Submit manuscript...
MOJ
eISSN: 2379-6162

Surgery

Case Report Volume 3 Issue 2

Primary hydatid cyst of the rib: present as a chest wall mass

Manouchehr Aghajanzadeh, Cyrus Emir Alavi, Mohammad Reza Asgary, Siamak Rimaz, Sara Massahnia

Inflammatory Lung Disease Research Center of Guilan University of Medical Sciences, Iran

Correspondence: Siamak Rimaz, Inflammatory Lung Disease Research Center of Guilan University of Medical Sciences, Rasht, Iran, Tel +98-13-3354246

Received: May 09, 2016 | Published: June 13, 2016

Citation: Aghajanzadeh M, Alavi CE, Asgary MR, et al. Primary hydatid cyst of the rib: present as a chest wall mass. MOJ Surg. 2016;3(2):42-43. DOI: 10.15406/mojs.2016.03.00041

Download PDF

Abstract

Background: Hydatid disease is a parasitic infestation of the humans that caused by echinococcus granulosus and can produce tissue cyst everywhere in body. The most common locations for development of a parasitic cyst are the liver (75%) and the lung (15%). Skeletal involvement in eccinococcal infection is a relatively rare condition and is seen in only 1-4% of cases and few reports from the medical literature have presented rib hydatidosis which clinically mimics benign or malignant cystic tumors at initial presentation and because of its unusual presentation, its diagnosis may easily be missed.

Case presentation: A 19-year-old Iranian male patient presented with a 7-month history of a painful chest wall mass. Computed tomography and chest X-Ray showed a mediastinal and chest wall mass with rib erosion. The surgery allowed both diagnosis and treatment. The patient underwent a right posterolateral thoracotomy. Daughter cysts were seen when the lesion was incidentally opened. Cystic portion of mediastinal and chest wall mass and involved rib was resected. The mass histologically diagnosed as hydatid cyst. Albendazol (800mg daily) was administered for three months postoperatively. The patient was discharged at postoperative 5th day in a state of complete recovery. Follow up at 1 year postoperatively demonstrated no recurrence of the chest wall mass.

Conclusion: Primary chest wall hydatid cyst is an extremely unusual condition and should be included in the differential diagnosis of chest wall masses especially in endemic areas.

Keywords: hydatid cyst, echinococcus granulosus, chest wall mass, rib hydatidosis

Background

Hydatid disease mostly affects the liver (75%) and lungs (15%), and occurs in only 10% in other regions of the body and skeletal involvement by primary hydatid disease is uncommon and represents 0.5-4% of patients especially when located in the rib is extremely unusual. In cases with chest wall hydatidosis, clinical presentation may mimic benign or malignant cystic tumors, metastases, congenital cysts, abscesses, pseudo cysts, empyemas, infarcts, hematomas and other lesions at initial presentation1 and because of its unusual presentation, its diagnosis may easily be missed, unless be kept in mind. We report a case of rib hydatid cyst, that had been preoperatively misdiagnosed as benign chest wall mass. The gold standard for therapy is radical removal of cyst and involved ribs or chest wall. It has been proposed that better results are obtained by combining surgical procedures with mebendazole or albendazole for preoperative and postoperative prophylaxis.2,3

Case presentation

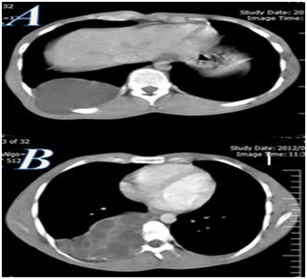
A 19-years-old Iranian male patient was referred to our department in 2011 with history of gradually onset of right chest wall swelling with pain since seven months ago. The patient was living in the rural part of Guilan province in north of Iran. He had not any history of medical or surgical problems. Physical examination showed a localized swelling over the back on the right chest wall without tenderness on palpation (Figure 1). The patient’s laboratory findings were within normal limits. Chest X-rays showed a mass lesion on right hemi thorax with an osteolytic lesion of the 7th rib. Contrast enhanced CT scan revealed a multi loculated mass lesion with septations and enhancement over visceral pleura at the posterior side of thorax that destructed right seventh rib and extended to posterior mediastinum and chest wall (Figure 2). Cystotomy and partial resection of the seventh rib were performed via a right posterolateral thoracotomy. Daughter cysts were seen when the lesion was incidentally opened (Figure 1). Albendazol (800mg daily) was administered for three months postoperatively. Histological findings had confirmed the diagnosis of hydatid cyst. There weren’t any complications during the postoperative period and the patient was discharged at postoperative 5th day in a state of complete recovery. In 1-year follow-up period he was in good condition without recurrence of the chest wall mass.

