Submit manuscript...
MOJ
eISSN: 2374-6920

Proteomics & Bioinformatics

Proceeding Volume 1 Issue 1

Proteomics detection of endothelial cell surface proteins following irradiation as potential targets for brain arteriovenous malformations molecular therapy

Margaret Simonian,1,2 Rachel R Ogorzalek Loo,2 Joseph A Loo,2 Marcus A Stoodley,1 Mark P Molloy3

1Australian School of Advanced Medicine, Macquarie University, Australia
2David Geffen School of Medicine, Department of Biological Chemistry, University of California Los Angeles (UCLA), USA
3Department of Chemistry and Bimolecular Sciences, Macquarie University, Australia

Correspondence: Margaret Simonian, David Geffen School of Medicine, Department of Biological Chemistry, University of California Los Angeles (UCLA), 611 Charles E. Young Drive East, CA. 90095, USA, Tel +13107947308

Received: April 25, 2014 | Published: April 30, 2014

Citation: Simonian M, Ogorzalek Loo RR, Loo JA, et al. Proteomics detection of endothelial cell surface proteins following irradiation as potential targets for brain arteriovenous malformations molecular therapy. MOJ Proteomics Bioinform. 2014;1(1):4-7 DOI: 10.15406/mojpb.2014.01.00002

Download PDF

Abstract

Arteriovenous malformations (AVMs) in the brain are vascular neurological lesions consist of abnormal collection of arteries and veins. They are the most common cause of brain haemorrhage in children and young adults. Over 90% of large AVMs (>3cm) are not curable, or curable with unacceptable risks. Radiosurgery is the treatment option for lesions (< 3cm) in diameter and located in eloquent areas where surgery can cause neurological defecit. However vascular occlusion post radiosurgery can takes up to 3year to complete while patients remain at risk of haemorrhage. This study aims to develop a molecular therapy for human brain AVMs. Specifically we aim to identify unique protein targets of AVMs that are up-regulated post irradiation. These proteins will then be used to develop a ligand-directed vascular treatment that promotes rapid thrombosis in AVM vessels post radiosurgery.

Introduction

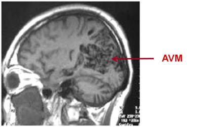
AVMs consist of abnormal collection of arteries and veins. They are the most common cause of haemorrhagic stroke in children and young adults. Radiosurgery is the treatment option recommended for lesions less than 3cm in diameter and located in eloquent areas where surgery can cause neurological deficits. This study aims to identify endothelial protein targets of AVMs that are differentially expressed compared to normal vessels post radiosurgery, to develop a ligand directed vascular treatment that promotes rapid thrombosis in AVM vessels. This is the first time that proteomics approach has been used in AVMs study (Figure 1).

Figure 1

Objectives

• Assess membrane protein changes in the murine endothelial cell culture (bEnd.3) in response to radiation over time using proteomics analysis.
• Determine candidate proteins location with immunocytochemistry.
• Protein candidates will be used for a ligand-directed vascular targeting treatment to promote rapid thrombosis in AVM vessels post radiosurgery (Figure 2).

Figure 2

Methods

In vitro biotinylation and iTRAQ mass spectrometry was used to assess membrane protein changes in the murine endothelial cell cultures (bEnd.3). Cells were irradiated with 25Gy and surface biotinylation was performed using NHS-LC-Biotin at 6h, 24h, 48h and 72hours post radiation. Biotinylated proteins were captured on streptavidin resin, digested with trypsin, and then labelled with iTRAQ 8-plex reagents kit (Applied Biosystems). Peptides were separated by SCX and analysed by nanoLC/ MS on Qstar Elite (AB Sciex) (Figure 3).

Figure 3 Immunocytochemistry was used to validate candidate proteins location and expression in bEnd.3 cells.

Immunocytochemistry was used to validate candidate proteins location and expression in bEnd.3 cells.
In vivo biotinylation of the rat model of AVM was also conducted. The rat was perfused with NHS-LC-biotin, the fistula was harvested, membrane proteins were extracted and captured on streptavidin resin, digested with trypsin and analysed by LC/MS.

