Submit manuscript...
MOJ
eISSN: 2574-8130

Gerontology & Geriatrics

Case Report Volume 3 Issue 3

Proximal third esophageal peptic stricture in an elderly patient: a case report and review

Edgar Meza F lix, Pamela Navarro Hernandez, Noe Israel Cano Zepeda, Fernando Perez Aguilar

Gastrointestinal Endoscopy Resident, National Autonomous University of Mexico, Mexico

Correspondence: Edgar Meza Felix, Gastrointestinal Endoscopy Resident, National Autonomous University of Mexico, ISSSTE Hospital General Fernando Quiroz Guti, Tel 01525272-52-63

Received: May 17, 2018 | Published: June 15, 2018

Citation: Félix EM, Hernandez PN, Zepeda NIC, et al. Proximal third esophageal peptic stricture in an elderly patient: a case report and review. MOJ Gerontol Ger. 2018;3(3):259-262. DOI: 10.15406/mojgg.2018.03.00128

Download PDF

Abstract

An esophageal stricture is any abnormally stenotic segment of the esophagus.1 There are various causes of esophageal strictures, the most frequent is peptic stricture secondary to GERD (Gastroesophageal Reflux Disease) but also there are other conditions than lead to esophagus to narrowing. We present a case of proximal third esophageal peptic stricture, in an elderly patient who was treated with wire-guided polyvinyl bougies (Savary-Gilliard dilators). The main symptom was dysphagia.

The etiology of esophageal stricture can usually be identified using radiologic modalities and can be confirmed by endoscopic visualization. Esophageal dilation has been used as the first choice treatment modality for esophageal stricture. We performed UGE (Upper Gastrointestinal Endoscopy) and treatment with wire-guided polyvinyl bougies (Savary-Gilliard dilators).The main complications related to esophageal dilation are perforation (0.1%–0.4%) and bleeding (0.3%). Treatment should be individualized and it is important to improve the quality of life in patients with esophageal stricture.

Introduction

An esophagus stricture is any abnormally stenotic segment of the esophagus.1 These strictures results relevant because of negative impact on the quality of life, essentially due to dysphagia that leads to patient to complications such as aspiration and malnutrition. The most frequent is peptic stricture secondary to reflux esophagitis but there are other conditions than lead to esophagus to narrowing.

Some papers reports that the overall incidence of new and recurrent esophageal strictures have decreased by 10% and 30%, respectively, over the last decade. However, it appears to be an increase in malignant strictures related to esophageal cancer, especially at the gastroesophageal junction.2

Esophageal strictures are classify classically into two groups (1) benign and (2) malignant, but Andolfi C, et al. also grouped into the three following categories: (1) intrinsic diseases (inflammation, fibrosis, or neoplasia); (2) extrinsic diseases (direct invasion or lymph node enlargement); and (3) diseases that disrupt esophageal peristalsis and/or lower esophageal sphincter (LES) function.

Case report

Male, 63 years old, arrives to gastrointestinal endoscopy service, with history of solids dysphagia since 3 years ago, it only has a medical history of gastroesophageal reflux disease (GERD) 3 years ago, with sporadic symptomatic treatment with proton pump inhibitors.

Dysphagia was progressive, till only being feed with liquated food, it arrives to our service to perform an Upper Gastrointestinal Endoscopy (UGE).

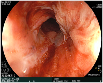
An UGE was performed, with PENTAX Pediatric video endoscope, a stricture of 80% of the lumen was visualized at proximal third esophagus, the length of 1cm, with no pass through of the scope. The final diagnosis was a Complex proximal third esophageal peptic stricture.

The endoscopic treatment was with wire-guided polyvinyl bougies (Savary-Gilliard dilators), a total of three session of wire-polyvinyl bougies were performed. First one with 6mm, 7mm and 9mm dilator. Posteriorly was discharged home, with clinical improvement and tolerance to liquids and solids. Second EGD was performed in the next 15 days to previous dilation, was introduced consecutively 7mm, 9mm and 11mm dilator. And finally another UGE was performed within 6 days, the patient refers solids dysphagia, thus we introduced 9mm, 11mm and 12.8mm dilatator.

Patient was discharged home with adequate food intake, PPI dose was increases to top, and no dysphagia was refered. We kept a close surveillance and scheduled UGE.

Discussion

Etiology of esophageal strictures

There are various causes of esophageal stricture (inflammatory, neuromuscular and/or iatrogenic causes), and usually some conditions are multifactorial in origin.

Benign etiologies include peptic stricture, Schatzki’s ring, anastomotic stricture, caustic ingestion, and radiation. Less commonly strictures secondary to pill-induced esophagitis, sclerotherapy or infectious esophagitis are described.

The formation of benign strictures of the esophagus is believed to be caused by the production of fibrous tissue and deposit of collagen stimulated by deep esophageal ulceration or chronic inflammation.3

Peptic stricture is the most frequent benign etiology (70% to 80%),4 result from the presence of chronic GERD and usually occur in the distal esophagus within 4 cm of the squamocolumnar junction. The etiology of a Schatski’s ring remains vague, it has been described different theories about origin of the ring that include (a) the ring is a pleat of redundant mucosa that forms when the esophagus for unknown reasons shortens transiently or permanently, (b) a congenital etiology, (c) the ring is a short peptic stricture related to GERD, and (d) the ring is the result of pill-induced esophagitis.

