Submit manuscript...
MOJ
eISSN: 2381-179X

Clinical & Medical Case Reports

Case Report Volume 13 Issue 4

Superior mesenteric vein thrombosis after laparoscopic sleeve gastrectomy in an obese patient

Alexandra Antunes,1 Daniela Barros,2 Ana Cristina Ribeiro,3 José Pedro Pinto,3 Maia da Costa,3 Fernando Manso3

1General Surgery Resident, Hospital de Braga, Portugal
2Radiology Resident, Hospital de Braga, Portugal
3General Surgeon, Hospital de Braga, Hospital de Braga, Portugal

Correspondence: Alexandra Manuela Melo de Araújo Antunes, Rua Padre Manuel Guimarães number 12, AA, third floor Real – Braga, 4700-284, Portugal

Received: November 29, 2023 | Published: December 8, 2023

Citation: Antunes A, Barros D, Ribeiro AC, et al. Superior mesenteric vein thrombosis after laparoscopic sleeve gastrectomy in an obese patient. MOJ Med Clin Case Rep. 2023;13(4):88-91. DOI: 10.15406/mojcr.2023.13.00446

Download PDF

Abstract

Laparoscopic sleeve gastrectomy has become a frequent surgery to treat morbid obesity with positive long-term outcomes. Several studies have shown a good safety profile but, like any surgical procedure, it carries potential complications. The portomesenteric vein thrombosis after bariatric surgery is a rare event. A failure in diagnosis can be life-threatening and the prognosis is worse for those that develop bowel ischemia or sepsis. We present a case of a 33-year-old woman with a history of morbid obesity and recent SARS-CoV-2 infection who presented to the emergency department following a gastric sleeve procedure due to abdominal pain. The performed examinations revealed the presence of superior mesenteric vein thrombosis but no evidence of intestinal ischemia. The patient was admitted and treated with anticoagulant therapy, resulting in clinical improvement. Portomesenteric venous thrombosis following bariatric surgery, while rare, presents significant challenges in terms of diagnosis and management. As obesity is a growing health issue, the number of patients undergoing weight reduction surgery is also increasing. Therefore, it is important for healthcare professionals to receive training to be vigilant for this diagnosis.

Keywords: morbid obesity, sleeve gastrectomy, intestinal ischemia, portomesenteric vein thrombosis

Introduction

The World Health Organization (2016) reports approximately 2 billion overweight adults globally, with 650 million suffering from obesity (BMI ≥30 kg/m²).1 When traditional methods like diet, exercise, and medication fail, bariatric and metabolic surgeries emerge as highly effective for severe obesity. Bariatric surgery encompasses various surgical procedures that aim to help individuals lose weight by altering the digestive system's anatomy, leading to reduced food intake and/or nutrient absorption. Beyond weight reduction, bariatric surgery also significantly extends life expectancy and decreases comorbidities, notably type 2 diabetes.2

As the prevalence of obesity increases, the number of patients that are treated with bariatric surgery also raises. While these procedures are generally safe, they are not without risks. Bariatric surgery, like any surgical procedure, can carry potential risks and complications. It is crucial for healthcare professionals, particularly surgeons and emergency department staff, to be able to recognize and manage the complications associated with bariatric surgery.

These complications may include surgical site infection, bleeding from de staple line or anastomosis, deep vein thrombosis, pulmonary embolism, fistula, anastomotic leakage, stenosis, pulmonary complications, nutritional complications, biliary complications and gastrointestinal issues. The morbidity incidence after sleeve gastrectomy range from 3% to 7%.3

Given any occurrence of abdominal pain following bariatric surgery, it is important to consider the potential diagnosis of portomesenteric venous thrombosis (PMVT), including superior mesenteric vein thrombosis. This diagnosis is exceptionally rare, with only a few cases reported in the literature.3,4

Surgery and obesity both increase the risk of venous thrombosis. Obesity inherently triggers an inflammatory condition and imposes elevated intra-abdominal pressure on overweight patients, thus contributing to the occurrence of venous thrombosis. The need for a greater pneumoperitoneum during the surgery (around 15 mmHg), owing to the limited availability of space in obese patients, creates high intra-abdominal pressures that could make the flow in the mesenteric veins sluggish, with the result that the patient is at risk of developing venous thrombosis.5,6 Other procoagulopathic factors include inherited/acquired thrombophilic states and iatrogenic endothelial injury of portal vein/mesenteric vessels via direct manipulation.7,8 Mesenteric thrombosis is rare, but it can have an unfavorable outcome if diagnosed late, leading to progression towards intestinal ischemia. For this reason, mesenteric vein thrombosis should be included in the differential diagnosis of all patients presenting with abdominal pain after laparoscopic sleeve gastrectomy. Our institution is one of the reference centers for obesity surgery in the north of the country and we do around 250 laparoscopic bariatric surgeries each year.

