Submit manuscript...
MOJ
eISSN: 2374-6920

Proteomics & Bioinformatics

Review Article Volume 2 Issue 4

Molecular and biochemical properties of lympho-epithelial kazal-type-inhibitor (LEKTI)

Arumugam Jayakumar,1 Mitchell Frederick,2 Thomas Shellenberger,2 Ying Henderson,2 Yaan Kang,3 Venugopal Radjendirane,1 Katrina Briggs,2 David Tran,4 Karthik Jayakumar,1,5 Gary Clayman2

1Department of Experimental Therapeutics, University of Texas M.D. Anderson Cancer Center, USA
2Department of Head and Neck Surgery, University of Texas M.D. Anderson Cancer Center, USA
3Department of Surgical Oncology, University of Texas M.D. Anderson Cancer Center, USA
4Windsor University School of Medicine, St. Kitts, West Indies
5Department of Medicine, Section of Emergency Medicine, Baylor College of Medicine, USA

Correspondence: Arumugam Jayakumar, Department of Experimental Therapeutics, The University of Texas, USA

Received: July 22, 2015 | Published: August 20, 2015

Citation: Jayakumar A, Frederick M, Shellenberger T, et al. Molecular and biochemical properties of lympho-epithelial kazal-type-inhibitor (LEKTI). MOJ Proteomics Bioinform. 2015;2(4):121-127. DOI: 10.15406/mojpb.2015.02.00053

Download PDF

Abstrat

Here, we review the literature on the molecular and biochemical properties of Lympho-Epithelial Kazal-Type-Inhibitor (LEKTI). Serine Protease Inhibitor Kazal-type 5 (SPINK5) gene encodes three different LEKTI isoforms. These isoforms are organized into a typical 15, longer than 15 and shorter than 15 inhibitory domains consisting of 1064, 1094 and 916 residues respectively. LEKTI isoforms synthesized as pro-LEKTI proteins are processed intracellular and secreted as bioactive LEKTI fragments into blood. LEKTI potently inhibits activity of plasmin, subtilisin A, cathepsin G, elastase, trypsin, kallikrein (KLK) 5, KLK6, KLK7, KLK13, and KLK14 to varied extents. Mutations in SPINK5 gene resulting in decreased LEKTI function and increased KLK activity causes Netherton syndrome (NS). Low SPINK5 expression/LEKTI function is also associated with Head and Neck Squamous Cell carcinoma (HNSCC), chronic rhinosinusitis and asthma. Thus restoring SPINK5 expression/LEKTI function in NS, HNSCC and asthma holds therapeutic promise.

Keywords: SPINK5, LEKTI, LEKTI, domains, proteinases, NS, HNSCC, furi

Abbreviations

LEKTI, lympho-epithelial kazal-type-inhibitor; SPINK5, serine protease inhibitor kazal-type 5; KLK, kallikrein; NS, netherton syndrome; HNSCC, head and neck squamous cell carcinoma

Introduction

SPINK5 gene was initially cloned following sequence identification of two polypeptides, HF6478 and HF7556, isolated from human blood filtrates.1,2 It was also independently cloned as the genetic locus responsible for Netherton syndrome.3 Owing to the presence of Kazal-type domains in the translated protein and its expression pattern in different organs, the gene encoding these polypeptides was named Lympho-Epithelial Kazal-Type-related Inhibitor (LEKTI).4 It was shown for several other endogenous proteinase inhibitors like tissue inhibitors of matrix metalloproteases (TIMPs), maspin, elafin, hespin, headpin, SERPINs, and SPI that they regulate the proteolytic signaling involved in homeostatic and disease processes.5–12 Since the identification and cloning of SPINK5 substantial work has been done describing the targets and biologic roles of its gene product LEKTI. The purpose of this chapter is to review the current literature on the molecular and biochemical properties of LEKTI.

Identification and molecular cloning of SPINK5 cDNA

Since the original report of the cloning of SPINK5 gene,1 several groups including us have reported the identification and cloning of a total of three isoforms of SPINK5 gene encoding 3 LEKTI isoforms.13–18 These three isoforms are: a typical LEKTI containing 15 domain (1064aa), a shorter LEKTI containing only first 13 domains (916aa) and a longer LEKTI with a 30-amino-acid insertion between domains 13 and 14 (1094aa) (Figure 1). We have demonstrated that SPINK5 gene is one of the nine genes down-regulated in Head and Neck Squamous Cell Carcinoma (HNSCC). Subsequently, we have cloned LEKTI cDNA encoding LEKTI protein consisting of1064 residues from normal oral mucosa utilizing LEKTI specific primers and RNA isolated from normal oral mucosa.19 We have separately amplified the 5' (1.8-kilobase) and 3' (1.3-kilo base) halves of the LEKTI cDNA and then sub cloned these two fragments into pCRII-TOPO vector. Sequencing the entire LEKTI cDNA found out six silent single base exchanges in the open reading frame compared to reported LEKTI sequences (GenBank/EMBL accession no. AJ228139 and AF086524). On the basis of the open reading frame we have predicted that the deduced amino acid sequence of 1064 residues with a Mr of 121,234. A large body of literature has demonstrated that loss-of-function mutations in SPINK5 gene cause Netherton syndrome.3,20–24 A recent report has discovered a novel putative long non-coding RNA (lncRNA), which is antisense to SPINK5 gene,25 implicating a translational regulation of SPINK5 gene expression at least in some tissues.

