Submit manuscript...
MOJ
eISSN: 2575-9094

Drug Design Development & Therapy

Case Report Volume 1 Issue 1

A case study of osteochemonecrosis

Amal H Abuaffan, Salma N Hamza, Yousif I Eltohami, Shiraz Altigani

University Khartoum, Faculty of dentistry, Sudan

Correspondence: Amal H Abuaffan University Khartoum, Faculty of dentistry, Sudan

Received: September 03, 2016 | Published: February 7, 2017

Citation: Abuaffan AH, Hamza SN, Eltohami YI, et al. A case study of osteochemonecrosis. MOJ Drug Des Develop Ther. 2017;1(1):8-10. DOI: 10.15406/mojddt.2017.01.00002

Download PDF

Introduction

Bisphosphonate‐Related Osteochemonecrosis of the Jaws (BRONJ) described by the American Association of Oral and maxillofacial surgeons as "the presence of non-healing exposed bone in the maxilla or mandible that has persisted for more than 8 weeks in a patient who has received a systemic bisphosphonate but has not received local radiation therapy.1" Garcia Saenz and Taruella defined ONJ as the presence of pain, halitosis, soft-tissue swelling, gingival bleeding and infection, with or without dysesthesia of the jaws.2 Bisphosphonates are powerful inhibitors of osteoclastic activity, analogues of inorganic pyrophosphates and have a high affinity for hydroxyapatite crystals.3,4 Pamidronate and zoledronate are nitrogen-containing bisphosphonates, more powerful and not metabolized. Therefore, they accumulate in bone and have an enduring effect that result in bone necrosis.5–8 Invasive dental procedures; poor oral hygiene, corticosteroid therapy and radiation therapy, were the main risk factors for osteonecrosis of the jaw.9

Case report

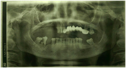
Over 60 year-old Sudanese woman knowledgeable with jaw problems initiate 12 months ago with spontaneous deep pain in the maxilla at the buccal left side. Her dentist referred her to the department of Oral Surgery, Khartoum Teaching Dental Hospital, when he identifies an extended exposed bone with pus discharge. The patient mentioned that over the 7 preceding months, she developed severe pain combined with episodes of swelling in the palate, discharge from bridge in left side of the upper jaw that extend from the upper central incisors to the first permanent molar in addition to halitosis.10 The past medical history she is adiabatic; had breast cancer and experience a wide local excision and auxiliary clearance 3 years ago. A six cycle chemotherapy regime was given since 2012. And 7 months ago bone scan confirmed skeletal metastasis in the vertebral column (Figure 1) and 12 cycle chemotherapy regime was given on 2016 (Zometa 4mg/month) intravenously.11 The intraoral examination revealed; marked halitosis, swelling in the palate which tender and discharge (blood + pus) on pressing, mobile bridge, mobility grade 3 in 26 and a large bony defect (yellowish exposed bone) in the upper left quadrant of the maxilla mainly involving the buccal alveolus under bridge (Figure 2). No extra oral findings were detected. Orthopantomogram view showed detected an osteolytic region in the maxilla left side (Figure 3) and C.T scan detected left maxillary mucosal thickening with nasal mucosal thickening (Figure 4). Incisional biopsy under local anesthesia was carried out with a segment of palatal mucosa adjacent to the necrotic bone.12 The pathology report showed only (mucositis) inflammation with no evidence of ulceration or neoplasia. Ciprofloxacin 500mg was prescribed for one month together with Chlorhexidine mouth wash. An isolation of the sequestrum, with mobility of the 26 tooth was obtained. It was decided to remove the left maxillary first molar and sequestrum conservatively.

Figure 1 Shows the Bone scan of the patient 7 months ago.
Figure 2 Shows pretreatment intraoral view (Yellowish exposed bone in the upper left side of maxilla).
Figure 3 (Panoramic view showing the extension of lesion in the maxillary left side).
Figure 4 Shows Axial cut of C.T scan.