We will describe a case of acute portomesenteric venous thrombosis diagnosed in an emergency department patient after laparoscopic gastric sleeve gastrectomy.

Case report

A 33-year-old woman with a history of morbid obesity (BMI of 44,9 kg/m²), who had no significant medical history (no previous surgery or previous medication) apart from her weight issues, underwent an outpatient sleeve gastrectomy. Despite previous attempts at conservative weight loss methods, including the placement of an intragastric balloon at another institution six years prior, which resulted in some initial weight loss, she subsequently regained the weight.

Approximately 3 months before surgery, the patient developed a COVID-19 infection. The patient experienced a low-grade fever but did not exhibit any associated respiratory symptoms. Previously, the patient had completed the vaccination schedule with 3 doses of the COVID-19 vaccine. The pre-operative study revealed no changes in the coagulation study and the patient had no previous history of thromboembolic events.

During surgery, no anatomical anomalies were detected and the procedure proceeded without notable complications. The total duration of the operation was about one hour, which includes the time taken for anesthetic administration.

Prior to the procedure, antibiotic prophylaxis was administered with 2g of cefazolin. Venous thromboembolism (VTE) prophylaxis was comprehensive, including early mobilization, intensive fluid therapy with intravenous solutions continued alongside the initiation of a clear liquid diet, the use of graduated compression stockings, and pharmacological prophylaxis with low-molecular-weight heparin (LMWH) immediately after the surgery. The postoperative period was uneventfully.  In the immediate postoperative period, the patient was asymptomatic, beginning to stand and walking within the first 8 hours after surgery. Oral feeding was resumed at 6 hours post-surgery with clear liquids (50 ml ingested slowly over an hour, repeating every hour if tolerated), and she was discharged home 24 hours after the procedure. For pain control post-discharge, the patient was prescribed paracetamol, with tramadol as needed, and continued on LMWH 40 mg once a day for 12 days, along with a proton pump inhibitor.

Approximately three weeks after the surgery, the patient presented to the emergency department with localized abdominal pain in the epigastric region. The pain, which had been worsening over a 36-hour period, radiated dorsally. Along with this pain, the patient reported nausea and vomiting that had developed concurrently.

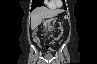
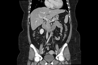
The initial physical examination showed a patient in discomfort but with normal vital signs. The abdominal palpation revealed epigastric tenderness without guarding or without other signs suggestive of acute abdomen. Surgical sites appeared to be well-healed, clean, and dry with no evidence of drainage or dehiscence. The laboratory analyses showed elevated inflammatory parameters (13,500 leukocytes and a C-reactive protein level of 123,20 mg/dL) and normal levels of amylase and lipase. A contrast-enhanced abdominopelvic computed tomography (CT) scan (Figures 1, 2, and 3) showed a dilatation in the mesenteric vessels, particularly the superior mesenteric vein, which had a luminal filling defect near its confluence with the splenic vein. The CT scan also revealed thickening of the adjacent adipose tissue, albeit without signs of intestinal ischemia. The patient was admitted to ward and started on LMWH 100 mg every 12 hours along with reinforced IV hydration. After three days in the hospital, she was discharge home asymptomatic. Anticoagulation therapy was continued with LMWH for one month before transitioning to a non-vitamin K antagonist oral anticoagulant (NOAC), specifically Apixaban 5 mg every 12 hours, and the use of estrogen for birth control was discontinued. At the three-month follow-up, the patient had lost 20 kg and was scheduled to repeat the CT scan and to discontinue anticoagulation therapy approximately six months after the thrombotic event.

Figure 1 CT showing a luminal filling defect in the superior mesenteric vein – coronal image.

Figure 2 CT scan showing thrombosis of superior mesenteric vein – sagital image.

Figure 3 CT scan showing densification of adjacent mesenteric adipose planes.

