Submit manuscript...
MOJ
eISSN: 2379-6162

Surgery

Case Report Volume 4 Issue 6

Intraabdominal desmoplastic small round cell tumour mimicking metastatic adenocarcinoma

Hanish Kataria,1 Archit Latawa,2 Rajeev Sharma,3 RPS Punia4

1Assistant Professor, Department of Surgery, Government Medical College & Hospital, India
2Postgraduate Resident, Department of Surgery, Government Medical College & Hospital, India
3Professor, Department of Surgery, Department of Surgery, Government Medical College & Hospital, India
4Professor, Department of Pathology, Department of Surgery, Government Medical College & Hospital, India

Correspondence: Hanish Kataria, MBBS, MS, Department of Surgery, Government Medical College &Hospital, Sector 32, Chandigarh, India, 160030, Tel +91964-688-001-5

Received: February 24, 2017 | Published: August 31, 2017

Citation: Kataria H, Latawa A, Sharma R, et al. Intraabdominal desmoplastic small round cell tumour mimicking metastatic adenocarcinoma. MOJ Surg. 2017;4(6):125-127. DOI: 10.15406/mojs.2017.04.00090

Download PDF

Introduction

Desmoplastic small round cell tumour (DSRCT) is a rare, extremely uncommon and highly aggressive variety of malignant neoplasm. Males are more commonly affected than females, with a male to female1 ratio of 3:1, predominantly affecting adolescents and young adults particularly in their second to third decade of life. The cell of origin is thought to be a progenitor cell with multi phenotypic expression. This tumour has a predilection for serosal surfaces. Multiple primary sites have been described however, DSRCT most commonly presents as a multicentric abdominal masses and can resemble metastatic adenocarcinoma. Clinical signs and symptoms are nonspecific so as the radiological and histopathological findings which are only suggestive of but not specific of DSRCT and the diagnosis is usually asserted by Immunohistochemistry.2 We here by describe a rare case of DSRCT of abdomen mimicking metastatic adenocarcinoma.

Case presentation

Clinical history and examination

A 38 years old male presented to our hospital OPD with complaints of something moving in the abdomen for the past two months. On physical examination, there was a palpable lump in the right periumbilical area about 5 x 4 cm in size, which was non tender, mobile, firm in consistency and smooth margins. Rest of abdominal examination was normal. The routine haematological and biochemistry investigations were within normal limits.

Imaging

On ultrasound abdomen, there was an irregular hypoechoic lesion of size 6.8 x 4.8 cm in the right para aortic region with an evidence of calcification within it. On contrast enhanced computerized tomography (CECT) abdomen, there was a heterogeneously enhancing soft tissue mass arising from mesentery of about9x5.3x5.6cmwith evidence of calcification within it.

Surgical treatment

Patient underwent exploratory laparotomy. Intraoperatively, there were multiple nodules of different sizes present in mesentery of transverse colon, ileocaecal region and right side of parities suggestive of metastatic disease but no primary origin was seen. Largest mass of approximately8x6x6 cm size present in the mesentery of transverse colon was excised and sent for frozen section intraoperatively. Liver and rest of the viscera were normal. There was no as cites. A diagnosis of metastatic adenocarcinoma was made initially on frozen imprints. Postoperatively, patient was discharged in satisfactory condition awaiting histopathology examination report.

Pathological findings

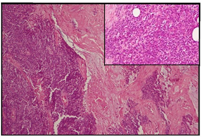
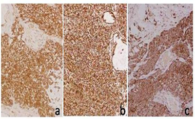
Gross examination of the specimen revealed multiple variably sized nodules studded in the mesenteric fat. The nodules varied in diameter from 0.4 cm to 7.0 cm. Cut-section of these nodules was solid, grey white to grey brown and firm in consistency (Figure 1). On frozen section examination, a diagnosis of metastatic adenocarcinoma was rendered based on clinical and gross findings, clustering of tumour cells, atypical nuclei and myxoid material in the background that was misinterpreted as mucin. Hematoxylin and eosin (H&E) staining on paraffin embedded tissue showed these nodules to be composed of a tumour showing sharply circumscribed aggregates of tumour cells. These aggregates varied in size and shape from being singly scattered to tiny clusters to irregularly shaped islands. Tumour stroma was desmoplastic and showed areas of myxoid change. The tumour cells were small with round to oval hyperchromatic nuclei, scanty cytoplasm, indistinct cell borders and showed high mitotic activity (Figure 2). Immunohistochemistry showed the tumour cells to have strong cytoplasmic positivity for desmin, vimentin and cytokeratin (Figure 3). Thus, the final histopathological diagnosis made was intra-abdominal desmoplastic small round cell tumour which mimicked metastatic adenocarcinoma.

Figure 1 Gross showing cut section of the mass.
Figure 2 Photomicrograph showing nests of small round tumour cells in desmoplastic stroma (H&E x40) Inset, small round tumour cells with hyperchromatic nuclei (H&E x400).
Figure 3 Photomicrograph immunohistochemistry DSRCT
Figure 3a): Tumour cells positive for Vimentin,
Figure 3b): Tumour cells positive for Desmin,
Figure 3c): Tumour cells positive for Cytokeratin.