Figure 1 Organization of LEKTI inhibitory domains.63 Organization of LEKTI inhibitory domains (Gen Bank accession no. NP_006837). Yellow boxes denote Kazal-type inhibitory domains (3 disulphide bonds); Green boxes represent non-Kazal-type domains (2 disulphide bonds). Three LEKTI isoforms are: a typical LEKTI containing 15 domain (1064 aa), a longer LEKTI with a 30-amino-acid insertion between domains 13 and 14 (1094 aa), and a shorter LEKTI containing only first 13 domains (916 aa).The identity of the active site P1 residue is indicated above each domain.

LEKTI organization

On the basis of the furin cleavage sites found within the LEKTI polypeptide containing1064 amino acids, there are 15 potential inhibitory domains (Figure 1). There is a secretory signal peptide sequence containing 22 amino acids at the N-terminal of the full-length poly-peptide.26 It was also established that LEKTI domains 2 and 15 resemble typical Kazal-type serine proteinase inhibitors with 3 disulfide bridges whereas domains 1, 3, 4, 5, 6, 7, 8, 9, 10, 11, 12, 13 and 14 resemble non-Kazal-type inhibitors with only two disulfide bridges.27–30

 Expression and purification of human LEKTI in insect cells and E.coli

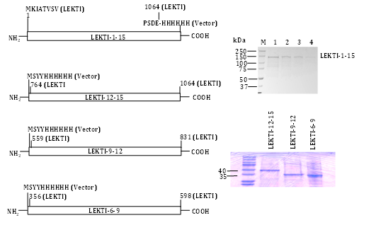
We engineered a recombinant baculovirus expression vector encoding the entire native human LEKTI protein (including the putative signal peptide) fused in frame with a C-terminal six-histidine tag (Figure 2). We could not detect a secreted form of LEKTI when expressed in Sf9 cells consistent with previous reports that the N-terminal leader sequences of proteins of higher eukaryotes often yield only small quantities of secreted proteins in yeast and insect cells. We did not attempt to improve the secretion efficiency in Sf9 by replacing or fusing the LEKTI native signal sequence with an insect cell signal sequence (e.g. melletin). Instead, we selectively purified the LEKTI precursor from cell lysates. Following infection of Sf9 with recombinant baculovirus, abundant rLEKTI was detected in cell lysates by immunoblotting with penta His mAb. We processed the cell lysates by TALON metal affinity and gel-filtration chromatography as previously described.12 Upon purification, a sole band of »120kDa was visualized by Coomassie brilliant blue R-250staining in the pooled imidazole eluates (Figure 2). N-terminal sequencing of the protein band produced no amino acid sequence, which suggested that the N-terminal residue may have been blocked in vivo or modified during our sample preparation. Internal amino acid sequencing of this protein band confirmed it to be bona fide LEKTI. Approximately 0.7mg of pure LEKTI was obtained from the Sf9 cell pellet of a one-liter culture. These results suggested that C-terminal six-histidine tagged rLEKTI could be efficiently expressed and selectively purified from insect cells. In order to evaluate whether rLEKTI contained disulfide bonds and to determine whether protein aggregates were present in our preparation, rLEKTI was analyzed by SDS-PAGE under both reducing and non-reducing conditions. The rLEKTI separated by SDS-PAGE under non reducing conditions clearly migrated faster than under reducing conditions providing evidence of disulfide bonds present in the recombinant protein. This clearly indicates that almost all of the LEKTI expressed in insect cell contained disulfide bonds and this Sf9 produced rLEKTI could be used to screen for inhibitory activity.

Figure 2 Construction and purification of pro-LEKTI and rLEKTI domains following expression in Sf9 cells. LEKTI expression constructs in Baculo Virus Expression System (BVES). The six-histidine tag appended to LEKTI is indicated. Purified LEKTI 1-15, LEKTI 12-15, LEKTI 9-12, and LEKTI 6-9 (1.5 µg each) after metal-affinity and gel-filtration chromatography was resolved by 10% SDS-PAGE.

Having successfully purified pro-LEKTI in insect cells we also engineered LEKTI multi domains 1-6, 6-9, 9-12, and 12-15 expression composite bacmids, expressed, and purified these proteins in Sf9 cells.31 The expression constructs and their corresponding purified LEKTI multi domains except for LEKTI domains 1-6 are shown in Figure 2. Other research groups have reported the expression and purification of LEKTI single domains 6 and 15 using a bacterial expression system.29,32 Testing a selected number of different serine proteinases, the authors have shown that both native and recombinant LD-6 exhibit a significant but temporary inhibitory activity on trypsin.

