Submit manuscript...
MOJ
eISSN: 2381-179X

Clinical & Medical Case Reports

Case Report Volume 4 Issue 6

Total oral rehabilitation of an autistic child

Anil Patil,1 Anand Shigli,1 Saakshi Rane,1 Mahesh Sale2

1Department of Pedodontics and Preventive Dentistry, Bharati Vidyapeeth Deemed University Dental College and Hospital, India
2Department of Pediatric Medicine, Bharati Vidyapeeth Deemed University Dental College and Hospital, India

Correspondence: Anil Patil, Department of Pedodontics and Preventive Dentistry, Bharati Vidyapeeth Deemed University Dental College and Hospital, Sangli, Maharashtra, India, Tel +91 9850983500

Received: August 19, 2016 | Published: September 29, 2016

Citation: Patil A, Shigli A, Rane S, et al. Total oral rehabilitation of an autistic child. MOJ Clin Med Case Rep. 2016;4(6):140-142. DOI: 10.15406/mojcr.2016.04.00111

Download PDF

Abstract

Autism spectrum disorders (ASD) is a lifelong developmental disorder in which the individuals have substantial differences in their communication skills and social behavior. It presents challenges for patient, caregiver/parent and dental team. Hence, children with autistic disorder may require a more critical dental care and are also difficult to treat. The purpose of this article is to review the literature of autism with emphasis on full mouth rehabilitation of a 9years old autistic child under general anaesthesia.

Keywords: autism spectrum disorder, general anaesthesia, oral health, oral rehabilitation

Introduction

Autism spectrum disorder (ASD) also known as Kanner’s autism, early infantile autism or childhood autism was first described by an American child psychologist Leo Kanner.1,2 Autism is a lifelong severe organic disorder characterized by abnormalities in the brain, specifically the cerebellum and limbic systems.3 Meanwhile some investigators expand the nature of autism considering it to be a multisystem metabolic disorder and not merely a brain disorder. This is a complex behavioral disorder which comprises of a wide varied of symptoms, defined by deficits in communication, social interaction and empathy along with unusual restricted repetitive behavior.4,5 It generally manifests in the first three years6 and the prevalence estimates range from 2-6 per 1000 children and is four times more common in males as compared to females7 females are more likely to exhibit mental retardation.2 Dental management of an autistic child requires in detail understanding of the background of the disorder and the various behavioral guidance therapies. The dental professional should be flexible to modify the treatment needs and approaches according to the individual patient need.8 In this case report, we present our experience in delivering comprehensive dental management under general anaesthesia to a child with autism.