Discussion

DSRCT is a rare, aggressive tumour having predilection towards the peritoneum and mesothelium lined surfaces and primarily occurs as masses in the abdomen. The tumour generally presents as extensive intra abdominal or less often endopelvic mass with widespread peritoneal and lymphatic dissemination, without an apparent organ of origin.2 The usual clinical features are nonspecific abdominal complaints and patient generally presents late in the course of the disease, with many people already harbouring metastatic disease on presentation. Presentation may include abdominal pain, distension, lack of appetite, palpable abdominal lump which are nonspecific and non-diagnostic.3 The most important imaging tool is CECT scan which may show heterogeneous bulky peritoneal masses without any apparent organ of origin with mesenteric lymphadenopathy.2 Fine needle aspiration cytology has also been used for the diagnosis but still it's not the most preferable way, since molecular cytogenetics require larger biopsies.4,5 Macroscopically, the tumour presents as boss elated grey surfaces with areas of necrosis. Pathology reveals clusters of small to medium sized cells with hyperchromatic nuclei and increased nuclear/cytoplasmic ratio, surrounded by a dense desmoplastic stroma.6 Hattori et al suggested that prominent cytoplasmic vacuoles and cohesion in serous effusions of DSRCT may resemble metastatic adenocarcinoma.7 DSRCT occurs rarely in females and can masquerade ovarian cancer.8 Zeeshan-ud-din et al. reported two cases of intra-abdominal desmoplastic small cell tumour resembling adenocarcinoma of colon.9 By virtue of its resemblance both clinically and radiologically with metastatic adenocarcinoma, the final diagnosis is only based on immunohistochemistry which demonstrate epithelial markers like cytokeratin, mesenchymal markers like vimentin, neuronal elements like neuron specific enolase and myogenic elements like desmin and cytogenetic abnormality which in most cases is a reciprocal translocation involving t(11;22)(p13:q12), whose product is a EWS/WT1 (Ewing sarcoma/Wilm’s Tumour) transcript, that mainly act through ENT4(Equilibrative nucleoside transporter).

The ideal therapeutic strategy is the debulking surgery to reduce the majority of the tumour bulk. However complete removal cannot be done because of extensive peritoneal deposits regarding the aggressiveness of the disease, treatment is based on multi-modal therapy. It has been reported that the combination of surgery, chemotherapy with or without additional radiotherapy have shown best results leading to an overall response rate of 39% and a 3-year survival rate of approximately 50%6,10 as compared to each modality used separately. Despite these strategies, the overall survival remains dismal.

Conclusion

DSRCT is an aggressive neoplasm, despite disseminated disease at the presentation there are very few warning signs. Since these tumour mimics metastatic adenocarcinoma of abdominopelvic organs so we must keep a high degree of suspicion to diagnose these tumours early. So that early debulking surgery with multimodal treatment can be started as soon as possible in order to improve the prognosis and final outcome.

Acknowledgements

None.

Conflict of interest

The author declares no conflict of interest.

References

  1. Wong HH, Hatcher HM, Benson C, et al. Desmoplastic small round cell tumour: characteristics and prognostic factors of 41 patients and review of the literature. Clin Sarcoma Res. 2013;3:14–23.
  2. Koniari K, Mahera H, Nikolaou M, et al. Intraabdominal desmoplastic small round cell tumour: Report of a case and literature review. Int J Surg Case Rep. 2011;2(8):293–296.
  3. Hassan I, Shyyan R, Donohue JH, et al. Intraabdominal desmoplastic small round cell tumours: a diagnostic and therapeutic challenge. Cancer. 2005;104:1264–1270.
  4. La Quaglia MP, Brennan MF. The clinical approach to desmoplastic small round cell tumour. Surg Oncol. 2000;9:77–81.
  5. Mingo L, Seguel F, Rollan V. Intraabdominal desmoplastic small round cell tumour. Pediatr Surg Int. 2005;21:279–281.
  6. Amato RJ, Ellerhorst JA, Ayala AG. Intraabdominal desmoplastic small cell tumour. Report and discussion of five cases. Cancer. 1996;78:845–851.
  7. Hattori YA, Yoshida A, Sasaki N, et al. Desmoplastic small round cell tumour with sphere-like clusters mimicking adenocarcinoma. Diagnostic Cytopathology. 2014;43(3):214–217.
  8. Nakayama J, Nassau S, Atkins K, et al. Desmoplastic small round cell tumour of the ovary: a rare but devastating disease in young women. Gynecol Oncol. 2013;7:16–18.
  9. Zeeshanuddin, Yaqoob N, Pishoroi T, et al. Intra-abdominal desmoplastic small round cell tumour. J Pak Med Assoc. 2006;56:608–610.
  10. Kushner BH, La Quaglia MP, Wollner N. Desmoplastic small round cell tumour: prolonged progression-free survival with aggressive multimodality therapy. J Clin Oncol. 1996;14(5):1526–1531.
Creative Commons Attribution License

©2017 Kataria, et al. This is an open access article distributed under the terms of the, which permits unrestricted use, distribution, and build upon your work non-commercially.