Submit manuscript...
MOJ
eISSN: 2381-179X

Clinical & Medical Case Reports

Case Report Volume 4 Issue 5

Stomach tear through chest making an awkward connection (traumatic gastro-pleural fistula)

Kamal S. Ayyat,1,2 Ahmed Deebis,1 Kenneth R Mc Curry2,3

1Department of Cardiothoracic Surgery, Zagazig University, Egypt
2Department of Pathobiology, Cleveland Clinic, USA
3Department of Thoracic and Cardiovascular Surgery, Cleveland Clinic, USA

Correspondence: Kamal S. Ayyat, Department of Cardiothoracic Surgery, Faculty of Medicine, Zagazig University, Egypt, Tel 1 440 319 1214

Received: September 01, 2016 | Published: September 22, 2016

Citation: Ayyat KS, Deebis A, McCurry K. Stomach tears through chest making an awkward connection (Traumatic gastro-pleural fistula). MOJ Clin Med Case Rep. 2016;4(5):131-133 DOI: 10.15406/mojcr.2016.04.00108

Download PDF

Abstract

We report a case of gastro-pleural fistula following a thoraco-abdominal penetrating trauma that was diagnosed early with very simple noninvasive modalities. Such type of penetrating injuries should be monitored closely and investigated adequately to exclude this type of complication. In spite of being a rare complication for penetrating chest trauma, gastro pleural fistula is a severe and sometimes fatal complication that requires early diagnosis and prompt surgical intervention.

Introduction

In 1960, Markowitz and Herter were the first to describe gastro-pleural fistula which is a rare condition that may occur due to perforation of the intra-thoracic part of the stomach in cases of esophageal hiatal hernia. It can also be a complication of post-traumatic diaphragmatic hernia, or due to erosion of an intra-abdominal abscess through the diaphragm.1 Formation of such fistula requires breaching of both gastric wall and diaphragm. Those may be two separate and unrelated incidents or occur simultaneously. Perforation of intra-thoracic stomach into left pleural cavity may occur as a sequence for its herniation through hiatus or old neglected posttraumatic diaphragmatic rupture.2

Gastric ulcer or lymphoma may be complicated by gastric perforation setting up local infection that may secondarily involve and spread across the adjacent left hemi-diaphragm. Iatrogenic trauma may incur upon and result in abnormal communication between the stomach and the left pleural cavity, this may occur after surgeries involving left lower part of chest or left upper part of abdominal cavity, and it may also be a complication of nasogastric intubation, esophageal stenting, or tube thoracostomy.3

Penetrating thoraco-abdominal trauma including injuries in the lower chest zone below the nipples is associated with a higher incidence of diaphragmatic injury that may be presented later by diaphragmatic hernia. Such penetrating injuries may rarely breach chest wall, diaphragm, and gastric wall to the mucosal layer simultaneously allowing the entry of gastric contents into the pleural cavity.4 Being such a rare complication with late presentation makes the diagnosis of post-traumatic gastro-pleural fistula very difficult for physicians. However, the unique features of this pathology caused by the corrosive actions of gastric juice with nutritional debility make early diagnosis and prompt surgical treatment necessary for satisfactory results. We describe a very simple, yet very effective, method of early diagnosis of post-traumatic gastro-pleural fistula using methylene-blue ingestion. This method can simply prove the communication between the gastro-intestinal tract and the pleural cavity, later contrast radiography can be used to confirm the diagnosis and determine the site of communication.

