Submit manuscript...
MOJ
eISSN: 2379-6162

Surgery

Case Report Volume 12 Issue 1

Metastasis to testis and testicular adnexa of prostate adenocarcinoma in two high complexity centers in the cities of Bogota and Medellin: A case series

David Ruiz Londoño,1,2,3 Rodolfo Varela,4 Estefanía Celis Reyes,5 Daniela Camila Niño Vargas,6 Camilo Giraldo Villegas,7 Daniel Aristizabal Mazo8

1Urologist Oncologist, Clínica Medellín, Medellín, Colombia
2Epidemiologist, CES University, Medellín, Colombia
3Professor, CES University, Medellín, Colombia
4Chief of Urology Oncology Service, Instituto Nacional de Cancerología, Bogotá D.C., Colombia
5Urologist Oncologist, Hospital Militar Central, Colombia
6rology Resident, Fundación Universitaria de Ciencias de la Salud (FUCS), Bogotá D.C., Colombia
7M.D., CES University, Medellín, Colombia

Correspondence: Estefanía Celis Reyes, Urologist Oncologist, Hospital Militar Central, Bogotá

Received: February 18, 2024 | Published: March 14, 2024

Citation: Londoño DR, Varela R, Reyes EC, et al. Metastasis to testis and testicular adnexa of prostate adenocarcinoma in two high complexity centers in the cities of Bogota and Medellin: A case series. MOJ Surg. 2024;12(1):23-25. DOI: 10.15406/mojs.2024.12.00254

Download PDF

Abstract

Prostate cancer occurs in one of every eight males in the United States based.1 Its incidence is strongly associated with the age of the patients. In this context, the incidence of the disease is 0.2% and 16% in patients in their 40s or over 80 years old, respectively.2 The most frequent sites of metastasis are bone (84%), lymph nodes (10.6%), liver (10.6%) and lungs (9.1%).2,3 Testicular metastasis is a relatively rare event that occurs in 0.18 to 0.5% of the patients diagnosed with prostate adenocarcinoma.2 Testicular metastasis is considered a sign of advanced disease, frequently associated with higher Gleason score, systemic disease and worse oncologic prognosis.4,5

Keywords: prostatic neoplasms, neoplasm metastasis, testis, testicular neoplasms

Objectives

To report an interesting case series of patients with metastatic prostate adenocarcinoma to testis and testicular adnexa in of Bogotá and Medellín, Colombia.

Methods

A review of the literature on metastatic prostate adenocarcinoma to the testicle and testicular adnexa was performed.

Cases report

Case 1

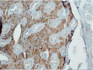
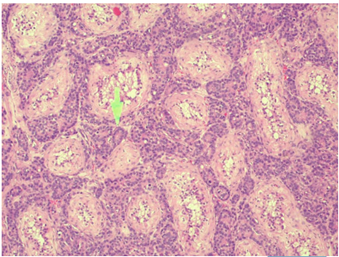
62 years old male who presented in 2022 with episodes of intermittent hematuria associated with rectorrhagia, recurrent urinary tract infections (UTI) and 2 episodes of right orchiepididymitis. Digital rectal exam identified a prostate with strong suspicion of malignancy. Prostate biopsy was performed and reported a prostate carcinoma with mucinous characteristics. Initial PSA (iPSA) was 7.09. Staging work up identified bladder and rectal compromise, as well as multiple pulmonary nodules suspicious for metastasis. He was scheduled for bilateral orchiectomy and histopathological analysis found right epididymis and spermatic cord compromised by prostatic adenocarcinoma with extracellular mucin. The immunostaining profile detected positive CKAE1/AE3, NKX3.1, PSA and focal CK7 favoring prostatic origin. The patient was considered a candidate for PEACE-1 protocol (Figure 1-3).

Figure 1 Albuginea, Seminiferous tubules. (100x).

Figure 2 Glands with mucinous material (400x). Mucin-infiltrated epididymis.

Figure 3 Nuclear NKX3.1 immunohistochemistry. (100x).

Case 2

61 years old male who presented in 2020 with moderate lower urinary tract symptoms (LUTS) and PSA of 444 ng/ml. A prostate biopsy reported ISUP Grade Group 4 prostate adenocarcinoma and staging workup reported pelvic and retroperitoneal compromise as well as a superscan pattern in the bone scan. Androgen deprivation therapy was started. Patient had disease progression including skeletal events. Therefore, bilateral orchiectomy was performed. Surgical specimen histopathology reported left testicular involvement with prostate adenocarcinoma. Immunohistochemistry for CKAE1/AE3, PSAP, PSA came back positive. Subsequently, the patient expired due to an ischemic cerebrovascular accident (CVA) and infectious complications (Figure 4 & 5).