Case presentation

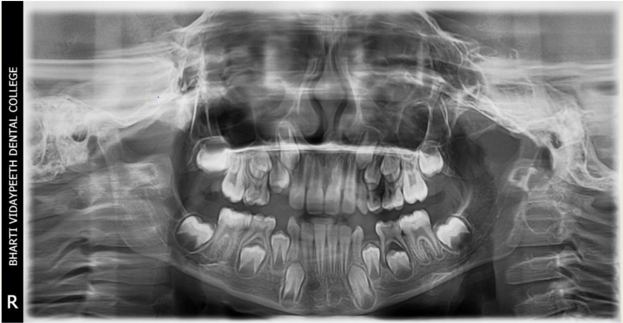
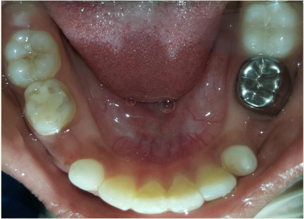
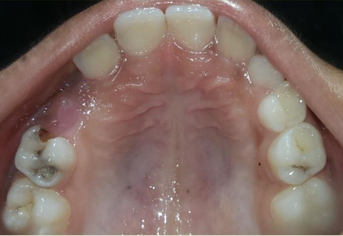
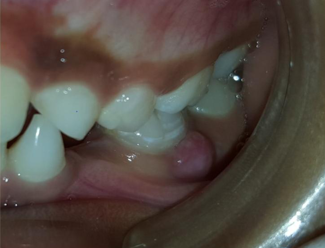
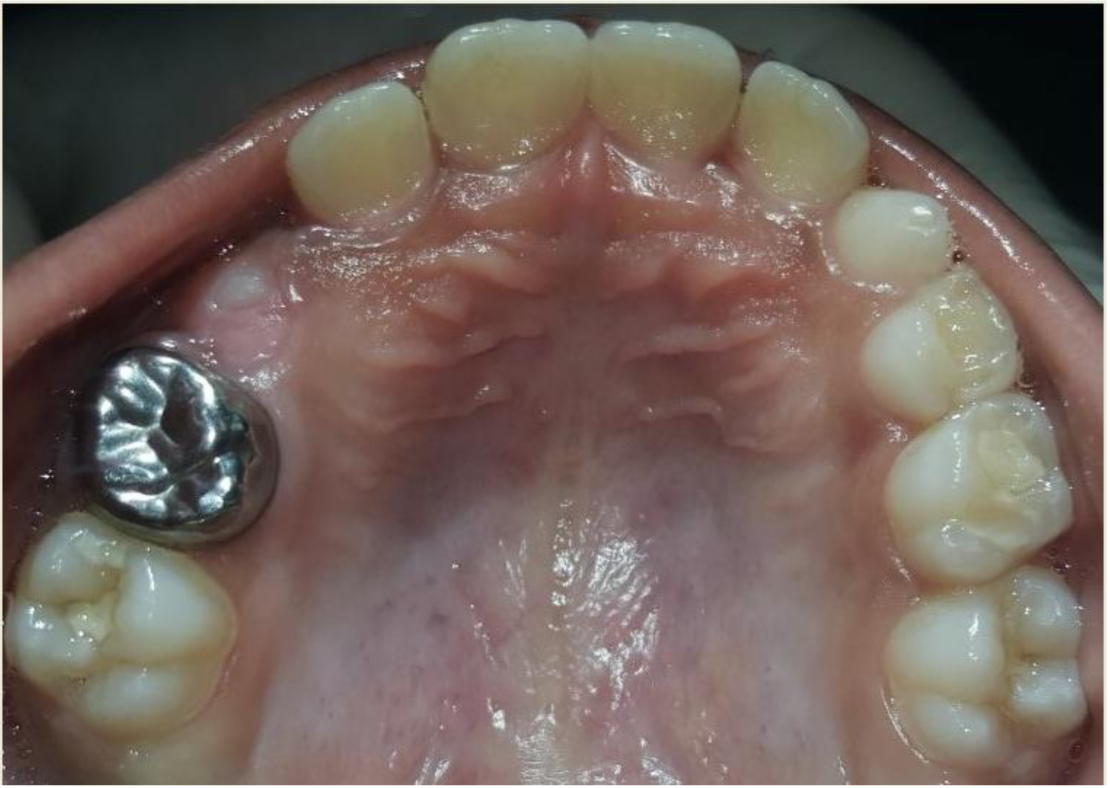
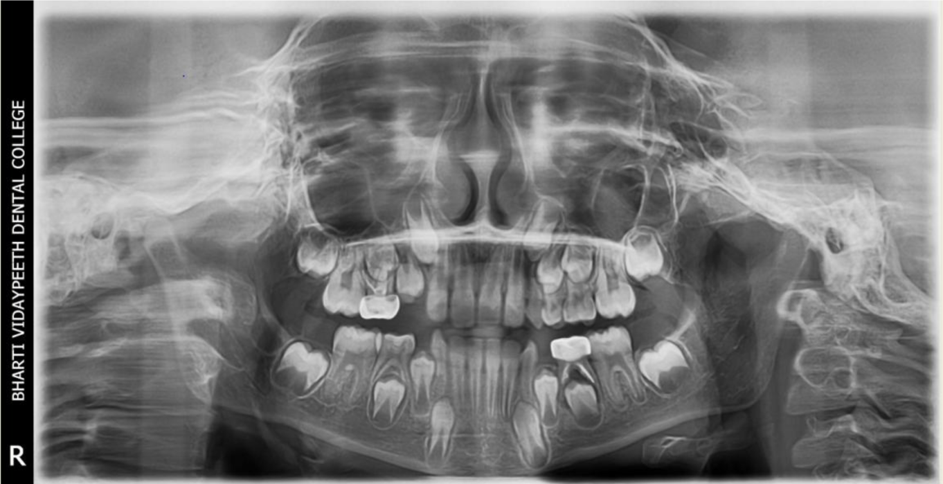
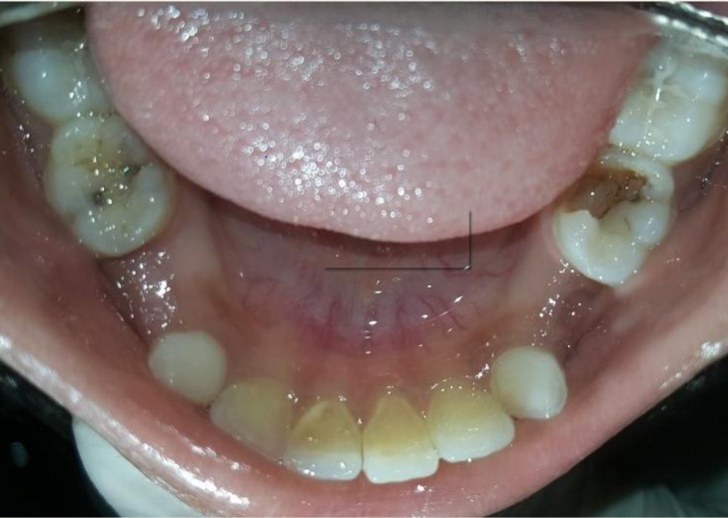
A nine year old boy reported to the Department of Pedodontics and Preventive Dentistry of Bharati Vidyapeeth Deemed University, Sangli with a chief complaint of pain and abscess in the lower left back region of the jaw since one month. Patient was a known case of autism spectrum disorder. He was inattentive, hyperactive and showed repetition of gestures. Psychological testing report showed childhood autism rating scale (CARS) 2, which falls into mild to moderate autistic category. Vineland social maturity scale (VSMS) measuring the social intelligence of child was found to be 31.5 with social age of around 5-6years. The family history was non-contributory. He was not on any medications and had reported no history of drug allergies. Extra-oral examination showed no specific findings (Figure 1). Intraoral examination revealed multiple carious lesions (Figure 2) (Figure 3). Occlusal caries involving enamel, dentin and pulp with 55 and 75. Intra oral dentoalveolar abscess was also seen in relation with 75 (Figure 4). Dentinal caries was seen with 85 and occlusal pit and fissure caries was seen with 65. No soft tissue abnormalities were appreciated. Radiographic evaluation by orthopantomogram was also done which revealed no abnormality (Figure 5). It was difficult for the patient to co-operate on the dental chair and understand the instructions given to him; hence treatment was planned under general anaesthesia. A complete pre anaesthetic evaluation was done and the patient was categorized under ASA II. Treatment plan was explained to the child’s parents and a written consent was obtained from them. The dental treatment done under general anaesthesia included pulpectomy of 55, 75 with glass ionomer cement restoration followed by placement of pre trimmed and pre contoured stainless steel crowns (Figure 6) (Figure 7). Glass ionomer cement restorations were done in 65 and 85 and pit and fissure sealants application on 16, 26, 36 and 46. Post-operative orthopantomogram showed well placed restorations and crowns (Figure 8). Patient’s post-operative recovery was uneventful. Treatment rendered reduced the pain and discomfort.Oral hygiene care instructions were given to the parents and maintenance protocol was explained and they were also encouraged for regular follow-up for preventive dental care. The two months follow-up revealed improved eating habits of the child.

