.1,2,5,8

Due to its non-specific presentation, it is necessary to consider some differential diagnoses, including other bacterial and viral infectious diseases, autoimmune diseases, vasculitis and drug reactions. A key element for its diagnosis is to inquire about the history of rat bite, recognizing that the absence of this data does not rule out the disease.3

This infection is usually underdiagnosed because S. monilliformis is a fastidious bacterium that requires special conditions for culture. The bacteria are slow growing, and need prolonged incubation (up to 7 days). Further, sodium polyanethol sulfonate (SPS), the anticoagulant added to most aerobic blood culture bottles, inhibits the growth of S. moniliformis. Anaerobic blood cultures bottles are usually effective, as they do not contain SPS.2,4 Hence, other diagnostic tools such as PCR, gas-liquid chromatography and 16S-rRNA sequencing, should be considered to confirm these organisms.1,9,10 16S rDNA sequencing is a newer technique used to identify unusual microorganisms that are challenging to culture.

It detects both viable and non-viable bacteria and is therefore useful if antibiotics have already been started. It uses primers that target species-specific regions in the 16S rDNA of bacteria.4 Currently, high-throughput sequencing techniques like mNGS are becoming increasingly important for the detection of rare infections. Furthermore, using culture or histopathological examinations to verify the results of mGNS may increase the specificity. However, such techniques could produce false negativity at the same time, which may delay the administration of effective antibiotics.2 In most cases, the causal agent is not identified, so the natural history of the disease, physical examination findings and a history of rat bite or exposure to these animals support the diagnosis. In our case, both aerobic and anaerobic cultures failure to identify a microorganism and given the unavailability of molecular tests, the clinical data, the history of having been bitten by a rat and the favorable response to antibiotic treatment, made it possible to reach the diagnosis.

Conclusion

The treatment of choice for proven or highly suspected cases of rat-bite fever in the absence of complications is penicillin G in doses of 400,000 to 600,000 IU/day for a cycle of between 7 and 14 days; if after 2 days of treatment no therapeutic response is observed, it is recommended to increase the dose to 1,200,000 IU/day. Although there are limited data on the efficacy of specific antibiotics to treat this infection, in general it has been shown antibiotic susceptibility of S. moniliformis to penicillins, cephalosporins, carbapenems, monobactams, lincosamides and macrolides. Some reports have described intermediate susceptibility to aminoglycosides, chloramphenicol, and fluoroquinolones; describing in vitro resistance to drugs such as trimethopime-sulfamethoxazole, nalidixic acid and polymyxin B. In patients allergic to penicillin, the administration of doxycycline and streptomycin have shown an adequate therapeutic response.

In our patient, the treatment was carried out with third-generation cephalosporins with an adequate therapeutic response and continued with doxycycline after having ruled out complications and determined hospital discharge.

Acknowledgments

None.

Conflicts of interest

Authors declare that there is no conflict of interest.

References

  1. Kasuga K, Sako M, Kasai S, et al. Rat bite fever caused by streptobacillus moniliformis in a cirrhotic patient initially presenting with various systemic features resembling Henoch-Schönlein purpura. Intern Med. 2018;57(17):2585-2590.
  2. Zhang WW, Hu YB, He GX, et al. Rat bite fever caused by Streptobacillus moniliformis infection in a Chinese patient. BMC Infect Dis. 2019;19(1):637.
  3. Kwon CW, Somers K, Scott G, et al. Rat bite fever presenting as palpable purpura. JAMA Dermatol. 2016;152(6):723-724.
  4. Pannetier LWX, Lombard E. Rat bite fever in senior health medicine. BMJ Case Rep. 2020;13(3):e233451.
  5. Akter R, Boland P, Daley P, et al. Rat bite fever resembling rheumatoid arthritis. Can J Infect Dis Med Microbiol. 2016;2016:7270413.
  6. Pongsuttiyakorn S, Kamolvit W, Limsrivanichakorn S, et al. Rat bite fever due to Streptobacillus notomytis complicated by meningitis and spondylodiscitis: a case report. BMC Infect Dis. 2021;21(1):1017.
  7. Khatib MY, Elshafei MS, Mutkule DP, et al. Rat bite fever: The first case report from Qatar. Am J Case Rep. 2020;21:e925647.
  8. Elliott SP. Rat Bite Fever and Streptobacillus moniliformis. Clin Microbiol Rev. 2007;20(1):13-22.
  9. Eisenberg T, Ewers C, Rau J, et al. Approved and novel strategies in diagnostics of rat bite fever and other Streptobacillus infections in humans and animals. Virulence. 2016;7(6):630-648.
  10. Kelly AJ, Ivey ML, Gulvik CA, et al. A real-time multiplex PCR assay for detection of the causative agents of rat bite fever, Streptobacillus moniliformis and zoonoticStreptobacillus species. Diagn Microbiol Infect Dis. 2021;100(2):115335.
Creative Commons Attribution License

©2024 Mingan, et al. This is an open access article distributed under the terms of the, which permits unrestricted use, distribution, and build upon your work non-commercially.