Figure 1 Photograph of patient with chest wall mass (A) daughter cyst and laminated membrane of hydatid cystic (B).

Figure 2 CT scans of thorax (A,B) with IV contrast showing rib distraction and cystic mass of seven rib.

Discussion

Hydatid disease has a worldwide distribution and causes health problems in endemic countries such as Mediterranean area in Asia, Australia, South America, Near East, and southern Europe. It is most prevalent in sheep- and cattle-breeding areas, where the first step in the chain of transmission of this infestation occurs. Humans may contract the infection either by direct contact with a dog which is the definitive host or by ingestion of foods or fluids contaminated by the eggs, which are contained in the feces of the dog. After ingestion, the eggs are freed from their coating and larvae penetrate the mucosa of the jejunum reaching through the venous and lymphatic channels to every region of the body where they transform into small cysts. Hydatid disease mostly affects the hepatic (75%) and pulmonary (15%) regions, and occurs in only 10% in other regions of the body and skeletal involvement by primary hydatid disease is uncommon and represents 0.5-4% of patients. It occurs in the more highly vascularized areas of the bones. The vertebrae, long-bone epiphyses, ilium, skull, ribs, and soft tissue extension are most frequently affected.1

Hydatid cyst of the rib is important because lead to the destruction of bone matrix and causing the spread of hydatid disease into the surrounding soft tissue and adjacent part of the skeleton.2 In this case, the hydatid cyst was primer lesion; it involved neither the lung nor the liver. A possible mechanism of primary hydatid diseases of chest wall may be the embryo passes through the duodenum wall into either the portal vein or the perideuodenum and perigastric lymphatics, which connect to the thoraco-mediastinal lymphatics and the thoracic duct.4 The course of the disease is usually slow and serology may not always be helpful in diagnosing primary skeletal hydatidosis. These patients are usually asymptomatic but some time present with chest wall pain2 as our patient complaint was chest wall pain and swelling. In the presented patient, imaging modalities such as contrast enhanced CT scan revealed a multi loculated mass lesion with septations and enhancement over visceral pleura at the posterior side of thorax and the differential diagnosis of such a radiographic picture includes giant cell tumor, osteolytic metastases, plasmacytoma, aneurysmal bone cyst and cystic neuro fibromas.5

Definitive diagnosis in the presented patient was not possible based on preoperative clinical examination, biochemical and radiological investigations and so we confirmed diagnosis only by surgical exploration and histopathology exam. The gold standard in the therapy of this disease is the radical resection of cyst and involved rib(s)2,3 as in our patient we removed all parts of cyst and involved portion of seventh rib. It has been suggested that better results would be achieved by combining surgery and albendazole (10mg/kg) for pre and postoperative prophylaxis, and that large doses over a long period of time would be a good clinical approach and may reduce the incidence of relapse.2,3 In our case for postoperative prophylaxis, we used albendazole 800mg/day for three months. Patients without any symptoms should be followed for long-term and serological tests and radiographs should be used periodically to ensure that the disease has not recurred.

Conclusion

Hydatid cysts can primarily involve all the thoracic structures, including the ribs. For patients in whom a chest wall cystic mass is detected, especially those living in endemic areas, it should be considered in the initial diagnosis. In the presented patient, surgical treatment combined with medical therapy given during the post-operative course produces successful early and late period result.

Acknowledgements

We Thank Inflammatory Lung Disease Research Center of Guilan University of Medical Sciences, Rasht, Iran for their collaboration.

Conflict of interest

The author declares no conflict of interest.

References

Creative Commons Attribution License

©2016 Aghajanzadeh, et al. This is an open access article distributed under the terms of the, which permits unrestricted use, distribution, and build upon your work non-commercially.