Genomic organization and expression status of LEKTI in normal and Comèl-Netherton syndrome patients

Magert et al.,32 have shown for the first time that SPINK5 encoding LEKTI was localized on human chromosome 5q31-32.1 We and others have demonstrated that LEKTI/SPINK5 gene is expressed in the normal oral mucosa and normal pituitary glands,16,33 thymus, vaginal epithelium, Bartholin's glands, , tonsils, and the parathyroid glands.1 For the first time, Hovanaian and his group reported different mutations in SPINK5 in families with Netherton syndrome (NS, MIM256500).3,13,34 Subsequently the same group described the intron-exon organization of SPINK5 gene and characterized its mutations in patients from 21 families of different geographic origin, using denaturing high performance liquid chromatography and direct sequencing.15,35 These results have collectively shown that most of these mutations predict premature termination codons resulting in diminished LEKTI expression. Subsequent work by other investigators confirmed and extended that SPINK5 mutations do occur in Japanese, Taiwanese, Chinese, Korean, Turkish and Israeli populations.36–42 In our own studies we have shown that although the absence of LEKTI proteins in NS patients lead to over desquamation, there is a compensatory upregulation of DSG3/DSC3 in NS patients permitting survival of these patients in the face of unregulated hKLK activity.22,43

Genome-wide and microarray analyses of SPINK5/LEKTI in HNSCC, asthma and allergies

A Genome-wide transcriptomic profiles obtained for 53 primary oral tongue squamous cell carcinoma (OTSC Cs) and 22 matching normal tissues identified SPINK5 as one of the genes down-regulated in OTSCCs.44 Their Gene Ontology analysis discovered an increases phosphate transport, collagen catabolism, NF-kB signaling cascade, extracellular matrix organization and biogenesis, chemotaxis, as well as suppressions of superoxide release, and hydrogen peroxide metabolism, in OTSCCs. In a recent study Shah et al. generated a transcriptome map of BMSCC cancer, performed RNA-seq analysis, and assessed the role of alternative splicing in BMSCC. They detected a total of 11 novel splice junctions derived mostly from alternate 5' splice site and also found novel putative long non-coding RNA (lncRNA), which is antisense to SPINK5 gene.45 A recent report correlated the clinicopathological parameters of 83Non-HPV OSCC patients with the protein expression for KLK5, KLK7 and LEKTI in these tumors and demonstrated that concurrent loss of KLK5 and KLK7 associates with a poor clinical outcome in OSCC and could therefore serve as prognostic marker in this disease.46 A recent study also evaluated whether single-nucleotide polymorphisms or haplotypes at 5q31-33 conferred risk for asthma in Mexican-Mestizo pediatric patients.47 They utilized TaqMan Allelic Discrimination Assay and genotyped 20 single-nucleotide polymorphisms within , RAD50, IL13, IL4, CD14, SPINK5, HTR4, ADRB2 and IL12B. Their results revealed that three SPINK5 haplotypes (GGCT: p=6 × 10(-6); aaTC: p=0.0001; AGTT: p=0.0001) were associated with asthma. We recently compared the expression profile of about 18,000 genes and identified 186 genes which are differentially regulated between LEKTI stable clones in comparison with the vector transfected OSC19 parental cells. Among them, mMP-14,mMP-8, KLK5, and ADAM8 are down regulated andmMP-3, LEKTI, DSC2 and DSC3 are up-regulated in LEKTI clones.48

Mass spectrometry analyses of recombinant LEKTI

In Lauber et al.,27 reported for the first time the cloning, over expression, purification, and mass spectrometry analysis of recombinant LEKTI domain (HF6478) in Escherichia coli Origami (DE3) strain which carries a trxB(-)/gor522(-) double mutation.27 They have demonstrated that the molecular weight of this protein as obtained by electro spray mass spectrometry (6477.69) was in very close agreement with 7kDa apparent molecular weight seen in SDS-PAGE. In the same year, Ahmed et al have purified proteins/peptides from concentrated growth medium of epidermal keratinocytes and sequenced by Edman degradation in a gas-phase sequencing system. Their analyses have shown that the 30 and 40kDa proteins sequenced up to 18 and 21 residues respectively are in alignment with human LEKTI and DAN proteins.49 Subsequently, in 2003, we have purified full length rLEKTI and performed the N-terminal and internal amino acid sequence analyses.19 Our results shown for the first time that the N-terminal sequencing of the protein band produced no amino acid sequence suggesting that the N-terminal residue may have been blocked in vivo or modified during our sample preparation. However, internal amino acid sequencing of this protein band confirmed it to be bona fide LEKTI. In addition, we performed digestion of rLEKTI with human recombinant furin and the resulting cleavage fragments were resolved by SDS-PAGE and MALDI-MS.19 SDS-PAGE analysis showed that furin cleaved LEKTI into six discrete polypeptides ranging in molecular mass from 10kDa to 40kDa. However, the MALDI-MS analysis for polypeptides in 6000 to 9000 Da ranges detected the presence of 13 major peptide peaks.

