Submit manuscript...
MOJ
eISSN: 2374-6939

Orthopedics & Rheumatology

Research Article Volume 13 Issue 1

Radiological outcomes of the selective spinal fusion for lenke type 5C adolescent idiopathic scoliosis

Ghanshyam Kakadiya, Kalpesh Saindane, Viraj Gandbhir, Yogesh Soni, Kushal Gohil, Akash Shakya

Department of Orthopaedics, TNMC & BYL Nair Hospital, India

Correspondence: Ghanshyam Kakadiya, Spine Trainee Fellow, MS Orthopaedics, Department of Orthopaedics, TNMC & BYL Nair Hospital, Mumbai-400008, India, Tel +91- 777898481

Received: January 24, 2021 | Published: February 25, 2021

Citation: Kakadiya G, Saindane K, Gandbhir V, et al. Radiological outcomes of the selective spinal fusion for lenke type 5C adolescent idiopathic scoliosis. MOJ Orthop Rheumatol. 2021;13(1):6-9. DOI: 10.15406/mojor.2021.13.00538

Download PDF

Abstract

Objective: To determine the short term radiological outcomes of Lenke type 5C adolescent idiopathic scoliosis in terms of Cobb angle correction and coronal balance after selective posterior segmental spinal instrumentation with pedicle screws.

Methods: This retrospective cohort study was conducted in the department of Orthopaedic at tertiary care public hospital of Mumbai, India. The medical records of patients from 17th April 2015 to 29th October 2019 who underwent a selective spinal fusion with pedicle screws for Lenke type-5C adolescent idiopathic scoliosis were reviewed. Preoperative radiographs were evaluated for Cobb angle of the lumbar or thoracolumbar curve as well as a sagittal and lumbar modifier on anteroposterior and lateral standing films. The curve correction, implant density, number of segment fused and coronal balance was assessed on postoperative radiographs. The pre and postoperative comparison of important study variables was done and P-value was calculated with the help of the chi-square test. P-value <0.05 was considered statistically significant.

Results: The total number of patients was 34. Majority (94.1%, n=32) were females while only 2(5.9%) were males. The mean age at the time of operation was 14.35±2.19 years (range 8 to 19 years). Mean pre-operative and post-operative Cobb angles were 61.790±13.120 (range 400 to 850) and 10.550±8.710 (range 00 to 300) respectively (P-value 0.00). The mean percentage of curve correction and percentage of fulcrum flexibility was 83.35±13.07 % (range 55% to 100%) and 59.56%±15.07 (range 28.57% to 84.60%) respectively (P value 0.469). Mean implant density and fusion mass was 66.03±7.94% (range 53 to 79%) and 10.32±2.8 (range 7 to 15%) segments respectively. The coronal balance was achieved in all patients. No major complication was noted.

Conclusion: Near normal Cobb angle correction and coronal balance was achieved in all patients of Lenke type 5C adolescent idiopathic scoliosis treated with posterior segmental spinal instrumentation utilizing pedicle screws.

Keywords: adolescent idiopathic scoliosis, cobb angle, lenke type 5C, pedicle, spine

Introduction

Idiopathic scoliosis is a lateral deviation of the spine in excess of 10 degrees with no definite etiology, unlike congenital, neuromuscular, and syndromic types.1 Adolescent idiopathic scoliosis(AIS) accounts for about 85% of idiopathic scoliosis.2 Lenke type 5C is characterized by a single major structural curve in the thoracolumbar or lumbar spine accompanied by two non-structural minor curves.3 It has been reported that more than 50% of patients with Lenke type 5 AIS with a curve of more than 40 degrees showed progression after the age of 20years.4 Therefore surgery is indicated for a progressive curve of more than 40 degrees in Lenke 5 AIS.5 Both clinically and radiologically Lenke 5C AIS is associated with global coronal imbalance.4,5 Selection of the appropriate proximal and distal level of fusion has a direct impact on radiological outcomes in terms of curve correction and coronal balance.6 Various treatment options for AIS are exercise, brace, and surgery.7 Surgical options for Lenke 5 AIS are divided into anterior and posterior correction subtilizing different approaches.8 With a single rod-screw system through an anterior approach, excellent curve correction can be achieved with short fusion mass.9 However, disadvantages associated with the anterior approach are poor derotation, junctional kyphosis, and implant breakage.10 Due to the excellent pullout strength of the pedicle screws, the posterior approach provides excellent curve correction as well as better derotation.11 The objective of our study was to determine short term radiological outcomes of Lenke type 5C adolescent idiopathic scoliosis in terms of Cobb angle correction and coronal balance after selective posterior segmental spinal instrumentation with pedicle screws.

