Submit manuscript...
MOJ
eISSN: 2379-6162

Surgery

Case Report Volume 6 Issue 6

Forgotten blade of delbet on the drainage site of a complicate peritonitis of a voluminous seroma

Sow O,1 Foba L,2 Barboza D,3 Diouf C,1 Diallo I,1 Cisse M,2 Ka O,2 Dieng M2

1Service of General Surgery at the Peace of Ziguinchor
2Service of General Surgery Aristide Le Dantec Hospital, Cheikh Anta Diop University S
3Service of Anesthesia and Intensive Care, Assane Seck University of Ziguinchor in Senegal, Senegal

Correspondence: Omar Sow, Service of General Surgery at the Peace of Ziguinchor, Dakar City of Officiers, Senegal, Tel 00221-779175059

Received: September 20, 2018 | Published: November 20, 2018

Citation: Sow O, Foba L, Barboza D, et al. Forgotten blade of delbet on the drainage site of a complicate peritonitis of a voluminous seroma. MOJ Surg. 2018;6(6):177-178. DOI: 10.15406/mojs.2018.06.00148

Download PDF

Abstract

The purpose of this study was to provide a rare case of a forgotten Delbet blade on the drainage site of a patient who underwent laparotomy for peritonitis drainage. After 20 years of evolution, the diagnosis of a voluminous mass on the left flank due to a foreign object was done based on clinical, scanning evidence and surgical exploration.

Keywords: Delbet's blade, seroma, surgery, surgical exploration, scanning evidence, peritonitis, xypho-pubic laparotomy, computed tomography, myorraphy, surgical drapes, radiopaque, iatrogenic

Introduction

Forgetting foreign bodies in the surgical site is the obsession of every surgeon. It is an iatrogenic complication that can engage the responsibility of the surgeon and the vital prognosis of the patient. It is not reported by surgeons in our environment, yet it is a very plausible complication, given our difficult working conditions. In the literature Forgotten compresses and fields are more common. Forgotten drains are rarely described.1 We report a case of Delbet blade forgotten at the drainage site of a complicated peritonitis with a seroma, occurring 20 years after surgery.

Observation

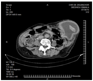
We report the case of a 75-year-old man, who was received in consultation for an abdominal painless mass of the left flank, gradually increasing in volume. His medical history related a midline xypho-pubic laparotomy in 1970 for an unspecified cause of peritonitis. The physical examination indicated a good general condition, colored mucous membranes, and a painless and irreducible mass of soft consistency measuring 15x13 cm in the left flank, Figure 1. We noted a midline xypho-pubic laparotomy scar. The rest of the physical examination showed no specificities. The blood count Biology showed a 5000/mmᵌ white blood cell count, a 11.9g/dl hemoglobin level and a 327000/mmᵌ platelet count. The creatinine serum was 10mg/l and the urea 0.20 g/l. The computed tomography (CT) showed a parietal liquid collection of the left flank measuring 15x13 cm with a thickened and regular wall containing a dense formation of lamellar appearance foretelling of a foreign body herniated to the lateral wall Figure 2. A general anesthesia was performed on the patient for the surgical exploration. The surgical exploration by incision at the level of the mass revealed a seroma shell containing 21 of shady liquid and a Delbet blade measuring 20 cm long in an extra-peritoneal position Figure 3. We carried out a complete excision of the hull taking out the Delbet blade without any peritoneal/bloodshed, and a myorraphy. The postoperative management was simple. The patient was allowed to resume home four days after surgery (Figure 1–4).

Figure 1 Left Para median mass

Figure 2 Parietal liquid collection with a lamellar formation foretelling a foreign body

Figure 3 Seed shell with a delbet blade

Figure 4 Post-operative recovering

Discussion

The prevalence of forgotten foreign objects after abdominal surgery is difficult to establish because all observations are not reported.2 However, the authors agree that it is a rare complication with prevalence between 0.02% and 0.1% of interventions.2,3 The most frequently found foreign objects are textiles such as compresses or surgical drapes, left unintentionally during surgery in the peritoneal cavity. The delbet blade is rarely found in the literature. It is used to drain the peritoneal cavity in case of peritonitis or intervention with risk of collection or fistula. When the blade is not properly secured, it can migrate into the abdomen. Their evolution is variable. It may remain mute, or maintain suppuration through the drainage orifice or responsible for digestive fistula. In our case, the patient was operated without ablation of the Delbet blade. Forgetting foreign objects in the surgical site is an iatrogenic complication that can happen in any surgical situation. Abdominal localization remains the most frequent one.4,5 The discovery of an intra-abdominal foreign object is sometimes fortuitous. There are no specific signs of foreign objects. Clinical manifestations are polymorphic.6–8 Diagnosis is rarely made on clinical evidence. The surgical history and medical imaging sometimes help perform the diagnosis. Radiography and ultrasound are recommended examinations for the diagnosis of textiles and radiopaque foreign bodies. But their contribution is difficult to evaluate because it depends on the surgeon's experience, the clinical information and the high-performance equipment. Computed tomography (CT) remains the reference examination for the diagnosis of forgotten foreign bodies in the abdomen. It sometimes gives the nature of the foreign body, the topography and a complete exploration of the peritoneal cavity.6,9 In our case the CT scan enabled the diagnosis of foreign body. Any recognized foreign body must be removed. Sometimes only a surgical exploration can determine the nature of the foreign body as in our case.

Conclusion

The forgetting of foreign objects in the surgical site is a situation that can involve the responsibility of the surgeon and the patient's vital prognosis due to its various complications. Because of the medico-legal consequences that it may involve, it is a sensible topic less addressed by surgeons. The prevention implies proper fixation of the drains and their removal by the surgeon himself or in his presence.

Acknowledgements

None.

Conflict of interest

Author declares there is no conflict of interest.

References

  1. Lebeau R, Diane B, Koffi E, et al. Le corps étranger après chirurgie abdominale : A propos de 12 observations. Mali medical. 2004;19(3-4):8–12.
  2. Hajji A, Abbar M, Bouchama R, et al. les textilomes intrapéritonéaux. J chir. 1988;125(5):353–357.
  3. Chovart G, Khan J, Camelot G, et al. L’évolution des corps étrangers oubliés dans l’abdomen. Ann Chir. 1976;30(8):643–649.
  4. Issam S, Abdelghani F, Jaafar SL, et al. à propos d’un cas. Panafricanmedical journal (en ligne) 2011.
  5. Hammani O, Ammar J, Hamzaoui A. Textilome pleural découvert après cure d’un canal artériel persistant. La tunisie médicale. 2010;88(010):753–756.
  6. Hammoud D, Ammouri N, Rouhana G, et al. Aspects radiologiques des textilomes. J Radiol. 2001;82(8):913–916.
  7. N’Gowe M, Atangara R, Binam F, et al. Pseudo-tumeur du grand épiploon. Revue Africaine de Chirurgie. 1999;2:77–79.
  8. Sada JJ, Bonniaud P, Favre JP, et al. Fécalome intestinal par corps étranger oublié. Rev Fr Gastro-Entero 1982;179:11–14.
  9. Karila-Cohen P, Kotobi H, Weber N, et al. Textilome abdominal. J Radiol. 2004;85:17–20.
Creative Commons Attribution License

©2018 Sow, et al. This is an open access article distributed under the terms of the, which permits unrestricted use, distribution, and build upon your work non-commercially.