Submit manuscript...
MOJ
eISSN: 2379-6162

Surgery

Case Report Volume 9 Issue 1

Omentoplasty for residual pleural cavity post TB RL lobectomy

Mohamed Alhaj Moustafa

Department of General and Thoracic Surgery, IDA hospital, Syria

Correspondence: Mohamed Alhaj Moustafa MD, Department of General and Thoracic Surgery, IDA hospital, Aleppo, Syria, Tel 00905050010001

Received: August 24, 2020 | Published: January 26, 2021

Citation: Moustafa MA. Omentoplasty for residual pleural cavity post TB RL lobectomy. MOJ Surg. 2021;9(1):1-5. DOI: 10.15406/mojs.2021.09.00183

Download PDF

Abstract

The residual pleural space and the bronchopleural fistula after pulmonary resections are considered of the most serious and frightening complications which needs a hard medical and surgical work up, especially if there is a concomitant disease such as TB. Omentoplasty is one of the methods which can be used to fill a residual pleural cavity and to obliterate bronchopleural fistula, with a satisfied result functionally and cosmetically.

Keywords: residual pleural cavity, bronchopleural fistula, omental flap, omentoplasty, tuberculosis

Abbreviations

TB, tuberculosis; PT, patient; CXR, chest x ray; RLL, right lower lobe; OP, omentoplasty; GO, greater omentun

Case presentation

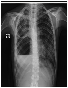
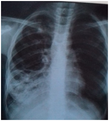
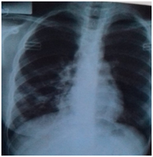
Female Patient (PT) 15 years old, referred to our hospital after more than 6 months of recurrent infections in right lower lobe (RLL) of the lung Figure A1 & A2. The PT had investigated, CXR was done Figure A3. The sputum was negative for TB many times. Bronchoscopy was done, no foreign body, no tumor, no anomalies, the washing was tested for TB and was negative. The decision for surgery was taken, the RLL was contracted, nodular and solid. RL Lobectomy was done. At second day post operation the PT had fever, sweat, no appetite and bad general condition. CXR revealed bilateral diffuse infiltrations. Figure B1. We decided to give her a trial TB treatment. After five days PT began to respond clinically. So TB treatment for minimum 6months is ordered.

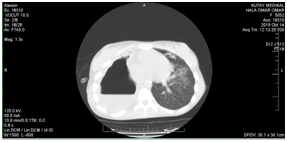
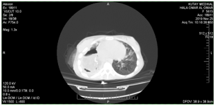
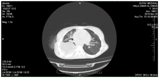
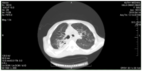
During follow up a mild fistula and pleural dead space happened, but PT clinically got better. After 5 months the fistula continued and the residual pleural cavity got bigger Figures C1–C6. The plan of management was depending on:

A1 22-1-2019

A2 6-2-2019

A3 19-6-2019

B1 26-6-2019

C1 14-10-2019

C2 14-10-2019

C3 14-10-2019

C4 14-10-2019

C5 14-10-2019

C6 14-10-2019

  • Assurance that sputum is negative for TB (3times)
  • Sterilization the residual pleural cavity (washing with saline serum and povidone 3%)
  • Obliteration the residual pleural cavity surgically (omentoplasty OP)

The first stage of omentoplasty was preparation of a flap of greater omentum (GO). Mobilization of the GO was performed through an upper median laparotomy. The entire GO was used. A pedicle was formed using the right gastroepiploic blood vessels. The GO was separated from the transverse colon in a vascular part of the gastrocolic ligament. The left gastroepiploic vessels were cut near the spleen. The GO was separated from the stomach by cutting the rectus rami and saving the gastroepiploic vessel arch in the omentum Figures D1 & D2. When preparing the right-side omental flap, it is important to mobilize the GO along a wide curve distal to the pylorus to prevent stomach deformation due to traction on the GO after transposition into the pleural cavity. The mobilized GO was transposed into the right pleural cavity through an incision in the right diaphragm .The site of this incision was chosen so as to ensure a straight position of the omental pedicle (without angulation)1 Figures D3 & D4. Thoracotomy was not needed in this case because the main problem was the residual space while the bronchial fistula was mild. The size of the incision must be suitable for the size of the omental flap ,to prevent neither omental strangulation nor diaphragmatic hernia, the omental flap was not fixed to the diaphragm by any suture because the negative pressure in the chest prevent the flap from withdrawing back to the abdomen. Follow up was wonderful:

