Submit manuscript...
MOJ
eISSN: 2379-6162

Surgery

Case Report Volume 11 Issue 2

Autoimmune encephalitis, a diagnostic and therapeutic challenge in the intensive care unit

David Sanabria Cordero,1 Ignacio Alberto Mendez de Jesus,1 Saúl Trejo-Rosas,1 Yuridia Marisela Ortega Labra,1 Sonia Damián Flores,1 Juan José De La Rosa Vázquez,1 María Verónica Jacobo Castro,2 María de las Nieves Hernández Rodríguez,1 Aurora Medrano Barragan,1 Francisco Omar Avendaño Hernández,1 Miriam Galicia de Jesús,1 Karen Quirino Garcia,1 Betzahida Meneses Cisneros,1 Magdalena Avalos Garcia,3 Adriana Desireé Velázquez Rivera3

1Intensive Care Unit. High Specialty Medical Unit Infectology Hospital “Dr. Daniel Mendez Hernandez, National Medical Center “La Raza” Mexican Institute of Social Security, Mexico
2Emergency Unit. General Hospital of Zone 197 Texcoco, Mexican Social Security Institute, Mexico
3Emergency Unit. ISSSTE TACUBA General Hospital, Institute of Security and Social Services for State Workers, Mexico

Correspondence: Ignacio Alberto Mendez de Jesus, Calle lago chapa number 34, colonia Anahuac I, Mexico City, ZIP Code: 11320, Tel 55 35 06 93 69

Received: August 10, 2023 | Published: August 24, 2023

Citation: Cordero DS, de Jesus IAM, Trejo-Rosas S, et al. Autoimmune encephalitis, a diagnostic and therapeutic challenge in the intensive care unit. MOJ Surg. 2023;11(2):102-105. DOI: 10.15406/mojs.2023.11.00232

Download PDF

Summary

Autoimmune encephalitis is a progressive inflammation of the brain, from acute to subacute, associated with antibodies against neuronal cell surface and synaptic protein, most commonly encephalitis against the N-methyl-D-aspartate (NMDA) receptor. New significant findings on etiology show that autoimmune encephalitis is triggered by several etiologies, for example neoplastic processes (breast, lung, kidney, thyroid cancer, ovarian teratoma, and B-cell lymphoma) but also by infections of the nervous system, such as herpes encephalitis. Antibodies against neuronal surface structures are usually direct pathogens and develop their effect through internalization of target proteins, through receptor blockade or complement activation. The type and titer of the antibody e.g. against NMDA receptors, Gamma Amino Butyric (GABA), α-Amino-3-hydroxy-5-methyl-4-isoxazolepropionic acid (AMPA) receptors or voltage-gated potassium channel complexes. An associated tumor, biomarkers, imaging studies, and cerebrospinal fluid are decisive for the prognosis. We present the clinical case of a male patient in the fourth decade of life who is diagnosed with autoimmune encephalitis, we will address the diagnosis and treatment.

Keywords: N-methyl-D-aspartate, gamma Amino Butyric, α-amino-3-hydroxy-5-methyl-4-isoxazolepropionic acid

Abbreviations

NMDA, N-methyl-D-aspartate; GABA, gamma amino butyric acid; AMPA, α-amino-3-hydroxy-5-methyl-4-isoxazolepropionic acid

Introduction

The causes of encephalitis can be divided into those of infectious, post-infectious, paraneoplastic, and autoimmune origin, but approximately 60% of cases remain without a precise diagnosis.1 The exact prevalence of autoimmune encephalitis is uncertain, with a significant increase in cases in recent years, associated with advances in the investigation of studies against a specific cell antigen.2