Methods and materials

We conducted this retrospective cohort study in the Department of Orthopaedic at the tertiary care public hospital of Mumbai, India. The medical records of all patients who were operated on in the time period extending from 17th April 2015 to 29th October 2019 for selective spinal fusion with pedicle screws for Lenke type 5C adolescent idiopathic scoliosis were reviewed. Patients of either gender and all ages with Lenke type 5C AIS with a complete record of a minimum of one year follow up were included in our study. All patients with congenital or neurological scoliosis and those having a history of spinal surgery, trauma, and infections were excluded. The study protocols were approved by the Ethical Committee of our hospital. Radiological evaluation included calculation of the preoperative and postoperative Cobb angle on standing posteroanterior (PA) radiographs, implant density, coronal balance, sagittal and lumbar modifier on standing posteroanterior and lateral views and fulcrum views. Curve flexibility was assessed by fulcrum bending radiographs which were taken by placing a patient in a lateral decubitus position over an appropriate padded cylinder.12 The coronal balance was measured in millimeters from the C7 plumb line and central sacral vertical line (CSVL) on postoperative standing posteroanterior radiographs. A value >20millimeters was taken as an imbalance. Following equations were used for documentation and interpretation of our results:

  • Correction rate Percentage: Preoperative Cobb angle-Postoperative Cobb angle×100/preoperative Cobb angle
  • Fulcrum flexibility percentage: Preoperative Cobb angle-Cobb angle on fulcrum films/ pre-operative Cobb angle
  • Implant density: Number of screws/Number of segment fused.

SSPSS version 21.0 was used for statistical analysis. Mean and the standard deviation was calculated for age, preoperative Cobb angle, postoperative Cobb angle, fulcrum flexibility percentage, correction rate, and implant cost. Chi-square test was applied for calculating the P-value of important study variables after comparison. P-value of <0.05 was considered for statistical significance. We reported our Cohort study per STROBE guidelines.13

Operative procedure

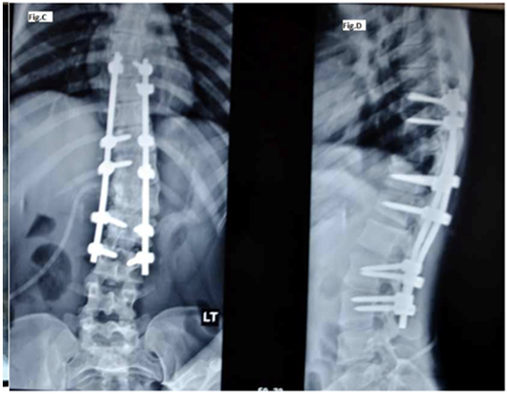
The medical record revealed that all operations were done by a single spinal deformity correction surgeon using an identical technique. The operative notes indicated that all procedures were done in a prone position on the radiolucent table under controlled hypotensive anaesthesia. Somato sensory evoked potential and motor evoked potential(Intraoperative neuromonitoring)was used during the procedure. A midline incision was given over the spinous processes and subperiosteal dissection was done to expose the pedicles and transverse processes. All pedicle screws were passed by freehand technique and confirmed by intraoperative imaging. Polynices Spine System was used for instrumentation. Two levels each at the upper and lower end of fusion mass were instrumented bilaterally followed by instrumentation of one vertebra at the apex on the convex side and two adjacent vertebrae on the concave side. Facet joints and spinouts process was excised to provide raw area as well as an autogenous bone graft for spinal fusion. Upper-end vertebrae (UEV) were neutral and lower end vertebrae (LEV) were stable. However, a final decision was dependent on the intraoperative alignment of the disc below LEV. If a level disc was achieved instrumentation was stopped at LEV otherwise instrumentation was extended to one level below. Pre-contoured rob was placed to correct the coronal and sagittal balance. The residual deformity was corrected by distracting the concave side and compressing the convex side of the deformity. The rotational deformity was corrected by the rod derotation method (Figure 1 & 2). The single drain was placed in a sub-fascial area which was removed on the first postoperative day and the patient was mobilized.

Figure 1 Preoperative standing PA and lateral radiographs of a 17 years old girl showing Lenke type 5C AIS curve.

Figure 2 PA and lateral radiographs of the same patient showing curve correction by selective spinal instrument with pedicle screws and rods.