Discussion

Venous thrombosis, although rare, is a potentially fatal complication following sleeve gastrectomy. James et al. (2009) reported an increased risk of portomesenteric venous thrombosis (PMVT) after Roux-en-Y gastric bypass, a more invasive procedure compared to sleeve gastrectomy.8,9 Overall, large cohorts have reported an incidence of PMVT around 0.3 to 1% after sleeve gastrectomy.9

Diagnosing PMVT poses difficulties because of nonspecific clinical signs and because physical examination is challenging in obese individuals. There are many factors that contribute to the thrombosis after sleeve gastrectomy including dehydration after the procedure related with a very restrictive diet, elevated intra-abdominal pressure via insuflation of CO2, reduced portal blood flow as a consequence of a high pneumoperitoneum, endothelial direct iatrogenic damage and hypercapnia that cause vasoconstriction affecting the splanchnic and mesenteric circulation.10 Other factors unrelated to the procedure also play a role in the occurrence, such as smoking, congenital hypercoagulable conditions, hematological disorders with thrombophilia, hormonal factors (use of hormonal contraceptives)10 and more recently, the prothrombotic state associated with SARS-CoV-2 infection. Although the mechanism of coagulopathy has not specifically established, it is known that this viral infection induce a systemic inflammatory response accompanied by a “storm of cytokines” promoting activation of coagulation mechanism.11 The fact that there is a coagulopathy present in the COVID-19 patients has led to promoting antithrombotic strategies, especially in patients who are admitted to the ICU with this infection. Considering the risk of thrombotic events associated with obesity and surgical procedures, the question arises of whether obese patients scheduled for bariatric surgery with a recent history of COVID-19 infection should undergo prophylaxis with LMWH before the procedure. This subject requires further investigation.

The most common presentation of PMVT is nonspecific, often characterized by a diffuse abdominal pain, accompanied by nausea, vomiting, and changes in bowel habits.12 Enhanced abdominal CT with intravenous contrast, is the gold standard method for diagnosing PMVT, boasting a high sensitivity of 90%. (10) In the CT scan, we can identify the affected vascular territory and determine if there is intestinal compromise. The presence of free fluid, pneumoperitoneum, or indirect signs of intestinal ischemia (non-enhancing or hypo-enhancing bowel wall after contrast injection, pneumatosis intestinalis, portomesenteric venous gas and alteration in wall thickness) are warning signs that should prompt urgent surgery.13

The primary objectives in managing PMVT are to re-establish vascular patency, prevent recurrence, and address complications. The anticoagulation therapy should be given as soon as possible since early onset enhances the likelihood of vessel recanalization. Subcutaneous LMWH is therapy of choice due to its predictable pharmacokinetics and lower risk profile.14 Typically, anticoagulation is recommended for 6 months in patients with thrombosis related to laparoscopic surgery, as recanalisation beyond 4–6 months is unlikely to happen. Lifelong anticoagulation may be necessary for individuals with hereditary thrombophilia or a personal history of venous thromboembolism.15,16 Systemic thrombolytic therapy is only considered for patients with severe or refractory disease due to a significant risk of bleeding.  It has been shown that direct thrombolysis has had a high success rate in patients who remain unresponsive to therapy with LMWH.17 Supportive measures, including bowel rest, IV hydration, and antibiotics for suspected intra-abdominal infections, are also advised alongside anticoagulation.

During follow-up, a contrast-enhanced CT scans should be conducted at three- and six-month intervals to assess for the reopening of the blocked vessel. The majority of patients with acute intra-abdominal vein thrombosis who receive anticoagulation treatment alone respond well to anticoagulation, achieving partial or complete recanalization.15

The clinical presentation of portomesenteric venous thrombosis after bariatric surgery can be subtle, and its diagnosis can be challenging due to nonspecific symptoms and difficulties in physical examination. The multifaceted nature of these risk factors highlights the importance of a comprehensive approach to diagnosis and management. The prompt initiation of anticoagulation therapy is essential to increase the chances of vessel recanalization and prevent life-threatening complications.

Conclusion

In conclusion, portomesenteric venous thrombosis following bariatric surgery, while rare, presents significant challenges in terms of diagnosis and management. The complexity of risk factors, the subtle clinical presentation, and the potential for fatal outcomes underscore the necessity for a high index of suspicion among healthcare professionals. As the prevalence of obesity increases, so does the number of patients undergoing bariatric procedures, emphasizing the need for continuous research and vigilance in identifying and addressing complications like PMVT.