D1 19-11-2019

D2 19-11-2019

D3 The incision in the right diaphragm

D4 The omental flap trasnsposisioned into the thoracic cavity

  • At first day CXR reveal a consolidation in the lower third of the right chest and no residual cavity Figure D3
  • At third day the air leakage has stopped.
  • At fifth day the chest drain has removed Figures D4–D6.
  • At the seventh day the PT had discharged from the hospital with a very good General condition and advised to continue TB treatment for another 3 months.
  • Follow up after one month; the PT has a very good general condition, chest CT revealed that the previous residual cavity has fulfilled with the omentum except a small a dead space Figure E1.
  • Follow up for six months was eventless.

D3 20-11-2019

D4 25-11-2019

D5 25-11-2019

D6 25-11-2019

E1 15-12-2019

Discussion

Obliteration the residual pleural cavity after complete resections (pneumonectomy) or partial resections (lobectomy) can be achieved by one or more of these options:

  • Phrenic neve crushing which leads to right hemidiaphragm elevation
  • Thoracoplasty
  • Muscle flaps
  • Omentoplasty
  • Open window thoracotomy procedure (Eloesser open drainage or Clagett procedure)

For our young female PT we choose the fourth election because: the first three choices will greatly reduce the lung functions, and the 2,3,5 cosmetically have bad results. The omental pedicle flap has key features promoting its use:

  • Malleable and easily conforms to irregular surfaces.
  • It has a long large caliber and reliable vascular pedicle-based on either right or left gastroepiploic artery.
  • Good volume - can measure up to 25x35 centimeters.
  • Minimal donor site morbidity and easy to harvest.
  • Stimulates angiogenesis and revascularization.
  • High absorptive capacity and able to relievelymphedema.
  • Immune regulatory properties- ability to contain infective processes.2

At the present time, omentoplasty has gained widespread use in the thoracic surgery field and become a standard procedure. Omentoplasty can avoid the patient highly stressful surgeries that can cause thoracic deformity and reduced pulmonary functions. Therefore, one-stage omentoplasty utilizing such omental multi-functions has been found to have clinical significance.3 So in thoracic surgery omentum can be widely used:

  • For filling the residual cavity after complete or partial pulmonary resections.
  • For filling the dead spaces at chronic empyema.
  • For chest wall reconstruction after extensive resections.
  • To strengthen a main bronchus stump in cases of failure after pneumonectomy.4
  • Complications associated with omentalpedicled flapinclude: ileus, bowel obstruction, gastric outlet obstruction (especially if based on the right gastroepiploic artery), diaphragmatic herniation and omentalflap necrosis.2

Conclusion

Omentoplasty can be done by open laparotomy or laparoscopy, use of the greater omentum that was mobilized and trans positioned into the pleural cavity allows simultaneous management of the pleural empyema cavity and bronchopleural fistula. The procedure is safe, with few direct complications. It is well tolerated and has a satisfactory cosmetic effect. The minimally invasive approach allows faster recovery and return to daily activities in comparison to the fully open technique.5

Acknowledgments

None.

Conflicts of interest

The author declares that he has no competing interests.

Funding

None.

References

Creative Commons Attribution License

©2021 Moustafa. This is an open access article distributed under the terms of the, which permits unrestricted use, distribution, and build upon your work non-commercially.