Submit manuscript...
MOJ
eISSN: 2381-179X

Clinical & Medical Case Reports

Case Series Volume 7 Issue 6

The functional outcome of four-in-one technique: dorsal closing-wedge & shortening osteotomy, debridement, micro-fracture in the treatment of Freiberg’s disease

Balasubramanian Balakumar, Maripuri SN, Kotecha A, Brahmabhat P, Kanakaraj K, Nathdwarawala Y 

Aneurin Bevan Health Board, UK

Correspondence: Balasubramanian Balakumar, Trauma and Orthopaedics, Kettering General Hospital, UK,

Received: November 22, 2017 | Published: December 8, 2017

Citation: Balakumar B, Maripuri SN, Kotecha A, et al. The functional outcome of four-in-one technique: dorsal closing-wedge & shortening osteotomy, debridement, micro-fracture in the treatment of Freiberg’s disease. MOJ Clin Med Case Rep. 2017;7(6):315-319. DOI: 10.15406/mojcr.2017.07.00222

Download PDF

Introduction

Freiberg1 in 1914, first described what now stands to be the fourth most common osteochondrosis. It is five times more common in females and presents in adolescence. The magnitude of the problem can be appreciated when considering that apart from causing pain, the condition can restrict mobility, limit daily as well as recreational activities and prevent females from wearing fashionable footwear, a major psychological burden.

The primary defect involves an interrupted vascular supply to the subchondral bone at the maturing epiphysis of the affected Meta-Tarso-Phalangeal joint (MTP),2 resulting in bone necrosis and inevitably growth disturbances to the epiphysis or apophysis. Any of the MTP joints may be affected, however, 68% of cases have been found to affect the 2nd MTP joint.3 It has been suggested that the aetiology is multi-factorial; however, it is unclear whether the initial insult is traumatic or vascular.

Conservative measures reducing the load and stress on the metatarsal are used in treating Freiberg’s disease4–6 as the first line management. However, failures of conservative management are dealt with operative techniques including debridement,7 osteotomy (either dorsal closing-wedge8 or shortening,9 osteochondral plug transplantation,10 resection arthroplasty.11

We proposed a multipronged approach to the management of Freiberg disease. A combined dorsal closing wedge with shortening of the metatarsal and joint debridement and micro-fracture for treating the Freiberg infarction was done. The hypothesis is that dorsal closing wedge and shortening alone cannot help cartilage regeneration. Addition of micro-fracture aids in cartilage regeneration and debridement clears the joint of debris which might further perpetuate damage if left unattended.

The aim of our study is to evaluate the functional outcome of Freiberg’s disease patients who were surgically treated with this four in one procedure.

Materials and methods

Between January 2004 and April 2009, a cohort of 15 symptomatic patients with Freiberg’s disease were surgically treated with the novel four in one procedure. The study was registered with the institutional ethical committee. All patients complained of persistent pain in the affected metatarsal despite intensive conservative treatment. They indicated a reduced range of motion and on clinical examination presented with tenderness over the affected metatarsal head. Patients who failed a trial of conservative management were included. We classified the patients in to various stages of Smillie12 based on preoperative radiographic and intraoperative findings of the metatarsal head (Table 1). According to this classification system, 1 patient had type I, 6 patients had type II, 4 patients had type III and 2 patients had type IV osteonecrosis. None of our patients showed evidence of type V osteonecrosis. However all stages underwent the four in one procedure in our study. It was the observation of the senior author that cartilage regeneration procedures irrespective of the stage of the disease would help in early healing of the diseased dorsal segment of head.

 

Smillie Classification

Stage I

Subtle fracture of subchondral epiphysis

Stage II

Central collapse and flattening of the metatarsal head

Stage III

Depression and further flattening of metatarsal head

Stage IV

Loose body and separation of fragment

Stage V

End-stage degenerative joint disease, marked flattening and widening

Table 1 Smillie Classification (1967)

Operative technique

Operative technique

Tourniquet was used for all cases. A dorsal longitudinal incision was made and extensor tendon was laterally retracted. The Meta-Tarso-Phalangeal (MTP) joint as well as the distal metaphysis of the metatarsal bone was exposed. All patients underwent debridement of the MTP joint with removal of loose bodies and synovetomy if needed. A long oblique dorsal wedge osteotomy was performed with an oscillating saw offloading the diseased dorsal cartilage allowing shortening (Figure 1). The metatarsal head was rotated, brining the intact plantar aspect of the articular cartilage into articulation with the proximal phalanx and fixed with a single Barouk headless compression screw (Figure 2). The degenerate articular cartilage was debrided (Figure 3). Microfractures were created using k-wire (Figure 4). The incision was closed with vicryl sutures and 20ml 0.5% Chirocaine was administered as an ankle block. If deemed appropriate, they were offered physiotherapy to optimise mobilisation exercises. All operations were undertaken by one orthopaedic surgeon to eliminate any intra-operative technique variability. Postoperatively patients were mobilized as able in a heel weight bearing shoe for 6weeks. Once radiographic evidence of union was noticed normal shoe wear was gradually resumed. Clinical and radiological assessments were performed at 6 weeks after surgery and periodically at three, six and twelve months and then yearly.