Autoimmune etiology is increasingly recognized and patients with tests against specific neuronal cell surface proteins are more frequently identified in research and clinical routine.3 The Olmsted study suggested that the incidence of autoimmune encephalitis (0.8 per 100,000) nearly matched that of infectious encephalitis (1 per 100,000) and that the incidence of autoimmune causes increased over time as they were identified and performed.4 approximately, 75% of patients have full recovery or mild deficit, while 25% remain severely disabled or die. A mortality of 4% is estimated.5,6 Autoimmune encephalitis or encephalopathies are those caused by immunological factors as demonstrated or cellular immunity against symptoms present in the brain parenchyma. Depending on the type of immunity and the emergency in question, autoimmune encephalitis can be subdivided into those produced by proven tests (CA) against cell surface alterations and those against intracytoplasmic alterations. In the former, CAs have a pathogenic role by themselves, producing functional results of receptors (R) or other membrane proteins, as is the case of anti-N-methyl-D-aspartate (NMDA) receptor CA encephalitis); these encephalitis subtypes have a variable association with systemic neoplasms. Autoimmune encephalitis can be triggered by various tumors (breast, lung, kidney, thyroid cancer, ovarian teratoma, and B-cell lymphoma), but also by infections of the nervous system, such as herpes encephalitis.7 Studies against structures of the neuronal surface are usually direct pathogens and develop their effect through the internalization of target proteins, through receptor blockade or complement activation. We present the clinical case of a male patient in his fourth decade of life who was diagnosed with autoimmune encephalitis with positive tests for NMDA.

Description of the clinical case

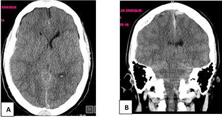
33-year-old male, with no history of chronic-degenerative diseases. His condition began on April 20, 2022 with tinnitus in the left ear, paresthesias were added in the 4 extremities, he attended a medical evaluation on 2 occasions, received unspecified treatment, later chest pain, anxiety, exacerbation of cognitive distortion and hypertensive lack of control, frontoparietal headache 7/10, epiphora and left conjunctival hyperemia. On May 2, presented an episode of psychosis, aggression and a new convulsive event, subsequently maniest inattention, altered judgment, 4 convulsive events lasting approximately 2-3 minutes, accompanied by hallucinations, incoherent and disorganized language. A lumbar puncture was performed reporting clear cerebrospinal fluid with increased protein, normal glucose and no cellularity. On May 5, a CT scan (Computerized Axial Tomography) of the simple skull was performed, which reported Fisher grade III subarachnoid hemorrhage, diffuse edema with displacement of the midline on the left side of up to 2.8 mm (Figure 1).

Figure 1 Cross-sectional and coronal cross-sectional computed tomography of the skull.

Simple cross-sectional tomography of the skull Figure-A, coronal section Figure-B, reports Fisher grade III subarachnoid hemorrhage, diffuse edema with displacement of the midline on the left side of up to 2.8 mm. Magnetic resonance imaging was performed on T2 and Flair sequences, which reported diffuse supratentorial cerebral edema, as well as the presence of Fisher grade III subarachnoid hemorrhage, predominantly on the right (Figure 2).

Figure 2 Magnetic Resonance of simple skull in T2 sequence, cross section..

Cross-sectional T2-weighted magnetic resonance imaging showing the presence of hemorrhage in the global supratentorial and tentorial subdural space, predominantly right. During the hospital stay in the infectious disease department (national medical center “La Raza”), his neurological status worsened, requiring advanced airway management. Therefore he was admitted to the Intensive Care Unit (ICU) for neurocritical monitorization and critcal care.

In the Intensive Care Unit, he remained under sedation with propofol calculated at 1-2 mg/kg/hr, requiring the use of norepinephrine-type vasoactive amines at a dose of 0.3 mcg/kg/minute, buprenorphine-type opioid analgesics, 3% hypertronic solutions secondary to intracranial hypertension, acyclovir at a dose of 2.1 g every 24 hours and Ceftriaxone at a dose of 4 g every 24 hours (for 8 days) and levetiracetam-type anticonvulsant 2 g every 24 hours. An extubation protocol was carried out, however, it was not tolerated by the patient, and it was necessary to continue under assisted mechanical ventilation. Upon admission to the service, the following laboratories were reported: Leukocytes 4.10 103/µl, Neutrophils 6.78 103/µl, Lymphocytes 0.83 103/µl, Hemoglobin 12.3 g/dL, Hematocrit 36.5%, platelets 179 103/µl, PT 13.7 sec, TTP 34.3 sec, INR 1.13, glucose 136 mg/dL, Creatinine 0.95 mg/dL, Urea 47 mg/dL, DHL 306 U/L, Na 148 mmol/L, K 3.9 mmol/L, Cl 113 mmol/L, Ca 7.70 mg/dl, Phosphorus 2.7 mg/dl, PCR 4 mg/dl.