Recombinant LEKTI inhibit a broad spectrum of proteinases

Using purified pro-LEKTI and different LEKTI multi domains, we and others tested their inhibitory activities against a panel of proteinases.19,29,31,50-54 In collaboration with Dr. Schechter, we studied the effects of LEKTI domains 6-9 and 9-12 on the in vitro activity and binding of human recombinant KLK5 and KLK7.50 We demonstrated for the first time that LEKTI domains 6-9 strongly inhibited the activity of both KLK5 and KLK7 with a Ki of 5nM and 11nM respectively. In contrast, LEKTI domains 9-12 inhibited KLK5 only with a Ki of 3nM but not KLK7. We have also shown that this inhibition is almost the same irrespective of the pH 8.0 and pH 5.0 at which both the binding and kinetic studies were performed. Our results further suggested that the LEKTI bioactive peptides are most likely very active in stratum corneum where both LEKTI and proteases are bathed at an acidic pH. In our later studies and in collaboration with Drs. Deraison and Diamandis,52,55 we have determined the effects of four LEKTI domains including two new LEKTI domains 1-6 and LEKTI domains 12-15 on the in vitro activity of a panel of human KLKs including KLK1, KLK5, KLK6, KLK13 and KLK14 (Table 1).

rLEKTI Species

Protease

Inhibition (%)

Ki (nM)

Mechanism (s)

References

12-Jan

Plasmin

97

27

Non-Competitive (NC)

19

1-12,6-9

Subtilisin A

80

49,350

NC

19,31

12-Jan

Cathepsin G

85

67

NC

19

12-Jan

HNE

90

300

NC

19

1-12,6-9

trypsin

90

800,200

NC

19,31

1-6,6-9,9-12,12-15

KLK1

0

-

-

38

1-6,6-9,9-12,12-15

KLK5

90

2,5,3,22

Mixed

38,33

1-6,6-9,9-12,

KLK6

90

13,48,195

Mixed, NC,NC

38

6-9

KLK7

90

11

Not Determined

33

1-6,6-9,9-12,

KLK13

90

24,222,409

Mixed, NC,NC

38

1-6,6-9,9-12,

KLK14

90

0.22,3,10

Mixed

38

1-12

chymotrypsin

0

-

-

19

1-12

Papain

0

-

-

19

9-Jun

Chymase

0

-

-

33

1-12

Cathepsin K

0

-

-

19

12-Jan

Cathepsin L

0

-

-

19

1-12

Cathepsin s

0

-

-

19

Table 1 Sensitivity of various proteases to inhibition by rLEKTI

Our collective results have shown that LEKTI1-12 and LEKTI multidomains had a strong inhibitory effect on trypsin, plasmin, KLK5, KLK6, KLK13, KLK14, cathepsin G, HNE, and subtilisin A. They had no inhibitory effect on KLK1, chymase, chymotrypsin and cysteine proteinases papain or cathepsins K, L, or S (Table 1). To understand whether LEKTI behaves as a slow - or fast-binding inhibitor, we measured the time course of various proteinase activities in the presence of different concentrations of rLEKTI. We have observed that the product formation over the 60 min assay period in the absence and presence of inhibitor was linear with respect to time.19,31,49,54 The linear shapes of these inhibition curves indicate that rLEKTI is not a time-dependent inhibitor, suggesting that LEKTI binds rapidly to these proteinases and inactivates them. To classify the type of inhibition, the kinetic constants (Km and Vmax) of plasmin, trypsin, subtilisin A, cathepsin G, HNE, KLK5, KLK6, KLK13 and KLK14 were determined for their respective chromogenic or flurogenic peptides in the presence of increasing concentrations of different rLEKTI species.19,31,55 The Eadie-Hofstee plots (V/[S] versus V) show that apparent Km remain same or increased while apparent Vmax decreased, as [LEKTI] increased, indicating that the inhibition was either non-competitive or mixed. On the basis of the Ki values, rLEKTI1-12 is a potent non-competitive inhibitor of plasmin (27nM), subtilisin A (49nM), and cathepsin G (67nM), and rLEKTI1-12 is only a moderate inhibitor of HNE (300nM), however, and a weak inhibitor of trypsin (800nM).

Our comprehensive analyses have also established that none of the four LEKTI species we have tested inhibited KLK1 activity. We observed that LEKTI domains 1-6, 6-9, 9-12, and 12-15 is a potent mixed type inhibitor of KLK5 with a Ki of 2nM, 5nM, 3nM, and 22nM. We also demonstrated that LEKTI domains 12-15 did not inhibit the activity of KLK6, KLK7, KLK13, and KLK14. LEKTI domains 1-6 is a potent mixed and LEKTI domains 6-9 and 9-12 are a potent non-competitive inhibitor of KLK6 with a Ki of 13nM and 48 and 195nM respectively. Similarly, LEKTI domains 1-6 is a potent mixed and LEKTI domains 6-9 and 9-12 are a potent non-competitive inhibitor of KLK13 with a Ki of 24nM and 222 and 409nM respectively. Finally, all three LEKTI domains 1-6, 6-9, and 9-12 showed a mixed type of inhibition for KLK14 with a Ki of 0.22nM, 3nM, and 10nM respectively.

