Submit manuscript...
MOJ
eISSN: 2381-179X

Clinical & Medical Case Reports

Case Report Volume 2 Issue 2

Tick-borne illness inducing st elevations

Sukhdeep Singh

Tufts University,USA

Correspondence: Sukhdeep Singh, Tufts University, 759 Chestnut Street Springfield, USA, Tel 413-794-0000

Received: January 26, 2015 | Published: March 30, 2015

Citation: Singh S, Rathlev N. Tick-borne illness inducing st elevations. MOJ Clin Med Case Rep. 2015;2(2):32-34. DOI: 10.15406/mojcr.2015.02.00015

Download PDF

Abstract

Establishing the diagnosis of Brugada syndrome requires both the characteristic ECG pattern and clinical symptoms concerning for aborted sudden death. Since its discovery, there have been numerous case reports of inducible Brugada-pattern ECG without Brugada syndrome. This is a case of a 62-year-old man who presented to the emergency department with fevers, chills, and an erythema migrans rash along with a Brugada-pattern ECG. The patient was found to have a fever-induced Brugada-pattern ECG secondary to anaplasmosis. The patient was also coinfected with Lyme disease and was recovering from a parasitic babesiosis infection. Treatment was initiated with complete resolution the patient's infectious symptoms as well as resolution of his Brugada-pattern ECG.

Keywords: ECG, brugada syndrome, babesiosis, lyme disease

Abbreviations

ECG, electrocardiogram; ICD, implantable cardiac defibrillator; ED, emergency department; STEMI, segment elevation myocardial infarction; AICD, automatic implantable cardioverter defibrillator

Introduction

Brugada syndrome, first coined by the Brugada brothers in 1992, is defined as a characteristic ECG pattern along with clinical symptoms concerning for aborted sudden death.1 This pattern, a right bundle branch block with ST segment elevations in precordial leads V1 through V2-V3 (without evidence of structural or ischemic changes), is thought to be secondary to mutations in sodium, potassium, and calcium channels, as well as genes involved in regulation of these channels.2 Patients with Brugada-pattern ECG as well as a history of syncope or family history of sudden cardiac arrest are thought to be afflicted with the syndrome and, having an increased risk of sudden death secondary to ventricular arrhythmias, are considered candidates for an implantable cardiac defibrillator (ICD). However, since its discovery, there have been numerous reported cases of Brugada-pattern ECG without a clinical history that suggests an episode of aborted sudden death. A Brugada-pattern ECG, without meeting criteria for Brugada syndrome, is thought to be a normal variant and does not require ICD.3,4 Many of these cases are thought to be induced by a number of clinical scenarios, from electrolyte abnormalities to drug reactions. We describe a novel case of a patient who presented with Brugada-pattern ECG unmasked by anaplasmosis and Lyme disease, while recovering from a babesiosis infection.

Case report

A 62-year-old Caucasian man presented to his primary care doctors (PCP) office for a two-day history of profound weakness and untreated babesiosis infection. One month prior, the patient had seen a dermatologist for a skin rash as well as a history of multiple tick bites. At that time, his lab work showed a white count of 8.8 mild anemia with an H&H of 12.8 and 37.7 (MCV of 88), and a platelet count of 224,000. Serology was done to test for babesiosis, ehrlichiosis, anaplasmosis, and Lyme disease. Babesia IgG and IgM both returned positive at dilutions of 1:320 (with reference range of <1:10 being negative); the remainder of the serology was negative. The patient was never treated for this infection.

The patient told his PCP that he had been doing well, with his previous rash resolving, until he began to notice a new rash on his upper left arm one week ago. Five days later, the rash was followed by fevers, rigors and profound weakness. He had also noted numerous tick bites during the past month as well. Given the constellation of symptoms in the setting of untreated babesiosis detected one month prior, he was transferred by his primary care doctor to the emergency department (ED) with concern for sepsis. En route to the hospital, EMS personnel noted ECG changes concerning for an anterior wall STEMI.

On arrival to the ED, the patient complained of profound diffuse weakness, feeling feverish, and a one-week-old rash on his left upper arm. He denied any chest pain or shortness of breath. His past medical history was significant for hypothyroidism, pre-diabetes, hypertension, hyperlipidemia and gout for which he took 5 mg rosuvastatin, 88mg levothyroxine, 50mg losartan, and 500mg probenecid daily. He lived at home with his girlfriend in a rural location in Massachusetts. He owned an upholstery company and went hunting frequently. He had not had any recent travel outside of the United States.

