Submit manuscript...
MOJ
eISSN: 2374-6939

Orthopedics & Rheumatology

Case Report Volume 1 Issue 2

Simultaneous peri-articular femoral osteotomy and total knee arthroplasty for treatment of osteoarthritis associated with a severe valgus deformity of >45°

Fahad Attar

Department of Orthopaedics, Lincoln County Hospital, UK

Correspondence: Fahad Attar, Department of Orthopaedics, Lincoln County Hospital, Lincoln, LN2 5QY, UK, Tel 44-0-1522573151, Fax 44-0-1522573830

Received: May 20, 2014 | Published: July 30, 2014

Citation: Attar F. Simultaneous peri-articular femoral osteotomy and total knee arthroplasty for treatment of osteoarthritis associated with a severe valgus deformity of >45°. MOJ Orthop Rheumatol. 2014;1(2):17-20. DOI: 10.15406/mojor.2014.01.00007

Download PDF

Abstract

Introduction & Case: A 76 year old woman presented with a painful, valgus right knee measuring 49°. She had a simultaneous peri-articular femoral osteotomy and total knee arthroplasty. Pre and post operative WOMAC and VAS scores were obtained.

Results: At 6 weeks, the patient was fully weight bearing without any aids; radiographs demonstrated bony union with good alignment. At one year, the patient was pain free, with a ROM of 0° to 110° without a quadriceps lag. There was a marked improvement in the WOMAC and VAS scores.

Conclusion: We believe that this operative technique in severely valgus knees allows for excellent correction of malalignment and aids soft tissue balance with good patient outcome.

Introduction

Primary total knee arthroplasty (TKA) in a knee with a severe valgus deformity is a challenging scenario for many surgeons. Approximately 10% of patients requiring TKA have a valgus deformity (defined as an anatomic valgus of >10°).1 Correction of the valgus deformity has produced variable clinical results in terms of correction of the deformity, instability, and the overall results. The valgus deformity consists of two components: an element of bone loss with metaphyseal remodeling, primarily from the lateral femoral condyle and lateral tibial plateau, and a soft-tissue contracture consisting of tight lateral structures (the iliotibial band, lateral collateral ligament, popliteus tendon, posterolateral capsule, and biceps femoris).

Some authors have recommended staging a corrective osteotomy before total knee arthroplasty in the knee with >15° of valgus deformity.2 Procedures including staged tibial osteotomy, extra-articular femoral osteotomy and simultaneous extra-articular femoral osteotomy and TKA have been described with various success rates.1,3,4 We report a case of a simultaneous peri-articular femoral osteotomy and a total knee athroplasty for a symptomatic severe valgus knee of >45°.

Case report

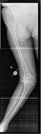
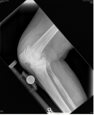
A 76 year old woman presented with a painful, valgus right knee which had progressively worsened over past 2 years. On clinical examination she had a marked valgus deformity of her right knee measuring 49° using a goniometer. Range of motion on examination was measured to be 5° to 100° with an extensor lag of 15°; the valgus deformity was not correctable on clinical examination. Radiographs confirmed a massive valgus deformity of the right knee with a bony defect in the lateral femoral condyle and lateral tibial plateau (Figure 1–3). The patient was consented to have a simultaneous peri-articular femoral osteotomy and total knee arthroplasty procedure in order to address the severe valgus deformity and osteoarthritis. The patient was informed that the data concerning her case would be submitted for publication and an informed consent obtained. Pre and post operative WOMAC and VAS scores were obtained.

Figure 1 Preoperative AP view of the knee.
Figure 2 Preoperative lateral view of the knee.
Figure 3 Preoperative PFJ view of the knee.

Surgical technique

The procedure was performed under spinal anaesthesia with the use of a tourniquet. Using a medial parapatellar approach, the patella was everted and the knee flexed to 90°. The proposed osteotomy site was marked at the junction of the metaphysis and diaphysis of the femur and a 30° medial closing wedge osteotomy performed using an oscillating saw. This osteotomy was stabilized with bone clamps throughout the remainder of the procedure. The distal femur cut was made using an extra-medullary alignment guide; the femoral canal was then progressively reamed to allow the use of a femoral stem and the AP cuts were made in a standard 3° of external rotation. This left a large defect in the lateral femoral condyle, which was curetted and bone grafted. Attention was then turned to the tibia, the medullary canal was progressively reamed for the diaphyseal fitting tibial stem, and an intra-medullary guide used to cut the medial plateau. The lateral tibial plateau was freshened with the saw, and this defect addressed with the use of a tibial augment. A trial was performed; PCL and popliteus were released in order to obtain a balanced resection. The implants were cemented in place.