Among the KLK family, KLK5 was shown to degrade desmoglein-1 (DSG1) in skin.18 DSG1 stability is very important for skin function. Previously, it was shown that production of LEKTI domains 6-9 was compromised due to a mutation of E420K in atopic dermatitis (AD) populations56,57 implicating that variants in SPINK5 may be associated with asthma and allergy. Consistent with these observations, a recent study demonstrated that double knockdowns of SPINK5 and KLK5 in normal human epidermal keratinocytes by small interfering RNA (siRNA) lead to an increased expression of desmocollin 1 (DSC1), desmoglein 1 (DSG1) and (pro)filaggrin suggesting that inhibition of serine proteases KLK5 and KLK7 could be therapeutically beneficial in NS.58 Collectively, our results have established a new mechanism of skin homeostasis via regulation of skin KLKs activity by LEKTI.

Disulfide is required for LEKTI inhibitory activity

We have examined the influence of dithiothreitol (DTT), a reducing agent, on the rLEKTI 1-12 inhibitory activity of plasmin and subtilisin A. We have demonstrated that in the absence of a reducing agent, rLEKTI1-12 inhibitory activity was constant at pH 7.8 and room temperature for 1h.14 In contrast, rLEKTI1-12 inhibitory activity of plasmin and subtilisin A was readily inactivated by DTT (20mM) during this time. In control experiments, the addition of DTT alone had no effect on plasmin and subtilisin an activity. Therefore, the reduction in rLEKTI inhibitory activity was not due to an artificial increase in proteinase activity by the presence of DTT.

LEKTI processing and secretion

Although endogenous LEKTI full length proteins were synthesized as one of the121kDa pro-LEKTI containing intact 12 domains, Ahmed and Magert reported the isolation of LEKTI individual domains 1, 5, and 6 and LEKTI multi domains 8-12 from human blood filtrate and conditioned medium of epidermal human keratinocytes respectively.4,49 These observations suggested that full length LEKTI is subject to both extracellular and intracellular proteolysis by some unknown proteases. To understand more about this phenomenon, we analyzed the stability and subcellular distribution of several LEKTI deletion mutants utilizing HEK 293T cells as expression host. Our results have established that furin is required for the LEKTI intracellular processing in vivo resulting in three cleavage products of 37-, 40-, and 60kDa LEKTI.59 Furthermore, on the basis of these findings, we suggested two potential furin cleavage sites, one around LEKTI residue 352 and the second one around LEKTI residue 678. Consistent with our results Fortugno et al. identified three LEKTI fragments and showed a positive correlation between the quantity of LEKTI polypeptides and activity of KLK5 in the epidermis.60 In addition to furin as a LEKTI processing enzyme, we recently identified meprins also involved in the processing of intracellular LEKTI.61 It was also recently reported that mesotrypsin enzyme localized in the granular cells could degrade LEKTI and indirectly activate skin KLKs.62

Intracellular furin cleaves cellular LEKTI

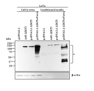
To further elucidate the role of furin, we have recently transfected human colon carcinoma LoVo cells deficient in furin with pro-LEKTI alone or pro-LEKTI plus furin and determined the expression and processing of LEKTI in cell lysates and conditioned medium. Our results showed that in the absence of furin expression no LEKTI processing was observed in LoVo cells. However, LEKTI is readily processed upon furin expression confirming and extending our previous results that processing of recombinant LEKTI is furin-dependent (Figure 3).

Figure 3 Processing of rLEKTI in LoVo cells is furin-dependent. Transfection experiments were performed in LoVo cells using plasmids expressing vector or pro-LEKTI or pro-LEKTI and furin. Cell lysates and concentrated conditioned medium from transfected cells were prepared. A total of 20 µg of whole cell lysate or a total of 5 µg of the concentrated medium in 20 µl of each of the different cells was resolved by 7.5% SDS-poly acryl amide gels, and the resolved polypeptides were then electrophoretically transferred to nitrocellulose membranes and subjected to Western blot analysis with the anti-LEKTI mAb 1C11G6 or an anti-β-actin antibody. Actin detection allows the comparison between samples loading.

Acknowledgements

Funding

Supported in part by the NIH-NCI P50 CA097007, NIH R01 DE013954, NIH P30 CA016672, Alando J. Ballantyne Distinguished Chair in Head and Neck Surgery award, Michael A. O’Bannon Endowment for Cancer Research, NIH INRS Award T32 CA060374, andaaO-HNSF Percy Memorial Grant to G.C.

Author contributions

A.J and G.C provided intellectual input into the design and presentation of the study. A.J wrote the manuscript. MF, KB, TS, YH, KJ, and YK carried out most of the experiments. V.R. and K. J reviewed LEKTI literature and organized the data.

