Submit manuscript...
MOJ
eISSN: 2379-6162

Surgery

Case Report Volume 8 Issue 2

A rare cause of acute mechanical intestinal obstruction: abdominal cocoon syndrome

Talar Vartanoglu Aktokmakyan,1 Candas Ercetin,2 Hakan Yigitbas,2 Osman Bilgin Gulcicek,2 Erkan Yavuz,2 Aytac Biricik,2 Fikert Calikoglu,2 Fatih Celebi,2 Atilla Celik2

1Department of General Surgery, Sarikamis State Hospital,Turkey
2Department of General Surgery, Istanbul Bagcilar Training and Research Hospital, Turkey

Correspondence: Talar Vartanoglu Aktokmakyan, Department of General Surgery, Sarikamis State Hospital, Istanbul, Turkey, Tel +90369530785

Received: March 02, 2020 | Published: May 18, 2020

Citation: Aktokmakyan TV, Ercetin C, Yigitbas H, et al. A rare cause of acute mechanical intestinal obstruction: abdominal cocoon syndrome.MedCrave Online J Surg. 2020;8(2):37-38. DOI: 10.15406/mojs.2020.08.00168

Download PDF

Abstract

Abdominal cocoon syndrome (ACS), which is a rare cause of acute mechanical intestinal obstruction, is usually found incidentally during laparotomy. Although ACS is a rare clinical diagnosis, it is still a contradictory in the definition. ACS can be primary or secondary. According to the etiological factors and examinations, discrimination can be done. The preoperative diagnosis of ACS is difficult due to non-specific clinical features. However, the diagnosis is can made by exploratory laparotomy. In this paper, we presented the oldest female cocoon who diagnosed after the laparotomy.

Keywords: abdominal cocoon syndrome, acute mechanical intestinal obstruction

Abbreviations

ACS, abdominal cocoon syndrome; CT, computed tomography

Introduction

Abdominal Cocoon Syndrome (ACS), one of the unusual reasons for acute mechanical intestinal obstruction, is generally detected by chance during laparotomy.1 It is a relatively rare celiac disease in surgical emergencies.2 If ACS is classified as primary and secondary, the primary group known as idiopathic is extremely rare. Secondary ACS is usually detected in patients with long-term use of block-blockers, continuous peritoneal dialysis, tuberculosis, or liver transplantation.3 At the preoperative diagnosis of ACS is difficult due to non-specific clinical features. So, the diagnosis is commonly made by the help of exploratory laparotomy. When the literature is reviewed in detail, you will notice that the oldest female cocoon is presented in this paper.

Case report

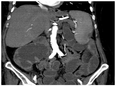
A 78-year-old female patient who was admitted to the emergency department with complaints of worsening abdominal pain, nausea, and vomiting for three days was considered as an acute abdomen. On physical examination, rebound and defense were found positive in the left upper quadrant. On auscultation, there was also hyperactive bowel sound. The patient with known ischemic heart disease and arrhythmia has no previous abdominal surgery. She had no infectious diseases like tuberculosis. The patient with mildly high leukocytosis and a C-reactive protein of 90 mg/L was prepared for an emergency operation. In her abdominal computed tomography (CT), acute mesenteric ischemia was suspected due to dilated ileal loops, diffuse air-fluid levels, and dilatation in the proximal colon Figure 1. However, any vascular event could not be detected at the CT screening. According to all these clinical information, the patient was prepared for an emergency operation. First of all, diagnostic laparoscopy was planned for the patient. Although it was tried with open technique, laparotomy was performed due to the inability to enter the abdomen. During exploration, many adhesions could be defined as the cocoon surrounding all organs, and free fluid was not seen in the abdomen Figure 2. Numerous bridotomy-bridectomies were performed. The closed perforation area was detected as a mass lesion at the splenic flexure and a left hemicolectomy had to be performed. The patient was discharged on the 5th postoperative day after intestinal function improved gradually. A 2-years follow-up period was performed and no recurrence was detected. In the pathological examination, ACS-related perforation was confirmed in the patient.

Figure 1 Dilated intestinal anses with the air-fluid level at the CT.

Figure 2 View of the laparotomy.

Discussion

Although ACS is a rare clinical diagnosis, it is still a contradictory in the definition. ACS is classified into two groups, primary and secondary, according to the underlying etiological factors. Primary ACS is always idiopathic. Primary is defined as the failure of any factor to explain this condition after assorted examinations (history, blood tests, radiological imaging). The history of patients with secondary ACS includes a long-term history of peritoneal dialysis, abdominal tuberculosis, abdominal trauma or surgical history, or long-term beta-blocker therapy.4 ACS should also be considered as a preliminary diagnosis in our case with a long history of beta-blocker use. Although ACS etiology has been tried to be elucidated by various hypotheses, question marks about the causes still proceed. Some authors have argued that retrograde menstruation with superimposed viral infection, retrograde peritonitis via the fallopian tubes, and cell-mediated immunological tissue damage secondary to gynecological infection-causing ACS in adolescent girls.5 However, these hypotheses cannot explain the etiology of the male gender. Ultrasonography, barium-contrast X-ray, and/or CT can assist in precise preoperative diagnosis of ACS. However, as in our case, it may not be diagnosed until surgery by imaging techniques. Surgery is evaluated as the first option for patients with recurrent acute or chronic intestinal obstruction problems.6 The problem in these patients is due to the difficulty in accessing the problematic ans because all the intestines have gato and all the intestines cannot be completely sure of the success of the operation. Like in our case, due to the gato we had to perform a hemicolectomy. Post-operative complications such as short bowel syndrome, intestinal fistula, intra-abdominal infection, and intestinal perforation are extremely unusual in patients with ACS.7 As stated in most studies, postoperative ACs prognosis seems excellent and no recurrence has been identified.8 The result is equally good in our study, and recurrence has not been seen, despite 2 years.

Conclusion

It is quite complicated to diagnose acute and nonspecific ACS patients pre-operatively. Principally in elderly patients, in patients presenting with acute abdominal complaints, ACS is often put in the background in the preliminary diagnosis. Considering that the formation of cocoons that cause an obstruction in the small intestine may be idiopathic with the presence of secondary factors, it should be kept in mind among the causes of acute abdomen and subsequent diagnoses in the elderly patients.

Acknowledgments

None.

Conflicts of interest

The author declares that there is no conflict of interest.

Funding

None.

References

Creative Commons Attribution License

©2020 Aktokmakyan, et al. This is an open access article distributed under the terms of the, which permits unrestricted use, distribution, and build upon your work non-commercially.