Results

NanoLC ESI MS/MS data were submitted to Protein Pilot V4.0 (AB Sciex). iTRAQ MS identified on average 112 proteins from 1120 distinct peptides from 3 independent biological replicates. The detected protein threshold (unused ProtScore) was set as >1.3 (better than 95%confidence). 11 proteins were significantly differentially expressed in at least 2 out of 3 experiments. The most extensive changes were observed after 48h post radiation, e.g. cadherin 5 & CD109 (Table 1) (Figure 4‒8).1-12

Annexin A2

CD99

Biglycan

ACO3

GP3

ATA1

Lumican

PAT3

PTPRC

CD36

AT1B1

Prolargin

VCAM2

PECAM

OME2

CAD13

Rab1B

Annexin A1

Table 1 Mass spectrometry identified 120 proteins in the rat model of AVM, 32 of them were known as membrane proteins, e.g. in the table below

Figure 4 CADH5 protein; Expression level in C is higher than R sample at 48h post irradiation (117:118 ratio = C:R) increased 1.2614 fold.
Figure 5 CD109 protein; Expression level in R is higher than C sample at 6h post irradiation (114 :113 ratio = C:R) decreased 0.7817 fold.
Figure 6 bEnd.3 cells stained for CADH5 and PECAM proteins. IRR, irradiated; C, controls.
Figure 7 Rat AVM model closely resembles human AVMs, it has an arterial feeder, the nidus and adraining vein.
Figure 8 In vivo biotinylation perfusion of the rat model of AVM.
P: proteins; B, biotin; STA, streptavidin sepharose (Modified image from Rybak et al.11)

Conclusion

Cell surface protein biotinylation and mass spectrometry of murine endothelial cells identified protein targets in response to irradiation.

Acknowledgements

None.

Conflict of interest

The author declares no conflict of interest.

References

  1. Simonian M, Molloy MP, Stoodley MA. In vitro and In vivo Biotinylation of Endothelial Cell Surface Proteins in the Pursuit of Targets for Vascular Therapies for Brain AVMs. Metabolomics. 2012;S1:007.
  2. Friedlander RM. Arteriovenous Malformations of the Brain. N Engl J Med. 2007;356:2704–2712.
  3. Spetzler RF, Martin NA. A proposed grading system for arteriovenous malformations. J Neurosurg. 1986;65(4):476–483.
  4. The Arteriovenous Malformation Study Group. Arteriovenous malformations of the brain in adults. N England J Med. 1999;340:1812–1818.
  5. Crawford PM, West CR, Chadwick DW, et al. Arteriovenous malformations of the brain: natural history in unoperated patients. J Neurol Neurosurg Psychiatry. 1986;49(1):1–10.
  6. Friedman WA, Blatt DL, Bova FJ, et al. The risk of hemorrhage after radiosurgery for arteriovenous malformations. J Neurosurg. 1996;84(6):912–919.
  7. Maruyama K, Kawahara N, Shin M, et al. The risk of hemorrhage after radiosurgery for cerebral arteriovenous malformations. N Engl J Med. 2005;352(2):146–153.
  8. Scheurer SB, Rybak JN, Roesli C, et al. Identification and relative quantification of membrane proteins by surface biotinylation and two–dimensional peptide mapping. Proteomics. 2005;5(11):2718–2728.
  9. Tu J, Karunanayaka A, Windsor A, et al. Comparison of an animal model of arteriovenous malformation with human arteriovenous malformation. J Clin Neurosci. 2010;17(1):96–102.
  10. Roesli C, Neri D, Rybak JN. In vivo protein biotinylation and sample preparation for the proteomic identification of organ– and disease–specific antigens accessible from the vasculature. Nat Protoc. 2006;1(1):192–199.
  11. Rybak JN, Ettorre A, Kaissling B, et al. In vitro biotinylation for identification of organ–specific antigens accessible from the vasculator. Nat Methods. 2005;2(4):291–298.
  12. Song X, Bandow J, Sherman J, et al. iTRAQ experimental design for plasma biomarker discovery. J Proteome Res. 2008;7(7):2952–2958.
Creative Commons Attribution License

©2014 Simonian, et al. This is an open access article distributed under the terms of the, which permits unrestricted use, distribution, and build upon your work non-commercially.