Submit manuscript...
MOJ
eISSN: 2379-6162

Surgery

Case Report Volume 10 Issue 1

Perforated jejunal diverticulum

Guadalupe Pena, Sandra Gabriela Ayala Hernández, Guadalupe del Carmen Pérez Torres, Rodrigo Migoya Ibarra

Department of General Surgery, Benemérita Universidad Autónoma de Puebla, Mexi

Correspondence: Guadalupe Pena, Department of General Surgery, Benemérita Universidad Autónoma de Puebla, Mexico

Received: July 23, 2022 | Published: August 5, 2022

Citation: Pena G, Hernández SGA, Torres GCP, et al. Perforated jejunal diverticulum. MOJ Surg. 2022;10(1):18-20. DOI: 10.15406/mojs.2022.10.00196

Download PDF

Abstract

Introduction: intestinal diverticula are infrequent, with most common location in duodenum. Only a few patients develop symptoms, intestinal perforation beign the most associated with a deadly outcome. 8-30% of patients with suspicion of perforated jejunal diverticulum receive urgent surgical management, which consists in intestinal resection and termino-terminal anastomosis.

Case report: 101-year-old female patient who shows at the emergency room with an acute abdomen. An abdominal CT scan was performed, which showed free abdominal fluid and pneumoperitoneum. Exploratory laparotomy was planned and performed, and showed evidence of multiple jejunal diverticulums, one of which presented with perforation. We performed resection and anastomosis of 90 cm of the affected jejunum.

Conclusion: despite being an infrequent pathology, in patients who present with acute abdomen, the most accurate management remains surgery.

Keywords: diverticula, intestinal perforation, acute abdomen, laparotomy

Introduction

Intestinal diverticulum is an infrequent entity, with a reported incidence of 0.1 to 4.6%,1–6 of which 80% corresponds to proximal jejunum, 15% to ileum and 5% both.9–11 These are intestinal wall herniations, and can be real or false according to the presence of all the intestinal layers. It has a prevalence in men and elderly patients. Clinical presentation is frequently asymptomatic, but in some cases it may present with unspecific gastrointestinal symptoms. A minor percentage of patients may present complications such as bleeding, obstruction, and perforation, with a mortality rate of up to 40%.5–8 Preoperative diagnosis remains a challenge due to its difficulty to be found in an image study. The most employed treatment is surgery, thought recent studies have demonstrated the efficacy of conservative management. We present the case of a 101-year-old patient who presented to the emergency room with acute abdomen, resulting in a perforated jejunal diverticulum.

Case report

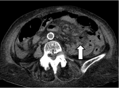
101-year-old female without history of gastrointestinal symptoms, debuted with periumbilical abdominal pain and generalization of pain, accompanied by nausea, headache, and diarrhea for 4 days. Physical examination showed hypotension and tachycardia, chills, asthenia, adynamia, intense abdominal pain, tenderness, and stiffness. Laboratory tests showed diminished white blood cell count (3.07x109uL), procalcitonin level elevation, metabolic acidosis, and elevated lactate. Abdominal CT scan revealed pneumoperitoneum, free abdominal fluid and whirlpool sign at jejunum (Figure 1 & 2). Exploratory laparotomy was performed, finding 1000 ml of intestinal fluid, jejunal diverticulum of 6x4 cm, 50 cm distant from the Treitz angle, with perforation of 1 cm (Figure 3), and multiple distal diverticula. She was managed with intestinal resection and anastomosis. She was discharged from the hospital 7 days after the surgery. Diagnosis was confirmed by pathology report (Figure 4 & 5).

Figure 1 Abdominal CT scan showing pneumoperitoneum and free fluid.

Figure 2 CT scan, axial cut, evidencing the whirlpool sign.

Figure 3 40 cm of jejunum with closed perforated jejunal diverticulum (white arrow).

Figure 4 Invaginated mucosa inside the wall, forming the diverticulum.

Figure 5 Jejunal diverticulum without muscular layer, only mucosa.

Discussion

An intestinal diverticulum is a saccular protrusion that may be acquired by the sites of greater weakness of the intestinal wall (where blood vessels penetrate it), involving only submucosal and mucosal layers, becoming a pseudodiverticulum.6,8,11,12,13 This formation explains its localization in the antimesenteric border,1,2,14 predominantly in duodenum (80%), and it’s present in 10-20% of the general population15, and in jejunum and ileum (20%)12 in 1% of population. They’re usually accompanied by another diverticulum in other sites in 90% of cases5,16, which is why they must be looked for during surgery.

They’re predominant in male and in the sixth and seventh decades of life.13,14 Etiopathogeneses isn’t yet well defined, but intestinal dyskinesia is suspected.11,16 Myenteric plex disorders may result in uncoordinated activity of soft muscle, producing high pressure in localized zones in the small intestine.1–3,7,8,11,12,17 It may be associated with soft muscle or myenteric plex disorders that interfere with normal peristalsis.18

Clinical presentation is usually asymptomatic.13,14 Around 15-40% may present unspecific chronic gastrointestinal symptoms, such as diarrhea and abdominal pain, constipation, dyspepsia, nausea, vomiting, distension, malabsorption, weight loss, anemia, etc19, and association to pseudoobstruction or bacterial growth.2,8 10-40% of patients may present complications, diverticulitis being the most frequent, besides bleeding, intestinal obstruction, perforation, abscess, volvulus, etc.2,3,6,8,10,14

