Submit manuscript...
MOJ
eISSN: 2381-179X

Clinical & Medical Case Reports

Case Report Volume 6 Issue 6

Vulvar fibroadenoma: case report and review of literature

Chalapathi Rao AV,1 Srikanth U,2 Haqq W3

1Senior Lecturer/Consultant Pathologist, The University of the West Indies, Trinidad and Tobago
2Lecturer/Consultant Pathologist, The University of the West Indies, Trinidad and Tobago
3Consultant in Obstetrics and Gynaecology, Mount Hope Women?s Hospital, Trinidad and Tobago

Correspondence: Srikanth Umakanthan, Consultant Pathologist, The University of the West Indies, St. Augustine, Trinidad and Tobago

Received: June 23, 2017 | Published: June 30, 2017

Citation: Chalapathi RAV, Srikanth U, Haqq W. Vulvar fibroadenoma: case report and review of literature. MOJ Clin Med Case Rep . 2017;6(6):160-161. DOI: 10.15406/mojcr.2017.06.00185

Download PDF

Abstract

Vulvar fibroadenoma is an uncommon benign tumor with few reported cases in literature. The histogenesis of this tumor has remained controversial. We report a case of a 39year old woman with a well-defined subcutaneous mass in the vulva with a histological diagnosis of Vulvar fibroadenoma and positive for hormone receptors.

Keywords: vulva, fibroadenoma, mammary gland

Introduction

Vulvar fibroadenoma is an extremely rare benign tumor with low incidence. This tumor has been reported in medical literature with 50 cases of ectopic benign breast lesion. The milk line which extends from the axilla to the medial aspect of the groin undergoes spontaneous regression during embryogenesis except in the region of the chest giving rise to breasts in adults. Accessory breast structures arise from these remnants when they fail to regress. These are mainly seen in the pectoral region and rarely in vulvar site.1Vulvar fibroadenomas occur between 20-60years with a size ranging from 0.7cm to 6.0cm. The differential diagnosis ranges from benign lesions like epidermal cyst, Bartholin’s cyst, phyllodes to malignant lesions like extramammary Paget’s disease and mucinous adenocarcinoma. Since these ectopic mammary tissue is hormonal responsive.2 Immunohistochemically, these tumor show positivity for ER, PR and GCDF-15. S- 100, CK and EMA are also positive. The vulvar fibroadenoma can also be diagnosed by fine needle aspiration cytology (FNAC).We discuss a case of vulvar fibroadenoma in a 39year woman.

Case report

A 39year old G5 P4 +1 woman presented with a painless firm vulvar swelling of 6months. The swelling was initially small and grew progressively in size. Physical examination revealed a 3cmx2cm mass located in the subcutaneous area of the right labium majus. The swelling was firm, mobile, and not adherent to skin or other underlying structures. Gynaecological, inguinal and abdominal examination was reported normal. Chest x-ray and Computed tomography (CT) scan of the abdominopelvic region revealed no masses.

A provisional clinical diagnosis of Bartholin cyst was made and excision was planned. The lesion was excised under local anaesthetic and sedation. During surgery, the lesion was found to be firm, mobile and well defined. The patient was discharged the following day. The patient failed to follow up.

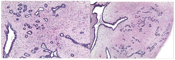
The excised specimen on macroscopic examination showed a firm mass measuring 2.5x1.5x0.7cms. Cut surface was grey- white. There was no cyst. Areas of haemorrhage and necrosis were absent. Microscopy showed epithelial and stromal proliferation. Glandular elements were benign and ranged from small rounded gland like structures to branched ducts and displayed myoepithelial cells. There was no evidence of atypia. Fibrocollagenous stroma showed mild increase in cellularity in the periglandular areas (Figure 1). Immunohistochemical studies were done and the glandular cells showed strong positivity immunoreactivity for ER and PR (Figure 2A) (Figure 2B). These histopathologic findings were of vulvar fibroadenoma.

Figure 1A & 1B (H&E x10) Microscopic picture showing glandular and stromal components of fibroadenoma.

Figure 2 (A) Ductal cells with Estrogen receptor positivity (x40) and (B) progesterone receptor positivity (20x).

Discussion

The fully formed mammary gland in the vulva was first described by Hartung in 1872. The histogenesis of vulvar fibroadenoma is controversial. In majority of the medical literature. Vulva is a rare site for ectopic breast tissue since it is located at the inferior end of the primitive mammary ridge. Several forms of accessory breast has been classified by Kajava which depends on the presence of breast structures (nipple, areola, glandular tissue) and ranges from complete breast with nipple, areola and glandular tissue to polytheliapilosa (presence of only patch of hair). Japanese women have the highest incidence of accessory mammary tissue.3

Van der Putte in his first report titled “mammary tissue of anogenital area” discussed that the extension of mammary ridge to the vulva has not been proved definitely and the theory of milk ridge cannot explain perineal ectopic breast tumors. The ectopic breast tissue or mammary like anogenital glands tissue express hormone receptors which are detected by Immunohistochemistry.4

The vulvar fibroadenoma is seen in the age group ranging from 20-60years with an average tumor size of 3.0cms. They present as subcutaneous solitary nodules on labia majora and are seldom bilaterally seen. The differential diagnosis are epidermal cyst, follicular cyst, Bartholin’s gland duct cyst, lipoma, pseudoangimatous stromal hyperplasia, fibrocystic disease and sclerosingadenosis. Extramammary Paget’s disease, ductal/lobular/mucinous adenocarcinoma are malignant differentials.2,4 Histopathological features are similar to breast fibroadenoma showing a well-defined capsule, epithelial and stromal proliferation with compressed glands and fibromyxoid stroma surrounding it. The glands are lined by luminal columnar cells and abluminal myoepithelial cells.5 In our case, histopathological features showed features of fibroadenoma with immunohistochemistry positive for ER and PR markers. The vulvar fibroadenoma has a good prognosis and rarely recurs following excision. In our case the patient failed to follow up.6

Vulvar fibroadenoma is a rare benign tumor with a controversial histogenesis, arising either from a vulvar accessory breast or from mammary like anogenital glands described by van der Putte.

Acknowledgements

None.

Conflict of interest

The authors report no conflicts of interest. The authors alone are responsible for the content and writing of the paper.

References

Creative Commons Attribution License

©2017 Chalapathi, et al. This is an open access article distributed under the terms of the, which permits unrestricted use, distribution, and build upon your work non-commercially.