The patella tracked laterally at the end of the procedure, despite patella resurfacing. In order to address this quadricepsplasty and vastus medialis oblique (VMO) advancement was performed, allowing compensation for the change in alignment from extreme valgus to neutral alignment; the patella tracked well following this. The range of motion at the end of the operation was 0° to 120°.

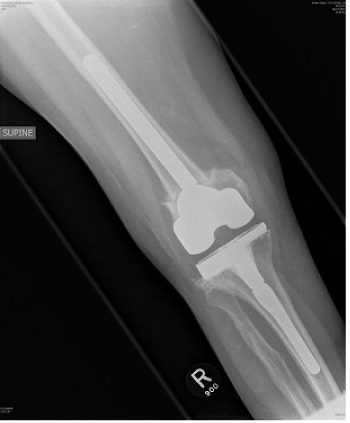
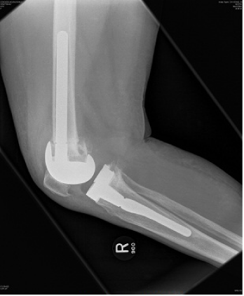
Post operatively, full ROM and full weight bearing was permitted from post-operative day two. By six week follow up the patient was fully weight bearing without any aids; radiographs demonstrated bony union at the osteotomy site with good alignment (Figure 4–6). At one year review, the patient was pain free, with a ROM of 0° to 110° without a quadriceps lag, and with clinically acceptable alignment (Figure 7). Pre and postoperative knee scores are listed in Table 1.

Figure 4 Preoperative alignment view of the leg.
Figure 5 Postoperative AP view of the knee.
Figure 6 Postoperative lateral view of the knee.
Figure 7 Postoperative PFJ view of the knee.

Pre-op

Post-op

Knee Score (Part1)

23

90

Knee Score (Part 2)

20

70

WOMAC (Symptoms)

15

85

WOMAC (Stiffness)

12.5

75

WOMAC (Pain)

13.9

80.6

WOMAC (Function)

17.6

91.2

WOMAC

15.9

81.3

SF (Physical)

34

57

SF (Mental)

23

57

Visual Analogue Score

10

3

Table 1 Pre-op and Post-op scores (at 1 year)

Discussion

Performing a TKA in the setting of a valgus deformity involves addressing a variety of issues, including contracted lateral capsular and ligamentous structures, laxity of the medial collateral ligament, contracted or lax posterior soft tissues, osseous deficiency of the lateral femoral condyle and/or tibial plateaus, external rotational deformity of the distal femur, secondary remodeling of the femoral and tibial metadiaphyseal region, and patellar maltracking.1 Despite advances in instrumentation, correcting a valgus deformity without relying on a constrained implant remains a particular challenge to most surgeons.2,3

Over the last twenty years, numerous approaches and soft-tissue procedures have been advocated.4–6 Whiteside recommended sequential releases of the iliotibial band, popliteus, lateral collateral ligament, and lateral head of the gastrocnemius, as well as a tibial tubercle transfer when the Q angle (the angle subtended by the quadriceps and patellar tendons) was >20°.6 Many authors have also recommended a lateral parapatellar approach be utilized in the valgus knee, allowing easier access to the contracted soft tissue structures.5–8 Soft tissue balancing can be especially difficult; medial soft tissue advancement is sometimes necessary9–11 whilst constrained femoral components may be necessary in severely valgus knees in which the ligamentous balancing is especially tenuous.6

Varus distal femoral osteotomy is indicated for some patients with isolated lateral compartment gonarthrosis with associated valgus deformity of the knee. The ideal patient has isolated lateral compartment arthritis with a moderate valgus deformity, is physiologically young, has an occupation or activity level that makes arthroplasty less appropriate, and has a normal body-mass index and satisfactory range of motion and stability of the knee.12 Often, there is a treatment dilemma regarding whether varus distal femoral osteotomy, total knee arthroplasty, or unicompartmental arthroplasty is most appropriate for such patients. Insight regarding the outcome of varus distal femoral osteotomy and the consequences with regard to the outcome of subsequent reconstructive or salvage procedures is helpful for making an informed decision in the management of many of these patients.13 The situation is further complicated when dealing with a severely valgus deformity in a symptomatic arthritic knee, with corrective osteotomy required in conjunction with TKA, either as a staged or simultaneous procedure.