Conflict of interest

The author declares no conflict of interest.

References

  1. Magert HJ, Standker L, Kreutzmann P, et al. LEKTI, a novel 15–domain type of human serine proteinase inhibitor. J Biol Chem. 1999;274(31):21499–21502.
  2. Magert HJ, Kreutzmann P, Standker L, et al. LEKTI: a multidomain serine proteinase inhibitor with pathophysiologic relevance. Int J Biochem Cell Biol. 2002;34(6):573–576.
  3. Chavanas S, Bodemer C, Rochat A, et al. Mutations in SPINK5, encoding a serine protease inhibitor, cause Netherton syndrome. Nat Genet. 2000;25(2):141–142.
  4. Magert HJ, Kreutzmann P, Drogemuller K, et al. The 15–domain serine proteinase inhibitor LEKTI: biochemical properties, genomic organization, and pathophysiological role. Eur J Med Res. 2002;7(2):49–56.
  5. Coussens LM, Werb Z. Matrix metalloproteinases and the development of cancer. Chem Biol. 1996;3(11):895–904.
  6. Pemberton PA, Tipton AR, Pavloff N, et al. Maspin is an intracellular serpin that partitions into secretory vesicles and is present at the cell surface. J Histochem Cytochem. 1997;45(12):1697–1706.
  7. Matrisian LM. Cancer biology: extracellular proteinases in malignancy. Curr Biol. 1999;9(20):R776–R778.
  8. Werb Z, Vu TH, Rinkenberger JL, et al. Matrix–degrading proteases and angiogenesis during development and tumor formation. APMIS. 1999;107(1):11–18.
  9. Toth M, Bernardo MM, Gervasi DC, et al. Tissue inhibitor of metalloproteinase (TIMP)–2 acts synergistically with synthetic matrix metalloproteinase (MMP) inhibitors but not with TIMP–4 to enhance the (Membrane type 1)–MMP–dependent activation of pro–MMP–2. J Biol Chem. 2000;275(52):41415–41423.
  10. Silverman GA, Bird PI, Carrell RW, et al. The serpins are an expanding superfamily of structurally similar but functionally diverse proteins. Evolution, mechanism of inhibition, novel functions, and a revised nomenclature. J Biol Chem. 2001;276(36):33293–33296.
  11. Ortega N, Behonick D, Stickens D, et al. How proteases regulate bone morphogenesis. Ann N Y Acad Sci. 2003;995:109–116.
  12. Jayakumar A, Kang Y, Frederick MJ, et al. Inhibition of the cysteine proteinases cathepsins K and L by the serpin headpin (SERPINB13):a kinetic analysis. Arch Biochem Biophys. 2003;409(2):367–374.
  13. Sprecher E, Chavanas S, DiGiovanna JJ, et al. The spectrum of pathogenic mutations in SPINK5 in 19 families with Netherton syndrome:implications for mutation detection and first case of prenatal diagnosis. J Invest Dermatol. 2001;117(2):179–187.
  14. Strausberg RL, Feingold EA, Grouse LH, et al. Generation and initial analysis of more than 15,000 full–length human and mouse cDNA sequences. Proc Natl Acad Sci USA. 2002;99(26):16899–16903.
  15. Bitoun E, Micheloni A, Lamant L, et al. LEKTI proteolytic processing in human primary keratinocytes, tissue distribution and defective expression in Netherton syndrome. Hum Mol Genet. 2003;12(19):2417–2430.
  16. Gonzalez HE, Gujrati M, Frederick M, et al. Identification of 9 genes differentially expressed in head and neck squamous cell carcinoma. Arch Otolaryngol Head Neck Surg. 2003;129(7):754–759.
  17. Tartaglia PA, Bonnart C, Micheloni A, et al. SPINK5, the Defective Gene in Netherton Syndrome, Encodes Multiple LEKTI Isoforms Derived from Alternative Pre–mRNA Processing. J Invest Dermatol. 2005;126(2):315–324
  18. Fortugno P, Furio L, Teson M, et al. The 420K LEKTI variant alters LEKTI proteolytic activation and results in protease deregulation: implications for atopic dermatitis. Hum Mol Genet. 2012;21(19):4187–4200.
  19. Mitsudo K, Jayakumar A, Henderson Y, et al. Inhibition of serine proteinases plasmin, trypsin, subtilisin A, cathepsin G, and elastase by LEKTI: a kinetic analysis. Biochemistry. 2003;42(13):3874–3881.
  20. Raghunath M, Tontsidou L, Oji V, et al. SPINK5 and Netherton syndrome: novel mutations, demonstration of missing LEKTI, and differential expression of Transglutaminase. J Invest Dermatol. 2004;123(3):474–483.
  21. Descargues P, Deraison C, Bonnart C, et al. Spink5–deficient mice mimic Netherton syndrome through degradation of desmoglein 1 by epidermal protease hyperactivity. Nat Genet. 2005;37(1):56–65.
