Submit manuscript...
MOJ
eISSN: 2381-179X

Clinical & Medical Case Reports

Case Report Volume 2 Issue 5

Septum of a bladder

Imtiaz A Wani, Feroz Iqbal, Hamid Samoon, Ishfaq Ganiae, Mushtaq Sheikh, Yawar Mir

Department of Surgery, India

Correspondence: Imtiaz A Wani, Amira Kadar, Srinagar, Kashmir 190009, India

Received: January 19, 2015 | Published: August 29, 2015

Citation: Wani IA, Iqbal F, Samoon H, et al. Septum of a bladder. MOJ Clin Med Case Rep. 2015;2(5):120-121. DOI: 10.15406/mojcr.2015.02.00037

Download PDF

Abstract

Septum of urinary bladder is a rare congenital anomaly. A case report of an incomplete septum of urinary bladder in a child. This bladder septum was diagnosed as an incidental finding on ultrasonography abdomen. There were no symptoms by the presence of a frontal septum in a urinary bladder. Septum was lying in frontal plane .This congenital anomaly was solely isolated with no other systemic anomaly present.

Keywords: ultrasonography, hypoplasia, septum, hypoplasia

Introduction

Genitourinary system is characterized by numerous congenital anomalies. These may be peculiar this very system or may form part of multisystem disorder. Among this, urinary bladder can be affected by many malformations. Notable among these are diverticulum, cysts, agenesis, hypoplasia and bladder ears etc. Septum of urinary is considered a rare among all the malformations of urinary bladder. Most of times it remains asymptomatic and detected as an incidental finding.

Case report

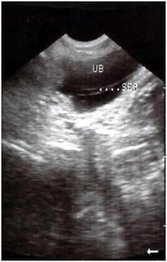
A 7year old boy reported with pain periumbilical area and passage of worms with the stool. No history of vomiting, fever or constipation was present. Past history did not reveal any significant. General physical examination as well as systemic examination was normal. Per abdominal examination revealed distension and a palpable worm mass in umbilical quadrant. Per rectal findings could not reveal any significant. Blood counts and a urine examination were normal. X-ray abdomen showed gut distension. Ultrasonography abdomen showed multiple worm masses in gut. There was an incidental finding of an echogenic band in the bladder extending upto middle of bladder vertically and a small thickening of posterior bladder wall seen on ultrasonography. Diagnosis of incomplete frontal bladder septum dividing it into two partial chambers large anterior one and small posterior one was made (Figure 1).

Figure 1 USG abdomen showing an echogenic band arising from the lateral wall dividing bladder in two cavities, large one interiorly and small one posterior .There is thickening of posterior wall .Both kidneys are normal.

Patient was managed conservatively. During routine follow up, urine cultures, search for any associated anomaly, the evaluation of septum was done with repeat ultrasonography, and intravenous urography. Isolated anomaly of a septum of bladder was confirmed. On intravenous autography the septum was frontal septum lying at junction of anterior two thirds and posterior one third on lateral wall in a frontal direction and extending to middle of urinary bladder in vertical extent. No other abnormality except for thickening of bladder was present. Patient did not returned after two follow ups.

Discussion

Congenital frontal sepum of the bladder is a rare anomaly and its etiology is controversial. There are about eight well documented cases of complete frontal septum of the bladder until the beginning of 2000s. But a review of the literature shows that multilocular bladders were frequently misdiagnosed as complete duplications. During the fifth to seventh week of gestation, development of badder occurs. Multitude of factors affect its development notable among these are proper mesenchymal differentiation, mesenchymal growth, urine production and detrusor contraction. Bladder septation is an unusual congenital anomaly and is usually associated with other anomalies. The basic defects that lead to duplication of the lower urinary tract are unknown.1 Fibro muscular or mucosa septations divide the bladder into equal or unequal portions. Septations may be complete or incomplete. Septum can lie in frontal or sagittal plane. Incomplete septum divide bladder into two cavities that communicate anteriorly or distally, according to the direction and depth the septum protrudes into the bladder. No overt clinical findings are observed in an incomplete septum of bladder. Septum of bladder is included in the differential diagnosis of pelvic cystic masses.2 Radiological evaluation shows an "apple heart" bladder with reduced capacity. Functioning of the associated rental units depends on adequacy of upper tract drainage. This condition may often require several imaging modalities, ultrasonography, intravenous pyelography and voiding cystourthrography to fully delineate the anatomy. Surgical treatment is dictated by each patient's anatomy. The goals are to relieve bladder and upper tract obstruction.

Conclusion

Incomplete septum of bladder is rare malformation. It remains asymptomatic most of times, and detected as an incidental finding .In uncomplicated cases, no treatment is required.

Acknowledgements

None.

Conflict of interest

The author declares no conflict of interest.

References

Creative Commons Attribution License

©2015 Wani, et al. This is an open access article distributed under the terms of the, which permits unrestricted use, distribution, and build upon your work non-commercially.