Results

Total patients included in our study were 34. There were 32(94.1%) females and 2(5.9%) male patients. The mean age at the time of operation was 14.35±2.19years (8 to 19years). The mean follow-up duration was 35.58±16.33 months (range 12 to 40 months). Medical records revealed that mean pre-operative and postoperative curve angles were 61.790±13.120 (400to 850) and 10.550±8.710 (00 to 300) respectively (P-value 0.00). The mean percentage of curve correction and percentage of fulcrum flexibility was 83.35±13.07 % (r55% to 100%) and 59.56%±15.07 (28.57% to 84.60%) respectively. Mean implant density and fusion mass was 66.03±7.94% (range 53 to 79%) and 10.32±2.8 (range 7 to 15%) segments respectively. The mean Cobb angle of fulcrum view was 25.350±12.320 (range 100to 500). According to the sagittal modifier majority (50%, n=17) of patients had normal kyphotic balance followed by hypo kyphotic sagittal balance in 13(38.2%) and hyper kyphotic in 4(11.8%) patients. The coronal balance was achieved in all patients. Our patients had a mean hospital stay of 5.71±1.59 days (range 3 to 8days). The mean implant cost was 85082.3±16564.44 Indian rupees. There were no neurological complications or screw misplacement postoperatively.

Discussion

This retrospective cohort of 34 patients with Lenke type 5C treated by selective posterior segmental spinal fusion showed that excellent coronal correction and balance can be achieved with the limited number of pedicle screws thus minimizing cost and time of the procedure as well as pedicle screw related complications. The primary goal of surgical treatment of scoliosis is to achieve coronal and sagittal alignment as well as correcting the deformity and saving motion segments.14 There is a strong relationship between postoperative coronal balance and preoperative and postoperative lower instrumented vertebrae.15 Preoperative and postoperative Cobb angle in our series was61.790±13.120 (400 to 850) and 10.56±8.71 (0 to 30) respectively. The postoperative correction rate was 83.35±13.07% (55 to 100%) and the coronal balance was achieved in all patients. Our results are comparable with other studies reported in the literature. Shetty et al.16 in their 23 consecutive Lenke type 5C patients had mean preoperative and postoperative Cobb angle of 55.010±13.260and 15.190±8.910 respectively. They achieved a correction rate of in 72.3%, coronal balance in 19(82.6%), and coronal imbalance in 4(17.3%) patients. O'Donnell & Michael17 in their comparative analysis of radiological and clinical outcomes of posterior versus anterior fusion of Lenke type 5 scoliosis observed that posterior spinal fusion (PSF) had shorter operative time than anterior spinal fusion (ASF). However, the length of fusion, blood loss, and hospital stay were higher in posterior than anterior fusion surgery. Preoperative Cobb angle was larger in PSF than ASF group. Postoperative curve correction in PSF versus ASF was 66% and 62% respectively. Liu Z et al.18 in their series of 42 patients had noted that the correction rate was 75.6±8.5% and the Cobb angle improved from preoperative mean 46.80±4.80 to mean 13.30±2.60 postoperatively. Mean implant density in our study was 66.03±7.94% (range 53 to 79%) screws perfused segments. The Cobb angle correction was not found to be related to the number of screws per segment. Chen J et al.19 in a retrospective review of 39 patients noted a positive correlation between implant density and curve correction. Sariylimaz & Ozkunt20 in their comparative study and Tannous et al.21 in their retrospective study documented that curve correction in high versus low implant density had no significant correlation between Cobb angle correction and implant density. Our study had a few limitations such as the small number of patients and retrospective nature of our study design. Moreover, we did not evaluate patient-reported outcomes, procedure time, blood loss, and the relationship between upper and lower instrumented vertebrae, and coronal balance. We, therefore, suggest further studies to address all these limitations and verify our results.

Conclusion

Near normal Cobb angle correction and coronal balance was achieved in all patients of Lenke type 5C adolescent idiopathic scoliosis treated with posterior segmental spinal instrumentation utilizing pedicle screws. The high flexibility of the Lenke type 5 AIS curve makes it unique from other curves. As a result, excellent correction of the curve and coronal balance can be achieved with limited numbers of anchors thus minimizing cost, procedure time, and blood loss.

Acknowledgements

None.

Conflicts of interest

The authors declare there are no conflicts of interest.

Funding

None.