On initial exam in the ED, the patient was found to be febrile to 101.6 with a pulse of 92bpm, blood pressure of 136/84, oxygen saturation of 95% on room air, and respiratory rate of 16/min. He appeared to be severely fatigued but in no acute distress. He had no scleral icterus or subconjunctival hemorrhages. His lungs were clear to auscultation and heart had regular rate and rhythm without any murmur or gallops. His abdomen was soft and not tender. On skin exam, he had an oval patch in the left axillary area with concentric rings of erythema in a “bull’s-eye” pattern consistent with erythema migrans.

Given the pre-arrival ECG concerning for STEMI, a repeat ECG was done (Figure 1), which showed an atypical right bundle branch block with downsloping ST elevation and inverted T waves in V1 and V2, consistent with Brugada pattern; his prior ECG three years ago had been normal. Chest X-ray showed no acute process, and lab work showed a white blood cell count of 6.9, resolution of the previously noted mild anemia with H&H of 14.8 and 42.6, and new onset thrombocytopenia of 65,000. Electrolytes showed mild hyponatremia with a sodium of 133, potassium of 4.1, chloride of 95, bicarbonate of 26, glucose of 170, BUN of 14 and Creatinine of 1.1. The patient had mild elevations of AST and ALT of 73 and 49, respectively. Troponin was <0.01.

Figure 1 ST elevations in V1, V2 with negatively deflected T waves.

Interventional cardiology was consulted to assess the ST elevations in V1-V2 on ECG; due to the lack of anginal symptoms other than fatigue, the ECG was thought to be consistent with Brugada pattern unmasked by an acute febrile illness. For the patient’s babesiosis, he was started on atovaquone 750mg b.i.d and azithromycin 500mgx1 followed by 250mg daily for a total of 14days. Given the new erythema migrans rash as well as new thrombocytopenia and elevated liver enzymes, the patient was presumed to be co-infected with anaplasmosis and Lyme disease and was also treated with doxycycline 100mg b.i.d for 14days. Serology was sent prior to treatment initiation.

After fever control and initiation of antibiotics, the patient’s Brugada-pattern ECG changes resolved. He was discharged on hospital day 2 with the above-mentioned antibiotics. Based on repeat serology testing, the patient was actively co-infected with anaplasmosis and Lyme disease. His anaplasmosis PCR returned positive and Lyme screening test was equivocal, but based on erythema migrans rash treatment was continued. He had likely self-cleared the previous babesiosis infection as the anemia resolved and repeat PCR babesiosis testing was negative without any sign of intravascular hemolysis or intraerythrocytic parasite on blood smear. On further inquiry obtained at the time of discharge, the patient had no history of unexplained syncope, seizures or nocturnal breathing abnormalities. There was no family history of the aforementioned symptoms, sudden cardiac death or known Brugada pattern ECG. His ECG was thought to be idiopathic Brugada pattern without meeting criteria for Brugada syndrome. On numerous follow-up visits, the patient was noted to be doing well and symptom free.

Discussion

Our patient suffered from induced Brugada-pattern ECG secondary to an underlying infection of anaplasmosis and Lyme disease; he was also recovering from self-resolving babesiosis. Once treated for his concurrent infections, there was a resolution of his Brugada-pattern ECG and he did not meet criteria for Brugada syndrome. In most patients with induced Brugada-pattern ECG and no symptoms or family history of sudden death, the ECG pattern is thought to be a normal variant.3

Estimated to affect 5 in 10,000patients, the syndrome is thought to be more common in Asian countries and is considered a significant etiology of previously unexplained sudden deaths described in Asian literature: pokkuri (sudden death) in Japan, bangungut (to rise and moan in sleep) in the Philippines, and lai tai (death during sleep) in Thailand. An examination of a cohort of patients thought to have survived “laitai” in Thailand showed that 90% of them had a Brugada pattern ECG.5