  22. Komatsu N, Saijoh K, Jayakumar A, et al. Correlation between SPINK5 gene mutations and clinical manifestations in Netherton syndrome patients. J Invest Dermatol. 2008;128(5):1148–1159.
  23. Di WL, Hennekam RC, Callard RE, et al. A heterozygous null mutation combined with the G1258A polymorphism of SPINK5 causes impaired LEKTI function and abnormal expression of skin barrier proteins. Br J Dermatol. 2009;161(2):404–412.
  24. Diociaiuti A, Castiglia D, Fortugno P, et al. Lethal Netherton syndrome due to homozygous p.Arg371X mutation in SPINK5. Pediatr Dermatol. 2013;30(34):e65–e67.
  25. Shah TM, Patel AK, Bhatt VD, et al. The landscape of alternative splicing in buccal mucosa squamous cell carcinoma. Oral Oncol. 2013;49(6):604–610.
  26. Walden MF, Kreutzmann PF, Drogemuller KF, et al. Biochemical features, molecular biology and clinical relevance of the human 15–domain serine proteinase inhibitor LEKTI. Biol Chem. 2002;383(7–8):1139–1141.
  27. Lauber T, Marx UC, Schulz A, et al. Accurate disulfide formation in Escherichia coli:over expression and characterization of the first domain (HF6478) of the multiple Kazal–type inhibitor LEKTI. Protein Expr Purif. 2001;22(1):108–112.
  28. Tidow H, Lauber T, Vitzithum K, et al. The solution structure of a chimeric LEKTI domain reveals a chameleon sequence. Biochemistry. 2004;43(35):11238–11247.
  29. Vitzithum K, Lauber T, Kreutzmann P, et al. LEKTI domain 15 is a functional Kazal–type proteinase inhibitor. Protein Expr Purif. 2008;57(1):45–56.
  30. Lauber TF, Schulz AF, Schweimer KF, et al. Homologous proteins with different folds: the three–dimensional structures of domains 1 and 6 of the multiple Kazal–type inhibitors LEKTI. J Mol Biol. 2003;328(1):205–219.
  31. Jayakumar A, Kang Y, Mitsudo K, et al. Expression of LEKTI domains 6–9 in the baculovirus expression system: recombinant LEKTI domains 6–9 inhibit trypsin and subtilisin A. Protein Expression & Purification. 2004;(35):93–101.
  32. Kreutzmann P, Schulz A, Standker L, et al. Recombinant production, purification and biochemical characterization of domain 6 of LEKTI:a temporary Kazal–type–related serine proteinase inhibitor. J Chromatogr B Analyt Technol Biomed Life Sci. 2004;803(1):75–81.
  33. Komatsu N, Saijoh K, Otsuki N, et al. Proteolytic processing of human growth hormone by multiple tissue kallikreins and regulation by the serine protease inhibitor Kazal–Type5 (SPINK5) protein. Clin Chim Acta. 2007;377(1–2):228–236.
  34. Walley AJ, Chavanas S, Moffatt MF, et al. Gene polymorphism in Netherton and common atopic disease. Nat Genet. 2001;29(2):175–178.
  35. Bitoun E, Chavanas S, Irvine AD, et al. Netherton syndrome: disease expression and spectrum of SPINK5 mutations in 21 families. J Invest Dermatol. 2002;118(2):352–361.
  36. Kato A, Fukai K, Oiso N, et al. Association of SPINK5 gene polymorphisms with atopic dermatitis in the Japanese population. Br J Dermatol. 2003;148(4):665–669.
  37. Chao SC, Tsai YM, Lee JY. A compound heterozygous mutation of the SPINK5 gene in a Taiwanese boy with Netherton syndrome. J Formos Med Assoc. 2003;102(6):418–423.
  38. Chao SC, Richard G, Lee JY. Netherton syndrome: report of two Taiwanese siblings with staphylococcal scalded skin syndrome and mutation of SPINK5. Br J Dermatol. 2005;152(1):159–165.
  39. Zhao Y, Ma ZH, Yang Y, et al. SPINK5 gene mutation and decreased LEKTI activity in three Chinese patients with Netherton's syndrome. Clin Exp Dermatol. 2007;32(5):564–567.
  40. Namkung JH, Lee JE, Kim E, et al. Hint for association of single nucleotide polymorphisms and haplotype in SPINK5 gene with atopic dermatitis in Koreans. Exp Dermatol. 2010;19(12):1048–1053.
  41. Fong K, Akdeniz S, Isi H, et al. New homozygous SPINK5 mutation, p.Gln333X, in a Turkish pedigree with Netherton syndrome. Clin Exp Dermatol. 2011;36(4):412–415.
  42. Israeli S, Sarig O, Garty BZ, et al. Molecular analysis of a series of Israeli families with Comel–Netherton syndrome. Dermatology. 2014;228(2):183–188.
  43. Hachem JP, Wagberg F, Schmuth M, et al. Serine protease activity and residual LEKTI expression determine phenotype in Netherton syndrome. J Invest Dermatol. 2006;126(7):1609–1621.