Figure 4 Infiltration by glands in the testicular parenchyma, with entrapment of the tubules.

Figure 5 PSA immunohistochemistry. (100x).

Case 3

71 years old male who presented in November 2022 complaining of moderate LUTS. Physical exam identified a fixed, grossly irregular and hard prostate with compromise of lateral recesses. iPSA was found at 2219 ng/ml. Prostate biopsy identified a Grade Group 5 prostate adenocarcinoma. In March 2023 he presented with edema, anasarca and hypoalbuminemia. Staging workup found liver metastasis and a superscan pattern in the bone scan. Patient had a bilateral orchiectomy. Surgical specimen histopathology reported bilateral testicular parenchyma involvement by prostate adenocarcinoma. Patient was recommended chemotherapy.

Case 4

76 years old male diagnosed with prostate adenocarcinoma cT1bN0M1c and iPSA at 27 ng/ml. Surgical specimen identified a Grade Group 4 disease in 60% of the tissue evaluated, 30% of cribriform pattern and presence of perineural invasion. No lymphovascular invasion was found. Staging workup, identified a high-volume and high-risk disease based on CHAARTED and LATITUDE criteria, respectively. Abdomen and pelvis CT scan with contrast ruled out lymphadenopathy or visceral metastases; non-contrast chest CT reported an ill-defined nodule in the left lower lobe of the lung amenable for followup. No mediastinal adenopathy or pleural effusion was noted. Blastic lesions in vertebral bodies, ribs and sternum of secondary aspect were detected. Bone scan detected metastatic lesions in sacrum, sacroiliacs, sternum, L5, T11, T8, scapula, pubis and right ischium. Bilateral orchiectomy was performed and the pathology reported epididymis and testicular involvement with Gleason 4+4 prostatic acinar adenocarcinoma.

Case 5

75 years old male diagnosed with prostate adenocarcinoma cT3bcN1M1b, ISUP Grade Group 4, iPSA at 642 ng/ml, high-volume CHAARTED, high-risk LATITUDE. Bone scan ruled out metastasis. Contrast abdomen and pelvis MRI reported retroperitoneal lymphadenopathy of up to 3.2cm, bilateral iliac lymphadenopathy of up to 5cm, compromise of seminal vesicles and prostatic volume of 430.3cc. Bilateral orchiectomy was performed and surgical specimen found ductal adenocarcinoma, ISUP Group Grade 4, 15% compromise of tissue evaluated and less than 5% of acinar adenocarcinoma with cribriform pattern. No perineural or lymphovascular invasion was noted.

Discussion

Prostate cancer is the leading cause of cancer mortality in men in western countries and affects predominantly men between 45 and 60 years old.6 It represents more than 20% of new cancer cases and up to 5% of patients have metastatic disease at initial presentation.7 Risk factors include family history, obesity, older age and ethnicity.8

Excluding leukemia and lymphoma infiltration, secondary neoplasms to testicles are rare. The most common primary tumor sites for testicular metastasis are the prostate (15%) followed by lung, melanoma, skin, colon and kidney.9,10 The prevalence of testicular metastasis in prostate cancer ranges from 0.06% to 0.5% based on autopsy studies. However, one study showed that it can occur in up to 4% of patients undergoing surgical castration.11

In 1939 Seamans reported the first case of testicular metastasis from prostate adenocarcinoma.12 In 1968 Wolf and Madsen spoke for the first time of the theories of dissemination of testicular metastasis including retrograde venous and lymphatic extension, arterial embolism and dissemination through the lumen of the vas deferens.13

Some authors hypothesize that in prostatic primary tumors the migration could be facilitated by the anatomical lymphatic connections between the prostate and the testicles.6 The average time between the prostate cancer diagnosis and the testicular metastasis has a wide ranges between 2.5 to 10 years.9 Testicular metastasis generally is an incidental finding. However, when it is symptomatic, it can mimic primary testicular neoplasms and patients complain of orchialgia, palpable testicular tumor, weight loss and other constitutional symptoms.14

Prostate cancer is often diagnosed when it has already metastasized due to the lack of symptoms in its initial stages. Prostate-specific antigen (PSA) is an antigen secreted almost exclusively by benign prostatic epithelial cells and is considered as an organ specific but no cancer specific molecule. Metastatic prostate cancer cells are also characterized by its ability to secrete PSA.15 In this context, PSA levels are considered the most accurate marker of prostate cancer recurrence and progression.3 Conversely, the role of testicular ultrasound to differentiate metastatic from primary tumors is very limited.

