Submit manuscript...
MOJ
eISSN: 2574-8130

Gerontology & Geriatrics

Case Report Volume 4 Issue 1

Subcapsular hepatic hematoma as a complication associated with ERCP: presentation of a case in a geriatric patient

Héctor Miguel Angulo Gutiérrez, Edwin Leopoldo Maldonado Garcia, Mario Alberto Ortiz Ruiz, María Violeta Margarita Madrigal Pérez

Resident General Surgery UMAE 25, Mexican Institute of Social Security Monterrey Nuevo Léon, Mexico

Correspondence: Héctor Miguel Angulo Gutiérrez, Resident General Surgery UMAE 25 Mexican Institute of Social Security Monterrey Nuevo Léon, Fidel Velásquez Sn Colonia Nueva Morelos, Mexico, , Tel 667224259

Received: January 06, 2019 | Published: January 18, 2019

Citation: Gutiérrez HMA, Garcia ELM, Ruiz MAO, et al. Subcapsular hepatic hematoma as a complication associated with ERCP: presentation of a case in a geriatric patient. MOJ Gerontol Ger. 2019;4(1):32-34. DOI: 10.15406/mojgg.2019.04.00173

Download PDF

Abstract

Introduction: A 68-year-old female patient who began her condition with the presence of transfictive pain in the epigastrium, presenting pancreatitis diagnosed by tomographic, clinical and biochemical parameters, and later performing endoscopic retrograde cholangiopancreatography, subsequently with data compatible with hepatic sub capsular hematoma by tomography, in addition to presenting bilateral pleural effusion, the treatment of the hematoma was purely conservative. Radiological follow-up was performed during the following two weeks, evidencing progressive hemolysis of the hematoma.

Discussion: Hepatic sub capsular hematoma is a rare complication of endoscopic retrograde cholangiopancreatography. The presentation of this type of complications is infrequent and little reported in literature, the exact mechanism by which it can occur is not yet known, however in several reports it is thought that the metallic guide produces accidental injury of a hepatic blood vessel and, consequently, produces a bleeding that accumulates under the hepatic capsule, producing pain in the right hypochondrium due to the distension of the same. In addition to the pain, the drop-in hemoglobin is a suspicion of this condition. In this case, the patient presented with hypovolemic shock, presenting prerenal kidney injury requiring renal replacement management, was managed with crystalloid solutions, blood transfusion, conservative management and serial tomographic controls. In addition to having a bilateral pleural effusion that did not merit interventionist management. The treatment of the hematoma reported by the majority of authors has been conservative with restitution of blood loss and volume, surgical treatment is reserved for cases with patient deterioration, hemodynamic instability and data of peritoneal irritation that can lead to a broken hepatic hematoma.

Conclusion: The pathology of hepatic sub capsular hematoma is a rare complication of endoscopic retrograde cholangiopancreatography that its management will require supportive management and only merits surgical management if it ruptures.

Keywords: endoscopic retrograde cholangiopancreatography, sub capsular hematoma, pancreatitis

Introduction

There are some reports in literature about complications of hepatic sub capsular hematoma due to endoscopic retrograde cholangiopancreatography, there have been more than 30 cases1-6 in international literature, among the most common complications associated to this procedure are , pancreatitis cholangitis, perforation and hemorrhage, We present the case of a 68 year old female with the diagnosis of pancreatitis, who during treatment was submitted to a endoscopic retrograde cholangiopancreatography (ERCP).