Subsequently, due to the patient's torpid evolution and persistent fever, the cerebrospinal fluid analysis was performed again. Gram stain, Chinese ink, Xpert gene, FilmArray (meningitis/encephalitis panel) and culture for bacterial, viral, yeast meningitis/encephalitis were requested and Mycobacteria, reporting all of them negative. On May 13, antibiotic and antiviral treatments were suspended. An electroencephalogram was performed, which reported severe generalized dysfunction, based on these findings, the suspicion of autoimmune encephalitis was assumed, a new lumbar puncture was performed, immunohistochemistry studies were requested to search for autoantibodies of the IgG class and the NMDAR1, GAD65/67 and GABAB antigens by immunoblot , the results were: presence of NMDA in CSF <plasma, low presence of GAD 65/67 in CSF<plasma and negative for GABAb and AMPAR (Figure 3). The diagnosis of autoimmune encephalitis was made, treatment was started with methylpredinisolone at a dose of 1 gr IV every 24 hours and valproate 600 mg every 8 hours, due to the neurological condition and 14 days of ventilation, an early tracheostomy plus gastrostomy was performed.

Figure 3 Immunohistochemistry.

Presence of N-methyl-D-aspartate (NMDA) receptor in CSF < plasma, low presence of GAD 65/67 in CSF < plasma and negative for GABAb and AMPA.

  1. In the cerebrospinal fluid, recognition of autoantibodies of the IgG class against neural proteins of 140-115 (red arrow) is observed, it is greater against proteins of 80, 60 Kd and 27 (white arrow).
  2. In the plasma, recognition of autoantibodies of the IgG class against neural proteins 140-115 (red arrow) is observed, it is greater against proteins of 80, 60 Kd and 27 (white arrow).

The patient is transferred to the neurology department to provide 6 plasmapheresis sessions and rituximab is subsequently added. After 3 months of hospital stay plus treatment and rehabilitation, the patient begins to recover his essential vital functions such as swallowing, passive movements until getting out of bed.

Clinical presentation

The clinical characteristics of autoimmune encephalopathy vary depending on the type of anti-neuronal antibody involved. In general they tend to have a subacute presentation, reaching their peak in weeks to 3 months from the onset of symptoms. They may present with psychiatric symptoms such as aggression, irritability, mood lability, hallucinations, and marked disturbances in sleep/wake cycles.8,9 Seizures occur in most autoimmune encephalitis syndromes and are a common factor triggering autoimmune encephalitis. neurological care. Seizure types and frequencies vary among autoantibody-mediated diseases.10

Diagnosis

Cerebrospinal fluid evaluation is required for diagnosis. Among the findings, moderate lymphocytic pleocytosis and elevated proteins are included, as well as oligoclonal bands in 60% of cases. The real diagnosis is by demonstrating that the cerebrospinal fluid and serum contain antibodies against N-methyl-D-aspartate (NMDA).11

Other studies such as magnetic resonance that can be normal in 50% of cases. Abnormal magnetic resonance findings include hyperintensity in cortical or subcortical regions on T2 or Flair in the medial temporal lobe, or also dotted areas in the frontal or parietal cortical region, insular, or basal ganglia.12,13

