Submit manuscript...
MOJ
eISSN: 2381-179X

Clinical & Medical Case Reports

Case Report Volume 12 Issue 4

Right ovarian fibrothecoma: case report

Andrea Sofía López Enríquez,1 Valeria García López,1 Lorena Castillo Sáenz,2 José Garza Leal,2 Gabriela Sofía Gómez Macías,3 José Hector Elizondo Jasso4

1Fellow in Gynecological Endoscopy, Department of Gynecology and Obstetrics, “José Eleuterio González” University Hospital/ Autonomous University of Nuevo Leon, México
2Professor of Gynecology Endoscopy, Department of Gynecology and Obstetrics, “José Eleuterio González” University Hospital/Autonomous University of Nuevo Leon, México
3Professor of the area of Gynecopathology and Cytopathology, Department of Pathology and Cytopathology of the “José Eleuterio González” University Hospital/Autonomous University of Nuevo Leon, México
4Resident of Pathological Anatomy, Department of Pathological Anatomy and Cytopathology of the “José Eleuterio González” University Hospital/Autonomous University of Nuevo Leon, México

Correspondence: Dra. Andrea Sofía López Enríquez, Ginecologist and Obstetrician, Gynecology Endoscopy, 6ta calle 4-40 zona 3 de Mixco, Colonia El Castaño, Ciudad de Guatemala, Tel + 502 5318-4897

Received: November 18, 2022 | Published: December 1, 2022

Citation: López Enriquez AS, García Lopez V, Castillo Saenz L, et al. Right ovarian fibrothecoma: case report. MOJ Clin Med Case Rep. 2022;12(4):60-63. DOI: 10.15406/mojcr.2022.12.00422

Download PDF

Abstract

Fibrothecomas are solid, benign tumors with lipid content, mostly unilateral and with minimal tendency to become malignant. Derived from the stroma of the sexual cord composed of fibroblastic stromal cells and/or cells similar to theca luteinized. Of low incidence, 1-4% of all ovarian tumors; presenting 65% of cases in postmenopausal patients. The luteal variant of fibrothecoma occurs at ages between 20-30 years. Excision is the appropriate treatment, showing that it is possible to treat these tumors by minimally invasive surgery.

Keywords: adnexal masses, fibrothecoma, ovary, benign tumors, laparoscopy

Case presentation

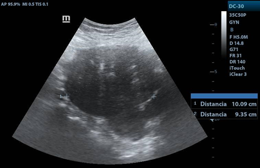
25-year-old patient, G2C1A1. FUM 05/15/2022, so-so. Two months before, she performed transvaginal post-abortion ultrasound (USG), finding a 6x6cm right adnexal tumor; Referred for new assessment, USG reporting a 9.5x7cm tumor, which is why she went to the University Hospital, accompanied by colicky pain in the right lower quadrant, in a scale of pain 6/10.

Physical exam: normal vital signs. Abdomen with right adnexal tumor of 7x5cm, mobile, painless. Vulva and vagina normal; cervix closed, mobile, not painful; uterus in AVF indirect hysterometry of 8cm.

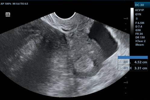
Transvaginal USG: uterus in AVF 4.5x5x3.3cm, LE 12.3mm. Right ovary: 4.8x3.6x3.7 cm vol. 34cc, with a tumor measuring 11.2x8.6cm, solid, with homogeneous and hypoechoic echotexture, with posterior acoustic shadow and Doppler flow uptake. Left ovary: 5x5x2.2cm vol. 19.6cc.

Tumor markers: Ca 125: 40.51 U/ml, Ca 19-9 4.60 U/ml.

Therefore, it is decided to schedule a surgical intervention through laparoscopic surgery. Finding a right tumor that resembles ovarian fibroma, with torsion on the salpinge and free fluid in the cul-de-sac. Contralateral annex and normal uterus. Performing right salpingo-oophorectomy. Obtaining piece by converted minilaparotomy. It is sent to pathology, with a definitive diagnosis of fibrothecoma.

Discussion

In usual surgical practice we find various pathologies in the ovary. This reflects the complex role of the ovary in reproduction, as the site of germ cells and stromal cells; both types of cells can give rise to benign or malignant tumors.

