Submit manuscript...
MOJ
eISSN: 2381-179X

Clinical & Medical Case Reports

Case Report Volume 5 Issue 4

Turner syndrome and atypical malformations: a case report

Mohammed El Amine Amani, Malika Derradji

Department of Endocrinology, 1st November 1954 University Hospital of Oran, Algeria

Correspondence: Mohammed El Amine Amani, Department of Endocrinology, 1st November 1954 University Hospital of Oran, Algeria

Received: December 22, 2016 | Published: December 22, 2016

Citation: Amani MA, Derradji M. Turner syndrome and atypical malformations: a case report. MOJ Clin Med Case Rep. 2016;5(4):250-251. DOI: 10.15406/mojcr.2016.05.00140

Download PDF

Abstract

The Turner syndrome is a chromosomal aberration that is expressed by growth retardation and an impuberism. It can be associated with visceral, metabolic and endocrine diseases thus increasing the risk of morbidity and mortality. The isolated left ventricular non-compaction cardiomyopathy is a rare form of congenital cardiomyopathy. We report the case of a 38-year old female addressed from the Department of Cardiology for the exploration of a primary amenorrhea and a short stature. The clinical examination revealed a size: 145cm (-3 SD/M.SEMPE) with a total impuberism. The hormonal tests showed a hypergonadotropic hypogonadism. Our patient was followed for cardiac heart failure. The echocardiographic exploration found a left systolic ventricular dysfunction with a septum akinesia and an anterior wall hypokinesia. The left ventricular ejection fraction was 40%. It was therefore a dilated left ventricular non-compaction cardiomyopathy. The Turner syndrome and associated malformations should be diagnosed as early as possible to hope to improve the prognosis of the disease.

Keywords: Turner syndrome; Associated malformations; Left ventricular non-compaction

Abbreviations

LVNC, non-compaction isolated left ventricular

Introduction

The Turner syndrome is a chromosomal aberration that is expressed by growth retardation and an impuberism. It can be associated with visceral, metabolic and endocrine diseases thus increasing the risk of morbidity and mortality. The non-compaction isolated left ventricular (LVNC) is a rare form of congenital cardiomyopathy.1

Case presentation

We report the case of a 38-year old female addressed from the Department of Cardiology for the exploration of a primary amenorrhea and a short stature. In his personal history, we noted repeated episodes of bilateral otitis and psoriasis.

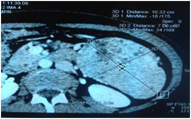
The clinical examination revealed a size 145cm (-3 SD/M.SEMPE) with a total impuberism. The hormonal tests showed a hypergonadotropic hypogonadism. The abdominal CT scan revealed a left hemi-abdominal mass with a large vascular pedicle (supernumerary spleen?) Figure 1. Our patient was followed for cardiac heart failure. The echocardiographic exploration found a left systolic ventricular dysfunction with a septum akinesia and an anterior wall hypokinesia. The left ventricular ejection fraction was 40%. It was therefore a dilated left ventricular non-compaction cardiomyopathy (Figure 2).

Figure 1 Abdominal CT scan: left hemi-abdominal mass with a voluminous vascular pedicle (supernumerary spleen?).

Figure 2 Doppler Echocardiography: Appearance of LVNC. Left ventricle systolic dysfunction with anterior, anteroseptal, basal, and median akinesia. High filling pressures EF: 40%.

Discussion

The onset of the LVNC occurs during the fetal life.2 It is the result of an in utero cessation of the myocardial maturation process explaining the spongy myocardium. Patients with LVNC are exposed to three types of complications such us the heart failure, the arrhythmias and the thromboembolic events. The LVNC is associated with mitochondrial disorders, Barth syndrome, and myotonic dystrophy.3 The identified genes are Fbkp1a/Notch pathway, G4.5 gene/TAZ protein, and others.4 In the present state of our knowledge, the Turner syndrome and LVNC association has never been described in the literature, is it fortuitous? The Turner syndrome and associated malformations should be diagnosed as early as possible to hope to improve the prognosis of the disease.

Acknowledgements

None.

Conflict of interest

The author declares no conflict of interest.

References

Creative Commons Attribution License

©2016 Amani, et al. This is an open access article distributed under the terms of the, which permits unrestricted use, distribution, and build upon your work non-commercially.