Histopathology is key for the diagnosis of testicular metastasis. In most cases, the histology of metastatic testicular tumor matches the primary lesion, which in the context of prostate cancer most commonly correspond to adenocarcinoma.3 In some of our cases, the pathology showed glandular, cribose or isolated cells invading the interstitium without affecting the seminiferous tubules, as well as lymphovascular invasion with intertubular growth. The immunohistochemical markers present were those found in prostate cancer such as PSA, PSAP, CKAE1/AE3, NKX 3.1.11

Overall, the survival interval after the diagnosis of testicular metastasis is usually less than 1 year. In patients with prostate cancer, the median survival time after orchiectomy is around 12.8 months compared to 7.4 months in other types of cancer.16,17

The literature available on metastatic prostate cancer to testis is limited. We identified 15 cases with unilateral compromise of the testicular parenchyma; 2 patients with bilateral metastatic disease, 3 cases with spermatic cord involvement and 5 patients with epididymis involvement. Most of them debuted with PSA greater than 100 ng/ml, ISUP Grade Group 4 or 5 and bone metastasis. In our series, we report five metastatic prostate cancer cases to testis. All of our cases presented ISUP Grade Group 4 or 5 and simultaneous bone metastasis including two with superscan presentation in the bone scan. In the same context, three of our patients had PSA greater than 100 ng/ml.

Conclusion

Herein, we report five metastatic prostate cancer cases to testis. Overall, we observed that prostate cancer patients with testicular metastasis have a more aggressive histopathology, worse functional status and worse oncological prognosis. Our findings are consistent with previous reported cases.

Acknowledgments

None.

Conflicts of interest

None.

References

  1. Key statistics for prostate cancer: Prostate cancer facts (no date) Prostate cancer facts. American Cancer Society.
  2. Bubendorf L, Schöpfer A, Wagner U, et al. Metastatic patterns of prostate cancer: An autopsy study of 1,589 patients. Human Pathology. 2000;31(5):578–583.
  3. Bonetta A, Generali D, Corona SP, et al. Isolated testicular metastasis from prostate cancer. Am J Case Rep. 2017;18:887–889.
  4. Janssen S, Bernhards J, Anastasiadis AG, et al. Solitary testicular metastasis from prostate cancer: a rare case of isolated recurrence after radical prostatectomy. Anticancer Res. 2010;30(5):1747–1749.
  5. Gao Q, Chen J, Dai Y. Prostate cancer involving bilateral seminal vesicles along with bone and testicular metastases: a case report. J Med Case Rep. 2018;12(1):72.
  6. Sekhoacha M, Riet K, Motloung P, et al. Prostate cancer review: genetics, diagnosis, treatment options, and alternative approaches. Molecules. 2022;27(17):5730.
  7. Hong JH, Nindra U, Nguyen R, et al. A rare case of castrate-resistant prostate adenocarcinoma with a unilateral testicular metastasis mimicking a primary testicular tumour. Case Rep Oncol. 2022;15(3):1055–1062.
  8. Termini D, hartogh DD, Jaglanian A, et al. Curcumin against prostate cancer: current evidence. Biomolecules. 2020;10(11):1536.
  9. Kusaka A, Koie T, Yamamoto H, et al. Testicular metastasis of prostate cancer: a case report. Case Rep Oncol. 2014;7(3):643–647.
  10. Dutt N, Bates AW, Baithun SI. Secondary neoplasms of the male genital tract with different patterns of involvement in adults and children. Histopathology. 2000;37(4):323–331.
  11. Smelzo S, Mantica G, Lucianao R, et al. Prostate cancer testicular metastasis: Are they underestimated? case report and analysis of the literature’, Urologia. 2022;89(4):645–647.
  12. Gibas A, Sieczkowski M, Biernat W, et al. Isolated testicular metastasis of prostate cancer after radical prostatectomy: case report and literature review. Urol Int. 2015;95(4):483–485.
  13. Johansson JE, Lannes P. Metastases to the spermatic cord, epididymis and testicles from carcinoma of the prostate--five cases. Scand J Urol Nephrol. 1983;17(2):249–251.
  14. Waisanen KM, Osumah T, Vaish SS. Testicular metastasis from prostatic adenocarcinoma presenting as recurrent epididymo-orchitis. Urology. 2017;108:e7–e9.
  15. Chen Y, Lin Y, Nie P, et al. Associations of prostate-specific antigen, prostate carcinoma tissue gleason score, and androgen receptor expression with bone metastasis in patients with prostate carcinoma. Med Sci Monit. 2017;23:1768–1774.
  16. Weitzner S. Survival of patients with secondary carcinoma of prostate in the testis. Cancer. 1973;32:447–449.
  17. Lu LY, Kuo JY, Lin AT, et al. Metastatic tumors involving the testes. 2000;11(1):12–17.
Creative Commons Attribution License

©2024 Londoño, et al. This is an open access article distributed under the terms of the, which permits unrestricted use, distribution, and build upon your work non-commercially.