In the face of this evolving landscape, healthcare providers must remain proactive in recognizing and managing the factors contributing to post-bariatric surgery complications, particularly those as potentially devastating as venous thrombosis. By doing so, we can strive for safer procedures and improved patient outcomes in the field of bariatric surgery.

Patient consent

Written informed consent was obtained from the patient for publication of this case report and accompanying images.

Funding

The authors received no financial support for the publication of this article.

Acknowledgments

None.

Conflicts of interest

The authors declared no potential conflicts of interest.

References

  1. World Obesity. The worldwide prevalence of obesity nearly tripled between 1975 and 2016. Obesity is now recognised as one of the most important public health problems facing the world today; 2016.
  2. Agaba EA, Gentles CV, Shamseddeen H, et al. Retrospective analysis of abdominal pain in postoperative laparoscopic Roux-en-Y gastric bypass patients: is a simple algorithm the answer? Surg Obes Relat Dis. 2008;4(5):587–593.
  3. Kassir R, Debs T, Blanc P, et al. Complications of bariatric surgery: Presentation and emergency management. Int J Surg. 2016;27:77–81.
  4. Lointier P, Kassir R, Breton C, et al. Thrombose de la veine mésentérique inférieure après gastrectomie en manchon. Obesite. 2013;8(3):190–193.
  5. Swartz DE, Felix EL. Acute mesenteric venous thrombosis following laparoscopic Roux-en-Y gastric bypass. JSLS. 2004;8(2):165–169.
  6. Singh P, Sharma M, Gandhi K, et al. Acute mesenteric vein thrombosis after laparoscopic gastric sleeve surgery for morbid obesity. Surg Obes Relat Dis. 2010;6(1):107–108.
  7. Rosenberg JM, Tedesco M, Yao DC, et al. Portal vein thrombosis following laparoscopic sleeve gastrectomy for morbid obesity. J Soc Laparoendosc Surg. 2012;16(4):639–643.
  8. James AW, Rabl C, Westphalen AC, et al. Portomesenteric venous thrombosis after laparoscopic surgery: A systematic literature review. Arch Surg. 2009;144(6):520–526.
  9. Rottenstreich A, Elazary R, Kalish Y. Abdominal thrombotic complications following bariatric surgery. Surg Obes Relat Dis. 2017;13(1):78–84.
  10. Moon RC, Ghanem M, Teixeira AF, et al. Assessing risk factors, presentation, and management of portomesenteric vein thrombosis after sleeve gastrectomy: a multicenter case-control study. Surg Obes Relat Dis. 2018;14(4):478–483.
  11. Páramo JA. Inflammatory response in relation to COVID-19 and other prothrombotic phenotypes. Reumatol Clínica. 2022;18(1):1–4.
  12. Speranskaya A, Nicolau J, Olivares J, et al. Mesenteric vein thrombosis after laparoscopic sleeve gastrectomy. Clin Obes. 2013;3(1–2):56–58.
  13. Yu H, Kirkpatrick IDC. An Update on Acute Mesenteric Ischemia. Can Assoc Radiol J. 2023;74(1):160–171.
  14. Kumar A, Sharma P, Arora A. Review article: Portal vein obstruction - Epidemiology, pathogenesis, natural history, prognosis and treatment. Aliment Pharmacol Ther. 2015;41(3):276–292.
  15. Alenazi NA, Ahmad KS, Essa MS, et al. Porto-mesenteric vein thrombosis following laparoscopic sleeve gastrectomy for morbid obesity: Case series and literature review. Int J Surg Case Rep. 2019;63:59–64.
  16. Chawla Y, Duseja A, Dhiman RK. Review article: The modern management of portal vein thrombosis. Aliment Pharmacol Ther. 2009;30(9):881–894.
  17. Belnap LG, Rodgers GM, Cottam D, et al. Portal vein thrombosis after laparoscopic sleeve gastrectomy: presentation and management. Surg Obes Relat Dis. 2016;12(10):1787–1794.
Creative Commons Attribution License

©2023 Antunes, et al. This is an open access article distributed under the terms of the, which permits unrestricted use, distribution, and build upon your work non-commercially.