Studies have looked at the results of proximal tibial osteotomy in regards to a subsequent TKA, demonstrating increased technical difficulty and higher complication rates when the results of conversion of a previously osteotomized knee to a TKA are compared with those of primary TKA alone.13,14 Specific issues include difficult exposures secondary to patella infera, with increased risk of patellar tendon avulsion, and increased risk of delayed wound healing. Only a few studies have evaluated the effects of a varising distal femoral osteotomy on the results of subsequent TKA.15,16 Nelson et al.12 described their results following a series of staged extra-articular osteotomies and with subsequent TKA in 11 knees. Two knees had an excellent result, five had a good result, and four had a fair result; the patients with only a fair results had pain and malalignment in three knees, and pain and instability in one knee. Lonner et al.17 described simultaneous extra articular femoral osteotomy and a TKR in another series of 11 patients; all of the patients had a good result post-operatively. In both of these studies, the deformity, and subsequent corrective osteotomy were extra-articular.

In the literature to date there has not previously been a report of a simultaneous peri-articular femoral osteotomy and total knee arthroplasty for a severe arthritic valgus knee of >45°. In this patient, excellent alignment both clinical and radiological was obtained, with the valgus deformity improving from 45° to 7° of valgus. Symptomatically, at 1 year follow up the patient is doing extremely well with good ROM and is pain free, without any complications. We believe that this operative technique in severely valgus knees allows for excellent correction of malalignment, aids soft tissue balance with good patient outcome.

Acknowledgments

None.

Conflicts of interest

The author declares that there is no conflict of interest.

References

  1. Ranawat CS. Total–condylar knee arthroplasty: technique, results, and complications. Springer, New York, USA, 1985.
  2. Wang JW, Wang CJ. Total knee arthroplasty for arthritis of the knee with extra articular deformity. J Bone Joint Surg Am. 2002;84–A(10):1769–1774.
  3. Easley ME, Insall JN, Scuderi GR, et al. Primary constrained condylar knee arthroplasty for the arthritic valgus knee. Clin Orthop Relat Res. 2000;380:58–64.
  4. Whiteside LA. Correction of ligament and bone defects in total arthroplasty of the severely valgus knee. Clin Orthop Relat Res. 1993;288:234–245.
  5. Buechel FF. A sequential three–step lateral release for correcting fixed valgus deformities during total knee arthroplasty. Clin Orthop Relat Res. 1990;260:170–175.
  6. Stern SH, Moeckel BH, Insall JN. Total knee arthroplasty in valgus knees. Clin Ortho Relat Res. 1991;273:5–8.
  7. Fiddian NJ, Blakeway C, Kumar A. Replacement arthroplasty of the valgus knee. A modified lateral capsular approach with repositioning of vastus lateralis. J Bone Joint Surg Br. 1998;80(5):859–861.
  8. Keblish PA. The lateral approach to the valgus knee. Surgical technique and analysis of 53 cases with over two–year follow–up evaluation. Clin Orthop Relat Res. 21991;71:52–62.
  9. Healy WL, Iorio R, Lemos DW. Medial reconstruction during total knee arthroplasty for severe valgus deformity. Clin Orthop Relat Res. 1998;356:161–169.
  10. Krackow KA, Jones MM, Teeny SM, Hungerford DS (1991) Primary total knee arthroplasty in patients with fixed valgus deformity. Clin Orthop Relat Res 273: 9–18.
  11. Krackow KA, Mihalko WM. Flexion–extension joint gap changes after lateral structure release for valgus deformity correction in total knee arthroplasty: a cadaveric study. J Arthroplasty. 1999;14(8):994–1004.
  12. Nelson CL, Saleh KJ, Kassim RA, et al. Total knee arthroplasty after varus osteotomy of the distal part of the femur. J Bone Joint Surg Am. 2003;85–A(6):1062–1065.
  13. Katz MM, Hungerford DS, Krackow KA, et al. Results of total knee arthroplasty after failed proximal tibial osteotomy for osteoarthritis. J Bone Joint Surg Am. 1987;69(2):225–233.
  14. Windsor RE, Insall JN, Vince KG. Technical considerations of total knee arthroplasty after proximal tibial osteotomy. J Bone Joint Surg Am. 1988;70(4):547–555.
  15. Beyer CA, Lewallen DG, Hanssen AD. Total knee arthroplasty following prior osteotomy of the distal femur. Am J Knee Surg. 1994;7:25–30.
  16. Cameron HU, Park YS. Total knee replacement after supracondylar femoral osteotomy. Am J Knee Surg. 1997;10(2):70–71.
  17. Lonner JH, Siliski JM, Lotke PA. Simultaneous femoral osteotomy and total knee arthroplasty for the treatment of osteoarthritis associated with extra articular deformity. J Bone Joint Surg Am. 2000;82(3):342–348.
Creative Commons Attribution License

©2014 Attar. This is an open access article distributed under the terms of the, which permits unrestricted use, distribution, and build upon your work non-commercially.