Submit manuscript...
MOJ
eISSN: 2374-6939

Orthopedics & Rheumatology

Case Report Volume 4 Issue 2

Traumatic Multi Ligament Ankle Injury, Associated with a Displaced Articular Calcaneus Fracture, in the Absence of Ankle Fractures

Ramadan Al Tamimi,1 Syed Mohsin Ali2

1Trainee Resident, Orthopedics Department, King Fahad Specialist Hospital, Saudi Arabia
2Consultant of Foot and Ankle Surgery, Orthopedics Department, King Fahad Specialist Hospital, Saudi Arabia

Correspondence: Ramadan Al-Tamimi, Department of Orthopedics, King Fahad Specialist Hospital, Building 7, 1st Floor, Room#111, PO Box 15215, Dammam 31444, Saudi Arabia, Tel 967000000000, Fax 0096613-844-2680

Received: January 07, 2016 | Published: January 28, 2016

Citation: Tamimi RH, Ali SM (2016) Traumatic Multi Ligament Ankle Injury, Associated with a Displaced Articular Calcaneus Fracture, in the Absence of Ankle Fractures. MOJ Orthop Rheumatol 4(2): 00134. DOI: 10.15406/mojor.2016.04.00134

Download PDF

Keywords

Traumatic, Ankle instability, Anterior talofibular ligament, Deltoid ligament, Calcaneus fractures

Abbreviations

EUA, Examination Under Anesthesia; ATFL, Anterior Talo Fibular Ligament; CFL, Calcaneo Fibular Ligament; PTFL, Posterior Talo Fibular Ligament

Introduction

We are reporting a rare case of fracture calcaneus associated with traumatic lateral and medial ankle ligamentous injury, in the absence of ankle fracture or syndesmotic disruption.1,2

Case report

A 31 years old female, presented to our institution as a case of acute trauma, with history of fall from approximately six meters of height landing on her feet. Her chief complaint was generalized back, and right foot and ankle pain.

Initial assessment

Lower back tenderness with lower limb neurological deficit below L3, A closed injury to the right foot and ankle with global instability.

Radiological assessment shows

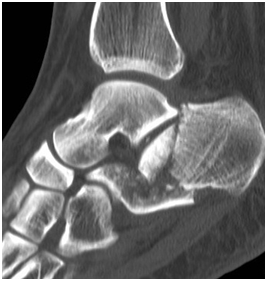
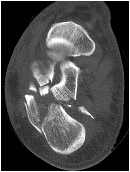
L3 unstable spine fracture, Right intara-articular calcaneal fracture of joint depression type, Saunder’s III AC3,4(Figure 1 & 2).

Figure 1 CT Calcaneus showing multi fragmentery intra articular fracture.

Figure 2 CT Calcaneus showing joint depression and intra articular extension.

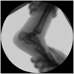
Treatment Management began with stabilization of the patient’s general condition, and later definite treatment on 2nd stages. 1st stage: Patient went for decompression spine surgery and examination under anesthesia (EUA) of the right ankle which demonstrated medial and lateral ligament complex instability as evident by a positive anterior drawer test (Figure 3), a posterior drawer test (Figure 4) and a positive varus and valgus stress tests with intact syndesmosis clinically (Figure 5 & 6). Because of the local swelling, the patient was put in a cast. 2nd stage: 5 days later, when the swelling subsided, patient underwent open reduction internal fixation of the right calcaneus fracture and repair of the medial and lateral ligament complex tears.

Figure 3 Anterior drawer test: an anteriorly directed force is applied to the heel while supporting the leg.

Figure 4  Posterior drawer test: a posteriorly directed force is applied to the foot while supporting the leg.

Figure 5 Varus stress test: Varus force is applied to the ankle. The ankle joint open up laterally.

Figure 6 Valgus stress test: Valgus force applied to the ankle. The ankle opens up medially.

Intraoperative findings

Complete tear of superficial and deep components of the deltoid ligaments. Complete tear and attenuation of the anterior talofibular ligament (ATFL), calcaneofibular ligament (CFL), and the posterior talofibular ligament (PTFL).