The diagnosis of Brugada syndrome is contingent on both a characteristic ECG pattern as well as a series of symptoms that suggest a cardiac arrhythmia. The Brugada pattern ECG has a right bundle branch block pattern (terminal R wave deflection in the anterior leads), with or without the S wave pattern seen in the lateral leads typical of a right bundle branch block. There are also ST elevations in the same anterior leads; these ST changes can have coved type or saddle back pattern with the T wave deflection in the positive or negative. Although the different characteristic shapes constitutes types one through three of Brugada pattern ECG (Figure 2), the commonality of all three types is both a right bundle branch block and ST segment elevations.6 To be diagnosed with Brugada syndrome, a patient must have this classic ECG changes in addition to a history to indicate cardiac arrhythmia. A 2005 American Heart Association consensus statement recommends that patients with a history of unexplained syncope, seizures, nocturnal breathing abnormalities or those that have a family history of the aforementioned symptoms including sudden cardiac death or known Brugada pattern ECG, are at an inordinate risk of sudden death from ventricular dysrhythmias and should strongly be considered for implantation of a defibrillator.7

Figure 2 ST-Segment Abnormalities in Leads V1 to V3, T wave negative in type I with biphasic or positive in type 2 and 3, Variability in ST elevation in type 2 and 3.6

However, since the discovery of Brugada syndrome, there have been multiple reported cases of Brugada-pattern ECG without symptoms to suggest a cardiac arrhythmia; in such cases, the recommendation for AICD is controversial.24,7,8 Many of these Brugada-pattern ECG are “unmasked” in numerous clinical settings including electrolyte abnormalities, neoplasms, fevers, and multiple different drugs (TCA, lithium, cocaine, sodium channel blockers).9–12

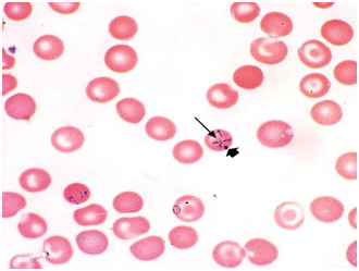
While anaplasmosis and Lyme disease are bacterial infections, babesiosis is a hemolytic disease caused by an intraerythrocytic protozoan parasite. All three diseases are tick-borne, are carried by the same vector (black-legged ticks/Ixodesscapularis), and are endemic to the northeastern part of the United States. It is not uncommon for patients to suffer co-infections from some combination of all three diseases.13–15 Symptoms of babesiosis are nonspecific and may include but are not limited to fever, chills, diaphoresis, weakness, fatigue, anorexia, and headache.16 A peripheral smear can show a pathognomonic intraerythrocytic protozoan parasite with a “Maltese cross” appearance (Figure 3).17 The current treatment guidelines by the CDC recommend a 7 to 10-day course of atovaquone plus azithromycin or clindamycin.18 Our patient was initially started on atovaquone and azithromycin but this was discontinued once repeat serology returned negative for babesiosis and no intraerythrocytic protozoan parasites were noted on peripheral smear. He was considered to have self-cleared his previous babesiosis infection. He was found to be positive for Anaplasmosis.

Figure 3 Images in clinical medicine: Babesiosis.17.

Anaplasmosis produces nonspecific symptoms of fever, headache, muscle pain and malaise very similar to those associated with babesiosis. Mild elevation in liver enzymes as well as thrombocytopenia is not uncommon with anaplasmosis. A rash is not typically associated with the disease, and if present, one should suspect another illness, most likely Lyme disease. Given our patient's typical “bull’s-eye” pattern of rash along with this serology-proven anaplasmosis, he was presumed to be co-infected with Lyme disease. Treatment for Lyme disease is recommended without doing confirmatory testing if the clinical diagnosis is suspected. Both anaplasmosis and Lyme disease are treated with doxycycline.19,20 Our patient was continued on doxycycline 100mg twice a day for a total of 14 days, with complete resolution of his symptoms. He was noted to be symptom-free with normal ECGs on multiple clinic visits since his discharge from the hospital.

Conclusion

Establishing the diagnosis of Brugada syndrome requires both the characteristic ECG pattern and a clinical scenario suggestive of cardiac arrhythmia. Our patient fit the criterion of Brugada-pattern ECG without having the syndrome. His Brugada-pattern ECG was thought to be induced by multiple tick borne illnesses. He was treated for his Lyme disease and anaplasmosis. His babesiosis infection was found to be self-clearing and treatment for babesiosis was discontinued. Our patient made a full recovery with complete resolution of his infectious symptoms along with his Brugada-pattern ECG.