The electroencephalogram is usually abnormal, showing slow and disorganized activity in the delta/theta range (Extreme Delta Brush, an almost exclusive sign of this entity).14 Sometimes with overlapping seizure activity. If this entity is suspected in a woman, it should always be tracked with tomography or ultrasound, given the possibility of an ovarian teratoma.15 The study by Shu Y. reports the relationship between the decrease in lipid and bilirubin metabolism with the consequent decrease in HDL in the initial stages of the disease and with recovery to normal values after treatment. Tumor markers (CA-125, B-HCG, Alphafeto protein, or testosterone) have not been systematically evaluated, but are negative in most patients (Figure 4).16,17

Figure 4 Diagnostic and therapeutic approach to suspected autoimmune encephalitis Autoantibody-mediated encephalitides: from clinical observations to molecular pathogenesis. (Journal of Neurology.2021;268:1689–1707)

Treatments

Immunotherapy and in appropriate tumor management, if present, is the first-line treatment generally consisting of corticosteroids (intravenous and oral), Methylprednisolone injected at a dose of 1 gram per day for 3 to 7 days is a common reasonable approach to achieve an initial immunosuppressant and anti-inflammatory effect in patients with autoimmune encephalitis; if no improvement is achieved, intravenous immunoglobulin is added at a dose of 2 g/kg for 2 to 5 days and/or plasmapheresis. The effect of an early immunotherapy, in particular a test removal by plasmapheresis supports the hypothesis of a direct pathogenicity of the tests.18 Second-line treatment is generally given when first-line therapies do not produce a clear benefit, or when they are known that the disease is severe or recurrent, and generally include rituximab in combination with cyclophosphamide (600–1000 mg/m2) followed by monthly cycles or other alternatives such as azathioprine, mycophenolate, among others.15 In certain cases, when the patient has AC against NMDAR, or those who cannot tolerate first-line immunotherapy, should be concerned with Rituximab as a treatment option.19

In an English study on Rituximab, it is concluded that there is sufficient evidence to consider it as a second-line treatment for patients who have an inadequate response to first-line immunotherapy, who are defined by a deterioration of less than 2 points on the Rankin Scale. Modified (which measures the degree of disability), and/or that has not reached the minimum score from 2 to 4 weeks after the start of treatment (usually within 6 weeks of the onset of symptoms).20 Rituximab includes 375 mg/m2 weekly for 4 weeks or two 1000 mg doses 2 weeks apart. In patients with symptoms of psychosis and emotion, it is suggested to start with quetiapine. Patients with acute symptoms who refuse oral medication often respond to thorazine; and emphasis is placed on avoiding high potency antipsychotics.20

Conclusion

The growing group of autoimmune encephalitis requires clinical and experimental investigation into the underlying pathophysiological mechanisms and associated tumors and prompt immunotherapy and prognostic factors. Antibodies against neuronal surface structures are usually directly pathogenic. The prognosis depends mainly on the type of CA (for example, NMDA, GABA receptors or VGKC complex). Encephalitis is caused by, among other things, CNS tumors and infections. In the more insidious clinical courses, which are sometimes more like neurodegenerative presentations than florid encephalitis syndromes, they often lead to late diagnosis and therefore delayed initiation of immunotherapy. Although tumors, prion diseases, and metabolic disorders are often found in the differential diagnosis, a pragmatic trial of immunotherapy may only be absolutely contraindicated in the setting of some infections. However, observational data show that corticosteroids may be beneficial in some forms of herpes simplex virus (HSV) encephalitis, suggesting that this may not be a universal contraindication. Second-line treatments are generally given when first-line therapies do not produce clear benefit, or when disease is known to be severe or recurrent, and typically include rituximab, cyclophosphamide followed by monthly cycles, or other alternatives such as azathioprine, tocilizumab, mycophenolate among others.

Acknowledgments

None.

Conflicts of interest

The authors declare no conflicts of interest.

