Submit manuscript...
MOJ
eISSN: 2374-6920

Proteomics & Bioinformatics

Case Report Volume 9 Issue 2

Medialisation of internal carotid artery in the neck-a case report of radiology

Lokesh Rana,1 Dinesh Sood,2 Narvir S Chauhan,3 Pooja Gurnal,4 Nishant Nayyar,5 Deepak Singh6

1Assistant Professor, Department of Radio-diagnosis, Rajendra Prasad Government Medical College, India
2Professor, Department of Radio-diagnosis, Rajendra Prasad Government Medical College, India
3Associate Professor, Department of Radio-diagnosis, Rajendra Prasad Government Medical College, India
4Senior Resident, Department of Anaesthesia, Rajendra Prasad Government Medical College, India
5Senior Resident, Department of Radio-diagnosis, Rajendra Prasad Government Medical College, India
6Resident, Department of Radio-diagnosis, Rajendra Prasad Government Medical College, India

Correspondence: Lokesh Rana, Assistant Professor, Department of Radio-diagnosis, Rajendra Prasad Government Medical College, Himachal Pradesh, India

Received: June 07, 2020 | Published: June 23, 2020

Citation: Rana L, Sood D, Chauhan NS, et al. Medialisation of internal carotid artery in the neck-a case report of radiology. MOJ Proteomics Bioinform. 2020;9(2):56-57. DOI: 10.15406/mojpb.2020.09.00279

Download PDF

Abstract

ICA course aberration though rarely seen but is important as it poses threat to minor as well major surgical intervention with risk of potential fatal haemmoraege in case of accidental injury. We present a case of 23 year old female patient who is known case of Non-Hodgkins lymphoma an also present with pulsating mass on left side of neck.1,2

Introduction

Aberrant course of ICA is important manifestation and it impose great threat to surgical intervention beside presenting as sub-mucousal mass and confusing physical examination of patient. Medial course, ectasia and tortuosity are frequent findings encountered in aberrancy of ICA. Though patient is asymptomatic mostly, but may present as pulsating mass, sensation of foreign body in the throat and hoarseness.3,4

Case report

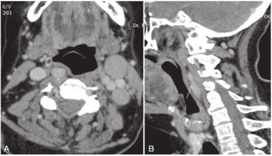
A 23 year old patient who is known case of Non-Hodgkins lymphoma on chemotherapy presenting with swelling on both sides of neck and there was a pulsating mass seen on left side in. The CECT scan of the patient was done and it showed (Figure 1 A&B) posterior pharyngial wall bulging a on right side (white arrow) with aberrant course of right ICA which shows medialisation. Note was also made of enlarged lymph nodes at station IIa and IIb on left side cervical regions. Diagnosis of medialisation of ICA on right side was made besides patient a known case of Non-Hodgkins lymphoma (Figure 1).

Figure 1 Known case of Hodgkin lymphoma a 23 year old female patient shows incidental findindg of bulge in the posterior oropharyngial wall clinically and CECT (Figure A &B)shows posterior pharngial wall bulging a on right side (white arrow) with aberrant course of right ICA which shows medialisation.note is made of enlarged lymph nodes at station IIa and IIb on left side cervical regions.

Discussion

Aberrant course of ICA is important manifestation and it impose great threat to surgical intervention beside presenting as sub-mucousal mass and confusing physical examination. Medial course, ectasia and tortuosity are frequent findings encountered in aberrancy of ICA. Though patient is asymptomatic mostly, but may present as pulsating mass, sensation of foreign body in the throat and hoarseness.5,6

Key radiological diagnostic features are:

  1. Traject course of ICA
  2. Bulge caused in the posterior Pharyngial wall
  3. Retropharyngeal location of ICA

Other Spectrum of Aberrancy is: Medialisation, Tortuousity, Ectasia and Elongation.

Acknowledgments

None.

Conflicts of interest

Authors declare that there are no conflicts of interest.

References

Creative Commons Attribution License

©2020 Rana, et al. This is an open access article distributed under the terms of the, which permits unrestricted use, distribution, and build upon your work non-commercially.