An Open reduction internal fixation of right calcaneal fracture using extensile lateral calcaneal approach and the anatomic repair of the medial deltoid ligaments and the reconstruction of the lateral ankle ligaments (ATFL, CFL) using a bone tunnel and a tendon allograft.

Patient was kept non weight bearing in a below knee cast for 6 weeks. Later she was put in an Air Cast Boot and started on active ankle range of motion exercises at 2 months of assessment.

Clinically

She maintained a power of 3/5 of her lower extremities heel varus was corrected, no tenderness at the fracture site ankle was stable in Varus, Valgus and Anterior drawer tests.

Radiologically

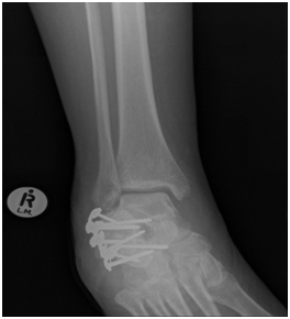
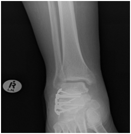
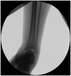
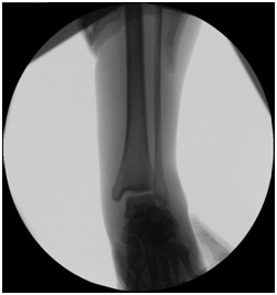
The calcaneus fracture has healed with no Talar shift or tilt (Figure 7-9).

Figure 7 X-Ray of right Ankle: shows no Talar tilt, shift or syndesmotic diastasis.

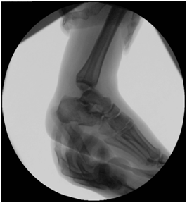
Figure 8 Lateral view of the ankle: shows the maintained post op position of the tibia and fibula over the talus. The image also shows the healed Calcaneus fracture post ORIF.

Figure 9 Mortise view of the right ankle: shows once again no Talar tilt, shift or syndesmotic diastasis. The ankle joint is congruent.

Discussion

High energy trauma such as, fall from heights and motor vehicle collisions are the usual cause of intra-articular calcaneal fractures. During axial loading, depending on the foot position, different fracture line and varying degrees of communition and articular involvement develop.1,3,5

Calcaneal fractures are associated with spine and pelvic fractures and lower extremity injuries,1,2 however their association with lateral or medial ankle instability has not been reported so far in English literature, which makes this case unique.

We are using the classification system of Sanders et al.6 for classification of Calcaneal fractures,6 which is based on CT coronal plane images, and takes into account the number and location of primary fracture lines. Another useful classification is the one described by Essex Lopresti,3 which demonstrates the impact of the mechanism of injury on calcaneal fracture geometry.

Three major configurations contribute to stability of the ankle joint; which are, the congruity of the articular surfaces, the static ligamentous restraints, and the musculo tendinous units, which allow for dynamic stabilization of the joint.7

These static restraints fail in extremes of position, which might be the case in acute trauma. Studies done by Rasmussen8 have shown that during forced ankle dorsiflexion the PTFL ruptures, and in forced internal rotation the ATFL ruptures followed by injury to the PTFL. Extreme external rotation causes the deep deltoid ligament to tear. Adduction in neutral foot position injures the CFL, while in plantar flexion the ATFL is injured.8

Stress radiographs are better performed under sedation or anesthesia for evaluation of ankle stability. A positive anterior drawer stress test indicates an ATFL rupture.4,9 A positive talar tilt on varus ankle stress tests indicates an injury to the ATFL and CFL.7,9,10 Injury to the deltoid ligament is manifested by a widening of the medial clear space and a positive valgus stress test.11-13 The syndesomsis can be assessed by the tibio fibular overlap and the tibio fibular clear space on AP and mortise views. An external rotation stress tests is useful for assessment of the deep deltpoid ligament and the syndesmosis.14

Controversies exist in management of displaced intra-articular calcaneal fractures.15 Operative intervention with the use of plate and screws through a lateral calcaneal approach was superior to conservative measures in various studies.2,16,17 We used an AO locking calcaneal plate for fracture stability and to maintain height.

