Submit manuscript...
MOJ
eISSN: 2381-179X

Clinical & Medical Case Reports

Case Report Volume 3 Issue 2

Reimplantation of avulsed maxillary incisor with dry storage of 5days

Sandhyarani B,1 Dayanand Huddar,2 Anil Patil,1 Sachin Gunda1

1Department of Pedodontics, Bharati Vidyapeeth Dental College Sangli, India
2Department of Prosthodontics, Bharati Vidyapeeth Dental College Sangli, India

Correspondence: Anil T Patil, Department of Pedodontics, Bharati Vidyapeeth Dental College Sangli, Maharashtra, India, Tel 9850983500

Received: October 29, 2015 | Published: November 13, 2015

Citation: Sandhyarani B, Huddar D, Patil A, et al. Reimplantation of avulsed maxillary incisor with dry storage of 5days. MOJ Clin Med Case Rep. 2015;3(2):210-212. DOI: 10.15406/mojcr.2015.03.00060

Download PDF

Abstract

Tooth avulsion implies total displacement of tooth out of its socket which accounts for about 0.5 to 3% of traumatic injuries. This is relatively infrequent and presents a great challenge to pedodontist as the time of reimplantation and condition of tooth plays a very important role in its prognosis. This article describes reimplantation of avulsed maxillary upper incisor which was in dry storage for 5days. The patient was followed up for 6months with clinical success, but long term follow-ups are needed to assess the root resorption and complications.

Keywords: avulsion, injury, reimplantation, trauma, socket, maxillary incisor, tooth, alveolar bone, cementum, periodontal ligament, esthetics, speech, orthodontic, inflammation

Introduction

Trauma to teeth may be a result of falls, sports injuries and automobile accidents.1 Predisposing factors for traumatic injuries to teeth can be post normal occlusion, an over jet more than 4mm, short upper lip, incompetent lips and mouth breathing.2 Boys more likely to have tooth trauma than girls, by ratio of 2:1 to 3:1.3 Tooth avulsion is a dental emergency usually seen in young children involved in sports or road accidents. It is also called as exarticulation which is characterized as total displacement of the tooth out of its alveolar socket with damage to the periodontal ligament, cementum, alveolar bone, as well as gingival and pulpal tissues.4 Avulsion occurs most commonly in children with age group of 7-9year old, an age when the relatively resilient alveolar bone provides only minimal resistance to extrusive forces and the maxillary central incisors are the teeth most commonly affected.5 This has significantly undesirable functional, esthetics and even psychological effects on children.

Whenever tooth is avulsed from the socket there is tearing of periodontal ligament which leaves behind viable periodontal ligament cells on root surface. Also in addition there is crushing of tooth against socket causing localized cementum damage.6 Consequences of tooth avulsion are good if periodontal ligament left attached to the root surface does not dry out. The hydrated periodontal ligament cells will maintain their viability, allowing them to reattach on reimplantation without causing any more than minimal destructive inflammation. In addition, since the crushing injury is contained within a localized area, inflammation stimulated by the damaged tissues will be correspondingly limited, meaning that healing with new replacement cementum is likely to occur after the initial inflammation has subsided.7,8 But if excessive drying of tooth occurs, it elicits severe inflammatory reactions which must be replaced by new tissue causing replacement resorption.9 Thus, the prognosis of reimplanted avulsed tooth depends on the duration of extra alveolar dry time. However reimplantation also restores the occlusal function, esthetics, speech and thus it can be considered as an important step even if the tooth has more extra-oral time. This is a case report which describes reimplantation of avulsed maxillary upper incisor which was in dry storage for 5days. The patient was followed every 6months and tooth is still in good condition in spite of long term dry storage.

Case presentation

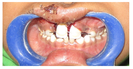
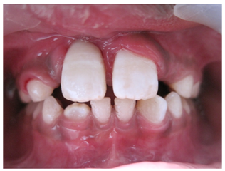
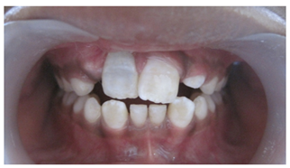
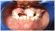
A 10year old boy reported to the department of Pedodontics with a chief complaint of missing upper front tooth and gave a history of fall from bike while 5 days back. They had been to pediatrician for the lacerated lip and got it sutured. Parents had kept the avulsed tooth in paper without knowledge of reimplantation of the same tooth. Patient had no relevant medical and family history. On examination swelling and suture was present on upper lip, lacerated gingiva with healing socket in 11 regions. 21 was intact, vital and non mobile. (Figure 1) (Figure 2) On examination of avulsed tooth 11, it was found to have open apex (Figure 3). On intraoral radiographic examination, no fracture was seen with alveolar bone (Figure 4). Thus avulsed tooth was cleaned and debrided with soft pumice prophylaxis, gentle scaling was done to remove ligament remnants. It was then placed in 1.23% sodium fluoride for 15minutes. Extraoral endodontic therapy was also done using retrograde filling of MTA (Figure 5). Local anesthesia was administered and socket was cleaned, curetted and irrigated to remove clot and debris and 11 was slowly reimplanted in socket. Orthodontic wire – composite splinting was done for 4weeks as the dry storage was more than 60minutes (Figure 6). Systemic antibiotics amoxicillin and doxycycline were prescribed for 5days. The patient was recalled after 1 month and splint was removed. No mobility was present. Again patient was recalled after 2months to check the condition (Figure 7). Again patient was recalled after 6months; tooth had slightly discolored but was not mobile and maintained the space (Figure 8). Patient was happy and contended with the reimplantation of his own tooth without disturbing his original look.