Figure 1 Extra-oral image.

Figure 2 Intra oral pre-operative image of the maxilla.

Figure 3 Intra oral pre-operative image of the mandible.

Figure 4 Intra-oral dentoalveolar abscess in 75 region.

Figure 5 Pre-operative orthopantomograph.

Figure 6 Stainless steel crown cemented on 55 and glass ionomer cement restoration on 65 and sealants on 16, 26.

Figure 7 Stainless steel crown cemented on 75 and glass ionomer cement restoration on 85 and Sealants on 36, 46.

Figure 8 Post- operative orthopantomograph.

Discussion

Autistic children suffer from multiple behavioural problems, making their dental treatment challenging. Problems with communication and hyperactivity are the central concerns when treating autistic children.9 They require a good comprehensive and preventive care through parent counselling, speech therapy, social skills training,10 the dentist also needs to consider few aspects before treating autistic children like understanding their sensory needs, using motivating games, giving rewards to the child and use of behaviour modification techniques.11 Our patient was suffering from multiple dental caries with dentoalveolar abscess and patient was unable to understand instructions and was hyperactive hence dental treatment was planned under general anaesthesia after complete pre anaesthetic evaluation. Comprehensive dental treatment under general anaesthesia requires 30 percent less time12 and permits the dentist to perform unhurried necessary preventive, restorative and surgical treatment in a single appointment.13 For long term care, parents should be motivated about the effective oral hygiene care measures, brushing techniques, application of fluorides and sealants and an intake of healthy non-cariogenic foods and frequent recall appointments.

Conclusion

Happy and healthy children play a vital role in the development of the society.14 Since autistic children exhibit multiple social and behavioural issues and do not display specific dental findings, even then compromised oral hygiene can contribute to dental caries and periodontitis. Given the high prevalence of the condition, it is very likely that the paediatric dentist will have one or more of these children in their practice. Treating these children requires multidisciplinary comprehensive care and flexible and individualized treatment approach should be as per the needs of the patient to gain maximum patient co-operation. Educating the patients and their parents is critical to meet their future dental needs in obtaining optimal oral hygiene.

Acknowledgements

None.

Conflict of interest

The author declares no conflict of interest.

References

  1. Kanner L. Autistic disturbances of affective contact. Nervous Child. 1943;2:217–250.
  2. American Psychiatric Association. Diagnostic and statistical manual of mental disorders DSM–IV. 4th ed. Washington, USA; 1994.
  3. Courchesne E, Yeung–Courchesne R, Press GA, et al. Hypoplasia of cerebellar vermal lobules VI and VII in autism. N Engl J Med. 1988;318(12):1349–1354.
  4. Jepson B, Johnson J. Changing the Course of Autism. Boulder, USA: Sentient Publications; 2007. p. 42–46.
  5. Volkmar FR, Klin A. Issues in the classification of autism and related conditions. In: Handbook of Autism and Pervasive Developmental Disorders. 3rd ed. Volkmar FR, et al. editors. Hoboken, New jersey, USA: John Wiley & Sons; 2005. p. 5–41.
  6. Weddell JA, Sanders BJ, Jones JE. Dental problems of children with disabilities. In: McDonald RE, et al. editors. Dentistry for the Child and adolescent. 8th ed. St. Louis, Mosby, USA; 2004. p. 524–556.
  7. Newschaffer CJ, Croen LA, Daniels J, et al. The epidemiology of autism spectrum disorders. Annu Rev Public Health. 2007;28:235–258.
  8. Speaks TM. treating children with autism spectrum disorders: a dental guide. Autism Intervention Research Network on Physical Health. 2011. p. 1–15.
  9. Monroy PG, da Fonseca MA. The use of botulinum toxin a in the treatment of severe bruxism in a patient with autism. Spec Care Dentist. 2006;26(1):37–39.
  10. Nagamitsu S, Matsuishi T, Kisa T, et al. CSF ß–endorphin level in patient with infantile autism. J Autism Dev Disorder. 1997;27(2):155–163.
  11. Johnson CD, Matt MK, Dennison D, et al. Preventing factitious gingival injury in an autistic patient. Journal of American Dental Association. 1996;127(2):244–247.
  12. Klein U, Nowak AJ. Autistic disorder:a review for the pediatric dentist. Pediatric Dentistry. 1998;20(5):312–317.
  13. Muthu MS, Prathibha KM. Management of a child with autism and severe bruxism:A case report. J Indian Soc Pedod Prev Dent. 2008;26(2):82–84.
  14. Patil A, Tamgond S, Sandhyarani B, et al. An Update on Dental Outlook for Autism. Autism Open Access. 2016;6:3.
Creative Commons Attribution License

©2016 Patil, et al. This is an open access article distributed under the terms of the, which permits unrestricted use, distribution, and build upon your work non-commercially.