  44. Ye H, Yu T, Temam S, et al. Transcriptomic dissection of tongue squamous cell carcinoma. BMC Genomics. 2008;9:69.
  45. Shah TM, Patel AK, Bhatt VD, et al. The landscape of alternative splicing in buccal mucosa squamous cell carcinoma. Oral Oncol. 2013;49(6):604–610.
  46. Leusink FK, van Diest PJ, Frank MH, et al. The Co–Expression of Kallikrein 5 and Kallikrein 7 Associates with Poor Survival in Non–HPV Oral Squamous–Cell Carcinoma. Pathobiology. 2015;82(2):58–67.
  47. Martinez NE, Del Rio–Navarro BE, Garcia–Ortiz H, et al. SPINK5 and ADRB2 haplotypes are risk factors for asthma in Mexican pediatric patients. J Asthma. 2015;52(3):232–239.
  48. Jayakumar A, Chattopadhyay C, Wu HK, et al. LEKTI, A Physiological Inhibitor of Multiple Serine Proteinases, Blocks Migration and Invasion of Head and Neck Squamous Cell Carcinoma (HNSCC) Cells. MOJ Proteomics Bioinform. 2014;1(3):00015.
  49. Ahmed A, Kandola P, Ziada G, et al. Purification and partial amino acid sequence of proteins from human epidermal keratinocyte conditioned medium. J Protein Chem. 2001;20(4):273–278.
  50. Schechter NM, Choi EJ, Wang ZM, et al. Inhibition of human kallikreins 5 and 7 by the serine protease inhibitor lympho–epithelial Kazal–type inhibitor (LEKTI). Biol Chem. 2005;386(11):1173–1784.
  51. Egelrud T, Brattsand M, Kreutzmann P, et al. hK5 and hK7, two serine proteinases abundant in human skin, are inhibited by LEKTI domain 6. Br J Dermatol. 2005;153(6):1200–1203.
  52. Deraison C, Bonnart C, Lopez F, et al. LEKTI fragments specifically inhibit KLK5, KLK7, and KLK14 and control desquamation through a pH–dependent interaction. Mol Biol Cell. 2007;18(9):3607–3619.
  53. Bennett K, Callard R, Heywood W, et al. new role for LEKTI in skin barrier formation: label–free quantitative proteomic identification of caspase 14 as a novel target for the protease inhibitor LEKTI. J Proteome Res. 2010;9(8):4289–4294.
  54. Vasileiou Z, Barlos KK, Gatos D, et al. Synthesis of the proteinase inhibitor LEKTI domain 6 by the fragment condensation method and regioselective disulfide bond formation. Biopolymers. 2010;94(3):339–349.
  55. Borgono CA, Michael IP, Komatsu N, et al. A potential role for multiple tissue kallikrein serine proteases in epidermal desquamation. J Biol Chem. 2007;282(6):3640–3652.
  56. Kabesch M, Carr D, Weiland SK, et al. Association between polymorphisms in serine protease inhibitor, kazal type 5 and asthma phenotypes in a large German population sample. Clin Exp Allergy. 2004;34(3):340–345.
  57. Moffatt MF. SPINK5:a gene for atopic dermatitis and asthma. Clin Exp Allergy. 2004;34(3):325–327.
  58. Wang S, Schoefmann N, Stuetz A, et al. SPINK5 knockdown in organotypic human skin culture as a model system for Netherton syndrome: effect of genetic inhibition of serine proteases kallikrein 5 and kallikrein 7. Exp Dermatol. 2014;23(7):524–526.
  59. Jayakumar A, Kang Y, Henderson Y, et al. Consequences of C–terminal domains and N–terminal signal peptide deletions on LEKTI secretion, stability, and subcellular distribution. Arch Biochem Biophy. 2005;435(1):89–102.
  60. Fortugno P, Bresciani A, Paolini C, et al. Proteolytic activation cascade of the Netherton syndrome–defective protein, LEKTI, in the epidermis: implications for skin homeostasis. J Invest Dermatol. 2011;131(11):2223–2232.
  61. Jefferson T, Auf dem KU, Bellac C, et al. The substrate degradome of meprin metalloproteases reveals an unexpected proteolytic link between meprin beta and ADAM10. Cell Mol Life Sci. 2013;70(2):309–333.
  62. Miyai M, Matsumoto Y, Yamanishi H, et al. Keratinocyte–Specific Mesotrypsin Contributes to the Desquamation Process via Kallikrein Activation and LEKTI Degradation. J Invest Dermatol. 2014;134(6):1665–1674.
  63. Arumugam J, Venugopal R. Current Status of LEKTI, a Physiological Inhibitor of Multiple Proteinases in the Skin, – A Review. SMU Medical Journal. 2014;1(2):1–13.
Creative Commons Attribution License

©2015 Jayakumar, et al. This is an open access article distributed under the terms of the, which permits unrestricted use, distribution, and build upon your work non-commercially.