Submit manuscript...
MOJ
eISSN: 2379-6162

Surgery

Case Report Volume 2 Issue 2

Gallstone: not in the gallbladder

Diwakar R Sarma, S Kalaskar, M Watson

Department of general surgery, Darent Valley Hospital, UK

Correspondence: Diwakar R Sarma, Department of general surgery, Darent Valley Hospital, Dartford and Gravesham NHS Trust, UK, Tel 01322428100

Received: February 06, 2015 | Published: April 1, 2015

Citation: Sarma DR, Kalaskar S, Watson M. Gallstone: not in the gallbladder. MOJ Surg. 2015;2(2):28-29 DOI: 10.15406/mojs.2015.02.00013

Download PDF

Abstract

Gallstone ileus-the misnomer in surgical terminology is a rarely encountered phenomenon. Stone having eroded through the gallbladder via a cholecysto-enteric fistula gets arrested at the terminal ileum, eventually leading to mechanical small bowel obstruction. CT scan images in our patient revealed radio-opaque stones in the gallbladder and the terminal ileum with pneumobilia and small bowel obstruction (Rigler’s triad). There was also malignant ascitis with omental metastasis from cancer of unknown primary. As the patient had advanced malignancy with poor performance status, no further active surgical intervention was advocated. Radio-opaque gallstones are unusual (20% incidence); gallstones in the small bowel with mechanical obstruction are even rarer. Clinical suspicion and radiological investigations are cornerstone to the diagnosis and appropriate management.

Keywords: gallstone ileus, small bowel obstruction, CT scan, acute abdomen, gallstones

Abbreviations

CT, computer tomography

Introduction

Gallstone ileus-the misnomer in surgical terminology is a rarely encountered phenomenon. Stone having eroded through the gallbladder via a cholecysto-enteric fistula gets arrested at the terminal ileum, eventually leading to mechanical small bowel obstruction.

Case report

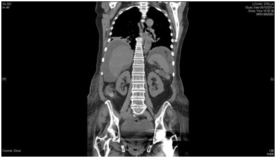
We describe gallstones at the terminal ileum, in a patient presenting with an acute small bowel obstruction, with advanced malignancy of unknown origin. CT scan images (Figures 1 & Figure 2) in our patient revealed radio-opaque stones in the gallbladder and the terminal ileum with pneumobilia and small bowel obstruction (Rigler’s triad). There was also malignant ascitis with omental metastasis from cancer of unknown primary. Patient was resuscitated and given the option of emergency surgery. But as she had advanced malignancy with poor performance status, after discussion with her and her relatives, she was managed conservatively and no further active surgical intervention was advocated.

Figure 1 CT scan showing radio-opaque gallstones and also a speck of radio-opaque shadow in the terminal ileum along with massive ascitis.
Figure 2 CT scan depicting the gallstone at the terminal ileum causing clinical small bowel obstruction.

Discussion

Radio-opaque gallstones are unusual (20% incidence); gallstones in the small bowel with mechanical obstruction are even rarer. Cholecystoduodenal fistula is the commonest cause and often affects patients between 63 and 85 years old, particularly the female sex, with preexisting gallstone disease.1 In the 1 to 3% of cases, the biliodigestive fistula presents a gallstone ileus as complication, whose diagnosis is particularly difficult for the lack of specific signs and symptoms. The contrast-enhanced CT is considered the gold standard for a specific pre-operative diagnosis, as it directly shows the fistula.2 CT is recognized as having the greatest diagnostic accuracy with a sensitivity of 93% and specificity of 100%.3 In an emergency setting CT provides a more rapid and accurate diagnosis4 and also allows for a better determination of the degree of obstruction, its location and visualization of bilioenteric fistulae, and the condition of the adjacent bowel mucosa. Rigler triad is pathognomonic of gallstone ileus, however this sign is noted only in about 4-35% of cases.5 Gallstone ileus remains the most common form of secondary enterolithiasis. This condition arises in estimated 0.3%-0.5% of general cholelithiasis.6,7 It accounts for approximately 1%-4% of all cases of mechanical bowel obstruction, while significantly increasing to 25% in geriatric population. Our case epitomises the evolution of radiology in surgical practice. In this age of evidence based medicine, axial imaging in the form for CT scan, performed in an acute setting is a useful armamentarium in the hands of emergency surgeons.

Conclusion

Clinical suspicion and radiological investigations are cornerstone to the diagnosis of gallstone ileus and appropriate management. Our case report emphasises the importance of radiological investigations in an acute abdomen.

Acknowledgements

None.

Conflict of interest

The author declares no conflict of interest.

References

Creative Commons Attribution License

©2015 Sarma, et al. This is an open access article distributed under the terms of the, which permits unrestricted use, distribution, and build upon your work non-commercially.