Case report

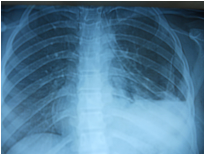
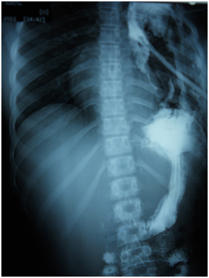
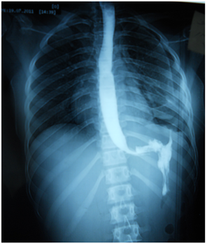
A 17-year-old girl (170cm, 60kg) presented to the emergency department with dyspnea and chest pain after a penetrating stab wound to the chest in the left sixth intercostal space mid-clavicular line, which happened 2hours earlier. Upon physical examination, Pulse was 96 beats per minute and blood pressure was 110/70mmHg, diminished air entry was noticed on the left side of chest. Chest x-ray revealed left hydropneumothorax. Tube thoracostomy was performed left intercostals tube was inserted for drainage. Post-insertion chest x-ray revealed no improvement in the picture of air fluid level (Figure 1) (Figure 2) which was further evaluated by CT that showed fluid collection posteriorly and air anteriorly (Figure 3) (Figure 4). Two days later patient had fever with vomiting and leucocytosis. The nature of the drain from the intercostal tube becomes serosangenous and less hemorrhagic with change in color associated with food. Methylene blue dye (1% concentration) taken orally by the patient was detected in the drain of the intercostal tube two minutes after ingestion (Figure 5). Oral contrast chest x-ray was done, two shots were taken one on swallowing gastrographin, it showed the esophagus outlined without any leakage (Figure 6A). The other shot taken two minutes after oral administration of gastrographin in trendlenberg position, the contrast outlined a track passing from the fundus of the stomach to the left pleural cavity and to the intercostals tube (Figures 6B) (Figure 6C). Laparotomy was performed via midline incision and findings were confirmed. It showed a 3cm orifice of the left copula of the diaphragm with a tear in the gastric fundus which was closed in two layers and the diaphragmatic tear was closed directly with continuous sutures. Two weeks later patient complicated by left empyema with thickened pleura. Thoracotomy was done for complete evacuation of pus and decortication. The patient fully recovered and was discharged 8days after thoracotomy.

Figure 1 Post intercostals tube insertion chest X-ray.

Figure 2 Second day post intercostals tube insertion chest X-ray.

Figure 3 CT chest mediastinal window.

Figure 4 CT chest pulmonary window.

Figure 5 Methylene blue test.

Figure 6 A-C Chest X-ray with oral contrast showing connection between the stomach and the left pleural cavity.

Discussion

The term thoraco-abdominal trauma is the best description of injuries located between a horizontal line passing through the nipples superiorly and costal margins inferiorly, as penetrating trauma injuries in that part of the body may involve both diaphragm and upper abdominal viscera due to their close relationship.4,5 Liver, diaphragm, spleen and stomach are the most frequently injured organs besides lungs, following penetrating thoraco-abdominal trauma like stab or bullet injury.5 Gastro-pleural fistula is a rare condition, in which there is an abnormal connection between stomach and pleural space, this may occur with or without diaphragmatic fistula. This condition can be caused by perforation of the intra-thoracic part of the stomach in cases of esophageal hiatal hernia. It can also be caused by trauma or erosion of an intra-abdominal abscess through the diaphragm.6 Radiological diagnosis of gastro-pleural fistula can be made using oral contrast, it can be confirmed by upper gastro-intestinal endoscopy and surgery to detect the exact site of the fistula. Ingestion of Methylene blue is an easy, fast, and simple way of diagnosis, also testing pleural fluid for pH or bile salts can be useful7–9 Penetrating stab wounds to the chest are rarely associated with gastro-pleural fistula. The described patient did not show any gas under diaphragm in erect chest x-ray or any free fluid in pelvi-abdominal ultrasound which means that the communication was strictly between the stomach and the pleural cavity with no intra-peritoneal involvement. Being such a rare condition, diagnosis of gastro-pleural fistula was very challenging especially with no radiological evidence of intra-abdominal injury. However, the presentation of gastro-intestinal symptoms with the noticed change in intercostal tube drain with feeding has guided us to perform the methylene blue test. The usefulness of methylene blue ingestion for early diagnosis of gastro-pleural fistula is demonstrated by this case, which is the key point for successful management. As surgical repair is the definitive treatment of this condition and it should be performed without any delay to avoid unfavorable outcomes.3

Conclusion

Gastro-pleural fistula is a very rare condition associated with thoraco-abdominal penetrating trauma but it demands early diagnosis and treatment. Any post-traumatic gastro-intestinal symptoms or change in intercostal tube drain related to feeding should be investigated properly and early even with absent signs of peritonitis. Methylene blue ingestion can be used for early diagnosis, while contrast radiography is used for demonstrating the site and the tract of the fistula. Surgical repair is the definitive treatment of gastro-pleural fistula and should be performed without any delay.

Acknowledgements

None.

Conflict of interest

The author declares no conflict of interest.

References

Creative Commons Attribution License

©2016 Ayyat, et al. This is an open access article distributed under the terms of the, which permits unrestricted use, distribution, and build upon your work non-commercially.