References

  1. Slattery C, Verma K. Classifications in Brief: The Lenke Classification for Adolescent Idiopathic Scoliosis. Clinic Orthop Relat Res. 2018;476(11):227–231.
  2. Li Z, Li G, Chen C, et al. The radiographic parameter risk factors of rapid curve progression in Lenke 5 and 6 adolescent idiopathic scoliosis: A retrospective study. Medicine. 2017;96(52):113–118.
  3. Zhang H, Hu X, Wang Y, et al. Use of finite element analysis of a Lenke type 5 adolescent idiopathic scoliosis case to assess possible surgical outcomes. Comput Aided Surg. 2013;18(3-4):84–92.
  4. Ilharreborde B, Ferrero E, Angelliaume A, et al. Selective versus hyperselective posterior fusions in Lenke 5 adolescent idiopathic scoliosis: Comparison of radiological and clinical outcomes. Eur Spine J. 2017;26(6):1739–1747.
  5. Samartzis D, Leung Y, Shigematsu H, et al. Selection of fusion levels using the fulcrum bending radiograph for the management of adolescent idiopathic scoliosisinpatients with alternatelevel pedicle screw strategy: Clinical decision-making and outcomes. PLoS One. 2015;10(8):345–351.
  6. Siderakis N, Rosado JP, Ariel Aguilar A, et al. Analysis of coronal balance and last level of arthrodesis in Lenke type 5 Idiopathic scoliosis:Specific radiographic parameters. Coluna/Columna. 2013;12(4):296–299.
  7. Nadeem U, Shah A, Zaman Au Z, et al. Selection of Lowest Instrumented Vertebra in the Management of Thoracolumbar and Lumbar Adolescent Idiopathic Scoliosis using Pedicle Screw Instrumentation. Global Spine Journal. 2016;6(1):553–560.
  8. Zhang Y, Lin G, Zhang J, et al. Radiographic evaluation of posterior selective thoracolumbar or lumbar fusion for moderate Lenke 5C curves. Arch Orthop Trauma Surg. 2017;137(1):1–8.
  9. Sun X, Qiu Y, Liu Z, et al. Interbody cage support improves reconstruction of sagittal balance after anterior selective fusion in Lenke type 5 idiopathic scoliosis patients. Orthop Surg. 2009;1(4):285–292.
  10. Liu Z, Guo J, Zhu Z, et al. Role of the upper and lowest instrumented vertebrae in predicting the postoperative coronal balance in Lenke 5C patients after selective posterior fusion. Eur Spine J. 2013;22(11):2392–2398.
  11. Luo M, Wang W, Shen M, et al. Anterior versus posterior approach in Lenke 5C adolescent idiopathic scoliosis: Ameta-analysis of fusion segments and radiological outcomes. J Orthop Surg Res. 2016;11(1):77–82.
  12. Cheung KM, Natarajan D, Samartzis D, et al. Predictability of the fulcrum bending radiograph in scoliosis correction with alternate-level pedicle screw fixation. J Bone Joint Surg. 2010;92(1):169–176.
  13. Vandenbroucke JP, von Elm E, Altman DG, et al. Strengthening the Reporting of Observational Studies in Epidemiology (STROBE): Explanation and Elaboration. PLoS Med. 2007;4(10):297–312.
  14. Li J, Hwang SW, Shi Z, et al. Analysis of radiographic parameters relevant to the lowest instrumented vertebrae and postoperative coronal balance in Lenke 5C patients. Spine. 2011;36(20):1673–1678.
  15. Wang F, Xu XM, Lu Y, et al. Comparative analysis of interval, skipped, and key-vertebral pedicle screw strategies for correction in patients with Lenke type 1 adolescent idiopathic scoliosis. Medicine. 2016;95(10):e3021.
  16. Shetty AP, Suresh S, Aiyer SN, et al. Radiological factors affecting post-operative global coronal balance in Lenke 5 C scoliosis. J Spine Surg. 2017;3(4):541–547.
  17. O'Donnell C, Michael N, Pan X, et al. Anterior spinal fusion and posterior spinal fusion both effectively treat Lenke type 5 curves in adolescent idiopathic scoliosis: Amulticenter study. Spine deform. 2018;6(3):231–240.
  18. Liu Z, Hu Zs, Qiu Y, et al. Role of clavicle chest cage angle difference in predicting postoperative shoulder balancein Lenke 5C adolescent idiopathic scoliosis patients after selective posterior fusion. Orthop Surg. 2017;9(1):86–90.
  19. Chen J, Yang C, Ran B, et al. Correction of Lenke 5 adolescent idiopathic scoliosis using pedicle screwinstrumentation: does implant density influence the correction? Spine. 2013;38(15):E946–E951.
  20. Sariyilmaz K, Ozkunt O, Karademir G, et al. Does pedicle screw density matter in Lenke type 5 adolescent idiopathic scoliosis? Medicine. 2018;97(2):e9581.
  21. Tannous OO, Banagan KE, Belin EJ, et al. Low-density pedicle screw constructs for adolescent idiopathic scoliosis: evaluation of effectiveness and cost. Global Spine J. 2018;8(2):114–120.
Creative Commons Attribution License

©2021 Kakadiya, et al. This is an open access article distributed under the terms of the, which permits unrestricted use, distribution, and build upon your work non-commercially.