Several surgical techniques have been advocated for management of lateral and medial ankle ligament tears, these include direct anatomic repair and reconstruction.18

The creation of boney tunnels and the use of auto- or allo- grafts for ligament reconstruction have been described. Reattachment can be done with the use of anchor or trans-osseous sutures.17,19 We used a direct anatomical repair of the deltoid ligament, because good approximation of the tissue was achieved. On the lateral side; because of tissue attenuation of the ligaments, we used bone tunnel techniques through the talus and fibula, and used a tendon allograft for reconstruction.

Conclusion

In summary, we have achieved good results with this approach in this patient, and we advise for careful examination and timely management in such complex rare injuries.

Acknowledgment

None.

Conflicts of interest

None.

References

  1. Soeur R, Remy R. Fractures of the calcaneus with displacement of the thalamic portion. J Bone Joint Surg Br. 1975;57(4):413‒421.
  2. Thordarson DB, Krieger LE. Operative vs nonoperative treatment of intra‒articular fractures of the calcaneus: a prospective randomized trial. Foot Ankle Int. 1996;17(1):2‒9.
  3. Essex LP. The mechanism, reduction technique, and results in fractures of the oscalcis. Br J Surg. 1952;39(157):395‒419.
  4. Lightowler CD. Injuries to the lateral ligament of the ankle. Br Med J (Clin Res Ed). 1984;289(6454):1247.
  5. Carr JB, Hamilton JJ, Bear LS. Experimental intra‒articular calcaneal fractures: anatomic basis for a new classification. Foot Ankle. 1989;10(2):81‒87.
  6. Sanders R, Fortin P, DiPasquale T, et al. Operative treatment in 120 displaced intraarticular calcaneal fractures: results using a prognostic computed tomography scan classification. Clin Orthop Relat Res. 1993;290:87‒95.
  7. Hertel J. Functional Anatomy, Pathomechanics, and Pathophysiology of Lateral Ankle Instability. J Athl Train. 2002;37(4):364‒375.
  8. Rasmussen O. Stability of the ankle joint. Analysis of the function and traumatology of the ankle ligaments. Acta Orthop Sc Suppl. 1985;211:1‒75.
  9. Gould N, Seligson D, Gassman J. Early and laterepair of lateral ligament of the ankle. Foot Ankle. 1980;1(2):84‒89.
  10. Martin DE, Kaplan PA, Kahler DM, et al. Retrospective evaluation of graded stress examination of the ankle. Clin Orthop Relat Res. 1996;328:165‒170.
  11. Hintermann B, Knupp M, Pagenstert GI. Deltoid ligament injuries: diagnosis and management. Foot Ankle Clin. 2006;11(3):625‒637.
  12. Leith JM, McConkey JP, Li D, et al. Valgusstress radiography in normal ankles. Foot Ankle Int. 1997;18(10):654‒657.
  13. Zalavras C, Thordarson D. Ankle syndesmotic injury. J Am AcadOrthop Surg. 2007;15(6):330‒339.
  14. Femino JE, Vaseenon T, Phisitkul P, et al. Varus external rotation stress test for radiographic detection of deep deltoid ligament disruption with and without syndesmotic disruption: a cadaveric study. Foot Ankle Int. 2013;34(2):251‒260.
  15. Buckley RE, Tough S, McCormack R, et al. Operative compared with nonoperative treatment of displaced intra‒articular calcaneal fractures: a prospective, randomized, controlled multicenter trial. J Bone Joint Surg Am. 2002;84(10):1733‒1744.
  16. Leung KS, Yuen KM, Chan WS. Operative treatment of displaced intra‒articular fractures of the calcaneum: medium‒term results. J Bone Joint Surg Br. 1993;75(2):196‒201.
  17. Randle JA, Kreder HJ, Stephen D, et al. Should calcaneal fractures be treated surgically? A meta‒analysis. Clin Orthop Relat Res. 2000;377:217‒227.
  18. Hintermann B. Medial ankle instability. Foot Ankle Clin. 2003;8(4):723‒738.
  19. Maffulli N, Ferran NA. Management of acute and chronic ankle instability. J Am Acad Orthop Surg. 2008;16(10):608‒615.
Creative Commons Attribution License

©2016 Tamimi, et al. This is an open access article distributed under the terms of the, which permits unrestricted use, distribution, and build upon your work non-commercially.