Figure 1 Dorsal closing wedge osteotomy with power saw.

Figure 2 Fixation of osteotomy with Barouk headless compression screws.

Figure 3 The joint cartilage is debrided.

Figure 4 Micro-fracture with K wires.

All patient details including clinical and radiological records were reviewed. They were assessed by subjective patient satisfaction scores with regard to the operation. Pre- and post-operative pain scores were recorded based on visual Analogue Scale (VAS) on a scale of 0 to 10. American Orthopaedics Foot and Ankle Society (AOFAS) scores a standardized method of scoring for the lesser metatarsophalangeal joint was used to assess the functional outcome. This scoring system slots in numerical scales to assess function, alignment and pain. They were scored according to their severity of pain, limitation of daily and recreational activities, ability to wear fashionable footwear, restriction of movement and alignment of their toes.

Complications were reviewed from the clinical records. Post-operative metatarsal shortening was evaluated on the dorsoplantar weight-bearing radiographs with a method modified from Jones et al.,13 (Figure 5). The continuous data were expressed as mean and range. Wilcoxon signed rank test and Mann Whitney U test were used for assessing the difference in functional outcome measures. The null hypothesis was rejected if the p value was <0.05.

Figure 5 Illustrating the method used to measure any degree of metatarsal shortening. Lines ‘A’ and ‘B’ are drawn along the longitudinal axis of the metatarsals. Metatarsal shortening was calculated from the equation shown.

Results

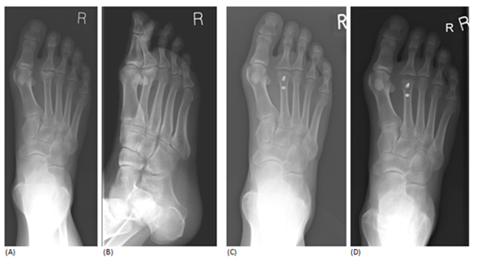
There were 13 female and 2 male patients with a mean age of 36.6 years (range 15-61). The mean follow up period was 15.7 months (range 9-36). 12 patients indicated that the operation provided complete pain relief (p<0.05). 3 patients suffered mild to moderate post-operative pain. 14 patients had disease of the 2nd metatarsal head and 1 patient had disease of the 3rd metatarsal head. X-rays showed an average healing time of 12.7weeks (range 6-24weeks). Patient satisfaction was excellent at an average of 9.3 (range 6-10) (Figure 6). The mean AOFAS scores were 54 pre-operatively and 82 post-operatively. The mean metatarsal head shortening was 2.18mm (range 0.02-5.51). 1 patient developed a haematoma over the wound site within a week of surgery, which resolved spontaneously. No other complications were reported and there was no neurovascular deficit evident in any patients.

Figure 6 Pre-operative radloaraph showtnc marked flattenlna and deformity of the 2• metatarsa l  head with secondary severe deaeneratlon . There Is thlckenlna of the metatarsal shaft; 8,Oblique view showlna these chanaes; C, Immediate post-opera tive radloaraph showina a more anatomical metatarsal  articular surface and screws In situ; o.Final follow-up radloaraph taken at 18 months post-operation . This shows evidence of re-shaplna of the metatarsal head and screws are In situ.

On clinical assessment, 4 patients elicited moderate restriction of MTP joint motion while the rest of the patients had no restriction of movement. Range of motion at the IP joint was preserved in all patients. 4 patients were observed to have some degree of lesser toe malalignment, which did not cause them any symptoms or difficulty. The remaining 11 patients had good alignment of their toes. 2 patients suffered from callus formation. The length of time patients took off work varied from between 2weeks to 6months.

Eleven patients indicated that they were able to wear fashionable, commercially available shoes without the use of inserts. The remaining 4 patients were able to wear comfortable footwear but required the use of a shoe insert. 11 patients indicated that they did not experience any limitations in their daily or recreational activities after the operation, but 4 patients experienced varying degrees of limitations. 14 of the patients did not report any post-operative complications such as tenderness over the osteotomy site, signs of infection or non-union. 1 patient complained of mild tenderness over the osteotomy site. None of the patients were restricted to wearing modified shoes or braces and none were dependent on a walking aid. None experienced residual limitations of quality of life. None complained of transfer metatarsalgia in adjacent metatarsals (Table 2).