Acknowledgements

None.

Conflict of interest

The author declares no conflict of interest.

References

  1. Brugada P, Brugada J. Right bundle branch block, persistent ST segment elevation and sudden cardiac death:a distinct clinical and electrocardiographic syndrome. A multicenter report. J Am Coll Cardiol. 1992;20(6):1391–1396.
  2. Hoogendijk MG, Opthof T, Postema PG, et al. The Brugada ECG Pattern:a marker of channelopathy, structural heart disease or neither? Towards a unifying mechanism of the Brugada Syndrome. Circ Arrhythm Electrophysiol. 2010;3(3):283–290.
  3. Littmann L, Monroe MH, Kerns WP, et al. Brugada syndrome and “Brugada sign”: clinical spectrum with a guide for the clinician. Am Heart J. 2003;145(5):768–778.
  4. Sheikh AS, Ranjan K. Brugada syndrome:a review of the literature. Clin Med. 2014;14(5):482–489.
  5. Gumpanart V, Lertlak C, Kriengkrai J, et al. What we have learned from Lai Tai in Thailand. The Bangkok medical journal. 2011.
  6. Wilde AA, Antzelevitch C, Borggrefe M, et al. Proposed diagnostic criteria for the Brugada Syndrome: consensus report. Circulation. 2002;106(19):2514–2519.
  7. Antzelevitch C, Brugada P, Borggrefe M, et al. Brugada syndrome: report of the second consensus conference: endorsed by the Heart Rhythm Society and the European Heart Rhythm Association. Circulation. 2005;111(5):659–670.
  8. Brugada J, Brugada P, Brugada R. The syndrome of right bundle branch block ST segment elevation in V1 to V3 and sudden death–the Brugada syndrome. Europace. 1999;1(3):156–166.
  9. Tarin N, Farrè J, Rubio JM, et al. Brugada–like electrocardiographic pattern in a patient with a mediastinal tumor. Pacing Clin Electrophysiol. 1999;22(8):1264–1266.
  10. Tada H, Sticherling C, Oral H, et al. Brugada syndrome mimicked by tricyclic antidepressant overdose. J Cardiovasc Electrophysiol. 2001;12(2):275.
  11. Porres JM, Brugada J, Urbistondo V, et al. Fever unmasking the Brugada syndrome. Pacing Clin Electrophysiol. 2002;25(11):1646–1648.
  12. Alraies MC, Chamsi–Pasha MA, Baibars M, et al. Brugada pattern electrocardiogram unmasked with cocaine ingestion. Case Rep Cardiol. 2013;2013:704859.
  13. Dahlgren F, Mandel E, Krebs J, et al. Increasing incidence of Ehrlichia chaffeensis and Anaplasma phagocytophilum in the United States, 2000–2007. Am J Trop Med Hyg. 2011;85(1):124–131.
  14. Swanson SJ, Neitzel D, Reed KD, et al. Coinfections acquired from ixodes ticks. Clin Microbiol Rev. 2006;19(4):708–727.
  15. Hersh MH, Ostfeld RS, McHenry DJ, et al. Co–Infection of blacklegged ticks with Babesia microti and Borrelia burgdorferi is higher than expected and acquired from small mammal hosts. PLoS One. 2004;9(6):e99348.
  16. Mylonakis E. When to suspect and how to monitor babesiosis. Am Fam Physician. 2001;63(10):969–1975.
  17. Noskoviak K, Broome E. Images in clinical medicine: Babesiosis. N Engl J Med. 2008;358(17):e19.
  18. Centers for Disease Control and Prevention. Parasites– Babesiosis. USA; 2013.
  19. DePietropaolo DL, Powers JH, Gill JM, et al. Diagnosis of lyme disease. Am Fam Physician. 2005;72(2):297–304.
  20. Ismail N, Bloch KC, McBride JW. Human ehrlichiosis and anaplasmosis. Clin Lab Med. 2010;30(1):261–292.
Creative Commons Attribution License

©2015 Singh. This is an open access article distributed under the terms of the, which permits unrestricted use, distribution, and build upon your work non-commercially.