Figure 1 Extra oral photograph.

Figure 2 Intraoral pre-operative photograph.

Figure 3 Avulsed 11.

Figure 4 Preoperative radiograph.

Figure 5 Intraoperative radiograph showing 11 with MTA retrograde obturation.

Figure 6 Intraoperative photograph showing splinting.

Figure 7 Two months postoperative photograph.

Figure 8Six months postoperative photograph.

Discussion

Considerable debate exists as to whether it would be beneficial to replant the tooth even though it will inevitably be lost due to resorption. If the patients are followed carefully and if root submerged at the appropriate time, the height and width of the alveolar bone will be maintained allowing for easier permanent restoration at the appropriate time when the facial development of the child is complete.9 A similar case was done, wherein they have reimplanted 7days old maxillary incisor and could successfully achieve the objectives like acceptable esthetics, occlusal function.10 However, in controversy teeth reimplanted after 60mins of dry storage have ankylosed and resorbed within 7years.11 In such cases prosthetic replacement of the missing incisor, space closure with orthodontic treatment or auto transplantation of the premolar together with orthodontic treatment of the malocclusion could have been the treatment options. But in emergency cases orthodontic consultation, prosthetic replacements are seldom possible. Replantation can restore the patient’s esthetic appearance and occlusal function shortly after the injury and the replanted incisor can remain functional for some years.12 Thus in our case we have reimplanted 5days old avulsed maxillary incisor without much complications. Tooth is still intact in place and is serving the purpose. In case of inflammatory root resorption, a new attempt at disinfection of the root canal space by standard retreatment can be considered to reverse the process. Patient is asymptomatic and fully satisfied.

Acknowledgements

None.

Conflict of interest

The author declares no conflict of interest.

References

  1. Neil DW, Clark MV, Lowe JW, et al. Oral trauma in children:a hospital survey. Oral Surg Oral Med Oral Pathol. 1989;68(6):691–696.
  2. Forsberg CM, Tedestam G. Etiological and predisposing factors related to traumatic injuries to permanent teeth. Swed Dent J. 1993;17(5):183–190.
  3. Andreasen JO, Andreasen FM. Classification, etiology and epidemiology of traumatic dental injuries. In: Andreasen JO, et al. editors. Textbook and color atlas of traumatic injuries to the teeth. 3rd ed. Denmark: Copenhagen Munksgaard; 1993. p. 151–177.
  4. Lin S, Zuckerman O, Fuss Z, et al. New emphasis in the treatment of dental trauma:avulsion and luxation. Dent Traumatol. 2007;23(5):297–303.
  5. Andreasen JO, Andreasen FM. Textbook and colour atlas of traumatic injuries to the teeth. Denmark: Copenhagen Munksgaard; 1994. p. 383–425.
  6. Martin Trope. Clinical management of the avulsed tooth:present strategies and future directions. Dent Traumatol. 200;18(1):1–11.
  7. Andreasen JO. The effect of extra–alveolar period and storage media upon periodontal and pulpal healing after replantation of mature permanent incisors in monkeys. Int J Oral Surg. 1981;10(1):43–53.
  8. Soder PO, Otteskog P, Andreasen JO, et al. Effect of drying on viability of periodontal membrane. Scand J Dent Res. 1977;85(3):167–172.
  9. Flores MT, Andersson L, Andreasen JO, et al. International Association of Dental Traumatology Guidelines for the management of traumatic dental injuries. II. Avulsion of permanent teeth. Dent Traumatol. 2007;23(1):130–136.
  10. Surekha P, SupratimT, Mihir P, et al. Reimplantation of avulsed teeth after dry storage for one week. Int J Clin Dent Sci. 2011;2(3):18–22.
  11. Andersson L, Bodin I, Sorensen S. Progression of root resorption following replantation of human teeth after extended extraoral storage. Endod Dent Traumatol. 1989;5(1):38–47.
  12. Shiu–yin Cho, A Cheng. Replantation of an avulsed incisor after prolonged dry storage: a case report. J Can Dent Assoc. 2002;68(5):297–300.
Creative Commons Attribution License

©2015 Sandhyarani, et al. This is an open access article distributed under the terms of the, which permits unrestricted use, distribution, and build upon your work non-commercially.