Study no

Sex

Age

Side

Affected Metatarsal

Stage (Smillie)

Preoperative Pain Score

Post Op Pain Score

Patient Satisfaction

Osteotomy Healing Time Months

Follow-up in Months

1

F

25

R

Third

III

9

0

9

11

15

2

F

15

L

Second

II

9

0

9

7

14

3

F

22

L

Second

IV

9

0

9

23

20

4

M

50

R

Second

II

8

6

6

24

12

5

F

39

R

Second

I

9

4

10

8

12

6

F

61

L

Second

IV

8

0

10

18

11

7

F

41

R

Second

III

9

0

9

24

6

8

F

38

R

Second

II

9

0

9

11

12

9

F

40

R

Second

III

10

0

10

8

36

10

M

23

R

Second

III

9

0

9

12

10

11

F

43

L

Second

II

8

0

10

6

9

12

F

42

R

Second

II

7

0

10

10

17

13

F

41

R

Second

II

9

0

10

10

12

14

F

33

R

Second

II

9

1

10

8

26

15

F

37

R

Second

II

10

0

10

11

24

Table 2 Details of the fifteen patients who underwent four in one procedure

Discussion

Over the years, researchers have described various methods of surgically treating Freiberg’s disease.9–12,18–20,22 Certain patients may improve with conservative treatment alone,13 however, surgical intervention becomes necessary if symptoms are uncontrolled.

Surgical debridement produces favourable results (Freiberg’s monogram); however, it does not alter the anatomic and physical conditions initially precipitating Freiberg’s disease.15 Metatarsal head excision has produced satisfactory results. Ihedioha et al.,11 reported that 8 out of 9 patients treated with excision arthroplasty reported complete pain relief and continued to wear commercially available footwear. They did not require any walking aids or insoles and were able to walk reasonable distances without pain. However, associated complications such as progressive hallux valgus, transfer metatarsalgia, gait disorders16 and cosmetic derangement are permanent.17

A long 2nd metatarsal is often the cause of abnormal overloading and so shortening osteotomy seems a logical surgical choice in such circumstances. Smith et al noted complete pain relief in 15 out of 16 feet; however 7 patients were left with residual stiffness and certain functional limitations, such as an inability to flatten their toes while standing.9

Miyamoto et al investigated the success of osteochondral plug transplantation in 4 patients with late-stage Freiberg’s disease patients. The bone was harvested from the femoral condyle at the knee. The plug transplants all healed within 12months of surgery and the AOFAS score improved from 70.8 pre-operatively to 97.5 post-operatively.10 However, there is an inherent risk of donor site morbidity. Our technique avoids donor site morbidity.

Dorsal closing-wedge osteotomy has been reported to give stable results and good post-operative functionality. There is a reduction in symptoms by joint debridement and also elimination of stress on the metatarsal head to allow healing. No long-term complications have been noted in the literature.15 A residual loss of flexion and extension is apparent but does not limit the patients’ ability to walk or run. Initially, the procedure was carried out via an intra-articular route but an extra-articular approach has the advantages of increased stability by use of a compression screw, and affords a degree of metatarsal shortening and joint decompression.19 We used a single compression screw as our fixation method.

The disadvantage of using K-wires is the need to remove them before any weight-bearing activities can be commenced.20 K-wires are usually cut long to allow removal but this irritates adjacent soft tissues causing capsular or tendon adhesion, limits early motion and encourages infection. Plates and screws can lead to stress concentration at the implant and thus bone weakening, but this was not noted in any of our patients. It has been suggested that metallic fixation methods require further implant removal;21 however, this is not routinely warranted unless there are complications. None of our patients were re-operated for implant removal.

Absorbable pin fixation has been reported as an alternative method and allows placement of the base of the wedge in the necrotic dorsal portion with sufficient stability, minimising shortening and elevation of the metatarsal.22 Lee et al.,22 reported that in all 12 patients treated with this technique, the osteotomies healed within a few months and pain measurement on a visual analogue scale improved from 8.0 to 2.3. The pins can be cut short allowing free range of motion and smooth gliding of tendons. Because they decompose gradually, stress shielding can be prevented.22,23 Patients operated by this method reported increased MTP joint dorsiflexion and it was hypothesised that this may be due to the absence of protruding fixation materials. However, inflammatory foreign body reaction has been the primary drawback to absorbable implants.21

Our method employs a simple technique without the use of complex equipment, allowing ease of reproducibility. It also brings the plantar intact articular surface to articulate with the proximal phalanx and allows shortening of the metatarsal. Both of these help off-loading the dorsal diseased cartilage. Debridement and micro fractures help regenerating the cartilage through subchondral stem cells. There are two weaknesses to this study design. It is a retrospective study with inherent bias and a small cohort were observed. However, the relative rarity of the condition makes this a widely accepted reality. We are therefore proposing a prospective multicentre trial.