Clinical presentation

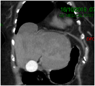
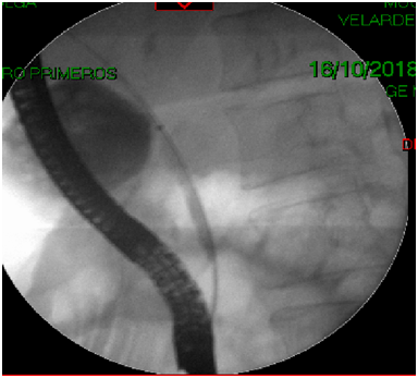
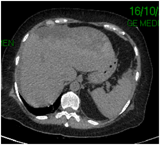
68-year-old female with presence of secondary hypothyroidism 8 years of evolution in treatment with levotiroxin, systemic hypertension 2 year of evolution treated with losartan, thyroidectomy 8 years ago, c-sections 243 and 38 years ago, the patient denies the use of alcohol or tobacco. Initiates with sudden transitive pain in epigastrium, vomiting several times, undergoing imaging and laboratory tests diagnosing pancreatitis its determined that the patient is in need of a ERCP, which is performed at a private institution, during the procedure the major duodenal papilla is identified anatomically normal but without bile output with multiple cannulation attempts (Figure 1), continuing with procedure applying contrast appreciating two gallstone suggesting images in distal choledocus which measures 9 mm in diameter (Figure 2) with a probable stenotic area in the distal portion, a wide sphincterotomy is performed with posterior passing of extraction balloon doing multiple sweeps obtaining two 7 mm gallstones due to said area of stenosisa 10 fix 10 cm stent is placed towards the right hepatic duct. After the procedure the patient presents moderate to intense pain in right hypochondrium alongside hypotension, administrating crystalloids and vital sing stabilization ordering CT scan where a sub capsular collection is visualized, varying heterogenicity from 600 to 20 HU, highly suggestive of a serohematic component with approximate size of 17 by 13.8 by 6.5 cm, with approximate volume of 820 cc (Figure 3) (Figure 4) with diagnosis of a probable subcapsular hematoma, with later presentation of acute kidney failure requiring temporary renal substitution therapy, once she was hemodynamically stable its moved to our unit to continue treatment, taking laboratory exams determining hyperbilirubinemia, due to conjugated bilirubin and elevated liver enzymes, deciding to do new CT scan where a 20% diminution of hematoma size is appreciated and adding pleural effusion to the findings deciding to give a conservative management, eight days later performing control ultrasound finding hematoma with a tendency to re absorption .

Figure 1 Endoscopic retrograde cholangiopancreatography: Canned oddi sphincter.

Figure 2 Fluoroscopy with introduction of the guide.

Figure 3 Coronal tomography showing the hepatic hematoma.

Figure 4 Axial tomography showing the hepatic hematoma.

Clinically patient had normocytic normochromic anemia, besides abdominal pain in right hypochondrium respiratory distress due to bilateral pleural effusion which was treated with supplementary oxygen The treatment of the hematoma was merely conservative with strict follow up of hemodynamic and respiratory patterns, blood and plasma transfusions and wide spectrum antibiotics, pleural effusion did not merit invasive management, radiological follow up was performed during the following weeks noticing progressive hematoma reabsorption

Discussion

Hepatic sub capsular hematoma is a rare complication of ERCP, presentation of this type of complications is uncommon and rarely reported in literature7-9, the exact mechanism of production is yet unknown, however in several reports it is thought that the metallic probe produces and accidental injury to a hepatic blood vessel, which produces blood loss underneath the hepatic capsule consequently producing pain by stretching of said hepatic layer, pain along with hemoglobin drop is a highly suggestive of this condition, in this case the patient went through hypovolemic shock that conditions acute kidney injury requiring temporary renal substitution therapy, imaging findings confirmed the clinical suspicion, the patient did not present peritoneal irritation signs however with hemodynamic instability in the acute phase, continuing with conservative management when hematoma integrity was demonstrated, the hepatic sub capsular hematoma treatment reported by most authors has been conservative with restitution of blood loss and volume, surgical treatment is reserved for cases with clinical hemodynamic instability and peritoneal irritation that suggest rupture of the hematoma.

Conclusion

The importance of this particular case is to report a highly infrequent entity due to the small amount of cases reported around the world, once it presents it poses a great danger to the patient’s life depending on the amount of blood in the hematoma and the hepatic capsule rupture that would condition a higher blood loss and acute abdomen sings due to the peritoneal irritation caused by the blood on the abdominal cavity, the conservative management requires radiological controls and strict patient follow up. We conclude that said complication should be considered after the procedure if the symptoms are present.

Acknowledgments

None.

Conflict of interest

No conflict of interest has been declared by the author.         

References

Creative Commons Attribution License

©2019 Gutiérrez, et al. This is an open access article distributed under the terms of the, which permits unrestricted use, distribution, and build upon your work non-commercially.