Case Report Volume 5 Issue 6
1Department of Orthopaedic Surgery, University of Porto, Portugal
2Cl
Correspondence: Rita Grazina, Department of Orthopaedic Surgery at Centro Hospitalar de Vila Nova de Gaia/Espinho E.P.E. Portugal; Rua Francisco S Carneiro, s/n, 4400-129 Vila Nova de Gaia, Portugal, Tel 00351 910900425
Received: July 29, 2016 | Published: October 3, 2016
Citation: Grazina R, Andrade R, Marinhas J, Santos F, Costa A, et al. (2016) Massive Hemothorax after Posterior Correction Surgery of Adolescent Idiopathic Scoliosis: A Case Report. MOJ Orthop Rheumatol 5(6): 00201. DOI: 10.15406/mojor.2016.05.00201
Hemothorax is a rare complication of postoperative correction of adolescent idiopathic scoliosis (AIS), with an incidence of 0,1%. It is mostly related to thoracoplasty or misplaced pedicle screws. The authors describe the clinical case of a 15-year-old girl who developed a massive hemothorax after AIS surgical correction and fusion.
Fifteen-year-old girl with a Lenke type 6BN scoliosis who underwent posterior correction and fusion surgery with selective pedicle screw construct between D5 and L4 was carried without complications. Twenty-four hours after the procedure, the patient developed pleuritic chest pain and type 1 respiratory failure with hypoxemia (69 mmHg). The thoracic roentgenogram showed a left-sided pleural effusion, confirmed by the CT scan. Neither CT nor angio-CT imaging showed an evident haemorrhagic source or misplacement of pedicle screws.
A chest tube was inserted with immediate drainage of 800 mL of blood and 100 mL more during the following 12 hours. In this case, the complication seems to have been due to the use of a Gelpi retractor with invasion of the intercostal space. Alternatively, an intercostal artery might have been injured during the procedure, going unnoticed by the surgical team. Even though this is a very rare complication, it is important to be aware of its existence, not only to perform a quick diagnosis, but also to avoid it.
Keywords: Scoliosis, Hemothorax, Surgery, Roentgenogram, Thoracic, CT, Pleuritic
AIS, Adolescent Idiopathic Scoliosis; CT, Computer Tomography
Posterior spine correction and fusion for AIS is considered a safe procedure and is currently the gold-standard in the treatment of progressive curves. Nevertheless, both neurologic and non-neurologic complications may occur.1,2 Lung complications are rare, being reported in 0.9% of cases. In this sense, hemothorax complications occur in only 0.1% of surgical procedures.3-5 Hemothorax typically results from medical procedures, such as central venous line insertion and thoracentesis. When occurring in a postoperative context, it is usually related to thoracoplasty and misplaced pedicle screws.1,5
A 15-year-old girl was referred to our orthopaedic department due to spine deformity and lumbar pain. Physical examination showed a right rib hump and shoulder asymmetry. The radiographic study showed a curve type 6BN of Lenke, with a left lumbar curve centred in L2 and a Cobb angle of 43º and a right thoracic curve centred in T8 and a Cobb angle of 25º. The patient was proposed for surgery, undergoing a posterior correction and fusion surgery with a pedicle screw selective construct between D5 and L4. During the procedure there was no evidence of pedicle screw misplacement.
A rod was placed on the concave side of the main curve and, along with a reduction maneuver allowed for partial curve correction. The same procedure was carried with the contralateral rod with subsequent derotation cluster maneuver.1,3 The patient remained hemodynamically stable during the whole procedure and the postoperative thoracic roentgenogram lacked pleural or parenchymal alterations. Nevertheless, due to intraoperative blood loss, two units of red blood cells were transfused, achieving postoperative haemoglobin of 12.5 g/dL.
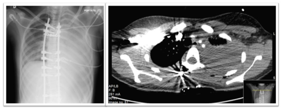
Twenty-four hours after the surgery the patient started to complain of thoracic pain with pleuritic characteristics. A blood gas analysis without oxygen supply was carried showing a hypoxemia with an arterial partial pressure of oxygen of 69 mmHg and a two-unit drop on haemoglobin. A new thoracic roentgenogram was carried and showed a massive hemothorax, which was confirmed by CT imaging. Angio-CT imaging allowed excluding pulmonary thromboembolism. Misplacement of pedicle screws was also excluded by the original CT scan (Figure 1&2).
Figure 2 On the left: thoracic roentgenogram showing a left white lung. On the right: CT image showing massive hemothorax.
A chest tube was inserted with immediate drainage of 800 mL of blood. During the following 12 hours, 100 mL more were drained. Another CT scan was performed in order to confirm the position of the chest tube. All the clinical and analytical manifestations were solved after the chest tube insertion (Figure 3&4).
Pulmonary complications after AIS correction surgery are rare. A study with 702 AIS patients reported only 10 respiratory complications. These complications do not seem to be related to factors like Lenke curve type, region of the major curve or even the number of instrumented levels. Among those complications, hemothorax is a quite rare one. The most commonly described causes of hemothorax after posterior correction and fusion surgery are thoracoplasty and misplaced pedicle screws.1,5 Pedicle screw fixation is considered as gold standard procedure in which concerns the spinal deformity correction2,6 (Figure 1).
According to Hicks et al.2 the risk of complications is higher when approaching the thoracic spine, as the pedicles are smaller. Moreover, thoracolumbar vertebral bodies lie very closely to visceral organs.5The most commonly reported complication is, actually, screw misplacement, whose real incidence might be around 15%, confirmed by CT scan. Studies that use radiographies alone seem to underestimate this incidence.2,7
Not only the malposition but also an inadequate length of the screw may cause damage to the structures nearby, as a long screw might cause damage to the oesophagus, pleura or lung.5 However, the need for reoperations due misplacement is only 0.6%, allowing to conclude that, most of the times, screw malposition does not warrant damage to the surrounding structures.2 As a matter of fact, according to Gautschi et al.5 Review, only two visceral complications were reported after the placement of 35 630 pedicle screws in 5654 patients. In this specific case, thoracoplasty has not been performed and imaging studies failed to confirm any misplacement of the screws. A plausible source for the haemorrhage might be the use of a Gelpi retractor.
The Gelpi retractor is a helpful tool that allows a better surgical exposure at the same time that limits the retraction-associated damage to the paravertebral muscles, but its sharp tips may be associated with pleural damage in this case.1 Another hypothesis to take into account is the possible injury to an intercostal artery during instrumentation that might have gone unnoticed during the procedure. Intercostal arteries supply the posterior part of the pleurae and they run posteriorly along the ribs. As imaging excludes a conflict with the screws, a lesion to one of those vessels might have happened during probing.3
Surgical correction of scoliosis is a major procedure, so every attempt should be done in order to minimize post-operative complications. The knowledge of the possible complications, even the rarest ones, allows an earlier diagnosis and treatment with a consequent better outcome for the patient. This specific case alerts for the possibility of a rare but potentially lethal complication, whose early recognition is of vital importance.
Although rare, hemothorax is an important and severe complication that can arise from posterior spine instrumentation. Surgeons must be aware of its existence in order to recognize and treat it in time and, above all, to avoid it. This case report shows the need for a multidisciplinary approach in the treatment of such complications.
None.
None.
©2016 Grazina, et al. This is an open access article distributed under the terms of the, which permits unrestricted use, distribution, and build upon your work non-commercially.