Epithelial tumors represent only 15-20% of ovarian tumors and most of them are benign. Stromal tumors of the sex cords constitute 10% to 25% of cases and are represented mostly by granulosa cell tumors and fibrothecomas.1

Fibroid and thecoma are closely related tumors, but the distinction between them is possible in most cases. Thecoma occurs after menopause in 65% of patients.1 It is usually unilateral and varies considerably in size. It has a well-defined capsule and a firm consistency. It has a yellow color, an important feature in the differential diagnosis with fibroma. The degree of cellularity varies considerably. Some tumors in young women are strongly calcified. Thecomas are usually associated with estrogenic manifestations, although some may be androgenic. They are almost always benign.1-3

Fibroids are common ovarian tumors that are solid, lobulated, firm, uniformly white, and usually not accompanied by adhesions. The average diameter is 6cm.3 Grossly, fibroids may appear similar to thecoma, Brenner tumor, and Krukenberg tumor. Microscopically, fibromas are composed of very compact spindle stromal cells arranged in a storiform pattern or "feather stitching". Hyaline bands, edema, and hyaline globules may appear.4,5 For the diagnosis of fibrosarcoma, it should be reserved for tumors with moderate to severe atypia, with or without necrosis. Fibroids are distinguished from thecoma by their gross appearance (white instead of yellow).3,6 Most are unilateral and benign in behavior and their treatment is complete surgical resection.3

Conclusion

  1. Excision is the appropriate treatment in this type of case, demonstrating that it is possible to treat these tumors by minimally invasive surgery.
  2. Most of the ovarian fibroma/thecoma are benign, with a good prognosis.
  3. The characteristics of fibrothecomas by ultrasound are adnexal hypoechoic masses with a clear border and acoustic attenuation, as well as minimal Doppler flow signals. They are usually unilateral.
  4. Combined with clinical information and CA125, ultrasound could be used as an imaging tool to improve the accuracy of preoperative diagnosis.
  5. The treatment of these tumors is surgical, with complete resection of the tumor with or without the uterus and adnexa depending on the age of the patient and the infiltration of said structures.

Acknowledgments

To our professors in Gynecological Endoscopy at the "José Eleuterio Gonzalez" University Hospital, for transmitting knowledge and skills to us.

Conflicts of interest

The author declares that they do not have any conflicts of interest.

USG Transvaginal

  1. Image of the uterus in longitudinal view. With free fluid in the cul de sac.
  1. Right adnexa, with heterogeneous image, hypoechoic mass, with clear border. with distance of 11.26X11X8.6cms.
  1. Acoustic attenuation posterior a hypecoic mass en right adnexa. 
  1. Right adnexa with a deep flow of doppler color.

Intraoperative images

  1. Intraoperative image visualized as right ovarian fibroma.
  1. Right ovarian fibrothecoma, with dilated and elongated infundibulopelvic ligament.
  1. Normal uterus and left adnexa. Right fibrothecoma with evidence of extreme fimbria.
  1. The right ureter is located and the right infundibulopelvic ligament is sectioned with advanced bipolar energy.
  1. Right salpingo-oophorectomy is performed.
  1. There is evidence of a twist in the ipsilateral tube.
  1. Surgical piece: ovary and right tube.

Histological images

  1. Macroscopic description: adnexal tumor and right salpingus weighing 395g, with a smooth whitish surface alternating with rough areas and congestive vessels on its surface.
  1. Macroscopic description: On section, the cut surface is solid, light brown in color with a swirled appearance with confluent whitish septa.
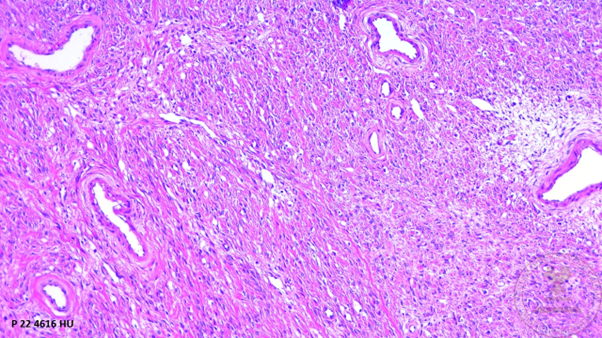
  1. Panoramic view of the ovary showing the ovarian capsule, proliferation of bundles of spindle cells surrounded by a collagenous stroma accompanied by medium-caliber vessels. (HYE, 4x).
  1. Proliferation of bundles of spindle cells surrounded by a collagenous stroma (H&E 10x).
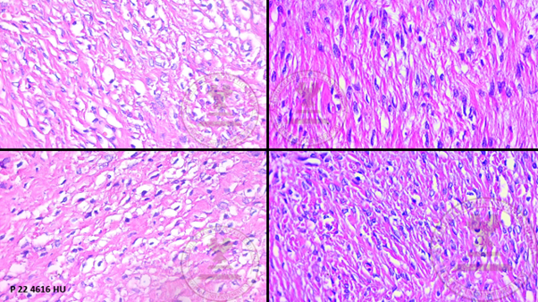
  1. Spindle-shaped cells with ovoid nuclei with pointed ends and scant eosinophilic cytoplasm with the presence of lipid inclusions that mixes with the surrounding eosinophilic stroma (HYE 40x).

References

Creative Commons Attribution License

©2022 López, et al. This is an open access article distributed under the terms of the, which permits unrestricted use, distribution, and build upon your work non-commercially.