We conclude that the dorsal closing-wedge shortening osteotomy combined with surgical debridement and microfracture is a simple and reliable four-in-one method of treating Freiberg’s disease with no major complications.

Acknowledgements

None.

Conflict of interest

The author declares no conflict of interest.

References

  1. Freiberg AH. The so–called infarction of the second metatarsal bone. J Bone Joint Surg. 1926;8(2):257–257–261.
  2. Stanley D, Betts R, Rowley D, et al. Assessment of etiological factors in the development of Freiberg’s disease. J Foot Surg. 1990;29(5):444–447.
  3. Binek R, Levinsohn E, Bersani F, et al. Freiberg disease complicating unrelated trauma. Orthopaedics. 1988;11(5):753–757.
  4. Trott A. Developmental disorders. In: Jahss M editor. Disorders of the foot and ankle. 2nd ed. Philadelphia. WB Saunders; 1991. p. 613–614.
  5. Wu K. Surgery of the metatarsal region. In Surgery of the foot. Philadelphia. Lea & Febiger; 1986. p. 143–146.
  6. Tachdijan M. Freiberg’s infarction In Paediatric orthopaedics. 2nd ed. Philadelphia: WB Saunders; 1991. p. 1006–1010.
  7. Freiberg A. Infraction of the second metatarsal bone–a typical injury. Surg Gynecol Obstet. 1914;19:191–193
  8. Gauthier G, Elbaz R. Freiberg’s Infarction:A subchondral bone fatigue fracture. Clin Orthop Relat Res. 1979;142:93–95.
  9. Smith TW, Stanley D, Rowley DI. Treatment of Freiberg’s disease. J Bone Joint Surg. 1991;73(1):129–130.
  10. Miyamoto W, Takao M, Uchio Y, et al. Late–stage Freiberg disease treated by osteochondral plug transplantation: a case series. Foot ankle Int. 2008;29(9):950–955.
  11. Ihedioha U, Sinha S, Campbell AC. Surgery for symptomatic Freiberg’s disease: exicision arthroplasty in eight patients. The foot. 2003;13:143–145.
  12. Simillie IS. Treatment of Freiberg’s infarction. Proc R Soc Med. 1967;60(1):29–31.
  13. Jones S, Al Hussainy HA, Ali F, et al. Scarf osteotomy for hallux valgus. A prospective clinical and pedobarographic study. J. Bone Joint Surg. 2004;86(6):830–836.
  14. Hoskinson J. Freiberg’s disease:A review of the long term results. Proc R Soc Med. 1974;67:106–107.
  15. Katcherian DA. Treatment of Freiberg’s disease. Foot and ankle injuries in sports. 1994;25(1):69–81.
  16. Viladot A, Viladot A. Osteochondroses:Aseptic necrosis of the foot. In: Jahss M editor. Disorders of the foot and ankle. 2nd ed. Philadelphia. WB Saunders; 1991. p. 617–638.
  17. Thompson F, Hamilton WG. Problems of the second metatarsophalangeal joint. Orthopaedics. 1987;10(1):83–89.
  18. James M, Rowley D, Betts P. An operation for Freiberg’s disease. J Bone Joint Surg. 1985;67B:671.
  19. Botek G, Anderson MA, Balis G. Dorsiflexory wedge osteotomy to treat Freiberg’s Infarction of the second metatarsal head. Podiatry Internet Journal. 2007;2(9):1.
  20. Capar B, Kutluay E, Mujde S. Dorsal closing wedge osteotomy in the treatment of Freiberg’s disease. Acta Orthop Traumatol Turc. 2007;41(2):136–139.
  21. Bostman OM. Economic considerations on avoiding implant removals after fracture fixation by using absorbable devices. Scand I Soc Med. 1994;22(1):41–15.
  22. Lee SK, Chung MS, Baek GH, et al. Treatment of Freiberg disease with intra–articular dorsal wedge osteotomy and absorbable pin fixation. Foot ankle Int. 2007;28(1):43–48.
  23. Ashammakhi N, Rokkanen P. Absorbable polyglycolide devices in trauma and bone surgery. Biomaterials. 1997;18(1):3–9.
Creative Commons Attribution License

©2017 Balakumar, et al. This is an open access article distributed under the terms of the, which permits unrestricted use, distribution, and build upon your work non-commercially.