Discussion

Nowadays the prognosis and evolution of ONJ are still unclear - many cases may heal totally, while others may evolve into fractures of the jaw bone and fistula with other devastating complications. The American Association of Oral and Maxillofacial Surgery mentioned that the treatment duration of ONJ and the route of administration of bisphosphonate have an important role in the proliferation of the lesion. The intravenous form of bisphosphonate is especially concerned but also the oral form associated to invasive dental surgery that can contribute as a risk factor.13

The onset of ONJ is related to the potency, frequency, and duration of the specific bisphosphonate used.14 Intravenous bisphosphonates compared to oral bisphosphonates have a poor prognosis; Zoledronic acid is considered the most potent bisphosphonate and is administered at the recommended dose of 5mg/month, which may produce ONJ within three to twelve months.15 Intravenous bisphosphonates have produced bisphosphonates-induced osteonecrosis of the jaws (BIONJ) in patients who have received as little as to doses.16 Co morbidity factors of ONJ are divided into 2 categories, dental (occlusal trauma, acute periodontitis) and medical factors such as chemotherapy, steroids, and methotrexate. Acquaintance of these factors will help specialists to establish a strategy to improve the prognosis of ONJ and even to prevent it.

Conclusion

Osteochemonecrosis of the jaw associated to bisphosphonate is a severe complication for patients undergoing bisphosphonate treatment. Until now no consensus was established for the prevention or treatment of Osteochemonecrosis, and the main objective remains the control of pain and inflectional symptoms.

Acknowledgements

None.

Conflict of interest

The author declares no conflict of interest.

References

  1. American Dental Association council on scientific affairs. Dental Management of patients receiving oral bisphosphonate therapy: expert panel recommendations. J Am Dent Assoc. 2006;137(8):1144–1450.
  2. Garcia Saenz JA, Tarruella SL. Osteonecrosis of the jaw as an adverse bisphosphonate event: Three cases of bone metastatic prostate cancer patients treated with zoledronic acid. Med Oral Patol Oral Chir Buccal. 2007;12(5):351–356.
  3. Fleisch H. Bisphosphonates: mechanisms of action. Endocr Rev. 1998;19(1):80–100.
  4. Russell RG, Croucher PI. Bisphosphonates: pharmacology, mechanisms of action and clinical uses. Osteoporos Int. 1999;9(Suppl) 2:S66–80.
  5. Ruggiero S L, Mehrotra B, Rosenburg T J, et al. Osteonecrosis of the jaws associated with the use of bisphosphonates: a review of 63 cases. J Oral Maxillofac Surg. 2004;62(5):527–534.
  6. Melo M D, Obeid G. Osteonecrosis of the maxilla in a patient with a history of bisphosphonate therapy. J Canadian Dent Assoc. 2005;71(2):111–113.
  7. Marx R E. Pamidronate (Aredia) and Zoledronate (Zometa) induced avascular necrosis of the jaws: a growing epidemic. J Oral Maxillofac Surg. 2003;61(9):1115–1117.
  8. Thorn JJ, Hansen HS, Specht L, et al. Osteoradionecrosis of the jaws: clinical characteristics and relation to the field of irradiation. J Oral Maxillofac Surg. 2000;58(10):1088–1093.
  9. Dixon RB, Tricker ND. Bone turnover in elderly canine mandibles and tibia. J Dent Res. 1997;76:25–79.
  10. Robinson NA. Bisphosphonates- A word of caution. Ann Aca Med Singapore. 2004;33(4 Suppl):48–49.
  11. Senel F, Duman M. Jaw bone changes in rats after treatment with zoledronate and pamidronate. Oral Surg Oral Med Oral Pathol Oral Radiol Endod. 2010;109(3):385–391.
  12. Grant BT, Amenedo C, Freedman K, et al. Outcomes of placing dental implants in patients taking Oral Bisphosphonates: A review of 115 cases. J Oral Maxillofac Surg. 2008;66(2):223–230.
  13. American Dental Association council on scientific affairs. Dental Management of patients receiving oral bisphosphonate therapy: expert panel recommendations. J Am Dent Assoc. 2006;137(8):1144–1150.
  14. Merigo E, Manfredi M, Vescovi P. Jaw bone necrosis without previous dental extractions associated with the use of bisphosphonates(pamidronate and zoledronate): a four- case report. J Oral Pathol Med. 2005;34(10):613–617.
  15. Marx RE, Sawarati Y. Bisphosphonate-induced exposed bone (osteonecrosis/osteopetrosis) of the jaws: Risk factors, recognition, prevention, and treatment. J Oral Maxillofac Surg. 2005;63(11):1567–1575.
  16. Robert E Marx, DDS. Oral and Intravenous bisphosphonate- induced osteonecrosis of jaws: history, etiology, prevention, and treatment. Ann R Coll Surg Engl. 2009;91(5):446.
Creative Commons Attribution License

©2017 Abuaffan, et al. This is an open access article distributed under the terms of the, which permits unrestricted use, distribution, and build upon your work non-commercially.