Malignant etiologies. Approximately 20–30% of esophageal strictures are due to malignancy. Malignant stricture can be group into intrinsic or extrinsic etiology, usually the most common is an intrinsic growth from tumor. Extrinsic cause is lymphadenopathy or lung cancer that compresses the esophagus.

Diagnosis

A complete history and description of the patient’s symptoms will guide the examiner to the diagnosis in up to 80% of cases.2 The main symptom is dysphagia to solids, liquids, or both. Patients with peptic strictures may also present symptoms related to GERD. Atypical presentations include chronic cough and asthma secondary to aspiration of food or acid.

A barium esophagram and endoscopy plays an important role for diagnosis. A barium esophagram provides an objective evidence of the esophageal anatomy before any intervention, it provides information about location, length, and diameter of the stricture and possible irregularities of the esophageal wall. However endoscopy is the gold standard to evaluate dysphagia. It allows to inspect the entire esophagus and upper GI tract, accurately identify the location and appearance of a stricture, perform tissue sampling, and immediately treat a stricture.

Treatment

Traditionally the treatment to benign esophageal strictures has been dilation, esophageal dilation is not as effective in the management of malignant strictures as a single intervention.

Common indication to esophageal dilation now a days is peptic stricture despite the use of PPI. The use of proton pump inhibitors only improved the time free from dilatation. Contraindication to esophageal dilation are recent or acute esophageal perforation, the presence of a bleeding diathesis, severely compromised pulmonary function, severe or unstable cardiac disease, or in patients with large thoracic aortic aneurysms relatively contraindicate esophageal dilation.

Esophageal strictures can be structurally categorized into two groups: simple and complex. Simple strictures are those that allows the passage of an endoscope and are otherwise short and focal. Complex strictures are those that are angulated, long (>2 cm), irregular, or have a severely narrowed luminal diameter. Often, these complex strictures are refractory to dilation therapy.

Esophageal dilation generally involves esophageal bougi­nation, balloon dilation, and stent insertion. The type of dilation technique is dependent on many factors, such as stricture characteristics, patient tolerance, and experience. The type of procedure should be tailored individually.

The mainstay of therapy for symptomatic benign esophageal strictures is dilation with the primary intent of relieving dysphagia. Simple strictures have an adequate response to esophageal dilation with most requiring 1–3 dilations to alleviate symptoms, wheras initial dilatation results in symptoms relief, recurrent strictures can occur in up to 35% of patients.5,6

The use of esophageal dilation was described as early as the seventeenth century when a piece of carved whalebone with a sponge attached to the distal end was used in patients with achalasia.5

Three general types of dilators currently are in use. These include (1) Mercury-filled bougies (Maloney or Hurst dilators): are reasonable for uncomplicated strictures with an initial diameter of greater than 10 mm. (2) Wire-guided polyvinyl bougies (Savary-Gilliard dilators) are stiff dilators appropriate for strictures 5 to 20 mm in diameter and are best suited for long, tight strictures. Fluoroscopy is typically needed to assess guidewire placement. (3) Through-the-scope balloon dilators allow visualized placement and dilation. Although more expensive, balloon dilation seems to result in safe management of more complicated and tighter strictures with fewer sessions and a lower recurrence rate.

The complications associated with dilatations are perforation (0.1%–0.4%) and bleeding (0.3%).7 The “rule of threes” generally is accepted and applied to dilation therapy with Savary-type dilators, no greater than three consecutive dilators should be passed in a single session or if the resistance is felt in bougi­nation, the risk of perforation is reduced by not sequentially expanding more than three times.8

The role of surgery in benign stricture is largely limited to ant reflux procedures to manage the GERD that is etiologic in most benign strictures (Figure 1-5).

Figure 1 proximal third esophageal peptic stricture endoscopic view.

Figure 2 Proximal third esophageal peptic stricture endoscopic view.

Figure 3 Proximal third esophageal peptic stricture endoscopic view.

Figure 4 Savary miller dilator.

Figure 5 Savary miller dilator.

Conclusion

  1. The esophageal strictures have a negative impact in the quality of life of the patients.
  2. The dysphagia is the main symptom of the esophageal stricture. The most frequent cause is GERD, however the frequency of the cancer like a cause for esophageal stricture is rising.
  3. Today the gold standard for the diagnosis is the upper gastrointestinal endoscopy. Nevertheless the radiologic images with contrast medium could show relevant information for the anatomy.
The upper gastrointestinal endoscopy gives us a wide broad of therapeutic options for the esophageal stricture, independent of their origin, with a high grade of success and low morbidity. For this reason the treatment must be individualized for each patient.

Acknowledgment

None.

Conflict of interest

Author declares that there is no conflict of interest

References

Creative Commons Attribution License

©2018 Félix, et al. This is an open access article distributed under the terms of the, which permits unrestricted use, distribution, and build upon your work non-commercially.