References

  1. Armangue T, Leypoldt F, Dalmau J. Auto-immune encephalitis as differential diagnosis of infectious encephalitis. Curr Opin Neurol. 2014;27(3):361–368.
  2. Pruss H, Stoecker W. Retrospective analysis of NMDA receptor antibodies in encephalitis of unknown origin. Neurology. 2010;75(19):1735–1739.
  3. Zuliani L, Graus F, Giometto B, et al. Central nervous system neuronal surface antibody associated syndromes: review and guidelines for recognition. J Neurol Neurosurg Psychiatry. 2012;83(6):638–645.
  4. Dubey D, Pittock SJ, Kelly CR, et al. Autoimmune encephalitis and a comparison to infectious encephalitis. Ann Neurol. 2018;83(1):166–177.
  5. Dalmau J, Lancaster E, Martinez-Hernandez E, et al. Clinical experience and laboratory investigations in patients with anti-NMDAR encephalitis. Lancet Neurol. 2011;10(1):63–74.
  6. Zhigang Liang, Shaowan Yang, Xuwen Sun, et al. Teratoma-associated anti-NMDAR encephalitis: Two cases report and literature review. Medicine. 2017;96(49):e9177.
  7. Graus F, Titulaer MJ, Balu R, et al. A clinical approach to diagnosis of autoimmune encephalitis. Lancet Neurol. 2016;15(4):391–404.
  8. Varley J, Taylor J, Associate SRI. Autoantibody-mediated diseases of the CNS: Structure, dysfunction and therapy. Neuropharmacology. 2018;132:71–82.
  9. Titular MJ, McCracken L, Gabilondo I, et al. Treatment and prognostic factors for long-term outcome in patients with anti-NMDA receptor encephalitis: an observational cohort study. Lancet Neurol. 2013;12(2):157–65.
  10. Arino H, Armangue T, Petit-Pedrol M et al. Anti-LGI1-associated cognitive impairment: presentation and long-term outcome. Neurology. 2016;87(8):759–765.
  11. Bhat P, Ahmed A, Jolepalem P, et al. A case report: antiNMDA receptor encephalitis. J Community Hosp Intern Med Perspect. 2018;8(3):158–160.
  12. Clinical Commissioning Policy: Rituximab for second line treatment for anti-NMDAR autoimmune encephalitis (all ages). NHS United Kingdom.
  13. Bhat P, Ahmed S, Jolepalem P, et al. A case report: antiNMDA receptor encephalitis. J Community Hosp Inmtren Med perspec. 2018; 8(3):158–160.
  14. Zhang T, Duan Y, Ye J, et al. Brain MRI characteristics of patients with anti-n-methyl-daspartate receptor encephalitis and their associations with 2-Year clinical outcome. Am J Neuroradiol. 2018;39(5):824–829.
  15. Guanyabens-Buscà N, Casado-Ruiz V, Giné-Serven E, et al. Anti-NMDA receptor encephalitis. Early diagnosis and treatment in patients with acute-subacute psychotic symptoms. Rev Neurol. 2019;68(1):18–22.
  16. Shu Y, Xu Y, Chen C, et al. Serum bilirubin and albumin in antin-methyl-d-aspartate receptor encephalitis. Neuroimmunomodulation. 2018;25(4):206–214.
  17. Shu Y, Qin B, Xu Y, et al. Lipid Metabolism in Patients with anti-n-methyl-d-aspartate receptor encephalitis. Neuroimmunomodulation. 2017;24(4-5):256–263.
  18. Titulaer MJ, McCracken L, Gabilondo I et al. Treatment and prognostic factors for long-term outcome in patients with anti-NMDA receptor encephalitis: an observational cohort study. Lancet Neurol. 2013;12:157–165.
  19. González-Latapi P, Rodríguez-Violante M, Cervantes-Arriaga A, et al. Encephalitis due to anti-N-methyl-daspartate receptor (anti-NMDAR) antibodies: report of a case. Gac Méd Mex. 2014;150(4):348–351.
  20. Clinical Commissioning Policy: Rituximab for second line treatment for anti-NMDAR autoimmune encephalitis (all ages). NHS England 75.
Creative Commons Attribution License

©2023 Cordero, et al. This is an open access article distributed under the terms of the, which permits unrestricted use, distribution, and build upon your work non-commercially.