Mortality is up to 40%, and some bad prognostic factors are advanced age, comorbidities, peritonitis, diagnosis delay, and wrong management.1–3 Diagnosis was performed preoperatory only in 20% of cases, with computed tomography being the most useful, usually detecting only complication’s findings.2,8 Only symptomatic cases must receive treatment, with intestinal motility regulators, and antibiotics in case of diverticulitis.14 Some authors suggest preventive surgical management. Emergency surgery is performed in 8-30% of patients with complicated jejunal diverticulitis. It is indicated in failure or impossibility of percutaneous drain, and generalized peritonitis.6 It consists of intestinal resection of the affected segment and primary anastomosis.19 This resection is also mandatory in patients with a big diverticulum and dilated and hypertrophic intestinal handles, due to the risk of complications.6

Conclusion

Intestinal diverticula are infrequent, being asymptomatic in most cases. However, those people with symptoms may present with unspecific ones. This clinical case describes an elderly female patient with acute abdomen, who denied previous gastrointestinal symptomatology, debuting with diverticulum perforation. Surgical management was performed successfully and with adequate evolution despite risk factors. More cases must be reported to stablish an opportune preoperative diagnosis that could improve morbimortality.

Acknowledgments

None.

Conflicts of interest

The authors declare that they have no conflict of interest.

References

  1. Alves Martins BA, Rodrigues Galletti R, Marinho Dos Santos Neto J, et al. A Case of Perforated Jejunal Diverticulum: An Unexpected Cause of Pneumoperitoneum in a Patient Presenting with an Acute Abdomen. Am J Case Rep. 2018;19:549–552.
  2. Lebert P, Ernst O, Zins M. Acquired diverticular disease of the jejunum and ileum: imaging features and pitfalls. Abdom Radiol. 2019;44(5):1734–1743.
  3. Dinesh Kumar, Meenakshi. Complicated jejunal diverticulitis with unusual presentation. Radiol Case Rep. 2018;13(1):58–64.
  4. Luján D, Ruiz M, Peña E, et al. Diverticulitis yeyunal perforadaUna causa infrecuente de abdomen agudo grave. Revista española de investigaciones quirúrgicas. 2017;119–120.
  5. Lebert P, Millet I, Ernst O, et al. Acute jejunoileal diverticulitis: multicenter descriptive study of 33 patients. AJR. 2018;210(6):1245–1251.
  6. Harbi H, Kardoun N, Fendri S, et al. Jejunal diverticulitis. Review and treatment algorithm. Presse Med. 2017;46(12 Pt 1):1139–1143.
  7. Manuel Vásquez A, Fuerte Ruiz S, León Ledesma R, et al. Abdomen Agudo secundario a perforación de divertículo yeyunal. Span J Surg Res. 2016;19(2):71–72.
  8. Sehgal R, Cheung CX, Hills T, et al. Perforated jejunal diverticulum: a rare case of acute abdomen. J Surg Case Rep. 2016;(10):rwj169.
  9. Gallego Mariño A, Ramírez Batista A, Amado Martínez JA. Divertículos de intestino delgado. Revista Electrónica Dr. Zoilo E. Marinello Vidaurreta. 2016;41(4).
  10. López Marcano, Aylhin Joana, Ramia Manuel, et al. Complicated jejunoileal diverticular disease: a 12 cases’ serie and literature review. Revista de Gastroenterología del Perú. 2017;37(3):240–245.
  11.  Mohi RS, Moudgil A, Bhatia SK, et al. Complicated Jejunal Diverticulosis: Small Bowel Volvulus with Obstruction. Iran J Med Sci. 2016;41(6):548–551.
  12.  Serrano-González J, Artés-Caselles M, Román-García de León L, et al. Manejo de la diverticulitis yeyunal. Experiencia en nuestro centro. Cir Cir. 2018;86(2):148–151.
  13.  Dudric VN, Axente DD. Perforated jejunal diverticulum, a case report. HVM Bioflux. 2018;10(4):181–183.
  14.  Calcerrada Enrique, Mirón Benito, Triguero Jennifer, et al. Perforación de divertículo yeyunal como causa de abdomen agudo. RMP. 2016;36(3):34–37.
  15.  Aradhya Nigam, Faye F Gao, Mark A Steves, et al. Acute abdomen caused by a large solitary jejunal diverticulum that induced a midgut volvulus. Report of a case. Int J Surg Case Rep. 2020;74:109–112.
  16.  Hernández R, Pontillo M, Rodríguez G. Divertículo yeyunal perforado: causa excepcional de abdomen agudo. Cir Urug. 2018;2(1):27–31.
  17.  Koli D, Vats M, Vardhan-Upreti H. Perforated isolated jejunal diverticular: a rare cause of acute abdomen. Clin J Gastroenterol. 2020.
  18.  Enoch Yeung, Vishal Kumar, Zachary Dewar, et al. Rare aetioloy of abdominal pain: contained abscess secondary to perforated jejunal diverticulitis. BMJ Case Rep. 2020;13:e235974.
  19. Jambulingam R, Nanayakkara G. Non-operatively managed case of contained jejunal diverticular perforation. BMJ Case Rep. 2019;12:e228811.
Creative Commons Attribution License

©2022 Pena, et al. This is an open access article distributed under the terms of the, which permits unrestricted use, distribution, and build upon your work non-commercially.